Cookie Consent byPrivacyPolicies.comImpaction 62 - Eugenol

Impaction 62

Pilpil

25/09/2013 à 15h50

Petit patient né le 07/12/2009.

Vu le 27/07/2012 suite à une chute avec impaction de 62.

J'avais lors du rdv constaté l'ingression de 62 et demandé une surveillance à 2 mois expliquant que la dent allait redescendre.
Pas revu depuis ce rdv.

Patient vu ce jour, la dent n'est pas redescendue, pas de rhyzalyse de la racine.

CAT???

Favier adel n78r8n - Eugenol

1309531 ours brun n5iukf - Eugenol
seespan

25/09/2013 à 16h01

Extraction de 62 et surveiller l'évolution de 22. Pas besoin de mainteneur d'espace.

--
หมอจัดฟัน


jay78

25/09/2013 à 18h08

Bonjour,
Pourquoi faut-il dévitaliser la dent? Y a t il un risque pour le germe sous jacent si 62 n'est pas nécrosée?


jay78

25/09/2013 à 18h09

je voulais dire "pourquoi faut il EXTRAIRE la dent?"!!!


1309531 ours brun n5iukf - Eugenol
seespan

25/09/2013 à 18h31

Il n'y a pas a ma connaissance de bénéfice a essayer de garder cette dent.

La dent est impacté plus l'age de patient indique que la valeur esthétique est inexistante.
Il n'y a pas besoin de maintenir l'espace en antérieure.
Vue l'age du patient si l'on peut éviter de faire un pulpectomie c'est aussi un plus.

Par contre cette dent peut s' ankyloser ou s'infecter et causer des problème avec le germe de 22 voir 21.

Donc l'extraction me parait la route la plus sage.

--
หมอจัดฟัน


Avatar hjdsnm - Eugenol
TiGabi

27/09/2013 à 00h07

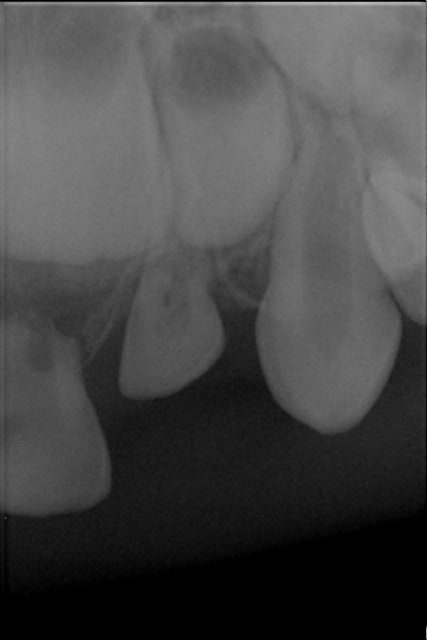
Pilpil, observe bien l'image de la racine : il y a une résorption au moins externe et peut être aussi interne.

Si la dent est accessible sans incision et enfant coopérant, je ferai l'avulsion avant que la dent devienne sous-muqueuse avec la croissance.

Sinon, je surveillerai à 6 mois puis un an : la résorption fera probablement le travail.


Pilpil

27/09/2013 à 09h31

En effet, début de résorption!

Merci!