Cookie Consent byPrivacyPolicies.comEclaircissement interne - Eugenol

Eclaircissement interne

PulpiLeo

02/08/2013 à 16h10

Bonjour à tous,

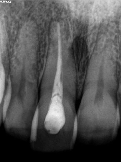
J'aimerais effectuer un éclaircissement interne sur une 11 traitée et dyschromiée avec le temps chez cette patiente sympathique et intéressée par le traitement. Je n'en ai jamais réalisé auparavant. Je me suis renseigné mais j'aimerais connaitre votre avis.

Qu'en pensez vous ? Quels produits utilisez vous ? Combien et comment cotez vous cet acte ? Comment organisez vous ce traitement ?

Merci à vous

R3 ddjs5v - Eugenol

doagui

02/08/2013 à 16h22

Tu commences par BIEN déposer le composite (pas de compo restant sur les parois, ça bloquerait l'action du produit), puis tu désobtures la gutta de telle sorte à avoir accès à une hauteur correspondante à la hauteur coronaire + 2mm. Tu poses alors 1mm de CVI sur la gutta, afin d'éviter au produit d'éclaircissement d'aller plus loin que voulu. Tu dois donc garder accès à la hauteur coronaire +1mm.

Pour info le bouchon de CVI t'évitera des résorption internes, ne le bâcle pas.

Concernant le produit en lui-même, tu dois utiliser du perborate de sodium. Tu peux acheter des trucs tout faits hors de prix en catalogue, ou simplement appeler ton pharmacien qui te fournira un pot qui te fera toute ta carrière pour une vingtaine d'euros. Tu n'auras qu'à mélanger cette poudre avec du serum physiologique pour obtenir une consistance de sucre mouillé, et tu remplis la cavité avec. Tu refermes le tout avec ce que tu veux, un CVI par exemple.

Tu revois le patient tous les 10 jours et tu renouvelles le produit tant de fois que nécessaire.

Si ça n'éclaircit pas c'est qu'il doit rester du composite dans ta cavité. Dans tous les cas, préviens la patiente que comme tout traitement d'éclaircissement les résultats sont variables, et prends bien une photo avant pour comparer à la fin.

A la fin, méfie-toi, on obtient parfois une dent plus claire que les autres ! Dans tous les cas, tu dois laisser la dent sans perborate pendant 1 semaine avant de faire un composite définitif (car sinon le collage est de mauvaise qualité tant que le perborate ne s'est pas totalement inactivé).

La cotation est en HN évidemment, à toi de voir si tu fais un forfait ou si tu comptes à la séance. Ce ne sont pas les matériaux qui vont te coûter, mais le temps passé ! Part du principe que tu vas surement renouveler le perborate au moins 2 fois, plus une séance encore pour faire un composite (SC7, youhou !), ainsi que la séance de démarrage. Ca te fait donc au moins 4 séances (sans compter celle où tu expliques et tu donnes le devis !), à toi de voir ton coût horaire mais à mon avis tu ne peux pas faire ce genre de choses à moins de 3-400€. Dis-toi bien que certes ça semble être un traitement simple et certains diront que c'est cher payé pour ce que c'est, mais en réalité garde bien à l'esprit que tu permets ainsi à la patiente de s'éviter une facette ou une couronne, et que ça te prend plus de temps que de faire une prothèse ! Pas de raison de faire ça pour 2 sous donc.


King lcqqit - Eugenol
King of PAP

02/08/2013 à 16h37

Tout pareil que Doagui, qui a fait GRF. Je me trompe?


Img 3657 cwjvqm - Eugenol
alapex

02/08/2013 à 17h03

Le perborate de sodium s'utilise avec de l'eau du robinet si ttt tous les 15 j .
Tu peux faire avec H2O2 mais tu renouvelles à 4 ou 5 j .
Le plus important est la limite supérieure du civ , tenant comte du rayonnement des tubili dentinaires , tu ne dois pas prendre le risque d'être trop bas car risque de résorption radiculaire . Tu ne descends pas sous la jonction amélo dentinaire .
Attention dans les colorations sévères ton collet peut ne pas se décolorer des masses , tu le dis à ton patient qui ne verra plus que ça .
Signature d'un consentement éclairé .

Pour finir parmi les contre-indications absolues se trouve les dyschromies hétérogènes...


chloé

02/08/2013 à 17h07


Même protocole mais facturé entre 70 et 100€ !


doagui

02/08/2013 à 17h10

King of PAP écrivait:
---------------------
> Tout pareil que Doagui, qui a fait GRF. Je me trompe?

En fait je suis surtout allé à la fac de Montrouge et à l'hôpital d'Ivry, où enseignent les Dr Tirlet et Attal.


Marque a3 orange fyvhyq - Eugenol
Marc Apap

02/08/2013 à 17h19

Putain, ça devient gonflant ces allusions sans cesse à des enseignants certes compétents, mais qui ne sont pas le nombril du monde non plus. Machtou qu'on met à toutes les sauces en endo, et voilà Gil et JP pour la restauratrice ! Ils étaient encore en culotte courte que le protocole était déjà au point pour le blanchiment interne. Alors SVP pas la peine de citer des nouveaux nés comme s'ils étaient à l'origine de toute chose en dentisterie.


RépondreCiter
doagui

02/08/2013 à 17h20

chloé écrivait:
---------------
>
> Même protocole mais facturé entre 70 et 100€ !

Tu es donc largement déficitaire.

C'est ton droit bien entendu, mais est-ce un bon conseil à donner ?

La plupart des praticiens feraient une CCM. Toi, tu rends un grand service au patient, tu lui règles son soucis esthétique sans lui délabrer sa dent et sans lui facturer 1000€ (ou pas loin) de prothèse et tu lui évites une probable limite métallique de CCM qui apparait bien souvent par la suite.

Tu prends la même situation de départ, et tu règles le problème d'une meilleure façon avec un pronostic meilleur.

Pourquoi donc devrais-tu être moins bien honorée alors que tu as fait un meilleur travail ?

Il n'est pas question d'arnaquer le patient, ni de le faire raquer à mort sous prétexte que c'est de l'esthétique. Il s'agit simplement de voir le temps que tu y passes et de facturer ce temps AU MOINS à la valeur des charges du cabinet. Perso en tant que collab j'avais calculé que l'heure de présence au cabinet me coûtait en gros 80€ (entre la rétrocession, le labo, l'URSSAF et tout le reste), c'est bien plus que ça encore pour un titulaire si je ne me trompe. Si je passe en gros 2h en tout sur un traitement je ne me ferai pas payer moins de 160€ ça c'est sûr sinon j'aurai perdu de l'argent, et ensuite me faire rémunérer 100€ de l'heure pour rendre le sourire à un patient sans lui fusiller la dent, bah çe ne me semble pas volé. 80*2 + 100*2 = 360€, tu vois on y est, et c'est un forfait, s'il y a besoin d'une séance en plus c'est pas plus cher.

Après garde bien en tête que c'est soit ça soit au moins une facette céramique à combien, 450€ au moins j'imagine ? Remboursement 40€, merci Dame Sécu ! Propose les 2 au patient, tu verras qu'il sera encore bien assez malin pour choisir l'éclaircissement à 350€, surtout si tu lui expliques que ça lui économises des tissus.


doagui

02/08/2013 à 17h22

Marc Apap écrivait:
-------------------
> Putain, ça devient gonflant ces allusions sans cesse à des enseignants certes
> compétents, mais qui ne sont pas le nombril du monde non plus. Machtou qu'on met
> à toutes les sauces en endo, et voilà Gil et JP pour la restauratrice ! Ils
> étaient encore en culotte courte que le protocole était déjà au point pour le
> blanchiment interne. Alors SVP pas la peine de citer des nouveaux nés comme
> s'ils étaient à l'origine de toute chose en dentisterie.

On se calme, j'ai simplement répondu à la question, rien de plus. Je n'ai pas parlé d'eux avant qu'on me pose la question, je n'ai pas non plus dit qu'ils avaient la paternité du protocole, et tu ne sais d'ailleurs même pas du tout quelle opinion je peux bien avoir de l'un ou de l'autre.

On souffle un coup et on remballe l'agressivité gratuite svp.


chloé

02/08/2013 à 17h32

doagui écrivait:
----------------
> > C'est ton droit bien entendu, mais est-ce un bon conseil à donner ?

Ce n'est en aucun cas un conseil mais juste une info de ce qui se fait dans le cab où je travaille.
Je ne suis que l'AD mais sache que je suis tout à fait d'accord avec ton raisonnement.


King lcqqit - Eugenol
King of PAP

02/08/2013 à 18h47

Bon M.APAP, ça suffit maintenant, il faut arreter d'agresser continuellement les posteurs sur ce forum, ça commence à me briser les noix. Doagui a décrit un protocole que j'ai entendu mot pour mot dans une formation que j'ai effectué. Je lui ai juste demandé s'il avait fait la même.
Si ton égo ne supporte pas qu'on cite quelqu'un d'autre, tant pis pour toi.
Ca fait trois fois que je me fais vilipender par toi sur ce forum, et c'est la dernière que je réponds poliment.
A bon entendeur salut


 40042465 bill gordon203 lfznbq - Eugenol
torino

03/08/2013 à 11h29

vous facturez à la fin du traitement ou après chaque scéance?
que facturez vous en cas d'échec?


Marque a3 orange fyvhyq - Eugenol
Marc Apap

03/08/2013 à 12h37

Avant, pendant, après, à tout moment, même en cas d'échec : on est des dentistes libéraux oui ou non, merde ?
C'est le seul moyen pour rentrer dans nos frais face à une sécu et des mutuelles qui nous égorgent, et pouvoir rembourser les formations en dentisterie esthétique qui nous ont coûté la peau des fesses.


Ico v for vendetta08 jzhpep - Eugenol
o⅁ pnɐuɹ∀

03/08/2013 à 16h20

Perso je n'utilise plus le perborate, je préfère dépenser plus et mettre un produit commercial qui a le gros avantage du conditionnement en seringue et de la consistance en gel beaucoup plus pratique.
Sinon effectivement, pour être actuellement sur un cas de deux I inf à éclaircir, une c'est ok, l'autre j'ai remis une dose, les collets restent sombres, je m'en fiche je suis en bas mais faut savoir et prévenir ou alors savoir bien gérer le niveau de ton bouchon, je ne suis pas encore assez expérimenté dans le domaine pour bien y arriver.
La grosse difficulté est dans l'obtention d'une obturation étanche, le compo tient pas car inactivé, le CVI ou un IRM/Cavit. En bas c'est un peu chaud car pas beaucoup de place mais heureusement le produit diffuse.
Honoraire : actuellement à 270€

Et arrêtez d'emmerder Marc, qui est une personne adorable, mais il a son caractère. De toute façon il a toujours raison.


Pierre-E

03/08/2013 à 17h03

J'utilise Opalescence Endo.

Très bons résultats, mes 2 seringues achetées il y a 1 an : même aps encore fini la première.

JE n'ai presque jamais a faire de seconde application.

Dès lors : premier RDV = 15 minutes, second RDV = 15 minutes.

60€, HN.


Marque a3 orange fyvhyq - Eugenol
Marc Apap

03/08/2013 à 17h31

Par les temps qui courent, pensez à mettre les seringues au frigo : le peroxyde d'hydrogène n'aime pas trop la chaleur


doagui

03/08/2013 à 17h38

Pierre-E écrivait:
------------------
> J'utilise Opalescence Endo.
>
> Très bons résultats, mes 2 seringues achetées il y a 1 an : même aps encore
> fini la première.
>
> JE n'ai presque jamais a faire de seconde application.
>
> Dès lors : premier RDV = 15 minutes, second RDV = 15 minutes.
>
> 60€, HN.

Sans compter la séance pour expliquer et donner le devis, ainsi que la séance à une semaine pour faire le SC7 qu l'on ne peut pas faire juste après le retrait du produit éclaircissant sous peine d'avoir un collage foireux. De plus, j'ai bien du mal à croire que la séance de dépose du compo original, de désobturation, de mise en place du bouchon de CVI et de lancement de l'éclaircissement se fasse en 15 min. Ceci dit je veux bien imaginer que tu sois plus rapide que moi, alors je te donne le bénéfice du doute.

Après libre à chacun de faire les tarifs qu'il souhaite. Je trouve simplement dommage de ne pas se faire honorer sur les quelques actes qui le permettent encore.

Faites-vous payer ce que vous valez ou bien vous finirez par ne plus valoir que ce qu'on vous paye.


Marque a3 orange fyvhyq - Eugenol
Marc Apap

03/08/2013 à 18h39

Je vous donnerais bien quelques conseils sur les produits à acheter et la manière dont il faut s'y prendre pour réussir l'éclaircissement interne, avec éventuellement également quelques photos.
Seulement, il faudrait que vous m'adressiez un chèque de 250 € chacun pour avoir ces renseignements en mp, parce que je ne vais tout de même pas vous envoyer gratuitement le résultat de plusieurs années de travail et le fruit de ma longue expérience sur le sujet.
"Faites vous payer pour ce que vous valez, sinon vous ne vaudrez plus que ce qu'on vous paye"


RépondreCiter
doagui

03/08/2013 à 19h04

Marc Apap écrivait:
-------------------
> Je vous donnerais bien quelques conseils sur les produits à acheter et la
> manière dont il faut s'y prendre pour réussir l'éclaircissement interne, avec
> éventuellement également quelques photos.
> Seulement, il faudrait que vous m'adressiez un chèque de 250 € chacun pour avoir
> ces renseignements en mp, parce que je ne vais tout de même pas vous envoyer
> gratuitement le résultat de plusieurs années de travail et le fruit de ma longue
> expérience sur le sujet.
> "Faites vous payer pour ce que vous valez, sinon vous ne vaudrez plus que ce
> qu'on vous paye"

Puis-je savoir pourquoi tu te comportes comme un con ?

Si tu as des choses à dire, dis-les.


Marque a3 orange fyvhyq - Eugenol
Marc Apap

03/08/2013 à 19h24

Pour essayer de te faire réfléchir sur ce que tu écris, mais visiblement, je n'y suis pas arrivé.


doagui

03/08/2013 à 19h48

Non vois-tu ce qui est malheureux c'est que tu sembles bien mal interpréter ce que j'écris. Tu prends une phrase et tu en tires toute sorte de déduction sur ma supposée façon de pensée ou sur mes valeurs je suppose. Tu as déjà commis cette erreur lorsque j'ai répondu à une question en donnant le nom de certains de mes profs (tu en as déduis que je les vénérais ou je ne sais quoi de ce genre, ce qui ne saurait être plus éloigné de la vérité) et là manifestement tu refais la même bêtise. Il faut croire que tu n'apprends pas d'une fois sur l'autre.

Voilà une chose à laquelle tu pourrais penser par deux fois avant de venir régurgiter ici ta bile.


Marque a3 orange fyvhyq - Eugenol
Marc Apap

03/08/2013 à 20h35

Pas de bile. Je critique juste l'état d'esprit consistant à vouloir faire payer certaines prestations un prix que j'estime trop élevé. Parce qu'entre nous, ce n'est ni difficile, ni très long de pratiquer un blanchiment interne. Et pour le patient, c'est nettement mieux qu'une facette ou une couronne. Donc, un prix raisonnable me paraît être inférieur à 200 €. Au delà, c'est exagéré par rapport au temps passé, au degré de compétence, au service rendu car bien souvent, un léger assombrissement de la dent réapparaît au bout de quelques années, etc... Je fixe la barre en fonction de ces critères là, je ne suis pas un commerçant qui veut faire le même bénéfice sur tout.
La phrase "à vous faire payer..." c'est celle de commerciaux sans scrupules qui prétendent apprendre leur métier à des dentistes.
C'est indigne et plus que jamais ici, le tact et la mesure doivent nous guider dans nos décisions et nos appréciations, pas cette maxime stupide que tu as citée.
Lorsqu'on agit comme beaucoup ici le prônent, en faisant du HN partout et en voulant faire raquer les patients un maximum à tout bout de champ, on ne peut récolter que le mépris, la défiance et la haine des gens et des journalistes. Il ne faut pas s'en étonner.


jeff13

03/08/2013 à 20h42

Le problème, c'est le résultat incertain. Car si ca marche, 200€, ca va. Mais si ca marche pas du tout, 200€ c'est trop et faut avoir bien expliquer au patient avant pour pas passer pour un abruti (et encore).
Et l'idée de fixer en tarif en fonction de la reussite est ridicule.


Ico v for vendetta08 jzhpep - Eugenol
o⅁ pnɐuɹ∀

03/08/2013 à 21h00

Une péréquation sur le nombre de séances, leurs durées, donnera à peu près en cumulé bien une heure.

Nous sommes formatés par des tarifs conventionnels que nos représentants n'ont su faire évoluer qu'à la baisse puisque l'inflation a fait son travail sur des honoraires bloqués.

200 à 400 € ne sont pas une somme extravagante compte-tenu du temps passé. Personne n'est allé faire un tour chez un avocat récemment, ils s'embarrassent bien moins que nous et ne sont pas mal vus de la population. Les tarifs de convention corrects quand l'inflation n'était pas passée par là, le matériel technique, les matériaux, les protocoles étaient bien plus simples et rapides, la pression fiscale et sociale était sans commune mesure.

On ne baise pas le patient avec de tels honoraires, loin de là, on se fait par contre bien enfler en pratiquant des honoraires de convention iniques, les baisés c'est nous et nous devons nous réveiller.


doagui

03/08/2013 à 21h49

Marc Apap écrivait:
-------------------

> Lorsqu'on agit comme beaucoup ici le prônent, en faisant du HN partout et en
> voulant faire raquer les patients un maximum à tout bout de champ, on ne peut
> récolter que le mépris, la défiance et la haine des gens et des journalistes. Il
> ne faut pas s'en étonner.

Ah bon ? Où tu m'as vu prôner le HN partout ? Qui parle de faire raquer un maximum ? Si c'était ça mon but je ferais une facette ou même plus simplement un IC-CCM, je serais surement plus gagnant. Là je propose une solution de meilleure qualité et nettement moins chère. Jusqu'à preuve du contraire, 350€ ça reste toujours moins que le prix d'une prothèse par chez moi.

Quant au reste de ton discours dégoulinant de bons sentiments, je n'ai encore jamais vu les avocats récolter "mépris, défiance et haine", pas plus que les huissiers, les plombiers, bref toutes les autres professions libérales. Y'a bien que les dentistes pour être assez idiots pour ça.

C'est toujours désarmant de voir que certains, non contents de se faire imposer des tarifs honteux, choisissent eux-mêmes de s'en imposer d'autres. Difficile de se plaindre après ça.

Tu vois moi ce qui m'agace c'est surtout cet état d'esprit sur eugenol où n'importe qui se permet de sauter à la gorge de n'importe qui à la moindre phrase. Si tout le monde pouvait souffler un peu avant de se comporter comme un nase, on s'éviterait bien des discussions désagréables.


12