Cookie Consent byPrivacyPolicies.comquand je serai chirurgien dentiste, - Eugenol

quand je serai chirurgien dentiste,

joséphine

29/10/2013 à 09h03

Ma specialite sera la pedodontie,

Mon assistante dentaire sera la plus belle, la mieux coiffée, son parfum leger leger
Ma secretaire sera aimable, charmante et toujours souriante

La salle de soins serait claire, lumineuse et decoree de fleurs, de ballons et de petits coeurs en forme de bisounours :-)

Alapex supplierait pour etre soigne chez moi et il sera gentiment raccompagne a la porte

Je prendrais 120 jours de vacances pour rester au top lorsque je pratique et je photographierais mes patients pour vous montrer à quel point je suis douee.

Et vous?
Quel praticien auriez vous ete si vous aviez empile 5 ans de fac + 1 ou 2 pcm1?


--
http://perlamazing.free.fr/


Capture d  cran 2015 03 12 12.28 - Eugenol
chicot29

29/10/2013 à 10h14

N'importe quelle spécialité, mais ailleurs.


01 ukhwbq - Eugenol
ʎqqoq

29/10/2013 à 10h23

J'imagine que c'est la tempête qui te fait dire ça Chicot ^^


santon

29/10/2013 à 11h33

Ce sera formidable d'avoir atteint un de ses buts

ailleurs, Chicot semble toujours mieux qu'ici...
c'est une illusion
car nous sommes "pareils" partout


Driller

29/10/2013 à 11h38

You want to bet? ;-)


Capture d  cran 2015 03 12 12.28 - Eugenol
chicot29

29/10/2013 à 12h28

Mais non, je m'éclate dans notre système de santé collectiviste qui valorise la qualité de mon travail. Mon seul problème, j'ai la bouche sèche à force de distribuer des bisous.)))))
La pédodontie ? tu vises haut dans la reconnaissance !


Tumblr nbpd8ntwip1rsb3deo1 1280 hyinig - Eugenol
Enki

29/10/2013 à 12h36

"La pédodontie ? tu vises haut dans la reconnaissance !"

Je suis particulièrement admiratif des pédontistes et des pédiatres en général. Si les actes de pédo étaient HN ou payés comme des implants je suis sûr que ça serait bien mieux..."reconnu" ;)


1309531 ours brun n5iukf - Eugenol
seespan

29/10/2013 à 13h49

Normalement tu gagnes plus en tant que spécialistes que généralistes quelque soit la spécialité sauf public health (santé publique qui est une spécialité nécessitant trois ans post doctorat )

Sa dépend des pays aussi, en Thaïlande j'ai pas l'impression que pédodontiste gagne nettement plus qu'un généraliste, mais en Corée c'est limite plus qu' un orthodontiste.

Vous aller rire au U.S celle qui gagne le plus après ortho c'est endodontiste, loin devant parodontologue ou prothésiste.

Sinon faut étre réaliste il vaut mieux être spécialiste a l'étranger que généraliste en France. Mais ça veut rien dire vue que de toute façon il vaut mieux être dentistes hors France.

--
หมอจัดฟัน


santon

29/10/2013 à 14h01

chicot29 écrivait:
------------------

> La pédodontie ? tu vises haut dans la reconnaissance !

reconnaissance = rémunération ?
entre autres d'accord mais pas que j'espère...

et le sentiment d'avoir été "bon", utile à quelqu'un ou quelque chose ?

sûr, l'enfant ne va pas sortir un gros billet de sa tirelire !


1309531 ours brun n5iukf - Eugenol
seespan

29/10/2013 à 14h09

La pédo est parfaitement reconnue dans les pays ou les actes sont rémunérer a leur juste valeur.

Demandé a Driller comment sont perçut les pédodontiste au U.K

--
หมอจัดฟัน


santon

29/10/2013 à 14h22

on est d'accord
tu avais remarqué que Joséphine ne parlait pas d'argent mais faisait un beau rêve ?

En 3ème je faisais le même et ne suis pas allée tout à fait au bout
(sans les ballons avec les bisounours Joséphine...)

la faute à qui ?
au système et bla bla et bla bla

Que des enfants toute la journée, finalement tu tiendrais le coup Joséphine ? , quand tu poses une couronne en 2s (oui je suis très rapide) pour X euros ?
là je sens qu'on va mieux me suivre...


Tumblr nbpd8ntwip1rsb3deo1 1280 hyinig - Eugenol
Enki

29/10/2013 à 14h30

C'est drôle mais j'ai l'impression que les "enfants toute la journée" gène beaucoup moins quand c'est pour coller des boîtiers ;)


santon

29/10/2013 à 14h34

mdr :)
voilà comment réconcilier tout le monde !

perso pas mon truc


1309531 ours brun n5iukf - Eugenol
seespan

29/10/2013 à 14h56

Enki écrivait:
--------------
> C'est drôle mais j'ai l'impression que les "enfants toute la journée" gène
> beaucoup moins quand c'est pour coller des boîtiers ;)

Comme faire des endo molaires grènerais beaucoup moins si c'était payait 500 euros.
Idem les DDS a 300, 400 euros t'aurais du monde pour les sortir.

Ca vous surprend que vous trouviez peut de dentiste qui accepte de bon cœur de faire des actes sous payés ( et qui ne peuvent pas débouché sur du rentable contrairement au adultes ) demandant une formation et du matériel spécifique ?

En france pour la pédo comme pour l'endo il faut vraiment avoir la passion, aussi bien pour la formation que pour se faire une patientèle. Ca vous étonne que les dentistes préfére se tourner vers la paro, implanto ou ortho ?
--
หมอจัดฟัน


Tumblr nbpd8ntwip1rsb3deo1 1280 hyinig - Eugenol
Enki

29/10/2013 à 15h19

C'était bien le sens de ma première réponse ou je disais toute l'admiration que j'ai pour les pédodontistes.


Avatar hjdsnm - Eugenol
TiGabi

29/10/2013 à 15h31

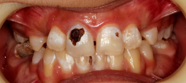
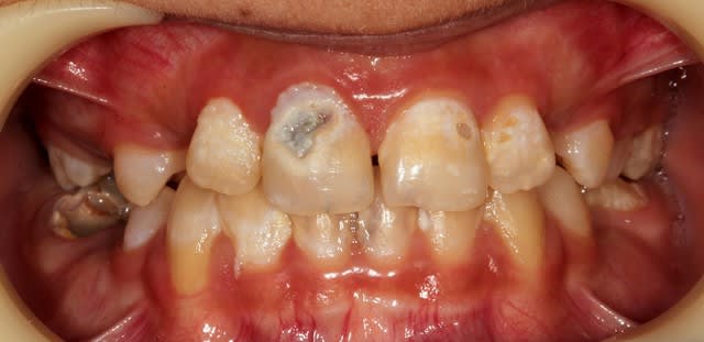
J'ai vu ce bonhomme de 11 ans mi-septembre en 1ère consultation. Il brossait peut etre une fois par mois (et encore...). J'ai pris le temps de discuter avec lui, de montrer le brossage, de comprendre ce qui se passe à la maison.

Hier, 1er RDV de soins. Je vous laisse voir la différence.

Qu'est-ce qui a le plus de valeur : ce changement ou 4 facettes ?

Img 6346  copier  o6vbzy - Eugenol
Img 6484  copier  z91rxq - Eugenol

santon

29/10/2013 à 16h04

Chapeau bas Ti gabi
Je t'admire (oublié de le dire avant, je pensais à toi)


J'admire aussi certaines personnes qui font de belles facettes (pas toutes)

J'admire ceux - pas très nombreux- qui font progresser un domaine et qui nous aident à nous surpasser.


Star92220i

29/10/2013 à 16h29

..chirurgien-dentiste, j aurais ete omnipraticienne dans un quartier de la classe moyenne parisienne, juste pour pouvoir soigner les gens a la hauteur de leurs besoins et de leurs moyens...


Je ne serais pas dans la concurrence.....je serais juste connue dans mon quartier, et cela me suffirait parce que les patients seraient reconnaissants au point de venir se faire soigner de generations en generations chez moi.


J aurais deux assistantes de milieux completement differents que j estimerais avec egalite, qui s entraideraient vraiment sans arriere-pensees, et que j impliquerais reellement dans le fonctionnement dans mon cabinet..;-)

--
......pArFoIS pOuR eVoLuEr dANs sA vIe, fAuT sAvOiR lAcHeR dU lEsT.


Capture d  cran 2015 03 12 12.28 - Eugenol
chicot29

29/10/2013 à 18h08

Enki écrivait:
--------------
> C'est drôle mais j'ai l'impression que les "enfants toute la journée" gène
> beaucoup moins quand c'est pour coller des boîtiers ;)

Surtout quand tu fais des courriers au confrère pour faire les soins, faut bien que tout le monde vive.)))))


Darmon - Eugenol
Latin

29/10/2013 à 18h53

chicot29 écrivait:
------------------
> Enki écrivait:
> --------------
> > C'est drôle mais j'ai l'impression que les "enfants toute la journée" gène
> > beaucoup moins quand c'est pour coller des boîtiers ;)
>
> Surtout quand tu fais des courriers au confrère pour faire les soins, faut bien
> que tout le monde vive.)))))

Ou alors quand tu fais un courrier pour demander un détartrage avant de coller la contention, ou pire un "polissage" après avoir débagué.


Star92220i

29/10/2013 à 19h24

En effet oui:-)
La, je suis d accord: constater qu avec un peu de temps et les mots qui vont bien on arrive a ce genre de miracle, la, c est une vraie recompense ....

Mayintenant, on peut sans doute aussi bien poser 4 facettes et se voir autant recompense en voyant le sourire du patient qui reprend confiance en lui, parce qu on aura pris le temps d etudier les teintes, les formes qui lui correspondaient le mieux....

--
......pArFoIS pOuR eVoLuEr dANs sA vIe, fAuT sAvOiR lAcHeR dU lEsT


levm

29/10/2013 à 20h41

TiGabi écrivait:
----------------
> J'ai vu ce bonhomme de 11 ans mi-septembre en 1ère consultation. Il brossait
> peut etre une fois par mois (et encore...). J'ai pris le temps de discuter avec
> lui, de montrer le brossage, de comprendre ce qui se passe à la maison.
>
> Hier, 1er RDV de soins. Je vous laisse voir la différence.
>
> Qu'est-ce qui a le plus de valeur : ce changement ou 4 facettes ?


Trés sincerement , bravo.
Tu sais , il y a plein d actes mal payés qui ont de la valeur.

-Un détartrage
- un soulagement lors d'une pulpite .
-Une extraction avec un kyste résiduel.
-Ou meme une simple consultation .

C est malheureusement mathématique:
C est mal payé donc soit on passe moins de temps sur un acte pour en faire en quantité , soit on le bâcle.

Faire des journées entières de soins et de consults seront toujours moins "rentables" que 1h30 de prothèse avec un patient.


abdelbarada

30/10/2013 à 02h03

le bossage n'est pas suffisant , un détartrage et une treatement de blanchiment de dents ça peut résoudre le problème ,après il faut s'habituer à brosser ses dents 3 fois chaque jour .
pour plus d'information sur le blanchiment des dents, visiter => http://www.blanchiment-de-dents.blogspot.com


Bebe 038 nf8eum - Eugenol
danteyeah

30/10/2013 à 03h34

abdelbarada écrivait:
---------------------
> le bossage n'est pas suffisant , un détartrage et une treatement de blanchiment
> de dents ça peut résoudre le problème ,après il faut s'habituer à brosser ses
> dents 3 fois chaque jour .
> pour plus d'information sur le blanchiment des dents, visiter =>
> http://www.blanchiment-de-dents.blogspot.com

Euh tu t'adresse à un pédo exclusif en fait, ne serais tu pas un peu hors sujet avec une proposition d'éclaircissement?

Sinon le titre du topic me choque: CHIUR urgien c'est volontaire (2nd degré), ou une faute de frappe (acte manqué, mais dans un titre j'en doute!).


santon

30/10/2013 à 09h17

danteyeah écrivait:
-------------------
> Sinon le titre du topic me choque: CHIUR urgien c'est volontaire (2nd degré), ou
> une faute de frappe (acte manqué, mais dans un titre j'en doute!).


Oui en effet, je ne me suis pas arrêtée à ça...
Ouh là là joséphine, c'est pas beau !!!!!!
C'est vrai que les assistantes + secrétaire + alapex + ........ ça fait beaucoup

Sache cependant que ton rêve a quand même vraiment existé (un peu épuré) de la part de quelqu'un qui est REELLEMENT chirurgien dentiste.

et c'est vrai qu'ici les mots sont parfois crus - plus facilement que dans la vraie vie; il faut ne pas donner prise car c'est une sorte de "défouloir"
ceci dit ta "vengeance" est subtile

Tu peux maintenant réapparaître, bonne journée !


12