Cookie Consent byPrivacyPolicies.comSuivit de cas - Eugenol

Suivit de cas

 mg 0207 xwjxcl - Eugenol
Tillc

11/10/2013 à 15h43

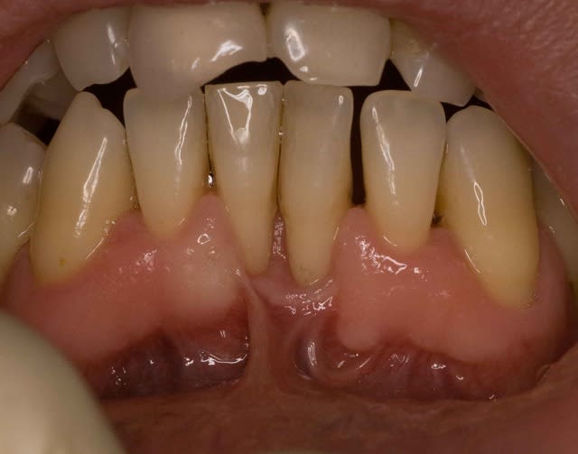
Juste pour avoir un petit suivit d'un cas posté il y 2 ans ( je retrouve plus le post initial). C'est toujours moche mais ca tient bien !
On voit reelement l’amélioration sur les techniques de sutures.

++

 mg 0051 qb6u2p - Eugenol
 mg 0059 fwvd0z - Eugenol
 mg 0081 sfprzd - Eugenol
Img 2179 dpaazt - Eugenol