Cookie Consent byPrivacyPolicies.comcomment faire ? - Eugenol

comment faire ?

charlotte13

28/09/2013 à 03h51

salut a tous,
jeune patiente de 18ans avec sa 38completement dégagée de l'os mais persistance d'un capuchon muqueux régulièrement inflammatoire et douloureux... pour conserver la dent... que faire? un distal-wadge (pas sur de l'orthographe) une suppression du capuchon distal... j'en ai jamais fait... dois je procéder comme pour une élongation coronaire? ou incision en quartier d'orange???

merci pour votre aide.
Charlotte

Img 1796 be1ifp - Eugenol

1309531 ours brun n5iukf - Eugenol
seespan

28/09/2013 à 05h21

Il faudrait une radio pour voir le rapport de la 8 avec la 7 et l'anatomie osseuse du ramus.
Une pano serait idéal, si elle est trop près de la branche montante du ramus un décapuchonage sera inutile et une extraction serait indiqué.

--
หมอจัดฟัน


Humator t9r5wy - Eugenol
humator

28/09/2013 à 10h54

et ben anesthesie, et tu élimines le quartier (lame froide, laser). C'est pas très compliqué.
cela dit, vu les débuts d'attaques carieuses sur cette dent, je pense que ton patient ne finira pas sa vie avec cette 8. J'opterais probablement pour son élimination.
--
N.Hum


060108 005 nrfjgc - Eugenol
NaFr

28/09/2013 à 11h56

humator écrivait:
-----------------
> et ben anesthesie, et tu élimines le quartier (lame froide, laser). C'est pas
> très compliqué.
> cela dit, vu les débuts d'attaques carieuses sur cette dent, je pense que ton
> patient ne finira pas sa vie avec cette 8. J'opterais probablement pour son
> élimination.
> --
> N.Hum

+1

--
Francis N.


Avatar transparent iqadnc - Eugenol
adhoc

28/09/2013 à 12h05

decapuchonnage: sc0

Actenoncote offrandealafrance idk3lm - Eugenol

Dsc01433 2 qnf68y - Eugenol
Ramasoft

28/09/2013 à 16h25

C'est effectivement SC0 (ou HN)
L'idéal est le bistouri électrique ou à défaut les fraises soft tissue trimmer en céramique utilisées sur turbine sans spray et qui échauffent les tissus en coupant si bien qu'on n'a pratiquement aucun saignement.

Sinon lame froide = saignement = temps perdu à faire l'hémostase = pas rentable

Par contre la dent soit être assez sortie pour éviter la récidive.


1980 husqvarna 390 automatic 2 kl7m5v - Eugenol
Cyanolit

28/09/2013 à 19h06

Anesthésie, syndesmotomie, élévation et pouf plus de problème.

Moi je suture sur une 8 si je peut. Sinon c'est un vrai garde manger là bas derrière.


1980 husqvarna 390 automatic 2 kl7m5v - Eugenol
Cyanolit

28/09/2013 à 19h06

Anesthésie, syndesmotomie, élévation et pouf plus de problème.

Moi je suture sur une 8 si je peut. Sinon c'est un vrai garde manger là bas derrière.


Index vakr2r - Eugenol
pgc

28/09/2013 à 20h32

Fais une anesthésie et coupe ce qui dépasse.
Attention ça peut saigner vraiment beaucoup.
Si l'indication d'extraction se précise dans quelques temps il sera toujours temps de l'extraire.


bine

03/10/2013 à 14h56

l ennui du décapuchonage est que 'ca va faire mal' au reveil


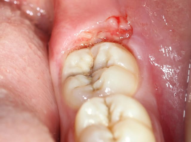
charlotte13

07/10/2013 à 20h51

Bonjour à tous,
voila finalement on a opter pour la conservation de la dent...
Décapuchonné à la lame froide saignement modéré (infiltration d’anesthésie adrénalinée tout autours de la couronne... Un point de suture dix jours après compo. conseils d’hygiène.
la patiente est contente d'avoir conserver sa dent...

merci pour toute vos réponses.


Charlotte


Img b2132 utnzhm - Eugenol
Img d2590 unpa3g - Eugenol
Img e2603 k6kqd3 - Eugenol
Img a17961 cucqjp - Eugenol
Img c2506 mqpquq - Eugenol

Eraser

07/10/2013 à 21h23

salut

puis je savoir combien tu as facturé tout cela?

merci


charlotte13

08/10/2013 à 17h00

150 à peine...


1980 husqvarna 390 automatic 2 kl7m5v - Eugenol
Cyanolit

08/10/2013 à 18h36

150 en HN ?!?

Sinon tu peux toujours coter une gingivectomie et un compo. Mais au delà...


Eraser

08/10/2013 à 21h57

???

donc compo 16.87 euros

decapuchonnage 150 - 16.87 euros??


quel intitulé tu as mis sur le devis?


Humator t9r5wy - Eugenol
humator

09/10/2013 à 10h38

très très beau boulot Charlotte!
chapeau pour la digue là bas!
j'aurai été expéditif sur ce cas, mais j'avoue que ce que tu as fait tient la route!
encore bravo!

--
N.Hum


charlotte13

14/10/2013 à 00h24

merci humator...
pour ce qui est du cout... vous pensez bien qu'elle n'a rien eu à payer c'est ma belle sœur ;-))