Cookie Consent byPrivacyPolicies.comDouleurs inexpliquées - Eugenol
dleporho

10/07/2013 à 16h00

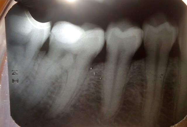
Ma patiente est âgée de 26ans, aucun problème de santé générale.
Elle n'avait aucune douleur initialement et après un bite wing en secteur 4 j'ai mis en évidence une carie distale sur 46.
J'ai réalisé une restauration composite sous digue, 2 mois après la dent était toujours très sensible au froid et douloureuse à la mastication. La patient a une très bonne hygiène, pas d'inflammation gingivale et les points de contacts entre 45 46 et 47 sont ok.
J'ai donc laissé un mois de plus voir si les sensibilités diminuaient.
Un mois après, toujours pareil, j'ai donc déposé ma restauration composite, aucune reprise de carie, ras. J'ai donc cette fois sous digue fait une restauration en sandiwich fermé CVI + composite toujours sous digue.
Nous sommes un mois et demi après cette restauration et rien n'a changé. Douleurs à la mastication et au froid, la patient ne mange plus de ce côté et ne prends plus d'eau froide. La percussion est normale, le sondage parodontal est normal, pas de sur-occlusion.
quelqu'un a-t-il quelque chose à me suggérer ?
merci

Bj jejfsg - Eugenol

220px don camillo4 qrcfhs - Eugenol
camillo

10/07/2013 à 16h43

Inflammation irréversible de la pulpe, la corne distale était certainement plus près que ne le laisse supposer la radio.

Endo.


Index vf7ggk - Eugenol
dentisfuturis

10/07/2013 à 17h04

j'ai eut ça une fois, on peut tenter pansement de longue durée genre kalsogen pour 3 semaines, tant qu'il n'y a pas de signes de nécrose bien sur...


Avatar2 u3u8yh - Eugenol
riccyman

10/07/2013 à 17h08

et pourquoi pas nécrose de la 6, j'ai l'impression qu'il y a un élargissement ligamentaire aux apex.

ça expliquerait les douleurs à la mastication et ce pourrait être la 7 pour les sensibilités au froid.

je dis ça, je sais pas ^^ c'est pour avancer ^^


1309531 ours brun n5iukf - Eugenol
seespan

10/07/2013 à 17h33

Tu as une pano récente ? juste pour vérifier que ce n'est pas une douleur projeter du secteur 1 ( très très peut probable je sais )

Tu as vérifier que tu n'avais pas une ré-infiltration sous le composite de la 7 ?

Si sa persiste avant de faire l'endo de la 6 je dirais de reprendre le composite ( si c'est bien un compo ) sur la 7.

Les composite pour ça c'est casse pied souvent avec le temps le joint s'élargie et tu a des ré infiltration. Le fait d'étre intervenue sur la 6 a put changer quelque chose dans l'occlusion ( ou autre chose ) et te sensibiliser la 7.

PS : les composites en postérieure, c'est le mal, un mal qui rampe sournoisement et sans bruit.

--
หมอจัดฟัน


Photo pluton1b h9n4ea - Eugenol
pluton

10/07/2013 à 17h52

bizarre que personne n'ait proposé avant moi...mais ce genre de symptomatologie çà me fait tout de suite penser à une fissure...


Nouveau image bitmap fz77zh - Eugenol
Sethef

10/07/2013 à 17h57

+1 fêlure


dleporho

10/07/2013 à 18h03

Inflammation irréversible, l'idée me parait plutôt bonne mais même après curetage, aucune visibilité de la pulpe en transparence et les tissus étaient propres et ont été désinfectés à la chlorexidine. Enfin, cela reste probable.

Quel est l'intêret du Kalsogen exactement ?

LA 6 n'est pas nécroisée, le test de sensibilité au froid est douloureux. Et malgé peut-être l'impression d'un léger élargissement desmondontal sur la 6, la percussion est identique sur la 6 et la 7, RAS.
De plus, j'ai en refait le composite de la 7 le jour où j'avais refait celui de la 6 dans le doute, aucune réinfiltration. Si je me suis permise de faire des composites c'est que les limites étaients propres, sus gingivale et le matriçage correct. Maintenant, c'est sûr cela reste un composite postérieur.

Pour la fêlure, je n'ai aucun problème au sondage parodontal...

Je n'ai pas de pano mais j'ai un bite wing avec le secteur 1 et RAS.




Photo pluton1b h9n4ea - Eugenol
pluton

10/07/2013 à 18h13

dleporho écrivait:
------------------

>
> Pour la fêlure, je n'ai aucun problème au sondage parodontal...

sauf que tu n'auras de composantes parodontale que lorsque la fissure/fêlure se propagera en sous gingival...
là pour l'instant seule la pulpe "déguste"...


G-P

10/07/2013 à 18h57

Test pour la fêlure c'est douleurs à l'ouverture après morsure.


Index vf7ggk - Eugenol
dentisfuturis

10/07/2013 à 19h13

Le kalsogen est un oxyde de zn/eugénol genre IRM mais en plus résistant pour coiffage indirect (permettant de traiter la "plaie dentinaire" (y compris lors de caries n'atteignant pas la pulpe)
Il possède plusieurs carcatéristiques intéressantes
-une action sédative importante (grâce à sa fonction phénol).
-anti-inflammatoire (pour permettre la reprise de la dentinogenèse).
-si il y a une symptomatologie douloureuse, elle peut être déclenchée au moment de la prise du matériaux défintif d'où l'intérêt de la temporisation jusqu'à absence de douleurs avant de retenter une obturation définitive, surtout en cas de proximité pulpaire.
Il peut y avoir soit des pbs d'acidité par rapport au CVI (le kalsogen a un pH voisin de celui de la pulpe (7.8) ou rétraction de polymérisation par rapport au composite)


Index vakr2r - Eugenol
pgc

10/07/2013 à 19h17

Fais l'endo de la 6.
4 mois et 1/2 après la pose du composite ce n'est pas résolu ta dent est en pulpite.


Index vf7ggk - Eugenol
dentisfuturis

10/07/2013 à 19h21

certainement en pulpite, la question est de savoir si la pulpite est réversible ou pas mais c'est vrai que 2 mois 1/2 ça fait long sans amélioration...


mire

10/07/2013 à 21h27

avant de faire endo en dernière extrêmité je déposerais toutes les obturations précédentes(cvi+compo) et je tenterais un traitement avec de la biodentine que je laisserais minimum 1 à 2 mois si possible.


machu

10/07/2013 à 22h21

+1 pour la fêlure pour moi aussi


4a338550 6a5b 47ea b2a7 d3cb675c5076 oni5gh - Eugenol
fistule69

11/07/2013 à 00h44

Test au cryo !!!!!!!!!!!!!!!!!!!!!!
Si la patiente ne boit plus d'eau froide le diagno est facile. Douleur post stimulation +++, irritation pulpaire irréversible.
Fêlure ? dlr au froid :}?


PasSiMechant

11/07/2013 à 02h59

+1 pour la fêlure (cf première molaire + présence d'amalgame antérieurement).

S'il y a félure (et non pas fracture), nous pouvons tout à fait penser qu'elle ne concerne que la couronne clinique, ce qui explique tout à fait qu'il n'y ait pas de poche parodontale en "V".

Le test au froid aidera à identifier la dent causale.


Seespan a aussi raison : pense à tester aussi le secteur 1.


Camillo a peut-être aussi raison : on peut aussi penser à une remontée de la pulpe dans la dentine même si elle n'est pas visible à l'oeil nu. On voit parfois de drôles de choses en médecine...


Quoiqu'il en soit, je déposerais la restauration de la dent réagissant au froid (si aucune réponse : j'agirais sur la 6 ET la 7) et je poserais un IRM pendant au moins 4 semaine.


Puis :
A => Si disparition des symptômes => reconstruction définitive d'une dent la première semaine, puis la semaine suivante, reconstruction définitive de l'autre. (cela te permet de connaître la dent causale des fois que la douleur revienne). Je ne proposerais ni un amalgame (risque d'extension de la potentielle fêlure) ni un composite (puisque c'est ) mais plutôt un inlay/onlay qui me paraît mécaniquement plus "sûr".

B => Si amélioration des symptômes => dépose des IRM et repose de nouveaux IRM jusqu'à disparition complète des symptômes toutes les 4 semaines. Puis comme dans le plan A.

C => Si pas d'amélioration, dévitalisation de la dent causale et mise en attente puis couronne ou extraction selon l'évolution.


Smaze

11/07/2013 à 05h07

D'abord vérifier l'occlusion qui peut éventuellement entrainer une arthrite et une pulpite réversible.

Puis faites un test de mastication sur un coton.
Si il y a une fissure ou felûre :
A la pression : pas de douleur
Au relachement du coton: douleur

Essayez également de passer la sonde rapidement sur la surface de la couronne pour créer un choc électrique et tenter de localiser la zone sensible.


Smaze

11/07/2013 à 05h07

D'abord vérifier l'occlusion qui peut éventuellement entrainer une arthrite et une pulpite réversible.

Puis faites un test de mastication sur un coton.
Si il y a une fissure ou felûre :
A la pression : pas de douleur
Au relachement du coton: douleur

Essayez également de passer la sonde rapidement sur la surface de la couronne pour créer un choc électrique et tenter de localiser la zone sensible.


Index vakr2r - Eugenol
pgc

11/07/2013 à 21h16

La patiente souffre depuis 4 mois et demi ( ! ),la dent est douloureuse au froid (et à la pression) ça ne vous suffit pas pour poser un diagnostic? Arrêtez de couper les cheveux en 4.
Les éléments donnés plaident fortement pour une pulpite.
Quand vous aurez déposé les obturations existantes et fait et refait des obturations avec tous les matériaux différents évoqués ci-dessus, la patiente ne souffrira plus pendant quelques semaines parce que la dent se sera...nécrosée.
On se croirait sur carrefour-dentaire des fois.

http://carrefour-dentaire.xooit.com/index.php

Les patients sont bien patients vraiment.
Si j'étais à la place de la fille ça ferait longtemps que j'aurais pris un autre avis.
En plus les 6 mand ne sont pas faciles à anesthésier la pauvre loute je la plains.
Jamais entendu parler de pulpite sous compo?
Nécrose sous compo ça vous parle pas?
Les médecins de Molière étaient plus prompts à prendre une décision que vous vraiment.


RépondreCiter
Index vakr2r - Eugenol
pgc

11/07/2013 à 21h17

mire écrivait:
--------------
> avant de faire endo en dernière extrêmité je déposerais toutes les obturations
> précédentes(cvi+compo) et je tenterais un traitement avec de la biodentine que
> je laisserais minimum 1 à 2 mois si possible.

Le Mire...tu portes bien ton nom toi!


RépondreCiter
Index vakr2r - Eugenol
pgc

11/07/2013 à 21h22

PasSiMechant écrivait:
----------------------
>
>
> B => Si amélioration des symptômes => dépose des IRM et repose de nouveaux IRM
> jusqu'à disparition complète des symptômes toutes les 4 semaines.

Toutes les 4 semaines vraiment!
>
> C => Si pas d'amélioration, dévitalisation de la dent causale et mise en attente
> puis couronne ou extraction selon l'évolution.

Fais l'endo de cette foutue dent et pose un onlay compo elle aura encore sa dent dans 10 ans. Il sera bien temps de la couronner à ce moment. Quand à l'extraire...


marcandre

12/07/2013 à 00h24

as tu des loupes? vois tu un fin liseré au fond de la cavité? est ce qu' elle est un peu bizarre, un peu rétive à l' anesthésie? la dernière fois que ça m' est arrivé c' était une fêlure.
bonne chance
Marc andré


Pa050055 igyagy - Eugenol
mark

12/07/2013 à 15h12

Je note qu'il n'est pas fait mention de test à la chaleur et l'absence de douleur spontanée.

Perso, ça me suffit pour écarter d'emblée l'hypothèse du vraie pulpite devant nécessiter une biopulpectomie.

Ce qui m'inquiète, c'est que la dent était asymptomatique avant intervention.

On ne peut écarter une contamination lors de cette première intervention.

Est-ce que tu procèdes à une décontamination avant collage?

Si je m'en tiens aux seuls symptômes : douleur au froid et à la mastication et si la sur-occlusion a été écartée, je m'interroge sur la procédure de montage-polymérisation.

Un défaut de collage en fond de cavité et de joint peut suffire à donner ces signes.

La question actuelle serait plutôt: la dent est-elle contaminée, ses facultés de dentinogénèse perdues?

S'il n'est pas trop tard, la biodentine peut permettre de restaurer la capacité de rémission et d'obtenir une dentinogénèse secondaire. La disparition des signes seraient de bon augure.

Dans le cas contraire, il faut s'attendre à un passage en nécrose, avec ou sans épisode de pulpite irréversible, ce qui ne me semble pas encore être le cas.

Avant la Biodentine, il y avait Kalsogen ou IRM, mais la Biodentine est biologiquement bien plus active.

Bien sûr, si la patiente ne l'est plus tellement, on peut adopter la méthode du bourrin de service: bio + céram...

J'ai écarté d'emblée le cas de la fêlure, puisque la dent ne présentait aucun signe à l'origine. Sauf à considérer qu'une sur-occlusion après la première reconstitution en ait provoqué une secondairement...


licorne

12/07/2013 à 21h40

Mark a raison : douleurs chaud ou spontanées?
J'ai l'impression que tout cela va mal finir :))))))
Enfin c'est pas parceque tu vas terminer en bio que c'est la fin du monde, non?
J'ai déjà eu des cas similaires.
Un jour les douleurs au froid disparaissent puis un jour ......boum nécrose.
A suivre donc......!




--
Au pays des fous j'aurais pu être roi, et pourtant j'ai décidé de rester esclave parmi vous!


12