Cookie Consent byPrivacyPolicies.comKesako? - Eugenol

Kesako?

dentiste68

21/10/2013 à 13h38

SLC,
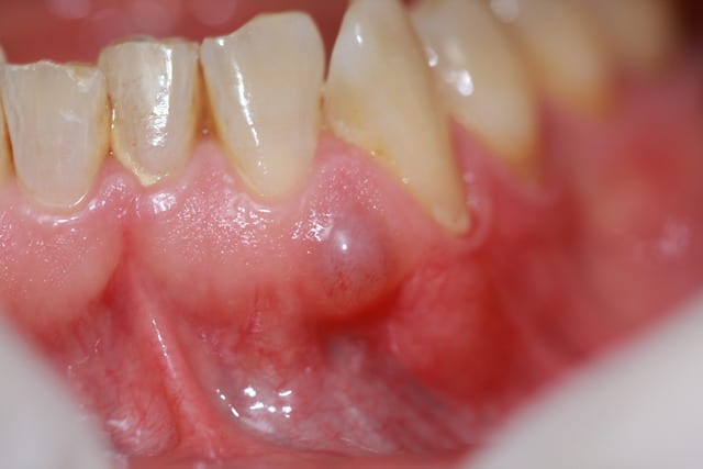
Patient de ma collaboratrice, la soixantaine, pas de pbs de santé particuliers. J'aurais dit parulie. Selon vous quel est le dg et quelle est la CAT?
Merci.

Img 8891 hpoylm - Eugenol
Img 8892 yodyec - Eugenol

Img 5097 lxchd7 - Eugenol
Queixal

21/10/2013 à 14h54

L´aspect translucide me fait penser a un mucocéle.Par contre je ne sais pas si ça peut se produire sur la gencive attachée.Je les ai toujours vu sur le revers de la lévre.


Sanda

21/10/2013 à 15h47

Jai aussi pensé a un kyste mucoide/mucocèle.

Si "parulie": pb paro ou endo sur.dents voisines ?


baroud69

21/10/2013 à 18h15

Radio ?
3D ?

Difficile sans élement radiographique de t'aider.


dentiste68

21/10/2013 à 19h29

Merci pour les réponses.
Ci-joint l'OTP, on voit pas grand chose, une image en inter-incisif mais trop éloignée de la zone concernée.


120 81 mdkvjo - Eugenol
Monaco

22/10/2013 à 05h09

Ça ressemble en effet à un mucocèle mais éffectivement la localisation me semble douteuse..