Cookie Consent byPrivacyPolicies.comPasser de la CCM à la CCC - Eugenol

Passer de la CCM à la CCC

levm

21/08/2013 à 01h08

Tailler une dent non .
Bien maitriser le collage avec le traitement des surfaces dentaires et de la céramique, les differences entre toutes les ceramiques , Oui surement .


Marque a3 orange fyvhyq - Eugenol
Marc Apap

21/08/2013 à 01h34

Tu peux trouver cela dans n'importe quelle publication traitant du sujet. On complique à loisir pour faire croire que c'est un truc extrêmement élaboré et complexe, mais ce n'est pas si difficile. En gros pour les couronnes et les onlays, il y a aujourd'hui d'abord l'E-max qui se mordance et qui est très esthétique car translucide. La zircone est plus ou moins opaque et ne se mordance pas, donc ne se colle pas vraiment. Pour les facettes, c'est céramique felspathique conventionnelle ou e-max qui se mordancent (acide fluo + silane)
Quant aux principes du collage, ils sont d'une telle simplicité que cela ne nécessite pas plus d'une heure pour tout comprendre : d'une manière générale, plus le système est élaboré (plusieurs produits) plus il est performant. La seule chose à apprendre à maîtriser, c'est la manipulation des produits, qui dépend de leur viscosité et de leur temps de prise.
Honnêtement, tout cela est extrêmement facile.La difficulté est de trouver un prothésiste à la hauteur, qui livre assez vite, n'est pas excessivement cher, puis de motiver les patients. Attention, les bridges restent encore un peu délicats et fragiles, même en zircone, car en stratification, la céram s'écaille et en monobloc, je ne suis pas sûr que la qualité soit toujours au rendez vous dans tous les labos.


ny162

21/08/2013 à 11h52

Emax c'est quoi comme type de céramique? J'avais lu l'article de l'EMC sur les restaurations céramo-céramiques et ils n'en parlent pas.
J'avais cru comprendre que pour une CCC, on choisit d'abord la céramique d'infrastructure en fonction des critères cliniques/mécaniques/esthétiques, au choix vitrocéramique, alumine ou zircone et ensuite une céramique cosmétique recouvre l'infrastructure. C'est ça ou je suis à côté de la plaque? (je n'en ai jamais fait aussi...)


Marque a3 orange fyvhyq - Eugenol
Marc Apap

21/08/2013 à 14h58

Y a de ça, mais c'est pas tout à fait ça !
N'étant pas un spécialiste des biomat, merci à ceux qui verraient des erreurs de me corriger:
l'E-max est une ceramique vitreuse mise au point par Ivoclar Vivadent, et qui se travaille avec un matériel de laboratoire spécifique. Elle existe en plusieurs opacités selon l'usage (pour masquer par exemple un moignon coloré ou métallique)
Cette céramique peut être utilisée pour une chape, qui sera ensuite recouverte d'une céramique cosmétique par stratification (la méthode la plus esthétique pour des couronnes) ou travaillée en masse (comme pour une pièce métallique, par cire perdue) et simplement maquillée en surface (pour des pièces petites, comme des inlays, voire onlays).
Il existe par ailleurs un E-max à fraiser pour le Cerec.
Aujourd'hui, c'est l'un des produits qui donne les meilleurs résultats esthétiques tout en étant très solide. On peut tout faire avec, de la facette à la couronne en passant par les restaurations partielles, mais pas vraiment les bridges, ou alors très petits, en antérieur avec des embrasures réduites.
Il y a d'autre part les zircones, qui sont utilisées comme chapes de couronnes ou de bridges (restrictions concernant la solidité de la céramique cosmétique dessus)soit en masse pour réaliser des couronnes ou des bridges. Le tout, par usinage à partir de blocs qui sont ensuite traités à chaud pour les rendre plus solides. En général, la zircone est assez opaque. Elle est blanche, mais on peut la teinter légèrement. La zircone Lava (3M) serait esthétique, je ne l'ai jamais essayée. Selon le Clinical research (Gordon Christensen, Utah), la céramique Bruxzir serait très solide comme matériau pour les couronnes postérieures usinées (dans la masse).
L'E-max se mordance à l'acide fluo + silane pour un collage des pièces prothétiques à la dentine et l'émail.
La zircone ne peut pas se mordancer et donc ne se colle pas. Il existe cependant des silanes spécifiques chez certains fabricants, et des colles automordançantes et autoadhésives qui seraient plus efficaces dessus (la dernière version de chez DMG /Pred : PermaCem 2.0)
PS : l'alumine, c'est in-ceram ou procera en alumine, on n'en fait plus beaucoup aujourd'hui. L'EMC n'est pas réputée pour être très up to date. Il faut réactualiser tes sources d'information si tu veux savoir ce qui fonctionne bien aujourd'hui.


Smile beach jgh0a1 - Eugenol
Céramik

21/08/2013 à 15h22


Le e.max CAD, n'est pas limité au Cerec. Bcp de labo usine l'e.max sur bcp de machine/ssystèmes CAD/CAM, puis maquille ou même stratifie.

Le e.max CAD demande aussi une cuisson, les bloc e.max sont trop difficile à usiner dans la phase finale.

Il existe aussi, depuis 20 ans, l'Empress, d'Ivoclar, plus fragile que e.max, mais plus joli.

E.max est pour l'instant le matériel le plus versatile, car le collage permet de faire bcp de chose.
Par contre les bridge en e.max, c'est ultra limité comme indication. On peut aussi scellée le e.max dans certaine condition, mais bof, je colle presque tous.

Pour ma part, je ne fais presque plus de CCM depuis 15 ans.

De 5 à 5, en unitaire, c'est e.max, 95% du temps, zircone 5%, CCM 0%
Pour les 6-7, e.max ou zirone, selon le cas clinique.
Bridge ? Je place des implants à la place, alors si quelques cas de temps en temps, zircone ou parfois CCM.
Sur les implants, en unitaire, zircone transvissé avec connection hybride (titane), ou zircone scellée sur pillier titane Cad-Cam.
En zone esthétique, pillier zircone et e.max scellêe ("collée")


--
Céramik


ny162

21/08/2013 à 16h38

D'ac! C'est plus clair!
Je vais faire des recherches sur des articles plus actuels, dans 6 mois c'est le grand bain (comprendre fin de la fac) et faut que je sache ce qui se fait actuellement pour pas rester cloîtrée au traditionnel endo + IC + CCM...


Img 2951 flo3gr - Eugenol
molinarius

21/08/2013 à 17h11

c est bien beau tout ça , mais tout le monde ne peu pas faire de
l emax sans changer quelques mauvaises habitudes .
Il serait bien que les nonoliens gros consommateur d emax
qui nous postent de tres joli cas qui font envie , montrent également
l attention porté à leurs préparations .... car on entend bien souvent
parler du collage et des protocoles de pose mais trop rarement de l etape de preparation
!!! et qui pourtant est essentiel . pas uniquement pour les cas de facettes
j usine de l emax cad , de zircone et press de l emax .

il est primordial de bien suivre les protocoles ivoclar et tous !! pas uniquement le collage
pas de contres depouilles , pas d angle vif , une hauteur mini de 2mm, une prepa homothétique etc etc , sans ces conditions l emax casse tres vite !
il m arrive trop souvent de refuser de faire une emax a cause de cela . je bascule sur une zircone bien moins exigeante.


santon

21/08/2013 à 17h35

Pour les préparations il n'y a pas qu'IvocL.... tu as aussi des TP organisés par des confrères


santon

21/08/2013 à 17h58

INDEPENDANTS je voulais dire (bien sûr)

Je n'aime pas trop les "mélanges" de genre - un commercial reste un commercial.

J'aime bien rester "indépendante" et m'entourer de confrères qui le restent.


Tout ceramique bridge 2 qgquxo - Eugenol
mumu26

28/09/2013 à 01h53

G-P écrivait:
-------------
> 160-180€ pour une e.max stratifiée c'est OK, ce n'est pas justifiable pour une
> monobloc, en tout cas pas en province ;)
>
> Les v-prep on en parle pas beaucoup ici, je trouve que c'est très mutilant, sur
> la vidéo sur ton site qui explique la v-prep, je ferais plutôt un inlay en
> gardant les cuspides.
>
> (
> http://www.cfao-cadcam.net/index.php?option=com_content&view=article&id=75&Itemid=122&lang=fr
> )

Etes vous de la région parisienne pour avoir des 160-180 € pour de l' e max ?


S2y2o1v7q53ws4r5wy6ou8czrpom - Eugenol
pxav

28/09/2013 à 11h17

Céramik écrivait:
-----------------
> Pour ma part, je ne fais presque plus de CCM depuis 15 ans.
>
> De 5 à 5, en unitaire, c'est e.max, 95% du temps, zircone 5%, CCM 0%
> Pour les 6-7, e.max ou zirone, selon le cas clinique.
> Bridge ? Je place des implants à la place, alors si quelques cas de temps en
> temps, zircone ou parfois CCM.
> Sur les implants, en unitaire, zircone transvissé avec connection hybride
> (titane), ou zircone scellée sur pillier titane Cad-Cam.
> En zone esthétique, pillier zircone et e.max scellêe ("collée")
>
>
> --
> Céramik

Et je te remercie Ceramik, car tu m'as convaincu et je ne fais pratiquement plus de métal, quelques fois de la pom (pressée sur métal), et sur implants multiple, très souvent armature métal trans vissée, et Emax press par dessus collé...au ciment provisoire..., ainsi en cas de problème, il est très simple de décoller l'emax et d'avoir accès à la vis.
Je n'ai jamais eu de casse avec ce type de superstructure, malgré le ciment provisoire.
Il m'est arrivé aussi de faire des bridges + ciment provisoire sur dents, (jusqu'à 4 éléments) pour protéger un site implantaire, pas de casse non plus.
Un petit rappel, labo au cabinet donc pas 180 roros par éléments...

finitions le plus souvent juxta (gingival).
--
xbk
"Si tous ceux qui croient avoir raison n'avaient pas tort, la vérité ne serait pas loin" Dac Pierre


Smile beach jgh0a1 - Eugenol
Céramik

28/09/2013 à 16h54



;-)

Mais tu as plus de co... Que moi, e.max au ciment provisoire, j'ai pas encore osé !
Par contre, des e.max sur molaires, ça, j'en ai des centaines !

Céramik







pxav écrivait:
--------------
> Céramik écrivait:
> -----------------
> > Pour ma part, je ne fais presque plus de CCM depuis 15 ans.
> >
> > De 5 à 5, en unitaire, c'est e.max, 95% du temps, zircone 5%, CCM 0%
> > Pour les 6-7, e.max ou zirone, selon le cas clinique.
> > Bridge ? Je place des implants à la place, alors si quelques cas de temps en
> > temps, zircone ou parfois CCM.
> > Sur les implants, en unitaire, zircone transvissé avec connection hybride
> > (titane), ou zircone scellée sur pillier titane Cad-Cam.
> > En zone esthétique, pillier zircone et e.max scellêe ("collée")
> >
> >
> > --
> > Céramik
>
> Et je te remercie Ceramik, car tu m'as convaincu et je ne fais pratiquement plus
> de métal, quelques fois de la pom (pressée sur métal), et sur implants multiple,
> très souvent armature métal trans vissée, et Emax press par dessus collé...au
> ciment provisoire..., ainsi en cas de problème, il est très simple de décoller
> l'emax et d'avoir accès à la vis.
> Je n'ai jamais eu de casse avec ce type de superstructure, malgré le ciment
> provisoire.
> Il m'est arrivé aussi de faire des bridges + ciment provisoire sur dents,
> (jusqu'à 4 éléments) pour protéger un site implantaire, pas de casse non plus.
> Un petit rappel, labo au cabinet donc pas 180 roros par éléments...
>
> finitions le plus souvent juxta (gingival).
> --
> xbk
> "Si tous ceux qui croient avoir raison n'avaient pas tort, la vérité ne
> serait pas loin" Dac Pierre


--
Céramik


S2y2o1v7q53ws4r5wy6ou8czrpom - Eugenol
pxav

28/09/2013 à 17h06

Céramik écrivait:
-----------------
>
>
> ;-)
>
> Mais tu as plus de co... Que moi, aines !
>
> Céramik

Tes copines me l'avaient déjà dit...:-))




--
xbk
"Si tous ceux qui croient avoir raison n'avaient pas tort, la vérité ne serait pas loin" Dac Pierre


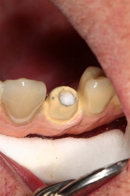
levm

28/09/2013 à 21h32

Je commence à en faire , ce n'est pas encore parfait mais c'est mieux que la CCM .
Inlay sur 14 et CCC sur 15

1305320 10151557570526146 1082963298 n ymmnvg - Eugenol

Nouveau image bitmap fz77zh - Eugenol
Sethef

28/09/2013 à 23h20

C'est ça qui est chouette avec l'emax, même si la teinte n'est pas parfaite, ça rend toujours bien.


G-P

01/10/2013 à 21h31

mumu26 écrivait:
----------------
> G-P écrivait:
> -------------
> > 160-180€ pour une e.max stratifiée c'est OK, ce n'est pas justifiable pour
> une
> > monobloc, en tout cas pas en province ;)
> >
> > Les v-prep on en parle pas beaucoup ici, je trouve que c'est très mutilant,
> sur
> > la vidéo sur ton site qui explique la v-prep, je ferais plutôt un inlay en
> > gardant les cuspides.
> >
> > (
> >
> http://www.cfao-cadcam.net/index.php?option=com_content&view=article&id=75&Itemid=122&lang=fr
> > )
>
> Etes vous de la région parisienne pour avoir des 160-180 € pour de l' e max ?

Non ville en province (la rochelle). Deux prothésistes qui font de l'e.max en stratifiée, un à 130, l'autre à 160. je te laisse deviner lequel des deux me donne le meilleur résultat.


S2y2o1v7q53ws4r5wy6ou8czrpom - Eugenol
pxav

02/10/2013 à 18h14

exemple de cas d'Emax press.
la première, ciment provisoire, et la deuxième collage hors de la bouche et transvissage.
--
xbk
"Si tous ceux qui croient avoir raison n'avaient pas tort, la vérité ne serait pas loin" Dac Pierre

Img 5017 tixcj4 - Eugenol
Img 5021 uzqnw8 - Eugenol
Img 8816 rqgxa3 - Eugenol
Img 5018 ddk99x - Eugenol
Img 8810 sweqet - Eugenol
Img 8811 m1avcz - Eugenol
Img 8813 vhvopz - Eugenol

Mm goodteeth2 ex0rr1 - Eugenol
Jules

02/10/2013 à 18h48

> G-P écrivait:
> -------------
> > Les v-prep on en parle pas beaucoup ici, je trouve que c'est très mutilant,
> sur
> > la vidéo sur ton site qui explique la v-prep, je ferais plutôt un inlay en
> > gardant les cuspides.
> http://www.cfao-cadcam.net/index.php?option=com_content&view=article&id=75&Itemid=122&lang=fr

Dans les avantages cités de la V-Prep : préparation rapide.
Oui, forcément, quelques coups de grosse fraise bague noire, c'est pas bien délicat...
On est pas du tout dans l'économie tissulaire.
Avec 4 parois restantes, certains savent faire un compo esthétique et pérenne.
Comment ? Vous dites ? La nomenclature ?
Ah oui, c'est vrai, j'avais oublié...


Dabitz

02/10/2013 à 19h38

Merci pour ce sujet très intéressant, ça donne envie de faire des recherches là dessus, et ça change des pleurnichages habituels...
Vous avez de la littérature à me conseiller sur le sujet?


87 ujotte - Eugenol
Spatouille

02/10/2013 à 23h15

pxsav, après collage tu doit avoir un léger grisaillement de teinte du fait de la Ti-base vu que c'est du lt.

pour plus d'esthétique, tu peut presser une chape en MO voir HO et demander à ta prothésiste de stratifier (si elle en a le temps)


S2y2o1v7q53ws4r5wy6ou8czrpom - Eugenol
pxav

02/10/2013 à 23h29

Salut spatouille
je suis d'accord avec toi, mais il s'agit d'une Emax monobloc, sans strat, 6 du bas non visible hormis par le dentiste.
Ce qui est interessant, c'est la difficulté d'éliminer les traces de ciment hors de la cavité buccale, ça permet de comprendre que lors d'une scellée conventionnelle en bouche, l'elimination des trace de ciment tiens du rêve...

--
xbk
"Si tous ceux qui croient avoir raison n'avaient pas tort, la vérité ne serait pas loin" Dac Pierre


John gp55mb - Eugenol
Faivre-rampant

02/10/2013 à 23h46

donc si j'ai bien compris couronne emax stratifie devant, emax mono derriere, et zircone derriere si force occlusale importante.
(je suis encore étudiant donc désolé pour les questions)
si j'ai peu de parois et que je ne peux pas faire un sc33, je dois donc faire un inlay core métal.
Cela risque de se voir non ? comment faire ?


87 ujotte - Eugenol
Spatouille

03/10/2013 à 00h26

parce que tu la cimente cette 6 ? colle là (primer + colle bredent et tu pourras qd même démonter)

et ce sera moins dur d'obtenir un truc propre, car vos ciments; grrr ! ;)


S2y2o1v7q53ws4r5wy6ou8czrpom - Eugenol
pxav

03/10/2013 à 01h11

je fais un abus de langage, je dis ciment car je la colle mais sans mordançage ni silane


--
xbk
"Si tous ceux qui croient avoir raison n'avaient pas tort, la vérité ne serait pas loin" Dac Pierre


Img 2951 flo3gr - Eugenol
molinarius

03/10/2013 à 02h25

c 'est un prothésiste qui t a fait cette couronne transvissé ?