Cookie Consent byPrivacyPolicies.comcas implants et parodontite? - Eugenol

cas implants et parodontite?

matouille74

03/10/2013 à 11h43

Bonjour

Je voulais avoir vos avis pour un cas.
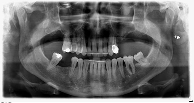
Patient de 40 ans, fumeur 15 cigarettes par jour
Je l'ai motivé, fais des surfacages et contentions. Le contrôle de plaque est meilleur mais reste moyen. Je joins la pano après surfacages et extractions de 25 26 27 et 17 il y a trois mois.
Que feriez vous?

Moi je pensais peut être proposer deux implants en 25 et 46.

Merci

Pano 1 wejhku - Eugenol
Pano 2 ex3qm6 - Eugenol

dent2669

03/10/2013 à 11h55

Si la paro est stable et le contrôle de plaque est bon, moi j'y vais... m'enfin faut quand même bien les positionner car ces implants te serviront dans quelques années pour ses complets à la Branemark !!

Averti le bien que tu fais tout pour allonger l’espérance de vie de ses dents mais qu'il faudra probablement y passer un jour...


Nouveau image bitmap fz77zh - Eugenol
Sethef

03/10/2013 à 12h34

Même chose, en l'avertissant que d'autres dents risquent d'y passer à moyen terme. Le vrai problème ici reste le contrôle de plaque insuffisant, pour le reste a se stabilise bien une bouche comme ça.


J'en ai un en cours qui me fait penser à ça, ça me fait tirer un peu la tronche parce que je ne suis pas confiant dans la pérennité du truc, mais je ne vais pas aller lui piquer ses paquets de clope chez lui... Comme toi, j'ai fait la paro, mais je ne considère pas que le terrain soit stable... Il y aura d'autres implants dans le futur.


Tom1974

03/10/2013 à 16h25

vu la radio, c'est mal parti... tu poses l'implant en 46 mais son antagonsite, la 16, semble être perdue à moyen terme, tu mettras un implant en 16 dans 1 an......etc pour les autres dents. Faut bien voir avec le patient, car il risque d'en avoir marre si tu proposes tous les ans de nouveaux implants + couronnes.
Mais ce sera aussi difficile de passer à un bridge complet sur implants vu la radio....


Img 3657 cwjvqm - Eugenol
alapex

03/10/2013 à 17h29

Un patient de 40 ans avec une paro au stade terminal ne fume pas 15 clopes mais 2 paquets cad le même nombre que son age si mes calculs sont exacts . la tabagie de demoiselle c'est comme l'alcoolisme avancée : ça se voit sur la tronche et ça n'est jamais avoué .
Alors fais le arrêter de fumer et contrôle sa paro (à défaut) si tu le souhaites ce qui ne sert pas à grand chose . Conseille lui plutôt de garder le peu d'os qui lui reste en virant les dents , parce qu'à part chirurgie lourde , greffes et consort , voire implantologie basale poser 2 implants là dedans me semble relever de la désespérance économe mal placée, donc pire que tout .


Avatar eklrxs - Eugenol
TheDentalist

04/10/2013 à 00h08

Y'a t-il une atteinte de furcation sur 36?
Les dents maxillaires me semblent perdues à moyen terme.
Les molaires mandibulaires également.
Quoi tu choisisses, l'arrêt du tabac (www.thedentalist.fr/comment-motiver-ses-patients-a-arreter-de-fumer/) et un meilleur contrôle de plaque pourront faire réduire les risques, et améliorer le pronostic implantaire + maintenance professionnel tous les 3 mois.

--
www.thedentalist.fr


Images jm2g2g - Eugenol
dr_0le

04/10/2013 à 00h35

Un peu comme les copains... Lésions actives sur plusieurs dents..
Planter ici me semble un peu risque..
J'attends d'avoir des résultats paro impeccables avant même de parler vis...