Cookie Consent byPrivacyPolicies.comAvis sur le Wave One et le Reciproq - Eugenol

Avis sur le Wave One et le Reciproq

pontdemail

30/08/2013 à 01h24

Bonjour, cela faisant plusieurs mois que ces instruments sont sur le marché je voulais avoir l'avis des praticiens qui les utilisent au quotidien. Voulant évoluer vers un système plus performant (actuellement j'utilise le Mtwo, qui me satisfait, mais je pense pouvoir trouver mieux)je voulais votre ressenti sur ces instruments à mouvement réciproque (coût, temps de préparation des canaux, qualité de préparation et d'obturation, fatigue des instruments...).
Merci d'avance


Grumpy cat ifik8s - Eugenol
radich_a_tord

30/08/2013 à 01h50

J'en suis ravi (waveone)

Je fais un cathétérisme à la lime K 10 ou aux C+ files, détermination de la LT puis passage du wave one. Dans 90% des cas un seul passage du primary suffit.

Dans les cas merdiques (canal extrêmement fin, courbure, etc) je passe un SX puis un Small pour finir au Primary.

Je les stérilise en faisant sauter la bague et je les utilise 10 canaux, comme les Protaper. Quel scandale n'empêche de vendre ça comme usage unique...

La sensation du mouvement est différente des protapers, l'instrument progresse plus vite, et franchement. ça vibre pas mal par contre.

Je m'en sers sur le Xsmart avec le mouvement réciproque. Jamais déclenché le débrayage ou la limite de couple encore.


PopHip

15/09/2013 à 13h34

radich_a_tord écrivait:
-----------------------


> Je les stérilise en faisant sauter la bague et je les utilise 10 canaux, comme
> les Protaper. Quel scandale n'empêche de vendre ça comme usage unique...


1/ ils ne sont pas toujours super en forme après 4 canaux difficiles
2/ regarde au microscope une lime (waveone ou racleur, peu importe) après lavage, c'est assez dégueu.


Marque a3 orange fyvhyq - Eugenol
Marc Apap

15/09/2013 à 13h47

C'est sûr qu'il vaut mieux investir dans des limes à usage unique qui coûtent la peau des fesses qu'un bac à ultrasons qui nettoie tout bien mais fait moins glamour.


pourri

15/09/2013 à 14h04

"regarde au microscope une lime (waveone ou racleur, peu importe) après lavage, c'est assez dégueu."

Après stérilisation c'est du degueu stérile non?
Faut pas se plaindre que pour 80€ on agisse comme ça yzen ont pour leur argent
Si tu utilises des neuves a chaque fois c'est toi qui finance l'endo de ton patient mais la on s'égare


dentalproject

15/09/2013 à 14h21

Vu au MEB, après stérilisation, on voit des microfractures et dans les microfractures des molécules organiques...


Grumpy cat ifik8s - Eugenol
radich_a_tord

15/09/2013 à 16h26

PopHip écrivait:
----------------

> 1/ ils ne sont pas toujours super en forme après 4 canaux difficiles

Oui, c'est pour ça que je majore le nombre de pétales coupées en cas de canal difficile (courbure, lumière canalaire initiale étroite). Je fais pareil sur les protaper

> 2/ regarde au microscope une lime (waveone ou racleur, peu importe) après
> lavage, c'est assez dégueu.

Comme les fraises diamantées, les rétention antidérapantes des instruments de chir (je pense aux mors des daviers par exemple). Bien entendu l'assistante passe une carde là dessus mais est ce parfait ? Non, comme tout le reste.

@Apap chez moi ça passe au clean one puis mis sous poche et autoclave. J'espère que c'est assez glamour pour toi.

Il paraît que le nouvel adjectif à la mode c'est "efficient". J'estime être à une "efficience" optimale avec cette façon de procéder. L'avenir me dira si j'ai raison.

Pour en revenir à la question du début, ça mérite de faire l'investissement.


Marque a3 orange fyvhyq - Eugenol
Marc Apap

15/09/2013 à 18h17

@dentalproject:
réf et conditions expérimentales de ton étude sur la saleté dans les spires instrumentales après utilisation ?
Merci


Grueavatar nptrc9 - Eugenol
Le Choixpeau magique

15/09/2013 à 18h40

radich_a_tord écrivait:
-----------------------
> J'en suis ravi (waveone)
>
> Je fais un cathétérisme à la lime K 10 ou aux C+ files, détermination de la LT
> puis passage du wave one. Dans 90% des cas un seul passage du primary suffit.
>
> Dans les cas merdiques (canal extrêmement fin, courbure, etc) je passe un SX
> puis un Small pour finir au Primary.

Essaye le Reciproc, tu verras que le R25 permet de se passer du small.


antoine1986

12/10/2013 à 15h59


Bonjour, je me permet de poste mon avis qui repos sur une expérience somme toute limité car je suis un jeune praticien et n'est pas un recul de plusieurs année sur les systèmes endodontiques et l'endodontie en général.

Cependant le cabinet ou je suis actuellement utilisés avant une imitation de protaper qui ne prenait absolument aucune courbure et je me cassais les dents dessus a essayer de faire des endos correcte, qui ne l'était au final que très rarement.

J'ai réussi à faire changer de système et le cabinet a investi dans le reciproc avec localisateur d'apex intégré et je suis ravie du changement! Ca a change ma façon de faire de l'endo.

Personnellement je trouve qu'il est nécessaire de faire un cathé avec lime 10 puis 15 et la en général ca passe tous seul si tu patientes un peu et que ton axe est correcte.

Le système à tendance a créer légèrement des bouchons mais un petit coup de lime manuel et s'est repartie.

Nous les utilisons en général 6 fois avant de les jeter.

Voila j'espère que mon expérience personnel t'aura un peu aidé dans ta prise de décision.


sagito

12/10/2013 à 18h41

6fois ou 6canaux?


Darmon - Eugenol
Latin

12/10/2013 à 21h46

J'ai essayé le wave one pendant quelques mois lors d'un remplacement et j'ai trouvé ça fabuleux. Malheureusement j'ai dû repasser aux protapers dans ma collaboration actuelle et ça n'a vraiment pas le même confort d'utilisation. Dès que je crée mon cabinet je repasse à l'instrument unique!


Latin écrivait:
---------------
> J'ai essayé le wave one pendant quelques mois lors d'un remplacement et j'ai
> trouvé ça fabuleux. Malheureusement j'ai dû repasser aux protapers dans ma
> collaboration actuelle et ça n'a vraiment pas le même confort d'utilisation. Dès
> que je crée mon cabinet je repasse à l'instrument unique!

pourquoi tu t achète pas ton moteur reciproc pendat t'as collab ?

ca coûtera moi cher en consommable pour ton praticien et quand tu sera installer tu l aura deja amortie:)
--
Dentiste, tout seul dans son cabinet, qui ne peut juger qu’à partir de son vécu quotidien


pontdemail

14/10/2013 à 19h50

Merci pour vos témoignages. Je vais bientôt avoir le Reciproq en essai dans le cabinet, a ce que j'ai lu et entendu, l'essayer c'est l'adopter! Ce n'est pas forcément l'objet du post, mais on peut y voir une certaine complémentarité, que pensez vous de l'obturation à la gutta chaude à l'aide du thermafil? L'ayant essayé en remplacement il y a quelques temps j'ai trouve ça vraiment top, mais je manque de recul sur cette technique... La qualité des obturations est top mais malheureusement c'est le prix du consommable qui me bloque un peu... le jeu en vaut-il la chandelle?


alex33

14/10/2013 à 19h56

pontdemail écrivait:
--------------------
> Merci pour vos témoignages. Je vais bientôt avoir le Reciproq en essai dans le
> cabinet, a ce que j'ai lu et entendu, l'essayer c'est l'adopter! Ce n'est pas
> forcément l'objet du post, mais on peut y voir une certaine complémentarité, que
> pensez vous de l'obturation à la gutta chaude à l'aide du thermafil? L'ayant
> essayé en remplacement il y a quelques temps j'ai trouve ça vraiment top, mais
> je manque de recul sur cette technique... La qualité des obturations est top
> mais malheureusement c'est le prix du consommable qui me bloque un peu... le jeu
> en vaut-il la chandelle?

Wave one ou reciproc, associé à un cône calibré- mac spadden, y'a pas mieux:)


pontdemail

21/10/2013 à 14h34

Le reciproc est enfin arrivé en essai, première endo réalisée samedi. Un TE sur 34 on ne peut plus simple pour déamrrer. Le résultat est plutôt acceptable. La facilité du traitement ne m'a pas permis de pouvoir juger de l'efficacité du R25, cependant le gain de temps lors de la preparation du canal est vraiment minorée! Seul bémol: ayant en essai le VDW Gold reciproc avec localisateur d'apex intégré j'ai voulu m'en servir, mais impossible de l'utiliser, aucun affichage n'apparaissait sur l'unit seul un petit point rouge (cf photo jointe) apparaissait mais rien dans le canal matérialisé par la flèche. Y a t'il une manipulation ou configuration a effectu ? j'ai pourtant mis en place le clip labial sur la lèvre du patient, relié à l'unit et également raccordé le porte-lime à l'unit comme me l'a indiqué le commercial...

Merci d'avance pour vos réponses

S18 1173 01 lq8zji - Eugenol
2013 10 19 19.43 - Eugenol

Capture d  cran 2015 03 12 12.28 - Eugenol
chicot29

21/10/2013 à 16h38

Il faut toucher le clip labial avec la lime pour l'activer.


Images jm2g2g - Eugenol
dr_0le

21/10/2013 à 18h26

j'aimerai bien essayer le reciproc.. mais la commercial de mon coin n'est pas super réactive.. par qui êtes vous passé?


Capture d  cran 2015 03 12 12.28 - Eugenol
chicot29

21/10/2013 à 18h58

Le commercial du coin !))))))


pontdemail

22/10/2013 à 20h24

Merci pour ta réponse Chicot. C'est effectivement ce qu'il me manquait... Je trouve la précision du localisateur d'apex pas mal du tout contrairement au ressentit que j'avais de ces instruments. J'ai effectué un contrôle radio lime en place cette fois-ci, mais je vais tenter ma prochaine endo en ne me fiant qu'au localisateur, on verra bien et si besoin rien n'empêche de repréparer le canal insuffisament travaillé...


pontdemail

22/10/2013 à 20h29

dr_0le écrivait:
----------------
> j'aimerai bien essayer le reciproc.. mais la commercial de mon coin n'est pas
> super réactive.. par qui êtes vous passé?

Comme l'a dit Chicot, le commercial tournant sur mon secteur. Je lui en ai parlé un de ces jours et il m'a tout de suite proposé de l'essayer... il me la même déposé très rapidement après au cours d'une visite spontannée, et ce pour 15 jours.


pontdemail

22/10/2013 à 20h38

@Chicot29: qu'utilise tu comme instrument reciproc? Uniquement le R25 ou le R40 et R50 quand monocanalaire ou RTE?


Capture d  cran 2015 03 12 12.28 - Eugenol
chicot29

22/10/2013 à 21h07

J'utilise essentiellement le r25, des fois le R40, jamais le R50 ( il faut bien qu'il reste un peu de racine lol !)
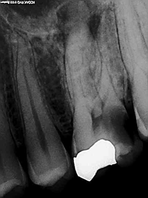
Radio cone en place avant obturation, j'ai rarement un problème avec le mv2 avec lequel soit je n'arrive pas à l'apex soit je bute sur la paroi du mv1 si ceux ci sont en y. Jamais de cathétérisme manuel seulement une localisation d'apex au S1 protaper sur endomaster, repère visuel sur les graduations puis r25. récapitulation en plusieurs fois si les instruments forcent toutefois. Je vais essayer la localisation au gold pour voir si ca dit la meme chose que l'endo master. Ci dessous l'endo molaire du jour c'est tout frais (en général je poste les endos de la journée) ici en l'occurrence patient vu pour la premiere fois, status radio + endo 45 mn.
La pèche a été bonne sur le status endo sur 45 à suivre.))))))

R2 mka93i - Eugenol
R3 hys2jd - Eugenol

pontdemail

22/10/2013 à 21h30

Superbe endo !! Tu ne reconstitues pas en systématique tes dents avant endo ( cavité distale sur RX)?Tu ne fais donc jamais de radio lime en place avant préparation des canaux? Ta longueur de preparation est-elle toujours correcte? Jamais de faux positifs? Tu utilises la localisation uniquement avec l'endomaster et non le reciproc?


Capture d  cran 2015 03 12 12.28 - Eugenol
chicot29

22/10/2013 à 21h42

Ca c'est cones en place))))), la cavité distale ne m'a pas dérangée dans ce cas (digue bien plaquée en distal et étanche) , sinon oui je fais une reconstitution pré endo si il y a des fuites.
Jamais de limes en place (j'en ai pas) localisation au s1 sur endo master uniquement puis éventuellement avec un mtwo 25 à la fin pour être sur d'être à l'apex en 25 -06 (une formalité).