Cookie Consent byPrivacyPolicies.comSinus lift et artère alvéolo antrale - Eugenol

Sinus lift et artère alvéolo antrale

elfiss

26/10/2013 à 01h02

Je souhaite réaliser un sinus lift avec la pose de 2 implants en 15 et 16.
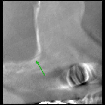
Mais sur le scanner je note la présence de l'artère alvéolo antrale intra osseuse, son trajet passe sur le site de mon futur volet.
Etant donné que ce sera mon premier sinus lift, cela me refroidit un peu.
Pourriez-vous me donner votre opinion quand au risque hémorragique et à la façon de le gérer.

Photo1 q3xefa - Eugenol
Photo2 ygt9rx - Eugenol

Manolito wom2of - Eugenol
manolito

26/10/2013 à 14h27

le plus sûr c'est de faire ton volet au piezzo, sinon il faut te debrouiller (si tu la coupes) à la décortiquer pour pouvoir ligaturer chaque extremité pour eviter un saignement post op qui "laverait" ton materiau....


Logocolornotext kiwlk1 - Eugenol
Clio

26/10/2013 à 16h09

1) ton artère est très basse, tu peux faire ton volet au dessus.
2) ton artère est toute petite et pas vraiment intra osseuse.
Si tu la lèse malgré tout , la seule difficulté c'est que tu vois pas grand chose , mais cela fini toujours par s'arrêter de saigner et cela ne "lave" pas le matériau.
C'est vrai que qd ça saigne, pour un premier sinus , c'est pas le pied, car t'y voit rien.
3) le fait de suturer, c'est dans les livres, vu sa taille tu ne sauras même pas où elle est.
4) tu parles de sinus lift et pose d'implants.
Vu la hauteur osseuse résiduelle et ta non expérience , fais ça en 2 fois.
5) c'est les images qui sont pas bonnes oû ton sinus est il vraiment aussi opaque que ça?
5) c'est quoi ta formation pour ces interventions?
6) petit détail, t'es assuré pour les sinus, c'est con mais un paquet de praticiens de sont rendu compte a posteriori qu'ils étaient couvert pour l'implantologie mais pas pour sinus ...


dentatronche

26/10/2013 à 16h22

manolito écrivait:
------------------
> le plus sûr c'est de faire ton volet au piezzo, sinon il faut te debrouiller (si
> tu la coupes) à la décortiquer pour pouvoir ligaturer chaque extremité pour
> eviter un saignement post op qui "laverait" ton materiau....


t'as déjà fait un sinus lift?

plus sérieusement à moins que tu sois l'as des chirurgien micro vasculaire, en cas de lésion de l'a alvéole antrale il te faut une bonne pince gouge et comprimer la paroi osseuse en amont ou un bon bistouri électrique.


Blason dql7mj - Eugenol
growler

26/10/2013 à 20h34

ici, comme signalé par CLIO, tu passes à l'aise par dessus.


Manolito wom2of - Eugenol
manolito

26/10/2013 à 21h53

dentatronche écrivait:
----------------------

>
>
> t'as déjà fait un sinus lift?
>
> plus sérieusement à moins que tu sois l'as des chirurgien micro vasculaire, en
> cas de lésion de l'a alvéole antrale il te faut une bonne pince gouge et
> comprimer la paroi osseuse en amont ou un bon bistouri électrique.



Ma phrase était mal tournée, mais ce que je voulais dire ( par mes trois points de suspension) c'est qu'avec un piezzo on ne coupe pas l'artère , et on évite une gestion parfois délicate de certaines complication.
Et tu l'as bien compris, je suis comme notre ami, un débutant en la matière, je n'ai fait que 3 sinus lift, dont 1 seul en solo, d'où ma réponse un peu "théorique'.


Logocolornotext kiwlk1 - Eugenol
Clio

27/10/2013 à 02h49

C'est vraiment top d'expliquer a un confrère ce qu'il devrait faire alors qu'on a soi même aucune expertise en la matière. Quitte a le foutre dans la merde.
Rques c'est monnaie courante sur eugenol.
Les gars vous êtes dangereux!!!!!
Vous vous rappelez qu'il y a des patients au bout de vos bistouris????


Utilisateur banni

27/10/2013 à 10h37

Clio, sur un forum surtout sous l’anonymat d’un pseudo n’importe qui peu dire n’importe quoi , maintenant tout dépend de l’intention du participant, s’il prend part à un sujet et qu’au final il pourra apprendre de nouvelles information, sa participation aura permis d’alimenter le sujet, si son intention est moins louable son but est tout autre .


Logocolornotext kiwlk1 - Eugenol
Clio

27/10/2013 à 10h56

posit écrivait:
---------------
> Clio, sur un forum surtout sous l’anonymat d’un pseudo n’importe qui peu dire
> n’importe quoi , maintenant tout dépend de l’intention du participant, s’il
> prend part à un sujet et qu’au final il pourra apprendre de nouvelles
> information, sa participation aura permis d’alimenter le sujet, si son
> intention est moins louable son but est tout autre .

Essaye de mettre autre chose que des virgules dans tes phrases, je comprends rien a ce que tu veux dire.
Je ne comprends pas non plus le but de ton intervention....
Tu veux te mettre a faire des guides pour sinus lift ?


Dent masqu e petite f0pbaj - Eugenol
dudule

27/10/2013 à 12h41

Comme mes confreres je te deconseille dans ton sa4 dimplanter en meme temps.
Peu de risque pour l'artere alveolo-antrale.


elfiss

27/10/2013 à 13h07

Merci pour vos réponses.
Bien que j'ai toujours fait mes ouvertures (kystes ...) et vu faire à la fraise boule, je vais essayer le piezotome. De plus je vais me procurer un bistouri bipolaire au cas ou.


Michel4 ve7g1x - Eugenol
chabit

27/10/2013 à 13h36

Salut,
Je pense aussi que tu as peu de risque de choper l'artère antrale. Je suis aussi d'accord avec le rique plus grand de ne pas avoir assez de hauteur d os pour une bonne stabilité primaire de ton ou tes implants (scan limite). Enfin, tu peux tout à fait sectionner ton artère avec un piezzo, surtout si elle est infra osseuse. Dans ce cas, une simple pince à champ suffira à clamper (avec la table osseuse) le flux sanguin, un peu de cire à os au cas ou et le tour est joué. Le plus gros pb quand ça arrive est la panique a bord et la difficulté à localiser le point hémorragique, donc pas de panique, une bonne aspi, et tout ira bien. Tiens nous au courant.


Logocolornotext kiwlk1 - Eugenol
Clio

27/10/2013 à 13h51

L'artère sub antrale c'est pas non plus la carotide ;-)))


dentatronche

27/10/2013 à 16h11

je vois pas en quoi la piezzo serait plus safe que la pièce a main pour une artère qui chemine en intra osseux.

Les commerçant vantent les mérites de la piezzo, mais concretement il n'y a pas moins de risque de léser la membrane ou une petite artériole avec.


Michel4 ve7g1x - Eugenol
chabit

28/10/2013 à 00h56

Par expérience, la pz chir est inopérante sur les tissus mous, la mb sinusienne en particulier, même en y allant comme un gros bourin, le risque est très minime, alors qu a la fraise boule mieux vaut avoir la main légère et assurée. Par contre, sî l artère est infra osseuse, en sectionnant l os, tu peux aussi la couper. Ça m'est arrivé 3 fois, les 2 premières dans ĺa découpe du volet, et la dernières sur l'incision de decharge. Pour les effractions osseuses, un clamp ou pince à champ a suffi et un peu de cire à os, pour la 3eme, un gros point de suture sur la źone qui saignait est basta. Dans tous les cas, j'ai pu finir ma chir sans souci!


Dsc 0022 zyz4bz - Eugenol
Fred

28/10/2013 à 01h50

Un bistouri bipolaire c'est quand même bien rassurant


Utilisateur banni

28/10/2013 à 09h37

Clio écrivait:
--------------
> Essaye de mettre autre chose que des virgules dans tes phrases, je comprends
> rien a ce que tu veux dire.
> Je ne comprends pas non plus le but de ton intervention....
> Tu veux te mettre a faire des guides pour sinus lift ?

Clio, pour ma part, je trouve que la série de points d’exclamations et de points d’interrogations bien excessives pour un post où il me semble que l’intervenant voulait simplement avoir un avis sur ses connaissances. Pour quelqu'un qui ne comprend rien à ce que je veux dire, je trouve la réponse bien agressive et la question désobligeante.

Au vue de la position basse de l’artère alvéolaire antrale n’est-il pas envisageable de sectionner celle-ci avant son passage dans son foramen au maxillaire et stopper l’hémorragie par exemple avec une pince bipolaire ?


Cinquo ht16g4 - Eugenol
dentistevip

28/10/2013 à 09h58

Posit, retourne faire tes guides.


Logocolornotext kiwlk1 - Eugenol
Clio

28/10/2013 à 10h14

posit écrivait:
---------------

>
> il me semble que
> l’intervenant voulait simplement avoir un avis sur ses connaissances.

Manolito écrivait
--------------

"le plus sûr c'est de faire ton volet au piezzo, sinon il faut te debrouiller (si tu la coupes) à la décortiquer pour pouvoir ligaturer chaque extremité pour eviter un saignement post op qui "laverait" ton materiau...."

Cette phrase de manolito ressemblait plus à une explication qu'à une demande d'un quelconque avis sur ses connaissances non?


> Au vue de la position basse de l’artère alvéolaire antrale n’est-il pas
> envisageable de sectionner celle-ci avant son passage dans son foramen au
> maxillaire et stopper l’hémorragie par exemple avec une pince bipolaire ?

Non le plus simple est de faire une dérivation de la carotide ....;-))))


Utilisateur banni

28/10/2013 à 10h24

Non, mais celle-ci avant ta réponse il est vrai à 00.49h, oui. « Et tu l'as bien compris, je suis comme notre ami, un débutant en la matière, je n'ai fait que 3 sinus lift, dont 1 seul en solo, d'où ma réponse un peu "théorique'. », par contre celle à 09.141h m’inquiète.


Logocolornotext kiwlk1 - Eugenol
Clio

28/10/2013 à 10h33

c'est quoi qui t'inquiètes?


Utilisateur banni

28/10/2013 à 10h41

La réponse n’a aucun intérêt pour le sujet idem pour dentistevip


Logocolornotext kiwlk1 - Eugenol
Clio

28/10/2013 à 10h53

posit ecrivait
------------

Au vue de la position basse de l’artère alvéolaire antrale n’est-il pas envisageable de sectionner celle-ci avant son passage dans son foramen au maxillaire et stopper l’hémorragie par exemple avec une pince bipolaire ?

posit écrivait:
---------------
> ... sur un forum ... n’importe qui peu dire
> n’importe quoi ..

çà c'est vrai.........


Utilisateur banni

28/10/2013 à 11h15

D’où l’intérêt d’avoir une bonne formation implanto…logique.
http://www.implanto-logic.fr/files/keynote_formation.pdf


Logocolornotext kiwlk1 - Eugenol
Clio

28/10/2013 à 11h46

Trop sympa de faire de la pub, moi j'aurais pas osé...


12

Ce sujet est verrouillé

Les réponses à ce sujet sont désactivées