Cookie Consent byPrivacyPolicies.comCas paro-endo-prothèse - Eugenol

Cas paro-endo-prothèse

Logo vuaztn - Eugenol
mac

16/10/2013 à 15h54

Blondie écrivait:
-----------------
> Superbe ! Comment a été géré le problème endo sur 12 ?

j'ai fait ce qui aurait du être fait en première intention : j'ai repris l'endo.


Blocperso talon jer3sl - Eugenol
mrquentin

16/10/2013 à 17h18

whaou!
hyper trop beau! bravo!
vasy raconte tout l'historique!


topex

16/10/2013 à 18h07

Joli!
Une radio. post traitement ?


Logo vuaztn - Eugenol
mac

16/10/2013 à 18h20

mrquentin écrivait:
-------------------
> whaou!
> hyper trop beau! bravo!
> vasy raconte tout l'historique!


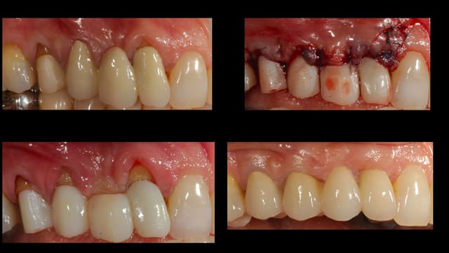
Reprise des endos, freinectomie, elongation coronaire et re-couronne.


Logo vuaztn - Eugenol
mac

16/10/2013 à 18h21

topex écrivait:
---------------
> Joli!
> Une radio. post traitement ?

voici!

Clich  2013 10 16 16 19 37 ieijss - Eugenol

Bebe 038 nf8eum - Eugenol
danteyeah

17/10/2013 à 05h16

mac écrivait:
-------------
> je vous poste la suite même si ça intéresse pas grand monde...

Oui apparement le nouveau devis accapare toute l'attention de l'auditoire.
Pour ma part détrompe toi cela m'intéresse énormément. Pas le côté endo, ou blâme des choix thérapeutique précédent, mais plutôt la mise en avant des préalables à la réussite esthétique et surtout à la gestion des tissus mou. Peux tu développer un peu ce domaine.
Côté image t'es un peu radin ;-) lâche toi!


Logo vuaztn - Eugenol
mac

15/05/2014 à 22h12

danteyeah écrivait:
-------------------
> mac écrivait:
> -------------
> > je vous poste la suite même si ça intéresse pas grand monde...
>
> Oui apparement le nouveau devis accapare toute l'attention de l'auditoire.
> Pour ma part détrompe toi cela m'intéresse énormément. Pas le côté endo, ou
> blâme des choix thérapeutique précédent, mais plutôt la mise en avant des
> préalables à la réussite esthétique et surtout à la gestion des tissus mou. Peux
> tu développer un peu ce domaine.
> Côté image t'es un peu radin ;-) lâche toi!


J'avais complètement zappé ce post, je viens de revoir la patiente pour un contrôle a un an et demi post-op.

voici les images.

que voulais tu savoir plus exactement?

Img 2682 l2gwif - Eugenol
Nonol - Eugenol

Nouveau image bitmap fz77zh - Eugenol
Sethef

15/05/2014 à 22h27

Quand je serai grand, moi aussi je ferai des choses comme ça...

Bravo!


200106 10150128247663588 709988587 6466236 5598391 n d7mksb - Eugenol
hallboy

16/05/2014 à 00h13

:)))

J'adore ;)) . Les 3 jours à Bordeaux tu vas montrer d'autre truc comme ça?? Franchement ça fait respirer a coté de ces conneries de premier Juin.


200106 10150128247663588 709988587 6466236 5598391 n d7mksb - Eugenol
hallboy

16/05/2014 à 00h13

:)))

J'adore ;)) . Les 3 jours à Bordeaux tu vas montrer d'autre truc comme ça?? Franchement ça fait respirer a coté de ces conneries de premier Juin.


Android jyzura - Eugenol
Tavéca

16/05/2014 à 00h16

Sethef écrivait:
----------------
> Quand je serai grand, moi aussi je ferai des choses comme ça...
>
> Bravo!

Pas mieux. Très joli travail chir/prothèse. Les cas multidisciplinaires sont toujours les plus impressionnants!
Des radios de fin de traitement?


Coccinelle mgl0qv - Eugenol
murielle

16/05/2014 à 00h45

Très joli !!!



200106 10150128247663588 709988587 6466236 5598391 n d7mksb - Eugenol
hallboy

16/05/2014 à 01h11

NB c'est les longuers radiculaires qui me font penser a la solidarisation. vu ce qu'il reste dela 12 et la longeurs de celle de al 11 tenu compte del'alignement des collets. . pas la retention.
les collages de Tirlet c'est pas le premier a les presenter : Magne and bros font depuis 10 ans. et j'aimerais bien voir des cas a 5 ans . Comme le disais un de mes petits camarades ; tout Dentaltown etait en folie sur les table tops il ya qq années et qq années apres les echecs ont aflué.


Bebe 038 nf8eum - Eugenol
danteyeah

16/05/2014 à 04h58

mac écrivait:
-------------
> danteyeah écrivait:
> -------------------
> > mac écrivait:
> > -------------
> > > je vous poste la suite même si ça intéresse pas grand monde...
> >
> > Oui apparement le nouveau devis accapare toute l'attention de l'auditoire.
> > Pour ma part détrompe toi cela m'intéresse énormément. Pas le côté endo, ou
> > blâme des choix thérapeutique précédent, mais plutôt la mise en avant des
> > préalables à la réussite esthétique et surtout à la gestion des tissus mou.
> Peux
> > tu développer un peu ce domaine.
> > Côté image t'es un peu radin ;-) lâche toi!
>
>
> J'avais complètement zappé ce post, je viens de revoir la patiente pour un
> contrôle a un an et demi post-op.
>
> voici les images.
>
> que voulais tu savoir plus exactement?
>


J'aurais aimé avoir une description de la mise en place de la partie esthétique muco-gingivale: choix de la longueur d'élongation coronaire, choix ou non d'une greffe ou lambeau déplacé coronairement pour 12 et 22. Étude esthétique préalable afin de définir la stratégie esthétique à choisir? Ou simplement intuition/ feeling?
Puis éventuellement description de la technique chir utilisée: apparemment uniquement élongation; repère préalable pour l'obtention de la longueur souhaitée (guide/ provisoires...).

Pour Halboy:
- quid des 3 jours à Bordeaux?
- j'ai cité Tirlet car je sortais tout juste du Mimesis 2013 et que j'avais apprécié la présentation d'un travail de réhabilitation bi-facettes, inspiré des présentations de Francesca Vailati, fait main dans la main avec Hélène et Didier. Bien évidement j'aurais pu cité Magne, voir plutôt Dégrange (restons chauvin). Mais le fait est que pour le collage de CCC nous avons suffisamment de recul pour valider la non nécessité de réhabilitation prothétique solidarisées.

PS à Mac , une dédicace à ton excellent prothésiste serait la bienvenue :-)


RépondreCiter
Logo vuaztn - Eugenol
mac

16/05/2014 à 09h22

danteyeah écrivait:
-------------------

>
> J'aurais aimé avoir une description de la mise en place de la partie esthétique
> muco-gingivale: choix de la longueur d'élongation coronaire, choix ou non d'une
> greffe ou lambeau déplacé coronairement pour 12 et 22. Étude esthétique
> préalable afin de définir la stratégie esthétique à choisir? Ou simplement
> intuition/ feeling?
> Puis éventuellement description de la technique chir utilisée: apparemment
> uniquement élongation; repère préalable pour l'obtention de la longueur
> souhaitée (guide/ provisoires...).
>
> PS à Mac , une dédicace à ton excellent prothésiste serait la bienvenue :-)



Pour la longueur de 'élongation coronaire j'ai essayé d'allonge au maximum les centrales tout en gardant une certaine longueur de racines pour pas trop hypothéquer l'avenir de ses dents, non ce n'est pas que du feeling mais bien sûr il faut savoir faire des compromis ;) Pour la technique j'ai juste mesuré avec une sonde paro.

Pourquoi ne pas avoir essayer de raccourcir les latérales, parce que ça voulait dire épaissir sur les latérales donc les vestibuler encore plus, mais ça m'arrive d'en faire je te joins ou il me semble que c'était plus indiqué.

Pour répondre sur la solidarisation des dents effectivement je me suis posé la question, en accord avec la patiente on a pris le risque surtout pour la 12 de les faire individuelles, elles sont collées.

pour les radios, je n'en ai pas de plus récentes mais elle revient en Juin pour autre chose je vais en faire.

Pour mon prothésiste , faut que je lui demande s'il est d'accord que je balance son nom sur le net.

Vieux cas - Eugenol

S2y2o1v7q53ws4r5wy6ou8czrpom - Eugenol
pxav

16/05/2014 à 09h54


Très propre, joliment mené.
Seule petite remarque, les photos, soit trop restreintes, soit avant sans préparation et après avec fond noir, ça gêne un peu la visualisation de ton très beau travail.
Je crois que Danteyeah m'avait fait cette remarque d'essayer d'avoir le même plan pour bien suivre les cas.
une autre toute petite impression, il me semble que sur la radio finale, on distingue de très légères traces de ciment (colle) résiduels entre 12 et 11.
Compliments pour le prothésiste aussi.
J'aimerai moi aussi savoir faire aussi bien un jour...
--
xbk
"Si tous ceux qui croient avoir raison n'avaient pas tort, la vérité ne serait pas loin" Dac Pierre


Android jyzura - Eugenol
Tavéca

16/05/2014 à 10h27

mac écrivait:
-------------

> pour les radios, je n'en ai pas de plus récentes mais elle revient en Juin pour
> autre chose je vais en faire.

Mac, tes travaux son toujours réfléchis, rigoureux et très bon, je te conseil pour finir en beauté et d'autant plus dans les cas de collage de faire une radio post-op. Cela te permettra d'avoir une base médico-legale en cas de conflit sur ces cas complexes et de vérifier ton collage et les excès éventuels


Android jyzura - Eugenol
Tavéca

16/05/2014 à 10h32

pxav écrivait:
--------------
>
> Seule petite remarque, les photos, soit trop restreintes, soit avant sans
> préparation et après avec fond noir, ça gêne un peu la visualisation de ton très
> beau travail.
>

De la même manière que je pinaille sur les radios, pxav pinaille aussi sur les photos que moi je trouve très bien.
Sur eugenol , On tape surtout sur les bons, alors ces remarques sont un bon signe...


Bebe 038 nf8eum - Eugenol
danteyeah

16/05/2014 à 12h16

pxav écrivait:
--------------
> Seule petite remarque, les photos, soit trop restreintes, soit avant sans
> préparation et après avec fond noir, ça gêne un peu la visualisation de ton très
> beau travail.
> Je crois que Danteyeah m'avait fait cette remarque d'essayer d'avoir le même
> plan pour bien suivre les cas.

Je me rappel de ça, il y avait vraiment des axes et repères très différent d'une image à l'autre. Par contre je ne vois pas ceci dans la présentation de mac: Les plans et images sont reproductibles, certes le recadrage est drastique (pour ce concentrer sur le sujet), mais reste très lisible. J'aime bien cette présentation photo, elle est juste un peu disséminée dans le fil c'est tout.



Pour mac: je me doute bien que la mesure de la longueur ce fait à la sonde paro :-)
C'était pas la question: donc je me "re" exprime: qu'elle sont les outils que tu as utilisé pour connaitre l'impact de ton choix thérapeutique sur le futur aspect esthétique des tissus mous? (je ré ouvre ma parenthèse pour les exemples: guidé par les provisoires, guide chirurgical tiré d'un mock-up, tracé sur la gencive, feeling…….).

J'ai bien compris qu'on était dans un cas de compromis, cependant si on suit les lignes de collet du travail fini, on remarque un niveau de collet plus haut sur les latérales que sur les centrales, on est pas dans les canons décrit par la littérature comme idéales, et pourtant le résultat final est splendide et la gestion des tissus mous fabuleuse, donc je voulais savoir si tu savais à l'avance que tu obtiendrais un tel résultat, et si oui par quel méthode le savais tu (simulation du cas, ou instinct?)


200106 10150128247663588 709988587 6466236 5598391 n d7mksb - Eugenol
hallboy

16/05/2014 à 13h41

@danteyeah/ j'ai vu les magne , il ya 2 ans, Vailati l'annéee derniere; degrannge il ya 8 ans , j'ai casiment ( mais on fait chambre a part ) une colocation avec Cingulum et Ceramik.


Donc

je rerere repete;) c'est pas la tenue de l'element prothetique qui me tire souçi: c'est les longueurs radiculaire: la 12 c'est fait tronçonner par le somtao, la 11 etait courte au depart et a subi un elongation.

d'où l'idéee pour une jeune femme de 27 ans et où la duréee , au dela lde l'elegance du travail doit etre un de nos premiers souçis, de relier les deux couronnes. je ne sais pas si je l'aurais fait; je ne sait pas si cela aurait été utile. En tous cas je me serais posé la question. et je l'aurasi posé a mac, cingulum, et ceramik. ( ensuite comme d'hab j'aurasi fait ce que j'avais envie;) et probablemetn solidarisé 11/12 et pas 21/ 22 )


pour les 3 jours a Bordeaux: François fait une formation; on est 18 c'est plein juste sur le bouche a oreille; mais cet imbecile n'en parle pas assez . imagine que Maz dise que c'est bien??? il va falloir qu'il sorte ses factures de prothes pour montrer qu'il fait plus de 50 couronnes par an; et on va me demander qd je vais bien trouver le temsp de prendre des photos pour mes cas ou de me servir d'un arc facial sans me mettre à travailler le dimanche....

enfin bon...


S2y2o1v7q53ws4r5wy6ou8czrpom - Eugenol
pxav

16/05/2014 à 15h22

Tavéca écrivait:
----------------

> De la même manière que je pinaille sur les radios, pxav pinaille aussi sur les photos que moi je trouve très bien.
> Sur eugenol , On tape surtout sur les bons, alors ces remarques sont un bon signe...

Je suis d'accord, c'est du pinaillage, (les mouches sont contentes), mais que dire d'autre?
c'est beau


--
xbk
"Si tous ceux qui croient avoir raison n'avaient pas tort, la vérité ne serait pas loin" Dac Pierre

Img 2682 thumb ytjgjt - Eugenol
Img 0138  2  thumb i8iler - Eugenol
Img 1818 thumb kjyvbg - Eugenol

Logo vuaztn - Eugenol
mac

16/05/2014 à 20h08

pxav écrivait:
--------------
>
> Très propre, joliment mené.
> Seule petite remarque, les photos, soit trop restreintes, soit avant sans
> préparation et après avec fond noir, ça gêne un peu la visualisation de ton très
> beau travail.
> Je crois que Danteyeah m'avait fait cette remarque d'essayer d'avoir le même
> plan pour bien suivre les cas.
> une autre toute petite impression, il me semble que sur la radio finale, on
> distingue de très légères traces de ciment (colle) résiduels entre 12 et 11.
> Compliments pour le prothésiste aussi.
> J'aimerai moi aussi savoir faire aussi bien un jour...
> --
> xbk
> "Si tous ceux qui croient avoir raison n'avaient pas tort, la vérité ne
> serait pas loin" Dac Pierre


Merci, en fait les radios sont avec les provisoires, les couronnes sont collées au compo mais je n'ai pas fait de radio post-op, je vous les fait bientôt pour voir ce qu'il se passe.


Logo vuaztn - Eugenol
mac

16/05/2014 à 20h09

Tavéca écrivait:
----------------
> mac écrivait:
> -------------
>
> > pour les radios, je n'en ai pas de plus récentes mais elle revient en Juin
> pour
> > autre chose je vais en faire.
>
> Mac, tes travaux son toujours réfléchis, rigoureux et très bon, je te conseil
> pour finir en beauté et d'autant plus dans les cas de collage de faire une radio
> post-op. Cela te permettra d'avoir une base médico-legale en cas de conflit sur
> ces cas complexes et de vérifier ton collage et les excès éventuels


c'est noté ;)


Logo vuaztn - Eugenol
mac

16/05/2014 à 20h17

danteyeah écrivait:
-------------------
> pxav écrivait:
> --------------
> > Seule petite remarque, les photos, soit trop restreintes, soit avant sans
> > préparation et après avec fond noir, ça gêne un peu la visualisation de ton
> très
> > beau travail.
> > Je crois que Danteyeah m'avait fait cette remarque d'essayer d'avoir le même
> > plan pour bien suivre les cas.
>
> Je me rappel de ça, il y avait vraiment des axes et repères très différent d'une
> image à l'autre. Par contre je ne vois pas ceci dans la présentation de mac: Les
> plans et images sont reproductibles, certes le recadrage est drastique (pour ce
> concentrer sur le sujet), mais reste très lisible. J'aime bien cette
> présentation photo, elle est juste un peu disséminée dans le fil c'est tout.
>
>
>
> Pour mac: je me doute bien que la mesure de la longueur ce fait à la sonde paro
> :-)
> C'était pas la question: donc je me "re" exprime: qu'elle sont les outils que tu
> as utilisé pour connaitre l'impact de ton choix thérapeutique sur le futur
> aspect esthétique des tissus mous? (je ré ouvre ma parenthèse pour les exemples:
> guidé par les provisoires, guide chirurgical tiré d'un mock-up, tracé sur la
> gencive, feeling…….).
>
> J'ai bien compris qu'on était dans un cas de compromis, cependant si on suit les
> lignes de collet du travail fini, on remarque un niveau de collet plus haut sur
> les latérales que sur les centrales, on est pas dans les canons décrit par la
> littérature comme idéales, et pourtant le résultat final est splendide et la
> gestion des tissus mous fabuleuse, donc je voulais savoir si tu savais à
> l'avance que tu obtiendrais un tel résultat, et si oui par quel méthode le
> savais tu (simulation du cas, ou instinct?)


Non je ne savais pas à l'avance que j'obtiendrai un résultat pareil, pour répondre à ta question on avait fait un wax a l'avance, en fait même deux pour ce cas là j'avais faire une première chirurgie d'élongation coronaire, mais comme je n'étais pas satisfait j'en ai fait une deuxième.

Effectivement sur ce cas on s'éloigne de la composition dentaire idéal décrite dans la littérature mais si tu reprends les articles de Vince Kokich sur la perception du sourire par les dentistes, orthodentistes et patients, tu verras que le plus important dans un sourire harmonieux c'est la verticalité de la ligne inter-incisive et la symétrie des centrales, donc là l'objectif c'est de redonner aux centrales une taille (entre 10 et 11 mm ) et une proportion normale ( autour des 80 % de rapport L/l )et d'essayer d'harmoniser le tout.

J'espère avoir répondu à ta question ;)


Logo vuaztn - Eugenol
mac

16/05/2014 à 20h19

hallboy écrivait:
-----------------

>
> je rerere repete;) c'est pas la tenue de l'element prothetique qui me tire
> souçi: c'est les longueurs radiculaire: la 12 c'est fait tronçonner par le
> somtao, la 11 etait courte au depart et a subi un elongation.


moi ce qui me fait peur c'est la fracture coronaire de la dent pas la longueur radiculaire!