Cookie Consent byPrivacyPolicies.combilan avant ttt au bisphospho - Eugenol

bilan avant ttt au bisphospho

galinett

14/08/2013 à 12h14

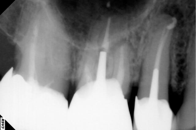
J'ai reçu un Patient de 85 ans qui vient faire un bilan avant traitement au bisphospho pour cancer de la prostate.

J'ai trouvé une lésion apicale niveau de la 15, sensible à la palpation et à la percussion

La couronne date de 2009, le traitement est plus que correct mais je n'en ai as trace dans le dossier

Question : faut -il être conservateur et tenté le retraitement de cette dent avec cicatrisation incertaine? ou être plus radical et extraire?

une dent versus un cancer, la réponse me semble être dans la question mais vos avis sont les bienvenus!

puis réhabilitation prothétique?

pour être complet le patient est également diabètique + arythmie

merci de vos avis!

15 oe4p5q - Eugenol

Grumpy cat ifik8s - Eugenol
radich_a_tord

14/08/2013 à 12h30

Si c'est en vue d'un traitement par BP par voie IV (ce qui semble être le cas) j'extrais tout ce qui peut avoir une évolution chirurgicale à court, moyen et long terme.

Donc cette malheureuse 5 finira au davier pour moi.


galinett

14/08/2013 à 12h37

c'est bien un ttt par IV