Tous les forums
Petit cas clinique.
06/10/2013 à 02h01
Allez, petit cas de réflexion. J'aimerais savoir si vous avez les mêmes opinions que mes profs ici.
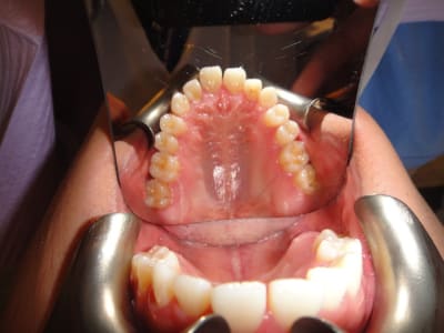
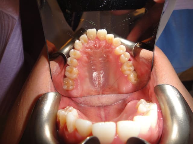
Patient asiatique, 25 ans, consulte car il veut corriger son crossbite bite antérieur localisé aux latérales et son crossbite secteur 2/3. Il aimerait également corriger son apparence générale, son profil notamment.
Classe III squelettique et dentaire.
Pas de shift à la fermeture.
Ras à la pano.
Ci joints photos, ceph, modeles.
J'ai pas les analyses avec moi.
Patient motivé (étudiant en dentaire).
Que feriez vous.
06/10/2013 à 02h34
à 25 ans...je pense que çà sera difficile d'être vraiment efficace sans faire de chir orthognatique....qui en plus règlera une grosse partie des demandes du patient:
-profil
-crossbite antérieur
-crossbite latéral
mais bon si d'autres savent faire autrement je veux bien voir...;-)
06/10/2013 à 02h38
Je tente une proposition :
- alignement, nivellement avec expansion maxillaire généreuse, correction des axes des incisives maxillaires. Le patient passe en inversé complet devant, et est à peu près en bout à bout en latéral.
- nouveaux modèles, et on vérifie que le modèle va sur la boîte
- chir orthognathique.
A l'étape 2, si ça ne va toujours pas, on prévoit extractions.
(à prendre avec des pincettes étant donné que je n'ai jamais traité ce genre de cas).
06/10/2013 à 02h42
Le Choixpeau magique écrivait:
------------------------------
> Je tente une proposition :
copieur....;-))
06/10/2013 à 07h52
Je vous laisse aller aux propositions, je pense qu'il y a multitudes de solutions acceptables.
Sachant qu'on va faire 2 propositions au patient, les 2 impliquant de la chirurgie.
Une des solutions est tres tres proche de ce que propose le Choixpeau Magique. Bravo ;-)
06/10/2013 à 09h17
A vue de nez je dirais deux solution.
La classique
Extraction de 2pm au maxillaire, retroclination des incisives sup et constriction du maxillaire.
A la mandibule quasiment besoin de ne rien faire, pas besoin de faire de décompensation des incisives leur axes étant quasiment idéal.
Tout la compensation dento alvéolaire se situant au maxillaire chez se patient
Suivie d'un BSSO a la mandibule est d'une avancé maxillaire
La deuxième option c'est chirurgie mandibulaire seule je dirais.
Le gros défaut de ses deux options c'est que tu dois rétrocliner et faire une rétrusion des incisives maxillaires ce qui d'après la céph va se traduire par :
- résorption de l'apex des incisives ( qui semblent déja avoir une racines courte
- récession de l'os alvéolaire en palatin et vestibulaire.
Une plus "out of the box"
Je dirais qu'une segmentation du maxillaire en trois éléments pourrait être envisagé .
L'avantage serait :
Un temps de traitement ortho prè chirurgie beaucoup plus court.
Un support paro qui ne serait pas compromis vue que l'on bouge les dent avec l'os alvéolaire.
--
หมอจัดฟัน
14/10/2013 à 15h36
Une petite question à lui poser:
Connait-il la lourdeur, les risques et les complications des chir orthognathiques. Surtout mandibulaires ?
14/10/2013 à 20h09
Il le connait .. Il est partant.
Bref, les 2 options sont les suivantes:
- Avulsion des 1eres prémo max, décompensation avec recul en controle du torque du bloc incisivo canin et ancrage maximum possible (TPA nance + minivis aventuelles).
Alignement à la mandibule.
Patient adressé à la chirurgie orthognatique pour recul mandibulaire, BSSO + imapaction postérieure maxillaire.
D'apres mon prof, le recul de la mandibule devrait corriger le crossbite. Finitions / correction des milieux. Rétentions
- Option borderline de camouflage, SARPE = chirurgie d'expansion au maxillaire. Avulsion des 1eres prémo mandibulaires, recul du bloc antérieur. Alignement, réduction de la proclinaison maxillaire. Finition / Rétention.
18/10/2013 à 18h28
il y'a une forte compensation alveolaire maxillaire superieure anterieurement et lateralement,
pour l'option chirurgicale je voudrais savoir pourquoi on a proposé l'extraction des 2 1eres premolaires vu quon a déja 2 dents manquantes au maxillaire superieur (3emes molaires),
je proposerai plutot un simple alignement et decompensation alveolo-dentaire sans extraction suivi de chirurgie orthognatique dexpansion maxillaire et de recul mandibulaire +/- avancée maxillaire (les deplacements des pieces osseuses dependent de notre diagnostic cephalometrique dans le sens sagittal)et extraction de 3emes molaires mandibulaires pour pouvoir coordonner les 2 arcades avec le meme nombre de dents.
pour l'option non chirurgicale bien quelle soit instable et comporte plusieurs inconvenients je dirais plutot extraction des 2 1eres molaires mandibulaires(elles presentes des obturatios,ceci permet de corriger la classe canine et molaire,on travaille en ancrage reciproque donc pas besoin d'accessoires comme l'arc lingual, on tentera de comprimer l'arcade inferieure en meme temps que la fermeture des espaces en utilisant des arcs en acier comprimés)
les inconvenients de cette option non chirurgiacale sont: gros espace d'extraction de la molaire mandibulaire a gérer il faut etre fort en biomecanique pour pouvoir mesialer la 2eme molaire et distaler la 2eme premolaire en translation, temps de traitement long(beaucoup de mouvements dentaires a realiser a la mandibule),diminution du volume de l'espace lingual,risque de fenestration osseuse lors de la retraction des incisives mandibulaires vu que leurs axes sont corrects,et difficulté de coordonner les 2 arcades dans le sens transversal vu que le secteur lateral maxillaire est deja vestibulé.
18/10/2013 à 22h36
Pourquoi ne pas faire une VTO ortho-chirurgicale pour mieux visualiser les mouvements chirurgicaux à faire, les préparations orthodontiques et les modifications esthétiques à obtenir... C'est un système extraordinaire pour mettre sur papier les différentes possibilités existantes et en choisir la meilleure option.
--
A suivre...
Said
19/10/2013 à 02h43
On a fait un VTO .. Mais là j'ai plus acces au dossier avant un bon mois.
Donc j'essaierai de poster ça.
Pour l'option 1, il me semble que la proclinaison des incisives est telle que pour décompenser des exos sont les bienvenues.
Pour l'option 2, si tu veux avoir une classe 1 molaire à la fin du traitement, si tu avulses les 36 et 46, tu ne dois pas mésialer du tout les 7.
Du coup faut tout reculer dans l'espace des 6. C'est hardos nan ?
(Encore une fois j'ai juste 2 mois de clinique vraie derrière moi .. Donc ptetre que je m'avance un peu)
19/10/2013 à 06h00
Faire une décompensation sans extraction est théoriquement possible en utilisant des minivisses mais en pratique ça présente peut d'intéret.
Pour une chirurgie de class III il faut au maxillaire :
- réaliser une contraction de l'arcade max, quand on avance le maxillaire et/ou recule la mandibule, la haut devient trop large pour le bas. Une expansion de la mandibule étant moins stable qu'une contraction maxillaire l'on contracte le maxillaire.
- réaliser une rétroclination retrusion des incisives.
Pour ses deux mouvements tu a besoins de place, l'extraction permet de le faire simplement.
Distalisé complémentent les arcades c'est théoriquement possible mais trop compliqué et incertain en pratique.
Pour la VTO no soucis les maxillo faciaux savent faire et mieux que nous.
Leur VTO comprend tout les dents visibles + les tissues moue.
J'ai due faire ça pour mes cas chirurgicaux et franchement une VTO OFD c'est du gâteaux a coté.
--
หมอจัดฟัน
19/10/2013 à 06h05
seespan écrivait:
-----------------
> Pour une chirurgie de class III il faut au maxillaire :
>
> - réaliser une contraction de l'arcade max, quand on avance le maxillaire et/ou
> recule la mandibule, la haut devient trop large pour le bas. Une expansion de la
> mandibule étant moins stable qu'une contraction maxillaire l'on contracte le
> maxillaire.
>
>
Il est déjà en crossbite, c'est pour ça qu'en cas d'option de BSSO, on ne toucherait pas au sens transversal.
19/10/2013 à 07h11
Ca faut voir avec les modéles, c'est juste pour expliquer le cas en générale :-) .
--
หมอจัดฟัน
19/10/2013 à 09h22
La VTO chirurgicale dont je parle, et que je fais, comprend tout cela. Je peux même estimer la quantité des déplacements a faire en impaction, et ou avancement maxillaire ainsi que les mouvements mandibulaire. Ça s'appelle une VTO ortho-chirurgicale. Et crois moi les chirurgiens savent bien faire la maquette osseuse, mais en ce qui concerne les dents, les préparations pré-chir, et les mouvements à réaliser ils sont nettement moins forts qu'un orthodontiste.
--
A suivre...
Said
19/10/2013 à 09h39
Juste un petit point de détail Monaco est dans un service hopitalo universitaire au U.S donc
- les chirurgiens maxillo facial sont des dentiste et pas des médecins donc pas de problème de communication entre les deux spécialité. Un ODF peut faire changer le plan de traitement chirurgical et inversement un chirurgien peut faire changer le plan de traitement ODF
- les cas sont vus conjointement entre le service ODF et service de chir maxillo facial.
La communications entre les deux spécialités sont excellentes du au fait que les spécialistes sont dans le même bâtiment et on la même formation de bases. S'ajoute a cela le fait que les prof se connaissent généralement entre eux et sont habitué a leur façons de travailler.
Bref on est pas vraiment dans la même situation qu'en France pour un cab de pratique libérale.
J'extrapole un peut, mais pour mois dialogué directement avec les maxillo faciaux ( qui en plus écoute se que tu dis ) c’était quelque chose de nouveaux :-) .
--
หมอจัดฟัน
19/10/2013 à 11h13
Seepan , calme-toi... Moi aussi je connais tout cela. Mais pour prendre une telle décision. Musqué Monaco demande un avis, il faut la VTO ortho-chir!! Et pour ca soit il va nous fournir sa ou ses VTO. Ou ben je dois la faire moi-même! Vu les documents fournis qui sont complets et d'une qualité parfaite mais je ne peux faire un tracé taille réelle. D'autre part je n'ai pas le temps honnêtement .
Donc j'attendrai la VTO déjà faite et on en parle ensuite.
--
A suivre...
Said
19/10/2013 à 11h29
Salut Monaco,
Une question, les analyses et la prevision faite sur la radio, sont faite pour un type caucasian ou asiatique????
--
A suivre...
Said
19/10/2013 à 12h20
Je réponde encore une fois pour monaco :-) .
Ils ont utilisé une analyse adapté au patient.
Ensuite ça dépend des populations tu a les normes pour coréen, japonais, Thai du nord et Thai du centre , chinois ect ect. A priori la population la mieux suivit en Asie c'est les japonais ils rétablissent leur nomes tout les dix ans.
Vous gérer ça comment la diversité des patients a NYU ?
C'est vrais que ça doit être chaud, je parle même pas des différents nomes esthétique.
--
หมอจัดฟัน
20/10/2013 à 03h09
On a des mesh et des normes pour :
-Caucasiens
-Afro américains
_Asiatiques
-Latinos
Le mesh utilisé ici est un asian mesh.
Par ailleurs ce n'est pas une prévision finale du traitement, c'est une aide au dignostic à base de normes préétablies de positionnement des points de repères.
Sinon désolé, je n'ai pas acces au dossier actuellement.
Sinon oui, les chirurgiens, appelés ici oral surgeons ont la double formation dentaire/médecine ici.
On a des conferences hebdomadaires avec eux et ils sont en rotation en clinique avec nous une fois par semaine.
+ On a l'occase d'assister aux interventions !
26/10/2013 à 18h42
Dans l'attente j'ai fait un VTO purement odf au max et à la mandibule (à la mand c'est anecdotique, mais c'est souvent sur la mandibule qu'on se base), pour voir ce que pourraient donner des avulsions sur ce cas. Sachant qu'on garderait la classe III avant la chir.