Cookie Consent byPrivacyPolicies.comchir muco session septembre 2013 - Eugenol
Photo pluton1b h9n4ea - Eugenol
pluton

29/09/2013 à 23h04

Fred écrivait:
--------------
> Ce n'est pas moi qui ai posé cette question, mais elle n'a jamais été posée dans
> le but de pourrir quoique ce soit, il aurait peut-être été intéressant d'avoir
> juste un avis sur la question, en 5 minutes, sans que certains organisateurs ne
> sautent tout de suite sur l'occasion de proposer une autre formation.

Fred, en toute amitié, tu ne crois pas qu'on se serait sérieusement écarté du sujet de ces 2 jours qui étaient sur la chir mucogingivale?

bien sûr la question est intéressante, mais il y aurait eu beaucoup à dire, de la bouche même d'Olivier au moins une bonne grosse demi-journée...
et parce qu'en parler comme çà en 2 minutes, çà n'aurait en rien répondu à tes interrogations, Olivier lui même a refuser d'en développer le sujet...alors stp tape pas sur le dos des organisateurs qui tâtaient le terrain pour savoir s'il y avait matière à...ou non...


Mario ycg44a - Eugenol
Mario180

29/09/2013 à 23h09

Ok, et bien maintenant prenons tout le temps nécessaire pour aborder ça sur eugenol. Mieux vaut tard que jamais.



marbeuf

29/09/2013 à 23h25

la question était: "qu'est ce que tu fais pour la perte osseuse dans ce cas là?"
réponse attendu : "bah moi je fais ça, ça et ça puis je referme avec mon greffon"

Il faut effectivement 2 minutes
Mais il et vrai que PrMarcus a dit que : pas bien!! complètement hors sujet!!

Il faudrait peut être arrêter de déconner et remettre les pieds sur terre les amis!!!!


Dsc 0022 zyz4bz - Eugenol
Fred

29/09/2013 à 23h26

OK Pluton, ne parlons pas de la non réponse, parlons simplement du Dr Marcus que nous avons beaucoup fait rire, et je m'en réjouis, cette question n'a jamais été posée dans un but négatif, pour pourrir la conférence.
Relis mes premiers post, avant qu'on me traite de grincheux, que je me fasse chambrer par le Sieur Marcus, il n'y avait rien d'agressif, et surtout pas contre toi ni contre Olivier.
C'est vrai que nous sommes 5 au moins à être partis avant la fin, sûrement parce que nous sommes 5 nuls, minables et incorrects (diagnostic Marcusien) Peut être aussi parce que nous étions déçus????
Peut être y avait il quelques raisons?
Tu n'y es pour rien, mais il se trouve qu'avant les vacances, la formation de SAPO en muco nous a offert les mêmes cours mais suivis de dissections sur têtes humaines fraîches.
Alors c'est vrai que l'après midi, d'aller chercher un pseudo conjonctif sur ma malheureuse tête de cochon (pour deux)avec trois instruments, ça me tentait moyennement.
Je me suis régalé à écouter Olivier, aussi clair dans ses explications que dans son application et que dans ses post sur eugénol, rien à dire.
Mais je me suis juste permis de dire, au début, que nous étions trop nombreux.
Si je dois m'excuser de quelque chose, et ça,ça n'a pas été correct, c'est vrai, c'est de ne pas prévenir que nous ne dînerions pas avec vous. On a hésité, et puis décidé ça rapidement, on aurait pu prévenir, ce n'est effectivement pas correct.Quant aux merveilleuses publications de Marcus, elles ne font pas vraiment partie de celles qui m'émerveillent, contrairement à d'autres, et ses propos confirment ce que je pense du bonhomme.
Vraiment navré que tout ça parte en live, ce n'était pas mon intention initiale.


marbeuf

29/09/2013 à 23h32

il publie dans quoi et sur quels sujets marcus, ça m'intéresse.

Si quelqu'un à l'info


Mario ycg44a - Eugenol
Mario180

29/09/2013 à 23h38

@Fred : Voilà qui (je l'espère) refermera intelligemment cette parenthèse.

@Marbeuf : t'es qui ? tu fais quoi ? t'es critique de formations, ou juste un grand gosse qui se roule par terre quand on lui répond pas ? L'aggressivité de tes propos me fait penser des comportements que j'observe dans la crèche de ma fille.


Photo pluton1b h9n4ea - Eugenol
pluton

29/09/2013 à 23h39

marbeuf écrivait:
-----------------
> la question était: "qu'est ce que tu fais pour la perte osseuse dans ce cas là?"
> réponse attendu : "bah moi je fais ça, ça et ça puis je referme avec mon
> greffon"
>
> Il faut effectivement 2 minutes
> Mais il et vrai que PrMarcus a dit que : pas bien!! complètement hors sujet!!
>
> Il faudrait peut être arrêter de déconner et remettre les pieds sur terre les
> amis!!!!
>
>

tu aurais du sortir de ta sieste car Olivier à répondu qu'il refermais justement avec son greffon sans rien mettre autre chose que le sang présent, que çà ne se ré-ostéointègrait pas de toutes façons, il se formait une fibro-intégration de la zone touchée par la péri-implantite
qu'avant, ils essayaient de polir les implants à surface rugueuse mais plus maintenant car ils se sont rendu compte que çà créait plus de défauts que sans et qu'en plus çà polluait la surface implantaire
et que les implants sur lesquels le traitement de la périimplantite marchait le mieux étaient les implants usinés (lisses), mais çà faut pas sortir de math sup pour comprendre pourquoi...

bref, tu gueules pour avoir une info que tu n'as pas écouté, alors que demandé gentiment on te l'aurait aussi (re-) donnée, c'était pas la peine de pourrir le sujet...


marbeuf

29/09/2013 à 23h54

c'était mon voisin qui avait poser la question et moi qui lui ai demander pourquoi il avait poli les spires de l'implant. Je ne dormait donc pas mon grand!!
C'était pour étayer les propos de Fred que je suis revenu sur ce sujet et non pour pourrir quoi que ce soit. Tu sembles bien susceptible.

Finalement FRED a raison:

Pour le même prix et seulement 5 étages au dessus il vous est proposé une formation de chirurgie muco gingivale avec TP Sur pièces anatomiques fraiches (une tête pour 2) et un moniteur pour 4 étudiants. Pour ceux que cela intéresse, c'est la SAPO Paro. là bas, on a jamais vu de participant partir avant la fin!!

Autre point sur lequel Fred a raison, il risque surement d'y avoir mois de monde à la prochaine session, et surtout, ca risque de lasser les conférencier eux même de faire un TP de 4ième année


RépondreCiter
steg

30/09/2013 à 00h01

Merci aux organisateurs pour cette formation,merci à Olivier pour le partage de ses connaissances pour sa gentillesse et sa disponibilité .tous n était pas parfait c est sur mais moi ce qui m'a le plus marqué , comme dans toutes les formations auxquelles j ai assisté,c est la présence de certaines personnes qui savent déjà tout ??
Pourquoi perdent ils leur temps a venir encore en formation ?


Photo pluton1b h9n4ea - Eugenol
pluton

30/09/2013 à 00h16

je ne suis pas susceptible et prends bonne note des remarques, comme je l'ai déjà dit pour pouvoir faire mieux pour les (éventuelles) formations suivantes...pas forcément sur le même thème d’ailleurs...

ce que je retiens, c'est que certains n'y ont pas trouvé leur compte, d'autres oui
bizarre, les fiches d'évaluations distribuées par Olivier étaient quasi toutes très bonnes...
lui même semblait plutôt content du déroulement et de l'organisation générale...

laissons le intervenir s'il lit se sujet pour nous donner de sa plume son avis, sans chichis, on est entre grandes personnes et jouer les "faux culs" ne fera pas avancer le schmilblick...


Img 8465 fqhxid - Eugenol
noahaxeltiger-olivier

30/09/2013 à 00h19

En ce qui me concerne j'ai été content de partager mon expérience avec vous pendant ces 2 jours de formation.

Heureux de lire que la plupart d'entre vous ait été satisfait par la formation théorique.
Je suis aussi heureux de lire vos remarques plus négatives.

Il est je pense primordial en tant que conférencier en ce qui me concerne et en tant qu'organisateur en ce qui concerne Raphael, Marc et Laurence de savoir ce qui a plu et ce qui a cloché. C'est pour cette raison que je vous ai clairement demandé dès le 1er jour de remplir et de nous laisser la fiche d'évaluation que vous aviez à la fin de vos compendium. Nous étions 27, 17 ont laissé cette fiche. Je vous laisse tirer vos conclusions.

Je suis entièrement d'accord sur le fait que conférencier et organisateurs doivent prendre leur part respective de responsabilité. Et je ne tente absolument pas à m'y dérober.

Donc pour répondre aux remarques de marbeuf :
1- marbeuf écrivait:
> Il n'a fait que reprendre son appli et pas grand chose d'autre.

Le contenu de la formation que tu as suivi colle exactement au programme annoncé. Donc je ne sais pas si c'était trop compliqué pour toi ou si tu t'es endormi pendant la formation, mais il semblerait que tu es manqué un grand nombre d'éléments et de détails que tu ne trouves pas dans l'application iMuco! Heureusement tu as le compendium pour revoir ça tranquilement à ton rythme.

2- marbeuf écrivait:
> une "formation" (qui n'en est pas une, tout au plus une promotion de imuco)

Je pense que tu es là de mauvaise fois. J'ai parlé de l'application pendant 3 minutes, chrono en main, ayant eu de la part d'autres participants la demande de montrer à quoi iMuco ressemblait et quel était son contenu.
Je suis vraiment attristé de voir que tu n'as peut être pas assez profité des informations données lors de ces 2 jours. Ou alors tu as déja une grande expérience en la matière et savais peut être déja tout avant de venir. J'ai pourtant pas le souvenir d'avoir été impressionné par la qualité de tes lambeaux déplacés coronairement sur les machoires de porc !?

3- marbeuf écrivait:
> Par ailleurs seul pour s'occuper de 27 personnes en tp, on comprend pourquoi il faut 3 heures pour 2 lambeaux déplacés coronairement.

Je suis sur ce point entièrement d'accord avec toi. Ce point a été discuté avec les organisateurs qui étaient parfaitement informés que je ne souhaitais pas avoir plus de 20-22 participants maximum. Je trouve ça aussi dommage.
Cependant, il faut aussi comprendre et accepter quand on s'inscrit à ce genre de formations que ces sessions sont destinées à un groupe et ne sont pas un cours personnel.
Je comprends également que tu as préféré travailler sur têtes humaines, mais là encore, vous saviez en lisant le programme que les TP serait sur machoires de porc.

4- marbeuf écrivait:
> Tu as raison, il a bien répondu lorsqu'il lui a été demander comment il avait traiter son cas de peri implantite!!!!!
> il nous donnera peut etre la reponse dans l'upgrade de IMuco

Je commence à douter de ta présence au cours marbeuf!!!
J'ai expliqué que le traitement de la péri-implantite était un traitement mettant en place un protocole de contrôle de l'infection mais que je pouvais pas rentrer dans plus de détails car cela nécessiterait trop de temps. Ce n'est pas éviter une question c'est en enseignement ce que l'on appelle recadrer une discussion.
J'ai fait exactement la même chose quand vous avez demandé sur la gestion des tissus durs en post extractionnel et sur les concepts prothétiques utilisés.
Je ne peux pas croire que tu es trop naif pour croire que répondre à une question concernant les infections peri-implantaires qui est un problème extrêmement compliqué puisse se faire en 5 minutes.

Je suis aussi désolé de t'annoncer que malheureusement la prochaine mise à jour de iMuco ne te renseignera pas sur le traitement des peri-implantites, iMuco étant une application sur le traitement des récessions gingivales. Mais j'espère que tu l'avais compris ... ou bien ??

Pour Raphael, Marc et Laurence, Dexter a eu en charge l'organisation des TP durant mes 4 dernières formations en France. L'équipe de Dexter n'était cette fois pas la même, et n'était pas à la hauteur des prestations auxquelles Dexter m'avait habitué les fois précédente. Le matos ne correspondait pas la liste que je vous avais fourni, les machoires de porcs n'étaient pas de la même qualité. Je pense qu'ils vous faut avoir une sérieuse discussion avec eux.
Dernier point sur les implants : utiliser des implants était innovateur mais comme je l'avais pressenti et comme je vous avais averti, je trouve dommage que cela ait pris autant de temps.

Voilà pour mes commentaires.
Je vous remercie à tous en espérant que vous aurez pu au moins tirer quelques choses de positif durant ces 2 jours.


Olivier Carcuac


Grueavatar nptrc9 - Eugenol
Le Choixpeau magique

30/09/2013 à 00h30

Dans chaque formation il y a toujours un petit groupe de pénibles, en général venus ensemble (asinus asinum fricat), qui arrivent en retard, repartent avant la fin, se font toujours remarquer en entrant et ressortant en salle de conférence de façon désynchronisée par rapport aux autres (ce sont des rebelles).

Ils posent des questions à la con, détournent le conférencier du sujet en tentant de le faire partir sur de longues digressions (en quelque sorte l'équivalent des trolls des forums). Ils ne semblent par remarquer les agacements et soupirs des autres participants qui se demandent si les fauteurs de trouble ont été forcés à s'inscrire.

Il ne se mélangent pas aux autres, et vont manger "dehors", rejetant en se pinçant le nez ici le buffet qui leur est proposé, là le restaurant qui leur a été réservé.

Je crois qu'à chaque formation où je suis allé je peux me souvenir assez précisément de la tronche des fâcheux et des détails de leur comportement, même quand la formation ne m'a pas laissé un souvenir impérissable. Ca m'énerve de moins en moins, tentant d'accepter avec philosophie ce certain pourcentage contre lequel on ne peut rien faire.

Par contre je suis toujours étonné du flegme des organisateurs et conférenciers, sans doute fruit de leur habitude.


Mario ycg44a - Eugenol
Mario180

30/09/2013 à 00h53

noahaxeltiger-olivier écrivait:
-------------------------------
> C'est pour cette raison que je vous ai clairement
> demandé dès le 1er jour de remplir et de nous laisser la fiche d'évaluation que
> vous aviez à la fin de vos compendium. Nous étions 27, 17 ont laissé cette
> fiche. Je vous laisse tirer vos conclusions.

Je suis navré, mais j'ai zappé en partant de te rendre la mienne. Je le fais dès que j'ai 2 minutes, et te la renvoie ensuite par mail si tu me le donnes en mp. Pas d'autre conclusion que ça à en tirer me concernant.


marbeuf

30/09/2013 à 01h01

Pour reprendre tes points,

Le 3 fait consenssus.
1, 2 et 4
Les vidéos des conf sont très proches des celles présentées sur I muco, c'est tout.
Ton appli est en tout point remarquable et ne porte à aucune discussion. Ces vidéo étant faites sur ton travail, on y voit la qualité de tes chirurgies et des résultats obtenus.


Il y a des éléments que j'ai évidement notés et retenu et qui me serviront dès demain.
Que le souvenir de mes lambeaux t'a laissé indifférent me rassure, je pense avoir encore beaucoup a apprendre.
Tu reconnaitras que la théorie de la chirurgie muco est décrite et expliquée dans bon nombre d'articles et ouvrages. J'avoue rechercher dans ces formations le petit truc , le petit tour de main, la petit combine qui fait que ça peut facilité certaine chose (d'ou l'intérêt de connaitre ton point de vue sur le traitement des pertes osseuses peri implantaire, tant le sujet fait débat).
Malheureusement, je suis ressortis légèrement frustré à ce niveau, et c'est pourquoi je parle de TP de 4ieme année car l'ensemble était assez protocolaire.




Grueavatar nptrc9 - Eugenol
Le Choixpeau magique

30/09/2013 à 01h20

Cette après midi je suis allé regarder dans le Zuhr les procédures qui nous ont été enseignées ce week end pour comparer, et j'ai été étonné de voir que c'était beaucoup moins détaillé que ce que nous a fait O C.


Img 8465 fqhxid - Eugenol
noahaxeltiger-olivier

30/09/2013 à 01h28

marbeuf écrivait:
-----------------
> Tu reconnaitras que la théorie de la chirurgie muco est décrite et expliquée dans bon nombre d'articles et ouvrages. J'avoue rechercher dans ces formations le petit truc , le petit tour de main, la petit combine qui fait que ça peut facilité certaine chose

Des ouvrages sur de la muco il y en a beaucoup et malheureusement beaucoup ne montrent rien. Comme je vous l'ai dit, mes conseils sont basés surtout sur la littérature scientifique. Quand je vais moi-même en formation, je ne porte aucune attention au jugement personnel du conférencier s'il n'y a derrière aucune preuve scientifique. J'ose penser qu'il en est de même pour toi!

J'ai essayé durant ces 2 jours de vous montrer en détail un nombre important de vidéos couvrant les techniques de chirugie mucogingivales avec lesquelles vous pourrez gérer 99% des cas, j'ai vraiment porté attention à vous donnez tous les petits conseils qui vous éviteront bien des galères et qui vous feront gagner du temps, mais j'ai surtout tenu à vous faire réfléchir. Si tu connaissais déja toutes les stratégies thérapeutiques chirugicales, les différents tracés d'incisions en détail, les techiques de sutures et leurs avantages, comment influencer la qualité de prélèvement des conjonctifs enfouis, alors effectivement tu n'avais aucune raison de venir à cette formation.

Si tu cherches à avoir une recette toute prête pour traiter sans réfléchir pour tes cas de muco, alors oui,j'ai totalement échoué ... et intentionnellement.

En ce qui concerne les TP, il est parfaitement logique de passer à des techniques compliquées quand les techniques de bases sont totalement maitrisées. Malheureusement, marbeuf, pour ce que j'ai vu, tu ne semblais pas prêt pour ça. Est ce que tu as pour autant un niveau de 4ème année ? Non ....


Logo vuaztn - Eugenol
mac

30/09/2013 à 01h39

Olivier revient en Corse, c'est plus cool que Paris ;)


Img 8465 fqhxid - Eugenol
noahaxeltiger-olivier

30/09/2013 à 01h48

marbeuf écrivait:
-----------------
> Il y a des éléments que j'ai évidement notés et retenu et qui me serviront dès demain.

Alors c'est peut-être pas si mal. Si on compare avec les chiffres présentés en implanto, chiffres que vous semblez accepter sans problème, alors la formation a un taux de survie de 100% !!! ;-)))

Bonne nuit à vous.
Amicalement
Olivier


Dent masqu e petite f0pbaj - Eugenol
dudule

30/09/2013 à 02h33

Pour avoir déjà fait cette formation, je peux dire à tous ceux qui voudraient la faire qu'il ne faut surtout pas hésiter la qualité de l'intervenant est rarement rencontrée.
Effectivement c'est un des seuls intervenants que je connaisse qui s'appuie exclusivement sur le medline et qui ne vous assène pas des vérités certes plus faciles à assimiler mais bien moins pertinentes.

Après il n'est pas toujours aisé d'organiser des TP car nous sommes dépendants de partenaires commerciaux qui peuvent parfois faire défaut.

Faire le choix d'augmenter le nombre d'inscription contrairement à l"idée reçue n'est pas un choix pécuniaire mais il est toujours difficile de se résoudre à laisser des personnes intéressées sur le carreau.
C'est une erreur c'est vrai car je pense que ce cours ne peut pas être dispensé sous forme de TP à plus de 15 personnes car 5 min avec Olivier pour 15 personnes cela fait déjà 75 minutes !! Et ça personne n'y pense jamais...


2013 03 05 16.04 - Eugenol
styves

30/09/2013 à 12h58

je suis trés satisfait de ces 2 jours j'ai obtenu ce que je venais chercher des conseils,des explications étayées par videos et iconographies et aussi des shemas détaillés au tableau noir pour certaines techniques
c'est vrai qu'il y a toujours quelques olibrius dans toute formation pour poser des questions bateaux à répétition qui perturbe le déroulement du cours et ce sont les mêmes qui critiquent a posteriori ,
j'ai fait e nombreux tp et que ce soit sur têtes humaines,têtes de mouton ,de porc ou tête artificielle ce n'est jamais l'ideal mais cela permet de se familiariser avec les techniques exposées,et pas besoin d'avoir derrière soi en permanence les formateurs pour bien travailler

amitiés à pluton noah dr marcus et son epouse et à tous les participants sympas de cette session


 mg 0207 xwjxcl - Eugenol
Tillc

30/09/2013 à 17h41

Bein moi j'etais content. Ca c'est bien passé.
Apres est ce que tout etait parfait? Non
Est ce que je regrette ? Surement pas !
Est ce que ca m' a servit ? Reponse dans 2 mois :)

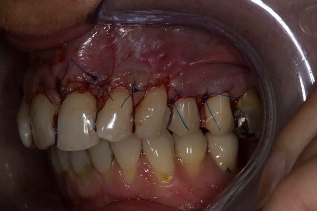
Img 2078 jexjqo - Eugenol
Img 2079 zq4nhx - Eugenol
Img 2076 afcxn3 - Eugenol

Mario ycg44a - Eugenol
Mario180

30/09/2013 à 17h56

tillcky luke : l'homme qui dégaine son scalpel plus vite que son ombre.

Sympa de poster ton boulot ;)


Img 8465 fqhxid - Eugenol
noahaxeltiger-olivier

30/09/2013 à 18h28

Tillc écrivait:
---------------
> Bein moi j'etais content. Ca c'est bien passé.
> Apres est ce que tout etait parfait? Non
> Est ce que je regrette ? Surement pas !
> Est ce que ca m' a servit ? Reponse dans 2 mois :)

Effectivement David tu ne pouvais pas mettre en application de façon plus rapide.
Merci de poster ce cas et ta chirurgie même si tu sais ce que je pense de la technique de tunnélisation ;-))


 mg 0207 xwjxcl - Eugenol
Tillc

30/09/2013 à 20h00

Oui effectivement et la j'ai trouvé la limite de cette technique j'ai pas bien réussi a tracter mon lambeau :/.
Je pense qu'a partir de maintenant je vais me mettre au LDC histoire de me faire vraiment la main avec cette technique.


 mg 0207 xwjxcl - Eugenol
Tillc

30/09/2013 à 20h01

Oui effectivement et la j'ai trouvé la limite de cette technique j'ai pas bien réussi a tracter mon lambeau :/.
Je pense qu'a partir de maintenant je vais me mettre au LDC histoire de me faire vraiment la main avec cette technique.


1...567