Cookie Consent byPrivacyPolicies.comNerf V3 : je me suis chié dessus aujourd'hui ! - Eugenol

Nerf V3 : je me suis chié dessus aujourd'hui !

1309531 ours brun n5iukf - Eugenol
seespan

24/09/2013 à 16h32

Choukroun Joseph écrivait:
--------------------------
> Dudule, que de haine! et de jalousie..
> Tes post sont vraiment nuls et comme il est dit, le savoir c'est comme la
> confiture, moins on en a et plus on l'étale..

Oui en effet Dudule reconnaissant sont total manque de connaissance sur cette technique vous demande aimablement de luis citer une bibliographie approprié.

Demande toute a fait logique que un intervenant vous propose une nouvelle technique.
--
หมอจัดฟัน


Photo pluton1b h9n4ea - Eugenol
pluton

24/09/2013 à 16h58

seespan écrivait:
-----------------
> Choukroun Joseph écrivait:
> --------------------------
> > Dudule, que de haine! et de jalousie..
> > Tes post sont vraiment nuls et comme il est dit, le savoir c'est comme la
> > confiture, moins on en a et plus on l'étale..
>
> Oui en effet Dudule reconnaissant sont total manque de connaissance sur cette
> technique vous demande aimablement de luis citer une bibliographie approprié.
>
> Demande toute a fait logique que un intervenant vous propose une nouvelle
> technique.


bon, on est pas là pour faire le procès du PRF...c'est pas le sujet...
certains sont pour, d'autre anti, n'empêche que même si je n'en fais pas (encore) c'est quand même intéressant, une piste à creuser même si on peut tout démontrer et son contraire...
perso, je crois plus en l'association avec un biomat comme pour les membranes plasmatiques minéralisées, mais çà n'est qu'une vision extérieure qui m'est propre...

pour en revenir au sujet, je dirais comme pxav, si tu avais, D57, mis un coup de foret ou de trépan dans le NDI il n'y aurait plus de sensibilité de la lèvre...donc plus de peur que de mal
d'ailleurs, sous para-apicale, sans tronculaire, l'approche ou la compression du V3 est généralement douloureuse (enfin, je ne généralise pas, çà n'est que de l'extrapolation de ma petite expérience perso...)
pour étayer, un cas clinique de pas plus tard qu'hier, lors du vissage de l'implant en 46 la patiente a fait "aïe", j'ai dévissé d'1/6 ème de tour (soit 0.3mm)et plus mal...
et ce matin la lèvre répond normalement
le clou, c'est parce que j'ai fais aussi une ROG à cause de quelques mini-spires exposées aussi sur cet implant en même temps...

Aie.. - Eugenol

Logocolornotext kiwlk1 - Eugenol
Clio

24/09/2013 à 17h01

Choukroun Joseph écrivait:
--------------------------
> Dudule, que de haine! et de jalousie..
> Tes post sont vraiment nuls et comme il est dit, le savoir c'est comme la
> confiture, moins on en a et plus on l'étale..

Quand on fait de la promo pour un produit ou une technique, sur un site "spécialisé", il faut s'attendre à la controverse, c'est normal.
Le père Dudule n'étale pas sa science, mais se base certes sur sa propre expérience , mais surtout sur des études biblio.
Et très sincèrement , pour ce qui le concerne, la "confiture" me semble plus volumineuse que la tartine sur laquelle il l'applique....


1980 husqvarna 390 automatic 2 kl7m5v - Eugenol
Cyanolit

24/09/2013 à 17h18

dentiste57 écrivait:
--------------------

> pour ceux à qui cela arriverait, sachez qu'il faut corticothérapie +++ (genre 20
> à 30 mg de betaméthasone).
> l'idéal est d'avoir du SYNACTHENE en IM.


Bonjour, au cas où ca arriverait, j'aimerais bien avoir une idée du protocole de prescription du Celestene dans ces cas là. Parce que 3/4 d'une boite par jour, ca me semble colossal. Et puis il faut l'arreter aprés. Mon activité est plus liée aux dents de sagesses, mais ça peut servir...

Merci !


uɹöɾq

24/09/2013 à 23h43

Choukroun Joseph écrivait:
--------------------------
> Les formations pour orthopédistes ne sont pas ouvertes aux chir.dent, car je ne
> parle pas de chirurgie orale.
> pour les programmes et dates , voir sur www.syfac.com


Merci monsieur Choukroun, mais je ne trouve pas les formations pour chir ortho sur le site de votre société.
Pouvez-vous nous donner le lien, c'est pour un ami chir ortho?


Dent masqu e petite f0pbaj - Eugenol
dudule

24/09/2013 à 23h53

La sfpio aussi t en veut... Un peu complexe de persécution non ? Si à chaque fois qu on dit qu on pense que tu viens nous vendre ta soupe.
Cite moi une autre boite qui vienne faire autant de rabbatage ? Aucune ah ouais tu m étonnes.
À part dans ta propre association bidon qu est le syfac, tu peux me citer les sociétés savantes indépendantes où tu interviens ? Sop, sfpio, sfco...

La seule qualité que je te reconnais c est que si certains ont transformé l eau en vin, tu as su transformer le sang en dollars... beau parcours alchimique


uɹöɾq

25/09/2013 à 00h00

pxav écrivait:
--------------

> Dans les quelques cas de "compressions" ou lésions du V3 que j'ai
> provoquées,(6),je n'ai qu'un cas de soucis,ayant dépassé les 3 mois, tout les
> problèmes ont disparus avec l'acupuncture,

Moi je prescris des bains de siège à mes patients, et ça fonctionne super bien.


S2y2o1v7q53ws4r5wy6ou8czrpom - Eugenol
pxav

25/09/2013 à 00h12

uɹöɾq écrivait:
---------------
> Moi je prescris des bains de siège à mes patients, et ça fonctionne super bien.

Au moins tu fais avancer le débat.
Merci


--
xbk


Statue modif qbkm6l - Eugenol
Dr Patsch Hans

25/09/2013 à 00h20

le broyat de glande orchitique donne également d'excellents résultats.


uɹöɾq

25/09/2013 à 00h22

Oui, comme vous j'adore la science!


uɹöɾq

25/09/2013 à 22h31

uɹöɾq écrivait:
---------------
> Choukroun Joseph écrivait:
> --------------------------
> > Les formations pour orthopédistes ne sont pas ouvertes aux chir.dent, car je
> ne
> > parle pas de chirurgie orale.
> > pour les programmes et dates , voir sur www.syfac.com
>
>
> Merci monsieur Choukroun, mais je ne trouve pas les formations pour chir ortho
> sur le site de votre société.
> Pouvez-vous nous donner le lien, c'est pour un ami chir ortho?


uɹöɾq

26/09/2013 à 23h54

Choukroun Joseph écrivait:
> > --------------------------
> > > Les formations pour orthopédistes ne sont pas ouvertes aux chir.dent, car je
> > ne
> > > parle pas de chirurgie orale.
> > > pour les programmes et dates , voir sur www.syfac.com
> >

Merci monsieur Choukroun, mais je ne trouve pas les formations pour chir ortho
sur le site de votre société.
Pouvez-vous nous donner le lien?
C'est pour un ami chir ortho.


uɹöɾq

29/09/2013 à 16h04

Monsieur Choukroun, je ne trouve pas les formations que vous dites dispenser aux chirurgiens orthopédistes.

Auriez-vous un lien vers ces formations?
Merci.


uɹöɾq

29/09/2013 à 16h04

.


Icon poker h4nm2d - Eugenol
jeff

29/09/2013 à 22h29

Je crois que tu devrais , soit envoyer un mp a choukroun , il aura un mail pour le prévenir, soit, encore mieux, de téléphoner directement au syfac, ou à touslesboimateriaux com .


Dent masqu e petite f0pbaj - Eugenol
dudule

29/09/2013 à 22h40

jeff écrivait:
--------------
> Je crois que tu devrais , soit envoyer un mp a choukroun , il aura un mail pour
> le prévenir, soit, encore mieux, de téléphoner directement au syfac, ou à
> touslesboimateriaux com .

Oh non Jeff, vu que Choukroun nous lit régulièrement il ne devrait pas avoir de soucis à nous répondre directement.

J'espère qu'il ne lui ai rien arrivé de grave car il ne répond plus depuis cette question...


uɹöɾq

01/10/2013 à 11h05

Choukroun Joseph écrivait:
--------------------------
> Le Syfac forme les Chirurgiens Dentistes, Les stomatologues et les Chirurgiens
> Orthopédistes à la technique du PRF. Dans le monde entier.


J'espère que vous allez bien, Monsieur Choukroun.

Pourriez-vous donner un lien vers vos formations pour chirurgiens orthopédistes, mon ami chir ortho ne trouve pas vos formations et semble très intéressé par l'apport de cette merveilleuse technique dans sa discipline.

Au plaisir de vous lire.


209209668 fh2mys - Eugenol
fredo667

01/10/2013 à 11h34

En tout cas , je me demande comment tu peux encore avoir les nerf dans le bon sens pour prendre des photos dans une situation pareille.
Félicitation, pas pour le geste technique qui necessite déjà d'être costaud mais pour cette maitrise de toi en situation de crise.


3f3boxni50k58rq7e9ce9ddqrxgk - Eugenol
dentiste57

02/10/2013 à 01h07

Merci, c'est gentil.


uɹöɾq

03/10/2013 à 00h49

Choukroun Joseph écrivait:
--------------------------
> Le Syfac forme les Chirurgiens Dentistes, Les stomatologues et les Chirurgiens
> Orthopédistes à la technique du PRF. Dans le monde entier.


Monsieur Choukroun, j'aimerais bien aider mes amis chirurgiens orthopédistes en leur donnant un lien vers les formations qui leur sont destinées.

Ils commencent à me dire que vous ne faites pas de formations aux orthopédistes mais que c'est un argument commercial pour vendre des formations et des machines aux dentistes.
Ils sont vraiment moqueurs!

J'espère vivement que vous ferez taire leurs moqueries en me donnant le lien que je vous demande depuis une semaine.

Au plaisir de vous lire.


Image saznoz - Eugenol
Hodina

13/12/2014 à 22h44

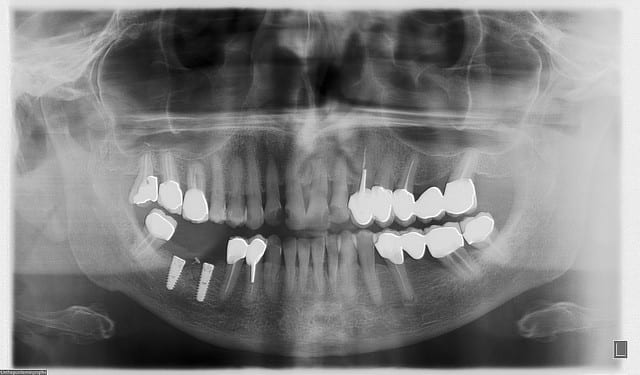
dentiste57 écrivait:
--------------------
> en faisant une carotte osseuse aujourd'hui sur une crête mandibulaire, j'ai bien
> cru que j'avais coupé le nerf alvéolaire inférieur.
>
> je devais mettre un implant de 6mm là où il n'y avait que 3.5 à4mm d'os. le
> reste des spires devaient être laissées en supra crestal et une ROG verticale
> devait être réalisée avec des vis Fast et une mesh titane + recouvrement par une
> membrane de péricarde.
> bref, ce type d'intervention , je l'ai déjà fait plusieurs fois avec succès.
>
> seulement aujourd'hui, la tréphine apès avoir traversé la corticale est rentrée
> comme dans du beurre. j'ai été surpris car je faisait très attention. la
> patiente n'a absolument pas bronché d'un cil. quand j'ai retiré la carotte il y
> avait un truc mou accroché dessous; le V3 !
> on voit même sur la carotte la trace du nerf (photo)
>
> comme moi vous connaissez ce petit moment de monté d'adrénaline avec ce
> sentiment que la terre entière vient de vous tombé dessus? ben là j'ai eu ma
> petite goutte de sueur!
> au final j'ai replacé ma carotte et effectué ma ROG mais sans mettre mon
> implant.
> en plus c'était la loose complète, j'ai du retirer mes mesh titanes car le
> lambeau s'est déchiré juste en face de la vis qui les maintenait.
>
> j'ai revu la patiente en fin de soiré et finalement elle n'a pas de perte de
> sensibilité. attendons encore 72 heures pour être sure qu'il n'y ait pas de
> compression due à l'hématome.
>
> si c'est le cas ce sera corticothérapie retard à haute dose!
> là aussi, impossible de trouver du SYNACTHENE retard en IM. les dépôts n'en
> n'ont plus et aucun délais n'est donné. j'en ai heureusement trouvé ce soir chez
> un copain de mon pharmacien..
>
> y a des jours...

Bonjour,
Je ressort ce post pour avoir quelques précisions.
Ou en es tu avec ta patiente?
As tu des photos?
Quid de son hypoesthésie?
Et enfin,je n ai pas compris pourquoi tu utilisais du SYNACTHENE.
Ce produit n est pas utilisé que sous surveillance hospitalière? N'y a t il pas de risque de poussée hypertensive( poussee a 22-25?)
Les médecins generalistes semblent prendre ce produit avec précaution.
Pourrais tu nous en dire un peu plus sur ton experience de ce produit.
Merci et au plaisir de te lire.


3f3boxni50k58rq7e9ce9ddqrxgk - Eugenol
dentiste57

14/12/2014 à 11h38

les couronnes ont été posées il y a peu de temps.
pas fais de photo, j'ai pas de tête en ce moment ,j'oublie tout.
sinon, ce produit est fait pour taper fort, très peu de temps donc pas de pb d'hypertenssion si tu dépasses pas 4 jours


Elephant 018 u6kzyq - Eugenol
confrère

14/12/2014 à 14h27

pas fait de photos...vraiment ? ou elles ne sont pas montrables ?

faut assumer D57 parce qu'une fois de plus nous restons sur notre faim.
comment peut-on être si prompt et zélé à prendre des photos très détaillées pour se glorifier de faire des chirurgies de haut vol et ensuite oublier quasiment toujours de photographier le devenir ? j'ai comme un doute là sur ton accession au glorieux statut de leader local


Image saznoz - Eugenol
Hodina

14/12/2014 à 16h33

dentiste57 écrivait:
--------------------
> les couronnes ont été posées il y a peu de temps.
> pas fais de photo, j'ai pas de tête en ce moment ,j'oublie tout.
> sinon, ce produit est fait pour taper fort, très peu de temps donc pas de pb
> d'hypertenssion si tu dépasses pas 4 jours

Ok, mais dans ce cas, pourquoi pas un AIS normal plutôt qu un médicament qui agit indirectement??