Cookie Consent byPrivacyPolicies.combridge collé - Eugenol

bridge collé

rvb

18/09/2013 à 20h32

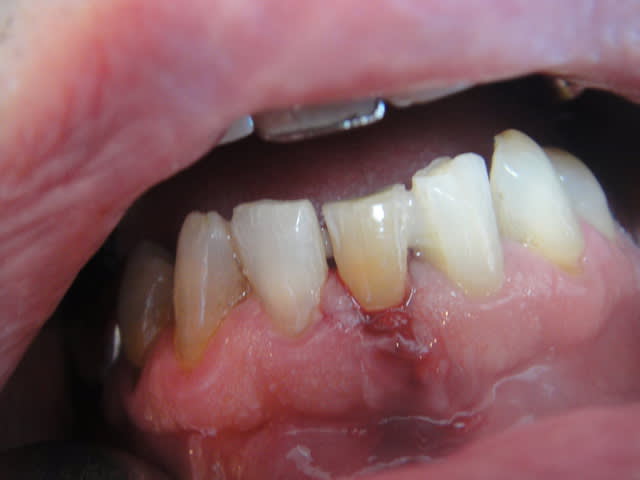
patient de 70 ans qui ne souhaite pas d'implant.
pas de parafonction à signaler ni de demande esthétique importante.
je vais faire un bridge collé avec pins dentinaires et fraisage amelaire (armature métal scellée)
j'ai quelques cas au maxillaire stables.
32 et 42 sont parodonto solides.
prendriez vous les canines?
ça ne me parait pas indispensable.
merci de me faire partager vos expériences de cas similaires










































,





































.













Bridge colle 003 kypdzy - Eugenol
 x 00002463 3 inupgw - Eugenol
Bridge colle 002 hdsxge - Eugenol
Bridge colle 001 wlkwts - Eugenol

titane2b

18/09/2013 à 20h42

bonjour, tu peus réaliser un bridge collé, une dent de chaque coté,avec tailles,tenon dentinaire,armature très précise et collage superbond.


41467 100000418256397 4215 n ypxyho - Eugenol
Blette

18/09/2013 à 23h34

Sympa comme petit cas .... Tu nous mettra des photo du cas en cours et fini ça m intéresse ... Merci


Avatar eklrxs - Eugenol
TheDentalist

19/09/2013 à 03h31

J'ai une idée et je te la soumets : http://thedentalist.fr/soigner-les-vieux-comme-des-jeunes/


--
www.thedentalist.fr


rvb

19/09/2013 à 20h40

ok je m'engage à faire des photos des prochaines étapes.
extraction et bridge provisoire immédiat avec utilisation de la dent du patient.
temporisation et bridge d'usage .


Bebe 038 nf8eum - Eugenol
danteyeah

21/09/2013 à 06h31

Bon voici 2 liens sur des sujets déjà traités sur Nonol qui devraient t'aider:

http://www.eugenol.com/sujets/401091-collage-d-un-bridge-colle?page=2#post_684859

http://www.eugenol.com/sujets/397082-bridge-a-ailettes-quel-imperatifs-de-preparation?page=1#post_625036

Regarde les liens fournit par radich!


Bebe 038 nf8eum - Eugenol
danteyeah

25/09/2013 à 19h18

Tiens belle maman est passée au cabinet ce matin, j'avais déjà parlé d'un bridge collée réalisée en Vectris/Targis (du composite et une armature en fibre de verre: un produit Ivoclar des années 90). Voici des images au bout de 3 ans de collage.

Bridge vectris hnvdsj - Eugenol
Bridge vectris 1 gdoui3 - Eugenol
Bridge vectris 2 ccew9j - Eugenol

rvb

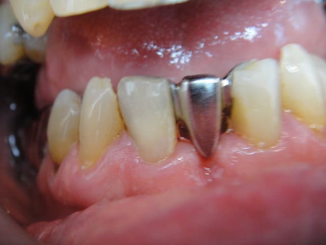
04/10/2013 à 10h58

la suite dans 2mois après cette extraction et collage immédiat de la 41 retaillée et collée par fibre

Bridge colle fngdck - Eugenol

rvb

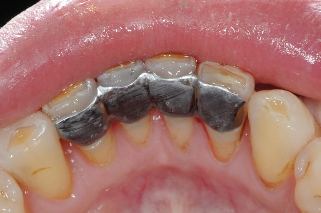
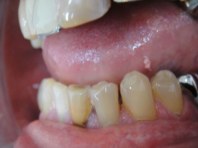
18/12/2013 à 16h29

la suite pour blette que ça interesse .je suis agréablement surpris de la de la rétention et de la stabilité données par cs 2 pins dentinaires
photos lundi ou mardi scellé

Brideg coll  001 mbookn - Eugenol
Brideg coll  002 cztmdu - Eugenol
Brideg coll  003 jqzbus - Eugenol
Brideg coll  004 kfuszo - Eugenol

3f3boxni50k58rq7e9ce9ddqrxgk - Eugenol
dentiste57

19/12/2013 à 00h40

et la céram ??

--




N'oubliez pas d'envoyer votre lettre de résiliation à la cnsd pour Noël.
30 ans de conneries ça suffit!


3f3boxni50k58rq7e9ce9ddqrxgk - Eugenol
dentiste57

19/12/2013 à 00h45

tu as collé avec quoi? moi les contentions me stressent toujours un peu avec le collage. alors les bridges ...

--




N'oubliez pas d'envoyer votre lettre de résiliation à la cnsd pour Noël.
30 ans de conneries ça suffit!

Dsc 5514 eawzgj - Eugenol
Dsc 5517 uoivxt - Eugenol

tobot

16/01/2014 à 10h51

nouvelle école
bridge collé sur une seule dent
je ferais suivre les infos


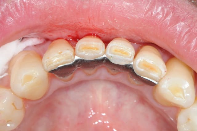
rvb

27/01/2014 à 12h53

avec la céramique... c'est mieux
scellement fuji

Cou 089 ldojt5 - Eugenol