Cookie Consent byPrivacyPolicies.comlésions précancéreuses ? - Eugenol

lésions précancéreuses ?

tarski

03/09/2013 à 10h54

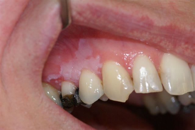
pas de douleur, pas de saignements, bords irréguliers, depuis plusieurs mois, 1ére consultation, légèrement ulcéreux en regard de la 15.

Image 14 uxdtjo - Eugenol

Avatar eugenol pe0ymx - Eugenol
nicklebenou

03/09/2013 à 11h28

ca ressemble à un lichen. il faut envoyer à un spé patho buccale ou stomato.


Icon hase505so n7k1wb - Eugenol
airylis

03/09/2013 à 12h11

lichen !


paradoxe

03/09/2013 à 12h27

airylis écrivait:
-----------------
> lichen !

pareil


 mg 0207 xwjxcl - Eugenol
Tillc

03/09/2013 à 13h18

pas du tout c est une tres classique leucoplasie homogene . Ca demande un certain suivit. Effectivement si tu n ' as pas l habitude adresse.


Dsc01433 2 qnf68y - Eugenol
Ramasoft

03/09/2013 à 15h47

C'est surtout l'ulcération qui interroge: soit elle est d'origine traumatique et doit cicatriser sans traitement sous 15 jours -> dans ce cas surveillance semestrielle du lichen, soit elle ne cicatrise pas et alors c'est biopsie sans attendre.
Surtout ne rien prescrire: il faut voir si la lésion cicatrise seule ou non.

Apparemment la 15 portait une couronne: un galvanisme peut-être à l'origine du lichen.
De plus la perte de la couronne entraîne la perte du bombé vestibulaire et de sa déflexion alimentaire qui pourrait expliquer la blessure traumatique de la gencive.
Hypothèse à vérifier.



Img 5097 lxchd7 - Eugenol
Queixal

03/09/2013 à 18h52

Intérroger le patient.
Lesion en regard de la dent cassée si sa se trouve il a fait des bains de bouche a l´armagnac, ou a placé une aspirine sur la gencive.
Dabords écarter une lesión chimique avant de partir sur un cancer.


145 kssowa - Eugenol
Chicot30

04/09/2013 à 00h36

Pour moi, doute = biopsie.
Ça te confirmera un diagnostic ou au contraire... et te donnera une conduite à tenir.

--
"C'est parce que la vitesse de la lumière est supérieure à celle du son que certains paraissent brillants avant d'avoir l'air cons."


tarski

08/10/2013 à 10h28

Tillc écrivait:
---------------
> pas du tout c est une tres classique leucoplasie homogene . Ca demande un
> certain suivit. Effectivement si tu n ' as pas l habitude adresse.

Et le gagnant est Tillc :

résultat de l'examen histo : leucoplasie marquée, homogène, inflammation chronique du chorion.

N'ayant pas l'habitude du suivi de ce genre de lésion, j'adresse au stomato.

Merci !


Canin

08/10/2013 à 23h15

tarski écrivait:
----------------

> Et le gagnant est Tillc :
>
> résultat de l'examen histo : leucoplasie marquée, homogène, inflammation
> chronique du chorion.

Un anapath qui donne un compte-rendu histo en utilisant encore le terme de leucoplasie ça me surprend un peu. Tu lui as envoyé une photo avec ?

je dis ça car la leucoplasie reste en principe une notion clinique un peu vague.

--
Canin