Cookie Consent byPrivacyPolicies.comGreffe Gingivale Libre ou pas? - Eugenol

Greffe Gingivale Libre ou pas?

nadeem

11/09/2013 à 07h24

Bonjour à tous,

Un petit avis de votre part:

J`ai reçu une patiente il y a 3 mois souffrant d`une gingivite chronique avec un décollement de la gencive marginale au niveau de la 31 et la 41 quand un simple coup d`air y était mis et aussi quand on tirait sur la lèvre inférieure. Le parodonte profond(gencive libre et os) était ainsi exposé.

Après un bon détartrage et enseignement de l`hygiène, la gencive s`est bien améliorée. Il y a très peu de gencive attachée. La patiente est motivée pour une greffe gingivale libre pour augmenter la gencive attachée et limiter les risques futures à ce niveau.

En palpant le tour du vestibule on ressent les racines "procidentes".

Mes questions:

1) Supprimer le facteur inflammatoire peut-il suffire pour stabiliser une telle situation?

2) Greffe ou pas? Moi je serais plutôt pour.

Merci!

Sam 2523 gtbmbk - Eugenol

G-P

11/09/2013 à 14h44

Tu as ~2mm de gencive attachée, c'est juste mais tu peux tenter un LPC à mon avis ici. Si ça ne suffit pas / fonctionne pas, tu pourras envisager une GGL.


Zz cnsu38 - Eugenol
toto48

12/09/2013 à 10h05

G-P écrivait:
-------------
> Tu as ~2mm de gencive attachée, c'est juste mais tu peux tenter un LPC à mon
> avis ici. Si ça ne suffit pas / fonctionne pas, tu pourras envisager une GGL.

Si je me trompe pas, à la photo on ne voit pas de récessions, et le vestibule semble très court. Deux bonnes raisons si elles sont confirmées pour ne pas faire de LDC amha.
Par contre, une GGL avec approfondissement vestibulaire, même si une bonne hygiéne peut suffire à éviter une future récession, ne peut pas nuire. Dans tous les cas, le contrôle de plaque reste prépondérant.


G-P

12/09/2013 à 10h19

En fait je ne suis pas sûr qu'il soit opportun d'intervenir tout de suite. Je réévaluerais à 6 mois.


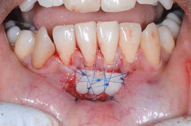
nadeem

19/09/2013 à 11h48

Voila, c`est ma deuxième GGL. Il y avait 0.5mm de gencive attachée sur la 41. On voit la cicatrisation à 48 heures.

3 ccvi1d - Eugenol
4 y6bvab - Eugenol
9 zqcpb5 - Eugenol
5 scqwkk - Eugenol
Dsc 3626 t3tcbp - Eugenol
1 mnrlza - Eugenol
2 hq7kah - Eugenol
6 qwjllq - Eugenol
7 znyuan - Eugenol
8 vbhixc - Eugenol
Dsc 3623 n9etnp - Eugenol
Dsc 3625 jfllau - Eugenol
Sam 2567 nuzdjv - Eugenol

3f3boxni50k58rq7e9ce9ddqrxgk - Eugenol
dentiste57

20/09/2013 à 22h40

jolie! et en plus les photos sont belles!


nadeem

21/09/2013 à 18h53

Merci!