Cookie Consent byPrivacyPolicies.comPasser de la CCM à la CCC - Eugenol

Passer de la CCM à la CCC

Img 2951 flo3gr - Eugenol
molinarius

03/10/2013 à 02h35

Spatouille écrivait:
--------------------
> pxsav, après collage tu doit avoir un léger grisaillement de teinte du fait de
> la Ti-base vu que c'est du lt.
>
> pour plus d'esthétique, tu peut presser une chape en MO voir HO et demander à ta
> prothésiste de stratifier (si elle en a le temps)


"pour plus d'esthétique " j'aime bien la manière que tu as de dire qu'elle ressemble plus à une dent résine du commerce bas de gamme :) . bon pas de méchanceté de ma part ... juste faut bien appeler un chat un chat ... mais bon quand même .... l une couronne sur implant mérite quand même un peu mieux ... le prothésiste ne serait pas une assistante ?


87 ujotte - Eugenol
Spatouille

03/10/2013 à 09h04

Spatouille écrivait ....
Spatouille écrivait ....
Molinarius écrivait ....

Hum, on est un peu casse-pieds nous les prothésistes ... ;)


S2y2o1v7q53ws4r5wy6ou8czrpom - Eugenol
pxav

03/10/2013 à 09h31

Spatouille écrivait:
--------------------

> Hum, on est un peu casse-pieds nous les prothésistes ... ;)

Pour ma part, non, vous permettez d'avoir un avis extérieur, celui du fabriquant de prothèse.
votre œil est orienté différemment et j'apprécie vos remarques car elles permettent de progresser d'une façon différente.
Quelques fois, il vous manque le coté "clinique" tout comme nous il nous manque le coté "labo".


--
xbk
"Si tous ceux qui croient avoir raison n'avaient pas tort, la vérité ne serait pas loin" Dac Pierre


S2y2o1v7q53ws4r5wy6ou8czrpom - Eugenol
pxav

03/10/2013 à 09h59

molinarius écrivait:
--------------------

> "pour plus d'esthétique " j'aime bien la manière que tu as de dire qu'elle
> ressemble plus à une dent résine du commerce bas de gamme :) . bon pas de
> méchanceté de ma part ... juste faut bien appeler un chat un chat ... mais bon
> quand même .... l une couronne sur implant mérite quand même un peu mieux ... le prothésiste ne serait pas une assistante ?

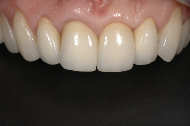
Non, ce n'est pas l'AD, ni la prothèsiste, mais un "débutant" et effectivement la dent ressemble à une résine bas de gamme.

Mais elle correspond à ce que je lui ai demandé: une dent "simple" en Emax press monobloc sans aucun maquillage.
Avec une fonction biologique (parodonte) et mécanique (mastication).
Et elle correspond tout à fait à ce que j'ai demandé.
je préfère dans tout les cas ce type de restauration bas de gamme à une "métal".
Pour info, si il n'y a pas de photo en bouche, c'est qu'il ne s'agit que d'un entrainement.

Le sujet du post est "Passer de la CCM à la CCC ", je pense que ce type de prothèse est dans l'esprit du post, qui pourrait même être plus large:"Passer de la CC ou de la CCM à la CCC".

Un peu de recul:
Je me souvient d'un cas:
http://www.eugenol.com/sujets/396514-couronne-monolithique
où le prothésiste est enchanté de Sa prothèse (qui est belle)
mais il est dommage de voir la qualité de la taille de 48...qui est tout simplement peut être faite par l'AD...:-))

--
xbk
"Si tous ceux qui croient avoir raison n'avaient pas tort, la vérité ne serait pas loin" Dac Pierre


Tout ceramique bridge 2 qgquxo - Eugenol
mumu26

19/10/2013 à 13h35

peut être le plus cher non ? mais c'est pas forcement le cas. personnellement je propose L'e-max stratifiée moins cher.


S2y2o1v7q53ws4r5wy6ou8czrpom - Eugenol
pxav

20/10/2013 à 16h53

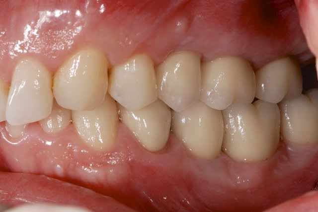
Je crois bien que vous avez énervé "l’assistante":



--
xbk
"Si tous ceux qui croient avoir raison n'avaient pas tort, la vérité ne serait pas loin" Dac Pierre

Img 8895 o5vryl - Eugenol
Img 8898 o4hhlb - Eugenol
Img 8899 us2tbr - Eugenol
Img 8900 gd7q50 - Eugenol

santon

20/10/2013 à 17h32

Jules écrivait:
--------------
> >
> http://www.cfao-cadcam.net/index.php?option=com_content&view=article&id=75&Itemid=122&lang=fr
>
> Dans les avantages cités de la V-Prep : préparation rapide.
> Oui, forcément, quelques coups de grosse fraise bague noire, c'est pas bien
> délicat...

Qui te parle de fraises bagues noires, tu as rêvé ? cauchemardé plutôt ?


> On est pas du tout dans l'économie tissulaire.

On est dans l'économie dentaire de façon pérenne et GLOBALE càd "garder plus longtemps une dent VIVANTE, peut-être plus préparée, en bouche"
Quid de la durée de vie d'un composite en bouche ? réinterventions multiples quand ce n'est pas une endo en vue ou une fracture pure et simple de la dent.


> Avec 4 parois restantes, certains savent faire un compo esthétique et pérenne.

Bravo, tu es un as du composite donc efficace, rapide et qui est heureux d'appliquer son savoir-faire pour 28,92 € ou 40,97€ ? (4 parois ? quel cas ? généralités à partir d'un cas particulier - tu n'as pas lu les indications.)
Ceci dit je faisais pareil quand je ne savais pas faire autrement .....et que je n'avais pas vu le résultat "global" mais je ne permettais pas d'émettre des jugements à l'emporte-pièce.
Tout le monde n'est pas aussi habile que toi pour cela puisque dans la nature on récupère certaines choses...

> Comment ? Vous dites ? La nomenclature ?
> Ah oui, c'est vrai, j'avais oublié...

Oui la nomenclature, pas le choix c'est la même pour tous
mais on peut pleurnicher dessus et ne pas bouger ou avancer malgré les obstacles dans la vie...


060108 005 nrfjgc - Eugenol
NaFr

24/11/2013 à 02h19

Petit boulot en CCC, le tout en VitaBloc Triluxe 3M2C, plus quelques maquillants.

Désolé pour l'hygiène en dents de scie chez ce patient.....

--
Francis N.


Logo vuaztn - Eugenol
mac

24/11/2013 à 13h49

pourquoi avoir fait des couronnes?


Images jm2g2g - Eugenol
dr_0le

24/11/2013 à 14h48

mac écrivait:
-------------
> pourquoi avoir fait des couronnes?

+1..


060108 005 nrfjgc - Eugenol
NaFr

24/11/2013 à 15h42

dr_0le écrivait:
----------------
> mac écrivait:
> -------------
> > pourquoi avoir fait des couronnes?
>
> +1..

parceque la plupart des gros cp faisaient les 3/4 du tour cervical....et que les puits palatins des incisives étaient infiltrés.
--
Francis N.


hello11

22/03/2014 à 00h10

J'ai lu dans un post, je ne me souviens malheureusement plus lequel que tu cotais une couronne pour un inlay à partir du moment ou les parois sont recouvert!
Un overlay rentrerait donc dans la cotation d'une couronne selon toi?
Je te remercie d'avance pour ta réponse!


hello11

22/03/2014 à 00h13

excusez moi pour ce message il n'a aucun sens car pas au bon endroit et je n'arrive pas à le supprimer!!!
Autant pour moi désolé!!


Bebe 038 nf8eum - Eugenol
danteyeah

22/03/2014 à 13h59

Merci Hello d'avoir remonté ce post, j'étais passé à coté. Je suis d'accord avec Marc Apap: pas besoin de formation pour coller de l'emax, simplement respecter le cahier des charges et en avant.
Sinon pourquoi passer de la CCM à la CCC?…….pour reprendre ce sourire par exemple? bon le préop est un peu extrême et le postop un peu frais (7js après laser et anesthésie pas encore cicatrisé).
Toujours Hélène et Didier aux pinceaux pour le montage de la céram.

Img 2979 dbttwy - Eugenol
 mg 8286 ltpmmc - Eugenol

levm

22/03/2014 à 14h05

Esthetic Oral sont tops .
Par contre , c est vrai que c pas à la porté de toutes les bourses .
Sans indiscrétions tu prends combien d'honoraires pour ces cerams ?


S2y2o1v7q53ws4r5wy6ou8czrpom - Eugenol
pxav

22/03/2014 à 14h38

les ccc ne doivent pas couter plus cher que les ccm...

--
xbk
"Si tous ceux qui croient avoir raison n'avaient pas tort, la vérité ne serait pas loin" Dac Pierre


fgui

22/03/2014 à 15h39

danteyeah écrivait:
-------------------
> Merci Hello d'avoir remonté ce post, j'étais passé à coté. Je suis d'accord avec
> Marc Apap: pas besoin de formation pour coller de l'emax, simplement respecter
> le cahier des charges et en avant.
> Sinon pourquoi passer de la CCM à la CCC?…….pour reprendre ce sourire par
> exemple? bon le préop est un peu extrême et le postop un peu frais (7js après
> laser et anesthésie pas encore cicatrisé).
> Toujours Hélène et Didier aux pinceaux pour le montage de la céram.


oui mais ici en pré op on à des civ résines mal faites et anciennes!
pas des ccm récentes et réalisées dans les règles


Bebe 038 nf8eum - Eugenol
danteyeah

22/03/2014 à 16h29

fgui écrivait:
--------------

> oui mais ici en pré op on à des civ résines mal faites et anciennes!
> pas des ccm récentes et réalisées dans les règles

Hi HI, t'as totalement raison, mon message était emprunt d'une emphatique mauvaise foi, j'avoue. (j'sais pas si ça se dit, mais j'aime bien l'image).
Cependant, selon moi, le post op (après élongation coronaire et réhabilitation esthétique gingivale, j'ai tapé très haut dans la G.A.), aurait difficilement supporté un matériaux moins bio compatible que la céramique, avec risque de récession gingivale accéléré.
Mais il est vrai aussi qu'il n'y a pas longtemps Taveca nous a montré un cas clinique esthétique avec une totale maitrise des tissus mous (du grand art: un post d'ailleurs qui n'a pas reçu le succès qu'il mérite, cela dit en passant) où la réhabilitation prothétique était géré en CCM.

@ Pxav: totalement d'accord pour le prix, si il doit y avoir une différence de prix entre les couronnes, celle ci ne doit pas d'écouler du matériaux utilisé, mais du temps et du talent déployé pour obtenir une esthétique de qualité. il s'avère cependant que les prothésistes soient plus enclin à se passionner pour de l'esthétique sur céramique pur, que sur métal.

@levm: 750€ l'Emax strat. 90€ la provisoire, l'étude esthétique, les wax-up, mock-up, photos, moulages, communications protho/dentistes et administrative incluse ;-) (avec la CCAM je sens qu'il va y avoir un sus ;-)). Quand au prix de mon prothésiste actuel: il est sans aucun doute aujourd'hui le meilleur rapport qualité/prix que je n'ai jamais eu, et dieu sait que j'ai accordé ma confiance à de nombreux artiste de la ceram depuis bientôt 15 ans.


87 ujotte - Eugenol
Spatouille

22/03/2014 à 18h57

Euuuuh bah si justement, la différence de prix doit découlée des matériaux utilisés ...

une ccc doit donc être plus chère qu'une ccm ... pour parler de l'emax, c'est exactement les mêmes étapes qu'une ccm, c à dire : sculpture en cire, mise en revêt, passage au four de chauffe et pressée (qui est bien plus long qu'une coulée) démoulage, grattage puis même temps de stratification .

la différence c'est que le lingotin coûte une vingtaine d'euros ... mais je suis d'accord avec le constat de Danteyeah, je vois bcp de confrère sous-considérer les ccm maintenant qu'ils font des ccc ... c'est bête ...

joli travail en tout cas.

edit: tout ce que je viens de dire n'est valable que si Pxav parle du prix labo bien sûr ...


Nouveau image bitmap fz77zh - Eugenol
Sethef

22/03/2014 à 19h09

Pour parler honoraires, toutes mes cérams sont au même prix pour une raison très simple: j'essaie toujours de faire en sorte que mes devis soient définitifs.
Or je ne sais jamais jamais à l'avance si je vais réaliser une CCC, une CCM, une couronne 3/4 ou complète. Et devoir ergoter au moment de l'empreinte pour expliquer au patient qu'il va devoir me payer 20 euros de plus ou de moins, ça me gonfle.

Donc 700 systématique couronne+provisoire.

(et pour les inlays, même principe: compo, emax ou métal, tout est au même prix)


Nouveau image bitmap fz77zh - Eugenol
Sethef

22/03/2014 à 19h10

Et par ailleurs, pour Danteyeah, tes boulots postés sont systématiquement fantastiques: je ne peux que m'incliner.

(bon t'es pas le seul hein, merci nonol pour l'inspiration ;-))


Smile beach jgh0a1 - Eugenol
Céramik

22/03/2014 à 21h54

danteyeah écrivait:
-------------------
>
> Toujours Hélène et Didier aux pinceaux pour le montage de la céram.



Ah, tu es chanceux de bosser avec Hélène et Didier ;-)
Si j'étais pas si loin, je ferais tous mes travaux avec eux.
Je les ai rencontré durant une formations E.max, ils sont top.

--
Céramik


Bebe 038 nf8eum - Eugenol
danteyeah

23/03/2014 à 11h27

Sethef écrivait:
----------------
> Et par ailleurs, pour Danteyeah, tes boulots postés sont systématiquement
> fantastiques: je ne peux que m'incliner.

Ah ouais…….. "fantastiques"………quand même :)))))))
>
> (bon t'es pas le seul hein, merci nonol pour l'inspiration ;-))

Ouf, j'ai failli prendre le melon ;-)

honnêtement j'aimerais maitriser la mucco: les posts de Taveca ou Tilc sur le sujet me font bien baver (je ne parle pas de Noah….pas le même monde).

Pour l'instant j'attends ton post promis il y a quelques jours après la pose des 6 CCC présentées sur maître modèle.


Android jyzura - Eugenol
Tavéca

24/03/2014 à 12h53

Merci danteyeah pour tes com, ça fait plaisir. Et je te retourne le compliment pour ton cas précédent.
Mais , pour ma part je trouve la muco plus agréable et simple à gérer que la prothèse fixe plurale, que je n'aime pas trop en fait, même si cela nourrit bien ;)
En fait j'aime les cas multidisciplinaires qui montre l'avantage d'être un bon omni par rapport a des spés très compétents certes, mais dont la gestion d'un cas multidisciplinaire est très compliqué pour maintes raisons.

En ce qui me concerne 90 % des cas que je réalise sont des CCC (emax à chape pressée) et le reste des ccm pour les implants à moignon métal et les racines colorées des cas esthétiques ou des cas mixtes a dominante ccm pour rester dans le ton.

Attention ça va piquer les yeux, mais 100% des emax sont "scécollées" au rely X.
Pas de cassé en 5 ans sauf une dizaine de cas pour la partie cosmétique et là je refais gratis jusqu'à 3 ans.

Pour moi il n'y a pas de guerre entre les deux. cela dépends tout autant des habitudes du prat, du labo, du prix, de la qualité de l'alliage demandé.
Il est par contre beaucoup plus agréable d'avoir plusieurs choix a appliquer en fonction des indications.

Petit quizz sur ces photos ccc ou ccm?

1 kp4urp - Eugenol
3 c5ez9j - Eugenol
2 oucy34 - Eugenol
4 oszj4f - Eugenol
5 qmn6r6 - Eugenol

youn

24/03/2014 à 13h07

Tavéca écrivait:
----------------

> Petit quizz sur ces photos ccc ou ccm?

Je dirais 1-3-5 CCM et 2-4 CC.

Tu utilises quoi pour prise de teinte : quelle méthode? Parce que là c'est bluffant!

--
www.dentaltradegroup.com