Cookie Consent byPrivacyPolicies.comEst ce que vous extrairiez? - Eugenol

Est ce que vous extrairiez?

Osmi

16/02/2005 à 20h09

J'hésite: proximité du canal dentaire.

Sagesses 1 dhnmnj - Eugenol
Sagesses 2  mv6kc2 - Eugenol

alhoun

16/02/2005 à 20h19

ça va, les zones de découpage de la dent sont assez loin. bon courage.


Osmi

16/02/2005 à 20h50

Et le nerf dentaire!!!!


Canin

16/02/2005 à 22h02

POur l'OTP1, je vois pas bien, donc pas de commentaire.

Pour L'OTP2, tu peux extraire car config parodontale défavorable à long terme, extraire maintenant car apex pas encore formés sinon risque de contact étroit avec canal plus tard. Pas de risque pourle nerf dentaire. tu découpes en autant de fois nécessaire pour tout sortir. si t'es pas sûr, tu prends ton temps et ça sortira.


alhoun

16/02/2005 à 22h06

Et le nerf dentaire!!!! oui, faut l'éviter. t'en est loin , rassure toi.


Osmi

16/02/2005 à 22h10

Merci pour vos avis.

Canin, es-tu sûr que c'est pas le contraire? Configuration paro défavorable sur le n°1.

Moi perso, le n°2, je le laisserais tranquille, tant que c'est sous-muqueux et asymptomatique.


phil

16/02/2005 à 22h32

et un scan t'aiderait pas ?


Canin

16/02/2005 à 22h46

Osmi,

Non je n'ai pas confondu mais ce que tu dis est vrai. La config paro est pire sur l'OTP1.Je ne vois pas bien l'image du canal mais à priori y'a pas de problème car tu est proche du canal mais au dessus. Tu ne peux odnc pas léser ton nerf sauf si tu forces lors de l'avulsion. C'est pour ça qu'il faut couper au maximum. De plus tu conserves le maximum. Le gros problème, c'est le manque d'accès en rapport avec la branche montante. Il faut que ton patient ouvre bien la bouche et alors y'a pas de problème.

Concernant l'OTP, y'a des chances que la 48 soit vestibulée et donc il doit y avoir quand même de l'os en distal de la 47. Dans ce cas si la gencive est bien kératinisée et saine, pas de poche paro, tu peux effectivement laisser. Mais bon le problème c qu'on peut jamais prévoir l'évolution de ce genre de situation. Le truc c que si la personne semble jeune genre 20 ans environ. Non ???? Si tu enlèves maintenant, la cicatrisation osseuse sera favorable. A 40 ans si il a de la paro, c moins évident et la proximitré nerveuse encore plus délicate à gérer. L'extraction faite maintenant devient donc en quelque sorte prophylactique si tu décides de l'enlever.
Concernant la 38, la config paro est pas top non plus.
Si tu penses pouvoir réaliser une chir sans problème (accès, bon état général, geste sûr) alors je crois qu'il faut enlever.

Kes tu veux ffaire avec les 8 du haut ???

Bon courage.


Concernant le scan, je penses qu'il est pas très utiles car il va pas modifier l'approche chirurgicale, il permet juste de dire si y'a un problème paro et encore !

Juste pour conclure, tu dois bien évaluer la situation entre le bénéfice apporté au patient (pas à toi bien sûr) et le risque pris par lui et par toi.

Je ne sais si ça peux t'aider mais il existe un rapport de l'ANAES sur l'indication de l'avulsion des 3e molaires mandibulaires. Tu peux le télécharger directement sur leur site.

Re bon courage.


Canin

16/02/2005 à 23h16

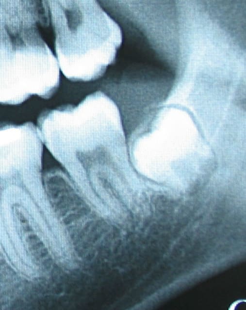
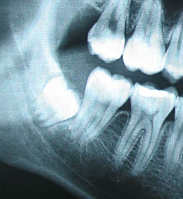
Voici une 48 et 38. Qu'est ce que tu en penses ? A laisser ou à extraire sachant qu'elles sont asymptomatiques chez une personne de 20 ans en bonne santé.

38 kbpaqm - Eugenol
48 apv1ti - Eugenol

Osmi

17/02/2005 à 00h33

Merci pour ta réponse, Canin.
Pour tes radios, je laisserais en place.


zorba

17/02/2005 à 08h35

pour canin
38 et 48 à laisser

pour osmi
18 28 38 48
à ex en meme temps
An loco régionale en milieu hospitalier


gül

17/02/2005 à 11h30

Lascia stare
Laisse pisser le mérinos
Laisse les emmerdements et les cata médicolégales aux autres
Primum non nocere
E pericoloso sporgersi



http://www.dentalespace.com/fc/chirurg/apex.htm

Tu me diras merci plus tard.


bledarito

17/02/2005 à 14h41

vu ta pano,le nerf dentaire est assez loinde tes apexs.tu pe demande un scanner pour etre sur.Avec un bon degagement vestibulodistal, une section de la couronne puis des 2racines ca devrai t passer.ne force pas trop qd meme vu la position de ta dent.

bon courage ...


Canin

17/02/2005 à 20h01

Osmi a écrit:
-------------------------------------------------------
> Merci pour ta réponse, Canin.
> Pour tes radios, je laisserais en place.


La 38 a été extraite finalement. reste la 48.


Osmi

17/02/2005 à 21h52

Motif? Si ce n'est pas indiscret.


alhoun

17/02/2005 à 22h03

cinq minutes à perdre :)


Osmi

17/02/2005 à 22h09

Oh! L'orgueilleux!


alhoun

17/02/2005 à 22h14

je dirai même plus, je ne les fais plus chez moi. mais j'en ai beaucoup fait quand même.@+


lai

19/02/2005 à 07h10

Pourquoi extraire des dents asymptomatiques?

Cordialement.


Osmi

19/02/2005 à 11h43

C'est justement la question que je me pose et que je vous pose!


dentifrix

19/02/2005 à 13h36

j' orai laisse ces dents, le seul soucis c'est qu'elles peuvent provoquer des pericoronarites, et en attendant les apex vt se fermes et risk detre tres proche du nerf.apres cest plus de ton ressort, t' adresse o maxillo facio qui vt t'extraire ca sous A.G. J' ai eu le meme cas .on a pas prescrit de scanner.maintenant tu peut adresser le patient directement , c encore mieu :)


Osmi

19/02/2005 à 13h39

Dentifrix, merci de ta réponse.
je précise que j'essaie de réfléchir à la meilleure solution pour le patient et pas pour essayer de me couvrir.


djinn

19/02/2005 à 14h00

Sachant que ces dents sont asymptomatiques, si elles n'ont jamais causé d'episode infectieux , qu'elles ne provoquent aucun dégat sur les 7 et ne "poussent" pas vers l'avant en provoquant un encombrement anterieur: je ne sauterais pas dessus, et pourtant j'adore ce genre de chirurgie...par contre , je previendrais la patiente qu'il faut surveiller de tres pres par controles reguliers que rien de tout ce que j'ai dit plus haut n'arrive.


dentifrix

19/02/2005 à 19h38

je pense qu on va sorienter vers des complications.le mieu serai de les extraires.tu es assez loin du nerf.Noublie pas k cette une panoramique


Canin

19/02/2005 à 20h20

J'avour que ce sont des extractions dites prophylactiques. On ne peut prévoir de façon absolue les complications sur ce genre de dents. Le seul truc sûr c que le contexte paro pour les 7 n'est pas idéal. De plus les extraire maintenant est beaucoup plus simple et moins risqué que dans 5 ans. Dans 5ans c sûr et certain que les racines seront de part et d'autre du nerf. J'avais quand même precrit un scanner pour info et sur la 48, les racines poussent effectivement sur le canal.
Le dernier argument c'est que le patient est jeune et qu'il va bien cicatriser avec le minimum de séquelles pour les 7.
Si les dents n'étaient pas à proximitré du nerf, je pense que je les aurait laissé.

Il est clair que s'il devait y avoir une complication sur ce genre d''extraction, on pourrait sérieusement me le reprocher.

Bon week-end.


12