Cookie Consent byPrivacyPolicies.combiodentine - Eugenol

biodentine

isabelleni

18/09/2013 à 01h33

quelqu'un a t-il utilisé la biodentine dans un cas de résorption interne(sur le premier tiers de la racine en partant du collet)?
Si oui comment le fouler à l'intérieur de la zone résorbée?
Ce produit a t-il stoppé la résorption?


Blocperso talon jer3sl - Eugenol
mrquentin

08/10/2013 à 00h48

de souvenir, pour inverser la tendance "dentinoclastique", il faut passer par un caoh.
après, sauf si communication endo paro par la resorption, tu obtures simplement à la gutta


isabelleni

08/10/2013 à 11h53

c'est ce que j'ai réalisé et je surveille tous les 6 mois:j'ai quand même la conviction que la résorption évolue...


Images oecc9d ijdijh - Eugenol
Akrobat

08/10/2013 à 12h53

Mois je l'ai fait.
Résultat positif à 3 mois mais on est d'accord pour dire q le recul est insuffisant.
J'avais trouvé dans des catalogue des seringue spéciale a MTA mais trop cher pour un usage exceptionnelle (en tous cas pour moi.
j'ai fait ma biodentine crémeuse et ai utilisé un seringue a compo flow nettoyée avec son embout.
sinon je viens de trouver ça (jamais essayé):
http://www.dentaldcp.com/PBSCProduct.asp?ItmID=3379321


isabelleni

08/10/2013 à 13h51

ah merci pour ce lien qui pourrait effectivement permettre de placer la biodentine au bon endroit....
Comment obtiens tu la consistance crémeuse?plus de 30 secondes de vibration?


grinchodonte

08/10/2013 à 14h16

Non, il faut mettre 7 gouttes à la place de 5. On obtient quelque chose de bien crémeux (peut être un peu trop)


F e01w igu3rl - Eugenol
roumette

08/10/2013 à 14h57

Je pense qu'au tiers cervical de la racine tu peux te servir tout bêtement d'un porte amalgame et d'un petit fouloir...
Et éviter ainsi une consistance trop molle qui ne tient pas bien en place, et ne se foulera pas bien dans la cavité...


Christophe13

08/10/2013 à 15h42

1° CAS une belle perf traitée avec du Biodentine. Résultat à 2 ans.

2°CAS expulsion - réimplantation immédiate - à 3 ans résorption interne - biodentine . le résultat est sans commentaire.

Bon courage pour ton cas car les dentinoclastes font pas de quartier


Christophe13

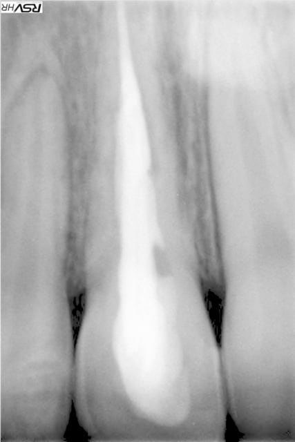
08/10/2013 à 16h02

voilà les photos

1 hlkygf - Eugenol
2 jvxkl9 - Eugenol
3 owbzxu - Eugenol
6 alrbjd - Eugenol
3 iwmo8e - Eugenol

Christophe13

08/10/2013 à 20h12

sorry je m'étais planté sur la dernière photo.
Heureusement que personne n'a réagit et crié à l'escroquerie !

4 a2icey - Eugenol

isabelleni

08/10/2013 à 21h02

tu as mis la biodentine à la place de la gutta?ou bien tu condenses en latéral pour garder un accès pour un pivot?


Christophe13

08/10/2013 à 21h46

sur le cas avec le pivot qui transfixe, j'ai obturé d'abord avec la biodentine ,doucement au lentulo sous AL, j'ai laissé séché une semaine, et j'ai fait la reprise de traitement la semaine suivante , la dent était redevenue asymptomatique ( la patiente avait souffert tout le WE avec son pivot et sa provisoire, heureusement elle n'est pas allée voir un dentiste de garde...)


isabelleni

09/10/2013 à 01h20

aîe,alors là tu me démoralises complètement...en fait j'essaie de sauver la dent de mon fils qui a été victime d'un accident il y a 12 ans.La dent est restée vivante une dizaine d'années,puis début de nécrose,dévitalisation et maintenant début de résorption...ta dernière radio était combien de temps après ta tentative de biodentine?


isabelleni

09/10/2013 à 01h36

http://dr-dada-karim.chirurgiens-dentistes.fr/CV-Dr-Dorothee-LOUIS-OLSZEWSKI-ep961
J'ai trouvé cette consoeur qui semble pouvoir traiter les résorptions.Je vais prendre contact avec elle et je vous tiens au courant...


Christophe13

09/10/2013 à 01h44

Tiens c est rigolo, la 11 extraite depuis , c' etait la dent de ma fille...si çà peut te consoler.
Il y a 1 an entre les 2 dernières radios.
Desolé.


Ico v for vendetta08 jzhpep - Eugenol
o⅁ pnɐuɹ∀

09/10/2013 à 02h45

Elle est calée, tu peux y aller.

Bon courage pour ton gosse.


isabelleni

14/10/2013 à 01h52

non,je suis désolée pour ta fille...:-(
moi,je le vis assez mal car ça ne m'est jamais arrivé en patientèle,et il faut que ce soit mon fils qui soit le cobaye....
Pour la consoeur,merci pour les encouragements,je vais la joindre déjà par mail pour savoir si elle peut intervenir sur ce type de résorption....
en tout cas merci à tous pour vos réponses qui m'ont donné pas mal d'astuces sur ce produit que je manipule seulement depuis un an et qui est assez prometteur...


isabelleni

25/10/2013 à 00h30

Voici la réponse de notre consoeur parisienne:
Si la résorption est purement interne, une obturation à la gutta est correcte. Une obturation à la BioDentine ou au MTA n'a d'intérêt que s'il y a déjà une communication endo-paro.
Les résorptions internes lorsqu'elles sont correctement obturées (ce qui à l'air d'être le cas) ont normalement un bon pronostic dans la mesure où le phénomène de résorption s'arrête.
Le seul risque est la fracture si la zone de résorption fragilise trop la dent.
Pour moi, la dent est à surveiller.
Si vous le souhaitez, je peux recevoir votre fils pour faire un Cone Beam pour contrôler.
Cordialement,
Dorothée Louis-Olszewski

Proposition retenue et je vous tiendrais au courant de la suite des évènements...


isabelleni

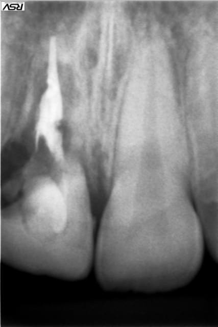
25/10/2013 à 00h33

voici la radio de la 21: