Cookie Consent byPrivacyPolicies.comexostose - Eugenol

exostose

Avatar2 u3u8yh - Eugenol
riccyman

18/07/2013 à 19h18

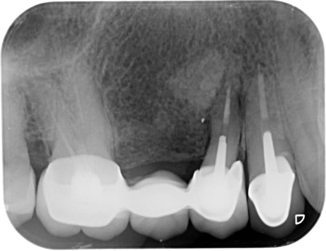
Patiente 79 ans.

gène au niveau de la gencive. a été traité par ATBthérapie à Paris pour cette "spicule".

A l'inspection, j'ai une exostose et un petite fistule sans suppuration, un peu plus distale.

La radio montre une belle masse radio-opaque homogène.
un traitement endo qui semble avoir omis un canal.

Qu'est ce donc selon vous ?

Unknown x 2013 07 18 17 01 32 3 do2avc - Eugenol
Unknown v 2013 07 18 17 04 23 3 idnlpv - Eugenol
Unknown v 2013 07 18 17 06 10 3 jf80vy - Eugenol

cônemorse

18/07/2013 à 19h32

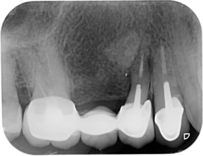
Sur la radio ça ressemble un peu à un apex je trouve, pas toi?


Avatar reduit tuudiu - Eugenol
saitosama

18/07/2013 à 19h54

De même, ça ressemble plus à un apex résiduel qu'à une exostose, ce qui explique l'infection chronique en rapport (complication infectieuse sur exostose?)


Images jm2g2g - Eugenol
dr_0le

18/07/2013 à 19h58

PENSE AUSSI a un apex...


F e01w igu3rl - Eugenol
roumette

18/07/2013 à 21h26

Apex aussi....


Canin

19/07/2013 à 00h12

Je veux pas dire mais l'image radio-opaque on en a rien à cirer ici puisque c'est la prémolaire qui est morte avec une belle lésion apicale.

à extraire.

--
Canin


Avatar2 u3u8yh - Eugenol
riccyman

19/07/2013 à 07h40

Ha oui merci, je le vois aussi maintenant