Cookie Consent byPrivacyPolicies.comPasser de la CCM à la CCC - Eugenol

Passer de la CCM à la CCC

Android jyzura - Eugenol
Tavéca

24/03/2014 à 14h02

youn écrivait:
--------------

> Je dirais 1-3-5 CCM et 2-4 CC.

Exact bravo, t'es pas dentiste toi ? ;)

> Tu utilises quoi pour prise de teinte : quelle méthode? Parce que là c'est
> bluffant!

Photos avec teintier mailer au labo.
Attention il y a des cas d'unitaires aussi, ce ne sont pas que des cas plurale!


youn

24/03/2014 à 16h01

Si si...

Par contre y'en a où je me suis demandé lesquels étaient refaites effectivement. surtout sur 2 et 4, la 5 aussi je me suis posé des questions... Mais je pense que pour cette dernière t'en as refait pas mal (je dirais 25-26-27 34-35-36 et 37 je sais pas, dans l'ombre, mais y'a fort à parier que je me gourre, pour de la CCM c'est super impressionnant!) Chapeau au prothésiste aussi!


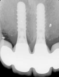
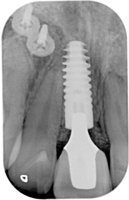
Sur la 2 t'as refait la 11?
--
www.dentaltradegroup.com


Android jyzura - Eugenol
Tavéca

24/03/2014 à 16h58

youn écrivait:
--------------
>Chapeau au prothésiste aussi!

Chapeau en effet car en fixe, une grosse partie du mérite leur revient

> Sur la 2 t'as refait la 11?

Oui, voici les radios

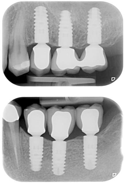
Pour la 4 (22) au tout début j'avais fait une ccc, mais le collet malgré une chape opaque était grisé, on a donc refait une ccm!

je vois des travaux bien plus jolie sur eugenol, il n'y a rien d'exceptionnel dans ces travaux, juste le choix des matériaux.

2 qe1ecn - Eugenol
3 t3uvfl - Eugenol
1 f4sahe - Eugenol
4 lyv4c4 - Eugenol
5 no6d6d - Eugenol

Bebe 038 nf8eum - Eugenol
danteyeah

24/03/2014 à 18h57

Wahou, c'est un véritable festival ;-)
Je suis particulièrement bluffé par la gestion des tissus mous du cas N°2: greffe, conjonctif enfouie? Un cas qu'il serait plaisant de développer.

La CCM du 4 se voit facilement, les autres non, et pour cause, soit il y a du Margin (3), soit c'est de la prothèse supra implantaire et il y a donc plus de place en général pour que la prothésiste gère sa stratification et sa morpho


Img 2951 flo3gr - Eugenol
molinarius

24/03/2014 à 19h50

danteyeah écrivait:
-------------------
> Wahou, c'est un véritable festival ;-)
> Je suis particulièrement bluffé par la gestion des tissus mous du cas N°2:
> greffe, conjonctif enfouie? Un cas qu'il serait plaisant de développer.
>
> La CCM du 4 se voit facilement, les autres non, et pour cause, soit il y a du
> Margin (3), soit c'est de la prothèse supra implantaire et il y a donc plus de
> place en général pour que la prothésiste gère sa stratification et sa morpho


Oui et c'est bien de le rappeler !! hein c'est bien beau tout ça ... mais je suis sure que sur tout les cas présentés , il y a de tres belles préparations,polies, homothétique , de beaux congés sous gingivale. Alors oui en tant que céramiste c'est un régal de travailler sur de tels cas ... on peut multiplier les couches de céramique. Alors à ceux qui se diraient " mon prothésiste est nul" merci de prendre en compte ces données PRIMORDIALES à toute réalisations cosmétique : 1.5 mm d'épaisseur de céramique au collet , et on ne verra jamais de liseret grisâtre ..

Alors les gars ! quand vous postez de belles images , merci de poster vos prépas et accessoirement vos empreintes :) :) :) Merci pour "les petites mains" dans les labos


Img 2951 flo3gr - Eugenol
molinarius

24/03/2014 à 19h57

on a la céramique que l'on mérite ;)


Android jyzura - Eugenol
Tavéca

25/03/2014 à 14h16

danteyeah écrivait:
-------------------

> Je suis particulièrement bluffé par la gestion des tissus mous du cas N°2:
> greffe, conjonctif enfouie? Un cas qu'il serait plaisant de développer.
>
Si cela t'intéresse je peux te montrer le cas dans son ensemble

> La CCM du 4 se voit facilement,

J'étais très fier de ce cas il y a 10 ans, mais maintenant moins!
je le referais différemment si je pouvais


les autres non, et pour cause, soit il y a du
> Margin (3), soit c'est de la prothèse supra implantaire et il y a donc plus de
> place en général pour que la prothésiste gère sa stratification et sa morpho

Tout a fait d'accord.


Bebe 038 nf8eum - Eugenol
danteyeah

26/03/2014 à 15h46

Tavéca écrivait:
----------------
> danteyeah écrivait:
> -------------------
>
> > Je suis particulièrement bluffé par la gestion des tissus mous du cas N°2:
> > greffe, conjonctif enfouie? Un cas qu'il serait plaisant de développer.
> >
> Si cela t'intéresse je peux te montrer le cas dans son ensemble


Ne te fais pas prier, ce sera intéressant pour tout le monde, c'est souvent du boulot et du temps de tout "poster", mais il semble qu'on ait droit à un peu de répit coté "syndicalisme et exercice pro", donc avec un peu de chance un peu plus d'intervenants sur les cas clinique ;-).


Android jyzura - Eugenol
Tavéca

26/03/2014 à 18h59

danteyeah écrivait:
-------------------
>
> Ne te fais pas prier, ce sera intéressant pour tout le monde, c'est souvent du
> boulot et du temps de tout "poster", mais il semble qu'on ait droit à un peu de
> répit coté "syndicalisme et exercice pro", donc avec un peu de chance un peu
> plus d'intervenants sur les cas clinique ;-).


ok alors je l'ai mis ici:

http://www.eugenol.com/sujets/401285-urgence-incisive-centrale-fracturee?page=4#post_744401