Cookie Consent byPrivacyPolicies.comAvis sur le Wave One et le Reciproq - Eugenol

Avis sur le Wave One et le Reciproq

pontdemail

31/10/2013 à 22h40

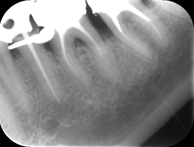
RTE avec le réciproc, c'est vraiment trop simple.

3823 20130802 09 08 19 mrjbvz - Eugenol
3823 20131026 12 38 25 uc4wz1 - Eugenol
4697 20131031 15 04 49 fx3fdq - Eugenol
4697 20131031 15 36 51 ogmuid - Eugenol
4697 20131031 15 29 47 cnltm7 - Eugenol

Marque a3 orange fyvhyq - Eugenol
Marc Apap

31/10/2013 à 23h18

Fais nous la plutôt sur les molaires, qu'on rigole un peu plus


Capture d  cran 2015 03 12 12.28 - Eugenol
chicot29

01/11/2013 à 20h06

De toute façon si tu ne passes pas au réciproc, tu ne passes avec rien d'autre.


youn

02/11/2013 à 00h12

chicot29 écrivait:
------------------
> De toute façon si tu ne passes pas au réciproc, tu ne passes avec rien d'autre.

Ah? C'est nouveau ça...


Icon poker h4nm2d - Eugenol
jeff

02/11/2013 à 13h10

Actuellement avec pro taper et endomaster , je suis quand meme bien tenté par la reciprocité.

Alors : X-Smart PLus, ou moteur reciproc ? avec ou sans le localisateur integré ?


jeff13

02/11/2013 à 13h31

x smart plus + localisateur separé


Icon poker h4nm2d - Eugenol
jeff

02/11/2013 à 19h10

et je garde mon endomaster en localisateur ?


jeff13

02/11/2013 à 20h34

Bah si t'en ais satisfais oui. De toute facon, t'en tiras pas grand chose en le vendant. Tu garde ton endomaster pour determiner la longueur de travail et tu poursuis avec le xsmart/r25. C'est pas le top en ergonomie mais efficace


Icon poker h4nm2d - Eugenol
jeff

02/11/2013 à 20h42

j'en suis satisfait... enfin, pas plus que ça !

En fait , il faut un canal quasi sec, pas d'amalgame a coté, mais je me demande si cela n'est pas le cas avec tous les localisateurs.


jeff13

02/11/2013 à 21h18

Au cabinet, on a un xsmartplus et un localisateur chinois à 100€ (joypex je crois). Il marche très bien (canaux secs ou pas, avec ou sans sang, avec ou sans hypo). Par contre, il n'aime pas les amalgames non plus.
Je pensais que les gens etaient vraiment satisfait de l'endomaster.


Icon poker h4nm2d - Eugenol
jeff

02/11/2013 à 21h45

X-smart commandé...


jeff13

02/11/2013 à 23h21

C'est le xsmart plus, fais gaffe
Tu l'as eu à combien?


Capture d  cran 2015 03 12 12.28 - Eugenol
chicot29

03/11/2013 à 01h47

jeff13 écrivait:
----------------
> Au cabinet, on a un xsmartplus et un localisateur chinois à 100€ (joypex je
> crois). Il marche très bien (canaux secs ou pas, avec ou sans sang, avec ou sans
> hypo). Par contre, il n'aime pas les amalgames non plus.
> Je pensais que les gens etaient vraiment satisfait de l'endomaster.

Localisation avec canal légèrement humide tu détermines ta lt. Si tu veux faire la mise en forme en milieu saturé d'hypoclhorite il faut avoir un champ opératoire absolument étanche et sans amalgame.


Icon poker h4nm2d - Eugenol
jeff

03/11/2013 à 01h54

jeff13 écrivait:
----------------
> C'est le xsmart plus, fais gaffe
> Tu l'as eu à combien?


1450 chez gacd ( je sais gacd , c'est mal ! , mais il y avait une grosse difference avec promodentaire. )

http://www.gacd.fr/article-3010219-x-smart-plus.html


Grumpy cat ifik8s - Eugenol
radich_a_tord

03/11/2013 à 02h29

Je l'avais eu à ce prix là chez DPI avec les kits de limes inclus


jeff13

03/11/2013 à 10h59

Il est à 1350€ chez eddonline, un poil moins cher mais pas de quoi sauter au plafond


Blue eye thumb medium dx1i0w - Eugenol
bill

03/11/2013 à 11h52

Pfff... A quoi ça sert qu'on se décarcasse... ;-)

http://www.comparadent.com/search.php?product=X-SMART%20PLUS


Icon poker h4nm2d - Eugenol
jeff

03/11/2013 à 12h23

arf, bien joué. j'y penserais pour mes prochain achats.
Mais quand j'ai vu le tarif promodentaire, j'ai pas cherché plus loin !


DrNobody

16/02/2014 à 17h06

Bonjour.
Je suis un jeune confrère et je cherche a avoir votre avis sur le reciproc. J'ai de gros problème de fiabilité avec le protaper et j'aimerai changer de système pour le réciproc.

Quel moteur prendre? le localisateur inclus est il de bonne qualité?

Merci pour vos retour


Grumpy cat ifik8s - Eugenol
radich_a_tord

16/02/2014 à 17h34

Très content du Xsmart plus, sauf l'autonomie sur batterie trop faible. Localisateur à part, je fais soit du cathétérisme manuel soit je clippe sur des pathfiles.

Des amis ne sont pas satisfaits du localisateur du reciproq


pontdemail

16/02/2014 à 17h42

Tres tres content de mon achat du reciproc aucun regret, ca te simplifie la vie tu es serein dans toutes tes endos. Quoi que tu entendes le localisateur intégré est fiable à condition de l'utiliser dansles.conditions appropriées (digue, cavite etanche). Un investissement sans aucun regret.


DrNobody

16/02/2014 à 17h46

Ok je vous remercie pour vos retour. Je pense franchir le pas même si je ne suis qu'en collab... Mais le Protaper me traumatise trop... Reste a voir ou le commander ^^


pontdemail

16/02/2014 à 17h51

Je l'ai egalement achete en tant que collaborateur et ai negocié avec le titualire pour qu'il me paie le consommable etant donne qu'il ne voulait pas l'acheter apres l'avoir eu en essai 15 jours au cab.


DrNobody

16/02/2014 à 18h02

Je pense faire pareil!
Et j'aimerai aussi remettre la digue ce qui est pas évident a faire passer quand tu as pas l'habitude...

Au passage tu l'as acheté ou?