Cookie Consent byPrivacyPolicies.comEtanchéité pilier plein vs pilier transvissé - Eugenol

Etanchéité pilier plein vs pilier transvissé

Zz cnsu38 - Eugenol
toto48

04/10/2013 à 17h46

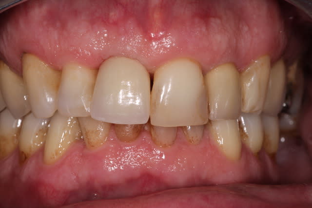
J'attendais d'avoir terminé le cas pour vous le présenter.

Il s'agit d'une EIIMCI avec comblement du gap.

J'ai utilisé un pilier plein que je n'ai pas déposé depuis la chirurgie.

Aurait-on obtenu le même résultat avec un pilier transvissé?

4 jgp2qi - Eugenol
5 naarsc - Eugenol
11 lz4voz - Eugenol
Jour de la pose  7 mois  kkpghj - Eugenol
2013 10 04 14 27 23 gjdlvg - Eugenol
1 f8mlzt - Eugenol
2 ayryuk - Eugenol
3 zolu55 - Eugenol
6 i5fgbx - Eugenol
7 vuap1p - Eugenol
8 wkn1ih - Eugenol
9 mdqexs - Eugenol
10 yfrbqf - Eugenol
Post op hpa0rh - Eugenol
15 jours bd215w - Eugenol
6 mois yh22mn - Eugenol

Blason dql7mj - Eugenol
growler

04/10/2013 à 19h53

super toto

oui tu aurais obtenu la même chose avec un pilier transvissé

@+


Logocolornotext kiwlk1 - Eugenol
Clio

04/10/2013 à 20h55

Très beau.
Si je peux me permettre une petite remarque.
Tu prends qd même un risque d'implanter ds un site infecté ( fistule).
Mais très joli et surtout merci d'avoir posté un cas fini


01 ukhwbq - Eugenol
ʎqqoq

04/10/2013 à 20h59

T'es sûr que c'est pas les points d'anesthésie?
C'est très joli en effet.


Zz cnsu38 - Eugenol
toto48

04/10/2013 à 21h07

Pas d'infection en phase aiguë avant l'intervention, mais au vu de la fissure sur la racine et de la lésion osseuse, il devait y avoir quand même quelques bactéries.
J'ai bien cureté (manuel et rotatif), rinçage bétadine et métronidazole dans le mélange de biomatériaux.
Ça vaut ce que ça vaut, mais ça m'a paru correct sur le coup.


Logocolornotext kiwlk1 - Eugenol
Clio

04/10/2013 à 21h13

ʎqqoq écrivait:
---------------
> T'es sûr que c'est pas les points d'anesthésie?
> C'est très joli en effet.

Ben sur la première photo , cela ressemble plus a une fistule qu'à un point d'anesthésie .
Mais je peux bien évidemment me tromper.
Seul toto peut nous répondre.


S2y2o1v7q53ws4r5wy6ou8czrpom - Eugenol
pxav

04/10/2013 à 23h01

petite question: sur la photo 15, c'est la prothèse d'usage je pense, il me semble que le hiatus prothèse / pilier est important?


--
xbk
"Si tous ceux qui croient avoir raison n'avaient pas tort, la vérité ne serait pas loin" Dac Pierre


Blason dql7mj - Eugenol
growler

05/10/2013 à 10h01

avec un transvissé on peut vraiment obtenir une jonction pilier et résine provisoire parfaitement lisse et étanche, de même pour le définitif avec en plus absence de ciment de scellement. Pour autant tu obtiens ici un bon résultat mais je préfère passer par du transvissé.

@+


Zz cnsu38 - Eugenol
toto48

05/10/2013 à 10h56

A pxav
Il semble effectivement qu'il y ai un hiatus important.
Je n'ai pas contrôlé l'ajustage sur le modèle car ayant travaillé avec une réplique de pilier et une chape calcinable je pensais pas qu'il puisse y avoir de défaut. A l'essayage clinique, je n'ai rien relevé à la sonde (comme quoi une sonde...) et la coiffe paraissait être à fond (occlusion et bord libre). Seule la radio de contrôle m'a révélé le problème. Comme la coiffe était déjà scellée, j'ai choisi de ne pas démonter. A surveiller....

A clio
Je confirme, pas de fistule présente.

A growler
Avec une provisoire transvissée, tu as un risque de contamination du joint pilier-implant par le sulcus le long du pilier et par le puits de transvissage. Et les procédures prothétiques nécessitent le dévissage revissage a plusieurs reprises.
Là, la contamination de cet espace est uniquement possible au travers de l'attache épithélialo-conjonctive. Et comme le pilier est vissé le jour de la pose et n'est plus démonté par la suite, je pense que cette attache peut mieux résister.
Maintenant, la provisoire transvissée rebasable pour personnaliser le profil d'émergence est ma technique préférée en secteur esthétique, mais là, j'ai privilégié le côté biologique par rapport au comblement. Et je ne suis pas sûr que j'aurai eu autant "d'os" autour du pilier, mais discussion reste ouverte.


Bart simpson etu9x2 - Eugenol
scenicoste

05/10/2013 à 12h06

Très beau cas et merci pour l'icono

toto48 écrivait:
----------------
et raisonnement interessant en plus

> A growler
> Avec une provisoire transvissée, tu as un risque de contamination du joint
> pilier-implant par le sulcus le long du pilier et par le puits de transvissage.

Pourquoi? tu utilise un ciment stérile? ( c'est serieux comme question, j'ai eu le plus grand mal à trouver un matériaux d'empreinte stérile mes empreintes au bloc)
En faisant ta provisoire trans-vissé sur un pilier acrylique qui passe en sté biologiquement neutre, pas d'attache épithéliale donc pas d'arrachement lors de la pose du définitif(tu le fais hors bouche avec un moulion, tu mets en forme tu poli tu décontamines, tu sutures autour et tu ferme ton puits hermétique)

> Et les procédures prothétiques nécessitent le dévissage revissage a plusieurs
> reprises.
Une seule fois!!
> Là, la contamination de cet espace est uniquement possible au travers de
> l'attache épithélialo-conjonctive. Et comme le pilier est vissé le jour de la
> pose et n'est plus démonté par la suite, je pense que cette attache peut mieux
> résister.
oui si tu utilises un pilier titan (ou Zr) avec une chape titane ou zr mais là, ta coiffe coulée est en CrCo?
Si oui Bimétallisme, + hiatus + pas d'affinité gingivale intime avec le CrCo la priorité donnée au côté biologique?

je veux simplement comprendre pour bousculer un peu mes constats cliniques, rien d'ironique ou sarcastique car je suis comme toi, je préfère trans-visser pour préparer ma gencive et c'est elle qui si je fais bien mon boulot fait joint "torique"

Merci par avance, et à bientôt sur le forum


Zz cnsu38 - Eugenol
toto48

08/10/2013 à 09h56

scenicoste écrivait:
--------------------

>
> Pourquoi? tu utilise un ciment stérile? ( c'est serieux comme question, j'ai eu
> le plus grand mal à trouver un matériaux d'empreinte stérile mes empreintes au
> bloc)



je ne suis pas sûr d'avoir bien compris le sens de ta question sur le ciment stérile, car à mon sens cela importe peu puisque le pilier que j'ai utilisé est vissé et non transvissé. Donc pas de puit qui peut entrainer une contamination interne de la connexion implantaire.




> En faisant ta provisoire trans-vissé sur un pilier acrylique qui passe en sté
> biologiquement neutre, pas d'attache épithéliale donc pas d'arrachement lors de
> la pose du définitif(tu le fais hors bouche avec un moulion, tu mets en forme tu
> poli tu décontamines, tu sutures autour et tu ferme ton puits hermétique)
>



Habituellement je n'aime pas trop faire une mise en charge si je doit combler autour de mon implant, mais là, la situation ne permettait pas de temporiser avec un bridge collé et le patient souhaitait au maximum ne pas avoir d'amovible.
Donc, je voulais protéger au maximum mon greffon d'un risque de contamination bactérienne. Un pilier résine me parait justement être la moins bonne solution: pas d'attache donc pas d'étanchéité du sulcus et une connexion, à mon sens, de moins bonne qualité.
Là,j'ai vissé mon pilier stérile sur mon implant stérile très rapidement. On peut discuter de la réelle étancheité de cette connexion, mais je ne pense pas que l'on puisse faire mieux (hormis implant 1 temps)




> > Et les procédures prothétiques nécessitent le dévissage revissage a plusieurs
> > reprises.
> Une seule fois!!


Je parle des procédures prothétiques finales (empreinte, essayage, pose)



> > Là, la contamination de cet espace est uniquement possible au travers de
> > l'attache épithélialo-conjonctive. Et comme le pilier est vissé le jour de la
> > pose et n'est plus démonté par la suite, je pense que cette attache peut mieux
> > résister.
> oui si tu utilises un pilier titan (ou Zr) avec une chape titane ou zr mais là,
> ta coiffe coulée est en CrCo?
> Si oui Bimétallisme, + hiatus + pas d'affinité gingivale intime avec le CrCo la
> priorité donnée au côté biologique?

Pilier titane nitruré + coiffe zircone, mais quand je parle de biologique je fais références au meilleures conditions possibles pour protéger la greffe pendant la cicatrisation.

>
> je veux simplement comprendre pour bousculer un peu mes constats cliniques, rien
> d'ironique ou sarcastique car je suis comme toi,

pas de souci, j'avais bien saisi et j'espère que j'ai répondu de la même manière.


Christophe13

08/10/2013 à 13h45

A propos des piliers nitrurés , j ai remarqué des descellements à 2 ans, avec le nitrure qui reste accroché au ciment à l ' intérieur de la couronne descellée.
Est ce que ça vous est déjà arrivé ?

Pour en revenir au thème du post je pense pas qu il y ait une grande différence quand on travaille comme toi consciencieusement. On gagne en biologie ce que l'on perd en précision et vice versa.
Au départ j' avais pas compris, je pensais que tu parlais d'implant monobloc...