Cookie Consent byPrivacyPolicies.comNerf V3 : je me suis chié dessus aujourd'hui ! - Eugenol

Nerf V3 : je me suis chié dessus aujourd'hui !

3f3boxni50k58rq7e9ce9ddqrxgk - Eugenol
dentiste57

20/09/2013 à 23h12

en faisant une carotte osseuse aujourd'hui sur une crête mandibulaire, j'ai bien cru que j'avais coupé le nerf alvéolaire inférieur.

je devais mettre un implant de 6mm là où il n'y avait que 3.5 à4mm d'os. le reste des spires devaient être laissées en supra crestal et une ROG verticale devait être réalisée avec des vis Fast et une mesh titane + recouvrement par une membrane de péricarde.
bref, ce type d'intervention , je l'ai déjà fait plusieurs fois avec succès.

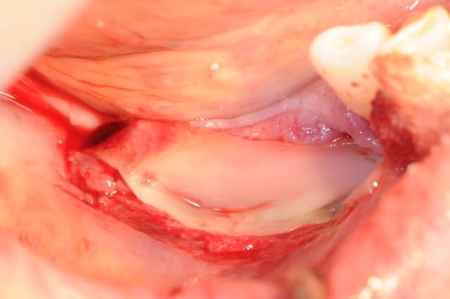
seulement aujourd'hui, la tréphine apès avoir traversé la corticale est rentrée comme dans du beurre. j'ai été surpris car je faisait très attention. la patiente n'a absolument pas bronché d'un cil. quand j'ai retiré la carotte il y avait un truc mou accroché dessous; le V3 !
on voit même sur la carotte la trace du nerf (photo)

comme moi vous connaissez ce petit moment de monté d'adrénaline avec ce sentiment que la terre entière vient de vous tombé dessus? ben là j'ai eu ma petite goutte de sueur!
au final j'ai replacé ma carotte et effectué ma ROG mais sans mettre mon implant.
en plus c'était la loose complète, j'ai du retirer mes mesh titanes car le lambeau s'est déchiré juste en face de la vis qui les maintenait.

j'ai revu la patiente en fin de soiré et finalement elle n'a pas de perte de sensibilité. attendons encore 72 heures pour être sure qu'il n'y ait pas de compression due à l'hématome.

si c'est le cas ce sera corticothérapie retard à haute dose!
là aussi, impossible de trouver du SYNACTHENE retard en IM. les dépôts n'en n'ont plus et aucun délais n'est donné. j'en ai heureusement trouvé ce soir chez un copain de mon pharmacien..

y a des jours...

Dsc 7859 pmpqtx - Eugenol
Dsc 7864 sdqwkn - Eugenol
Dsc 7870 xmr2r3 - Eugenol
Dsc 7872 hv5rwm - Eugenol
Dsc 7874 jndau0 - Eugenol
Dsc 7875 mlkizc - Eugenol
Dsc 7877 zyi7so - Eugenol
Dsc 7866 pvrn0l - Eugenol
Dsc 7878 olsbmh - Eugenol
Dsc 7879 l2hoat - Eugenol
Capture zpuq5d - Eugenol

Avatar2 u3u8yh - Eugenol
riccyman

20/09/2013 à 23h57

Merci pour le partage.

As-tu fixé ta carotte? Il me semble que non.

Car la structure titane protège ce site ?


dentatronche

21/09/2013 à 00h39

sur et certain si aucune perte de sensibilité, il n'y a aucune lésion du nerf tu peux dormir tranquil.

Par contre peux tu expliquer le principe de ton intervention j'ai rien compris? tu mets en place ton implant a moitié, et ensuite?


Image r6habu - Eugenol
Thomas Crown

21/09/2013 à 00h53

Pas compris non plus.. Ta carotte vient de la coupe 34 ou 37? On dirait que tu es arrivé pile au dessus du nerf.. Pas compris . Mais la sensation est la, alors tant mieux :)
D.ailleurs tu étais sous tronculaire ou osseuse ?


S2y2o1v7q53ws4r5wy6ou8czrpom - Eugenol
pxav

21/09/2013 à 01h05


Je pense que tu crois t’être chié dessus aujourd'hui, car si il n'y a pas de perte de sensibilité, tu était ailleurs...
Si tu coupe un fil, le courant ne passe plus...si il passe c'est que tu n'as pas coupé le bon fil...
--
xbk
"Si tous ceux qui croient avoir raison n'avaient pas tort, la vérité ne serait pas loin" Dac Pierre


Avatar ow44t3 - Eugenol
Chicot

21/09/2013 à 02h28

pxav écrivait:
--------------
>
> Je pense que tu crois t’être chié dessus aujourd'hui, car si il n'y a pas de
> perte de sensibilité, tu était ailleurs...
> Si tu coupe un fil, le courant ne passe plus...si il passe c'est que tu n'as pas
> coupé le bon fil...
> --
> xbk
> "Si tous ceux qui croient avoir raison n'avaient pas tort, la vérité ne
> serait pas loin" Dac Pierre

Tiens pour une fois je suis d'accord avec toi Pxav !

Mon très cher D57, te serais tu gourré dans le repérage du NAI ? C'est la formation 3 D de vendredi dernier qui t'as perturbée à ce point ???? Ou alors Kobus ;O)))



--
;O)


S2y2o1v7q53ws4r5wy6ou8czrpom - Eugenol
pxav

21/09/2013 à 13h29

une autre possibilité, tu as fais un passage en force en lingual?

--
xbk
"Si tous ceux qui croient avoir raison n'avaient pas tort, la vérité ne serait pas loin" Dac Pierre


Logocolornotext kiwlk1 - Eugenol
Clio

21/09/2013 à 13h33

dentiste57 écrivait:
--------------------
>
> je devais mettre un implant de 6mm là où il n'y avait que 3.5 à4mm d'os. le
> reste des spires devaient être laissées en supra crestal et une ROG verticale
> devait être réalisée avec des vis Fast et une mesh titane + recouvrement par une
> membrane de péricarde.
> bref, ce type d'intervention , je l'ai déjà fait plusieurs fois

Salut Dentiste 57.
Ce type d'intervention je n'en ai vu que dans "les livres";-)
Et une fois en vrai où cela avait merdé.
Bref j'ai jamais osé le faire.
Toi qui en a fait a de nombreuses reprises,
Aurais tu des photos ( avant, pendant...après )?
Et une idée du taux de réussite?


Icon poker h4nm2d - Eugenol
jeff

21/09/2013 à 13h50

Effectivement, j'imagine la frayeur !

La carotte, c'était pour avoir de l'autogène avec ton biomat ?

Parce que si c'est la cas, Bone scraper ou ACM kit de néobiotech serait plus efficace et moins dangereux .


3f3boxni50k58rq7e9ce9ddqrxgk - Eugenol
dentiste57

21/09/2013 à 15h56

jeff écrivait:
--------------
> Effectivement, j'imagine la frayeur !
>
> La carotte, c'était pour avoir de l'autogène avec ton biomat ?
>
> Parce que si c'est la cas, Bone scraper ou ACM kit de néobiotech serait plus
> efficace et moins dangereux .

non, la carotte c'était pour ne pas utiliser les forets ce qui me permet de diminuer le nombre de forage et de diminuer ainsi le risque de fraiser le nerf. autrement dit je fore directement au diamètre de l'implant et de l'enfoui que sur 3mm à peine.
je vous le confirme bien, le truc mou au fond du trou c'était bien le V3 et non une branche collatérale.
ensuite la carotte devait être broyée et utilisé avec du maxgraft ou biobank en recouvrement des spires de l'implant. le tout devant être recouvert avec le mesh titane et des vis pour faire piquet de tente.
le problème, c'est qu'une partie de la gencive s'est déchirée et que par conséquent, je ne pouvait pas avoir l'assurance de refermer hermétiquement le site d'intervention. j'ai préféré replacer la carotte (en travers) pour gagner 1mm en hauteur et recouvrir avec un peu d'os et une membrane.


3f3boxni50k58rq7e9ce9ddqrxgk - Eugenol
dentiste57

21/09/2013 à 16h02

Clio écrivait:
--------------

>
> Salut Dentiste 57.
> Ce type d'intervention je n'en ai vu que dans "les livres";-)
> Et une fois en vrai où cela avait merdé.
> Bref j'ai jamais osé le faire.
> Toi qui en a fait a de nombreuses reprises,
> Aurais tu des photos ( avant, pendant...après )?
> Et une idée du taux de réussite?

en ce moment je devient de plus en plus feignant en photos, et avec ce type d'intervention un peu chaude je reste concentré sur la chir et oubli les photos. évidemment, à chaque fois je le regrette...
il me semble pourtant que tu avais déjà posté un cas similaire non ?

j'ai juste trouvé ces quelques cas à peu près pareil mais moins "chaud" (avec et sans implants)...

Lallement ewl5da - Eugenol
R7 pykovd - Eugenol
Dsc 1703 gngvhw - Eugenol
Dsc 1406 qh1hru - Eugenol

3f3boxni50k58rq7e9ce9ddqrxgk - Eugenol
dentiste57

21/09/2013 à 16h08

ah oui, l'autre problème c'est que je n'ai pas utilisé les bonnes vis qui m'auraient permis de garder le mesh titane "en l'air".
faut que j'en commande d'autres..


Photo pluton1b h9n4ea - Eugenol
pluton

21/09/2013 à 16h12

dentiste57 écrivait:
--------------------

> en ce moment je devient de plus en plus feignant en photos, et avec ce type
> d'intervention un peu chaude je reste concentré sur la chir et oubli les photos.
> évidemment, à chaque fois je le regrette...

passe à la vidéo...tu mets en route au début, tu arrêtes à la fin, tu es sûr de ne rien rater...
après çà ne remplace pas forcément la photo, mais c'est sympa aussi...;-)
pour la caméra, un écran vidéo de contrôle branché en HDMI et la caméra fixée sur une poignée du scialytique (mon dernier bricolage avec l'imprimante 3D...), un vrai confort même s'il faut que je le modifie...je vais la mettre sur la poignée "praticien" pour une prise de vue la plus proche possible de ce que je vois...;-)


Logocolornotext kiwlk1 - Eugenol
Clio

21/09/2013 à 16h52

Non j'ai pas posté de cas similaire ( pose implant +augmentation verticale simultanée mandibulaire).
J'ai posté des augmentations horizontales "classiques"et un cas d'augmentation verticale
par tunelisation .
Ce qui m'interroge, m'interpelle, m'intéresse ...
c'est le fait de pouvoir gagner de la hauteur autour d'implants .
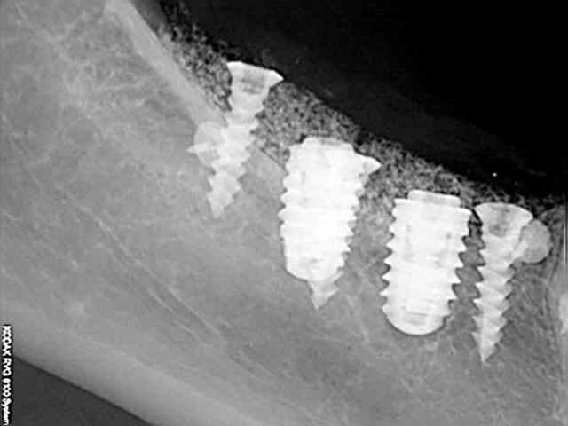
Comme dans la radio de contrôle 1 que tu viens d'envoyer.( qui apparemment est une radio faite juste après ton intervention)
Mon interrogation est sur le résultat final et sur le taux de succès de telles interventions.
Comme je l'ai déjà dit , c'est tjs intéressant de voir comment le praticien se dépatouille d'un contre temps opératoire , ça peut servir a tout le monde.
C'est tjs intéressant de voir différentes techniques opératoires.
Mais la technique et la dextérité du praticien, sans résultat concret final et suivi , ne reste qu'une technique utilisée à un instant donné.
On a eu le plaisir déjà de se rencontrer.
Nous sommes tous les deux et comme tant d'autres, des praticiens consciencieux , formés , amoureux du travail bien fait et passionés.
Je ne remets pas en question tes compétences de praticien expérimenté, mais quand tu dis dans ton post, que tu as fait cette intervention a de nombreuses reprises, tu dois bien avoir quelques cas finis .
Si c'est le cas , et que tu peux me donner des résultats ( photos cas finis, radios de contrôle....)et un réel taux de succès, je reverrais ma copie et sans doute J'essaierais.
Si ce n'est pas le cas ou que cela reste juste anecdotique , j'attendrais pour m'y lancer.
J'en ai marre de rencontrer des praticiens qui me disent," j'ai fait ça car y parait que ca marche"!!!!



John gp55mb - Eugenol
Faivre-rampant

21/09/2013 à 18h46

désolé je suis encore étudiant.
qui fait la prise de sang ? Nous ?
c'est pour obtenir le prf ?
il faut une centrifugeuse ?
cela marche bien le SYNACTHENE retard en IM ? (c'est quoi la posologie)


Olieve

22/09/2013 à 09h47

Au mois d'aout, pose de 34/35, cas très simple, un boulevard d'os.

Une semaine après contrôle et dépose des fils :
-"Ca s'est bien passé cette semaine Mme Michu ?"
-"Ma lèvre est toujours endormie"
-"Gloups..."

J'ai cru m'effondrer devant la patiente....Et j'ai quasi pas dormi pendant une semaine avec l'envie de tout arrêter...

Probablement un hématome qui a comprimé le V3 parce que maintenant tout est rentré dans l'ordre.


Image001 e0kg9q - Eugenol
clemsdent

22/09/2013 à 10h50

je me dis aussi, à la vu des coupes, que tu repères le V3 trop haut?
dommage qu'on ne les voit qu'en petit.

J'ai parfois des problèmes pour repérer le V3 sur des coupes de conebeam (Vatech, que je fais faire à un copain). Ma pano m'aide pour mieux le repérer (Kodak). Tu n'aurais pas de "vrai" pano pour comparer?


Icon poker h4nm2d - Eugenol
jeff

22/09/2013 à 11h17

Faivre-rampant écrivait:
------------------------
> désolé je suis encore étudiant.
> qui fait la prise de sang ? Nous ?
> c'est pour obtenir le prf ?
> il faut une centrifugeuse ?
> cela marche bien le SYNACTHENE retard en IM ? (c'est quoi la posologie)

Après formation, on peut faire la prise de sang, pour faire le PRF, avec ta centrifugeuse. Voir le site du syfac. Pour ta dernière question, je ne sais pas.


uɹöɾq

22/09/2013 à 11h59

jeff écrivait:
--------------
>
> Après formation, on peut faire la prise de sang,

Quelle est cette formation, c'est médecine ou soins infirmiers?

La Syfac, c'est un organisme de formation en chirurgie dirigé par un anesthésiste?
Ils font des formations en dehors du dentaire?


Choukroun Joseph

22/09/2013 à 12h33

Le Syfac forme les Chirurgiens Dentistes, Les stomatologues et les Chirurgiens Orthopédistes à la technique du PRF. Dans le monde entier. Hier à Copenhague: 45 CD et maxillos.
Nous formons aussi les Chirurgiens D à la technique de prélèvement sanguin et à l'utilisation du MEOPA.
voir les programmes sur www.syfac.com


uɹöɾq

22/09/2013 à 16h03

Merci monsieur pour ces informations.

Les chirurgiens-dentistes sont-ils autorisés à faire des prélèvements sanguins?

Quel est le pourcentage de chirurgiens maxillo et ortho inscrits dans vos formations?



dentatronche

22/09/2013 à 17h56

l'utilsation du prf est controversée apparemment. Il n'y a pas de meilleur résultat.



Si j'ai bien pigé, tu fais une carotte osseuse sur le site d'implantation puis tu passes ton dernier foret. Tu mets en place l'implant et tu utilises l'os broyé pour recouvrir les spires.

Ensuite tu place une membrane pour maintenir de l'espace . J'imagine que tracter le lambeau ne doit pas etre chose aisée pour suturer. Et en pratique tu as de bon résultats?? tu gagnes en hauteur?



Smile beach jgh0a1 - Eugenol
Céramik

22/09/2013 à 18h24

pour les poseurs de disks, c'est possible en basale ce cas, et éviter les greffes et manipulations difficiles ?

--
Céramik


Dent masqu e petite f0pbaj - Eugenol
dudule

22/09/2013 à 19h31

dentatronche écrivait:
----------------------
> l'utilsation du prf est controversée apparemment. Il n'y a pas de meilleur
> résultat.
>
>


http://www.sfparo.org/espace-praticiens-et-membres/les-recommandations-de-la-sfpio/45-position-de-la-sfpio-sur-le-prf.html


Pour abonder dans ton sens, après l'analyse d'une société scientifique indépendante (et à laquelle je n'appartiens pas d'ailleurs) que peut-on ajouter de plus en restant objectif ?

Rappelons qu'en toute objectivité le seul qui promeut cette technique est le commercial qui la représente et qui use de son titre de doctorat pour faire du commerce car à ma connaissance il n'y a pas d'autres sociétés distributrices que la sienne.


Logocolornotext kiwlk1 - Eugenol
Clio

23/09/2013 à 01h11

dentatronche écrivait:
----------------------
> Et en pratique tu as de
> bon résultats?? tu gagnes en hauteur?
>
>

Moi j'ai toujours pas eu de réponse a cette question ;-)))