Cookie Consent byPrivacyPolicies.comRéaction gingivale et bridge - Eugenol

Réaction gingivale et bridge

Gina

25/10/2013 à 21h38

Salut à tous,
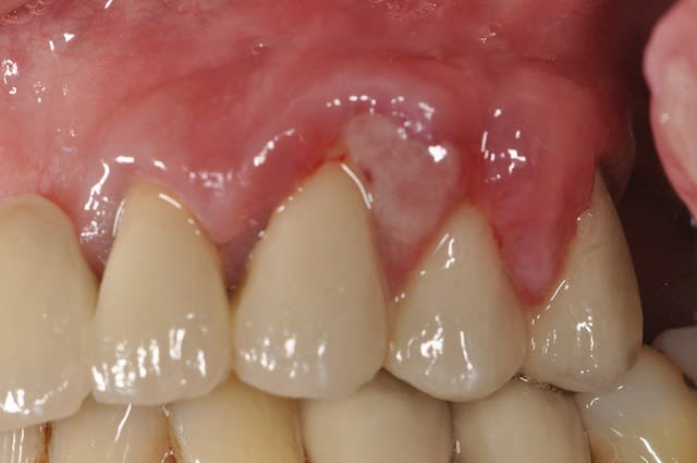
Je viens de recevoir un patient sur qui a été posé un bridge maxillaire de 11 éléments il y a un an.
3 mois après la pose il me dit qu'il y a eu une spectaculaire réaction gingivale sur le secteur 1. Le praticien qui a posé n'a pas pu posé de diagnostic. Le patient n'avait aucune douleur mais des saignements abondants dans ce secteur. Puis le problème a disparu comme il était venu.

Aujourd'hui, même chose mais du coté gauche. Aucune douleur mais un inconfort et les mêmes saignements.

N.B : le patient a 53 ans et n'a absolument AUCUN problème de santé particulier.

Je vous joint les photos et les radios.

Quelqu'un a-t-il une explication, un diagnostic, un traitement?
Merci de votre aide.

Parodo 2  1  ozrb8y - Eugenol
Parodo 2 ztjvzz - Eugenol
Parodo 1  1  th2tvx - Eugenol
Parodo 3 o5crwb - Eugenol
Parodo 1 gqzipt - Eugenol

G-P

26/10/2013 à 01h37

Utilisation de brossettes ou jet dentaire ?
Sondage autour des dents ?


Gina

26/10/2013 à 11h29

Le patient a une bonne hygiène. Il brosse et passe des brossettes.
J'ai recherché une fêlure en sondant... mais la gencive était hypertrophiée et les valeurs n'ont pas de sens. Ce sont des pseudo-poches.
Le sondage ailleurs en bouche est normal...
Ce que je trouve étrange c'est que la gencive ne fasse pas mal et cet aspect blanc fibrineux


Nouveau image bitmap fz77zh - Eugenol
Sethef

26/10/2013 à 11h37

Ca ressemble à un bête abcès paro, sauf qu'on a effectivement du mal à en trouver la cause... L'ajustement du bridge n'est pas parfait, de là à ce qu'il soit responsable... Tassements alim sous le bridge? Suffirait d'un débris alimentaire qui reste coincé un jour sous un inter pour créer ce genre de chose.


Spontanément, je mettrais sous antibios et je réévaluerais une fois dégonflé, histoire de voir ce que dit le sondage à ce moment là.


olivier

26/10/2013 à 11h46

Ben les 2 mon capitaine l'ajustement n'est pas top au niveau 23,24,25 et l’hygiène n'est pas top non plus : praticien 1-patient 1 : Balle au centre.


Gina

26/10/2013 à 17h23

Je répète que le patient a une très bonne hygiène.
Cliniquement, ça ne ressemblait pas du tout à un abcès paro. De plus, il a eu le même problème à droite et qui a duré 3 mois (dixit) avant de disparaitre.
Aucune douleur et pas de suppuration.


Smile beach jgh0a1 - Eugenol
Céramik

26/10/2013 à 22h03

Ce "beau" bridge est voué à l'échec...
L'adaptation est mauvaise (et je reste gentil)
La paro va s'installer, il est clair que l'entretient est perfectible, mais le bridge en est la cause.
le patient a de multiple récessions, l'état paro est pas top en général.

Si c'est pas ton bridge, n'y touche pas, ou bien refait le tout...


--
Céramik


G-P

27/10/2013 à 01h05

Gina écrivait:
--------------
> Je répète que le patient a une très bonne hygiène.
> Cliniquement, ça ne ressemblait pas du tout à un abcès paro. De plus, il a eu le
> même problème à droite et qui a duré 3 mois (dixit) avant de disparaitre.
> Aucune douleur et pas de suppuration.

Les signes cliniques de la maladie parodontale sont donc pour toi une douleur et une suppuration ?


Gina

27/10/2013 à 10h35

Merci G-P et Ceramik de vous pencher sur ce cas "bizarre". Je suis contente de voir qu'il reste des cliniciens sur Eugenol qui ne débattent uniquement des problèmes de nomenclature et de syndicats... ça c'est dit!
Je pense moi aussi que le bridge est en cause : il est mal adapté du coté droit comme du coté gauche. Mais alors pourquoi la réaction gingivale n'est pas survenue des deux cotés en même temps?
Pour répondre à G-P, pour moi, le critère de parodontite est la perte osseuse. Là, je pense qu'on a un problème de gencive, pas osseux.

J'ai replongé la tête dans quelques (bons) bouquins. On pourrait imaginer un problème d'allergie à un des composants du bridge, un problème viral ou une pathologie buccale "chelou" ...


G-P

27/10/2013 à 13h15

Pourtant sur tes radios on voit très clairement une perte osseuse verticale, résiduelle ou évolutive, là est la question.
On voit aussi nettement des gros problèmes d'adaptation du bridge, susceptibles de favoriser la rétention de plaque de et débris alimentaires.

Il serait intéressant de connaître l'historique du patient avant la réalisation de ce bridge. Le niveau osseux était-il déjà diminué ?



Bref le traitement ici serait, à mon avis, de déposer le bridge et de mettre sous provisoire (provisoire de labo, il va devoir le garder un moment), de faire un traitement paro complet (surfaçage / enseignement techniques d'hygiène poussées) et de réévaluer tous les mois avant de refaire un bridge définitif quand la paro sera stabilisée.


Smile beach jgh0a1 - Eugenol
Céramik

27/10/2013 à 17h12


Allergie, rarissime, et apparait très tôt et partout.

Paro pire secteur 1 au début car bridge super mauvais de ce côté, mais plus de place pour nettoyer. Secteur 2, moche, mais moins pire, mais pas de place pour nettoyer.

Seule solution fiable, démontage, tx paro, chirurgie si besoin, provisoire, nouveau bridge dans les règles (radio de l'armature à l'essai, puis avant scellement, puis après scellement pour vérifier l'absence de surplus) bref, juste du boulot correct quoi.



--
Céramik


youn

27/10/2013 à 17h54

Ca ressemble à de la paro bête et méchante. Le bridge ne va pas du tout...
Si tu fais un surfaçage/lambeau sans dépose tu ne feras que retarder l'échéance. Tu devras déposer le tout ou renvoyer à l'auteur des travaux, mais rester confraternelle, ce n'est pas simple dans un cas comme celui-ci.

Bon courage. Pour l'allergie : quand on entend des sabots (surtout en matière médicale)... C'est extrêmement plus rare que les problèmes paros sous bridge mal adapté. Et comme le dit Céramique ça aurait eu lieu dès la pose et partout.

L'os est atteint, ça ressemble à une parodontite, désolé pour le patient, si le praticien ne veut pas refaire c'est bataille juridique et/ou gros frais.

PS: Si tu refais le bridge, quand tu en seras au bridge pro : laisse énormément de jour entre inter et gencive pour favoriser le nettoyage (voir pas d'inter au début, le temps de la gestion paro...)


flicflac

09/11/2013 à 07h26

empiètement dans l'espace biologique nécessaire . C'est à dire finition trop sous-gingivale


Avatar eklrxs - Eugenol
TheDentalist

09/11/2013 à 12h41

Le bridge est en cause : c'est quasiment sûr!
Effectivement, la résolution spontanée (c'est bien cela?) du même problème coté droit peut faire penser que cette "violation biologique" va s'auto-corriger…

Cela va te permettre de botter en touche en demandant au patient de solliciter l'avis du praticien qui a réalisé la prothèse et ainsi t'éviter les problèmes de confraternité.

--
www.thedentalist.fr