Cookie Consent byPrivacyPolicies.comLésion palais - Eugenol

Lésion palais

Kev

28/10/2013 à 14h58

Bonjour à tous,

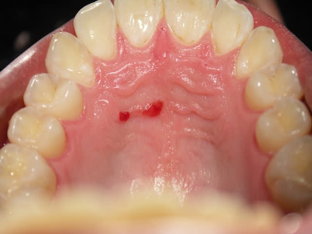
Besoin d'un avis sur cette lésion au palais d'un patient de 25 ans , sans problèmes de santé.
En passant le dos de la sonde dessus, pas de décoloration ni de reliefs , absence de douleurs .
Le patient n'avait pas connaissance de cette lésion à cet endroit.
Fumeur depuis 6/7 ans , 15 cigarettes par jour.

Merci !

Palais 2  zi0tjp - Eugenol
Palais 1 njhvca - Eugenol
Palais 1 cgyyuq - Eugenol

Images jm2g2g - Eugenol
dr_0le

28/10/2013 à 15h31

on dirait de petits angiomes..


Pierre-E

28/10/2013 à 15h45

idem, petits angiomes je pense


 mg 0207 xwjxcl - Eugenol
Tillc

28/10/2013 à 17h34

Faut attendre 1 semaine pour moi c'est juste une blessure.
Angiome=> Disparait a la pression
Kaposi => Disparait PAS a la pression.
Tumeur maligne => Ca n'a pas vraiment la gueule. Quoi que...
Purpura/petechie => Tres tres peu probable.


1980 husqvarna 390 automatic 2 kl7m5v - Eugenol
Cyanolit

30/10/2013 à 10h05

Oh ben, les erythroplasies sont fréquemment associées au carcinome epidermoide.

Est ce qu'il y a un aspect "velouté" ? On dirait que non

Le plus probable reste la blessure qui va disparaître sous peu.


Kev

30/10/2013 à 11h08

Merci pour vos réponses
Je vais donc le revoir prochainement pour voir l'évolution .
Bonne journée.