Cookie Consent byPrivacyPolicies.comLésion latérale - Eugenol

Lésion latérale

92800

31/10/2013 à 00h35

Bonjour,

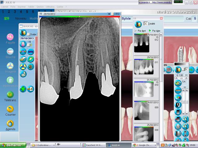
Ma patiente est venue en urgence avec une fistule purulente entre 15 et 16.
Sondage paro ras, percussion légèrement sensible, mastication légèrement sensible.
J'ai pris une radio avec cône de gutta dans la fistule. Le cône mène à une lésion osseuse latérale.
Je pense que cela provient d'un canal latéral ou d'une fracture.
Si c'est un canal latéral, je dépose l'Ic et je retraite avec système B
Si c'est une fracture, j'extrais.

Qu'en pensez vous au vue des images?

Précise sur la radio entre 5 et 6 c un cône de gutta inséré dans la fistule

Merci

Photo andreetti c4u4a8 - Eugenol
Radio andreetti stidct - Eugenol

Images jm2g2g - Eugenol
dr_0le

31/10/2013 à 15h08

Bonjour,
cette image me fait penser à une lésion endo.. vue l'aspect des traitement radiculaires...

cat selon moi, reprise ttt 14 15 16 provisoire et réévaluation a 3 mois..


youn

31/10/2013 à 15h38

T'as pas une pêche au bout de 15? (située entre 15 et 14 au niveau des apex... au bout de la 14?)

Je dirais abcès endo avec voie de drainage latérale. RTE 15.

Edit. Je suis à peu près sûr que t'as un granulôme au bout de la 15.


060108 005 nrfjgc - Eugenol
NaFr

03/11/2013 à 00h22


Il y a déjà un canal latéral obturé. Si c'est lui la cause de la lésion, bon courage pour le désobturer......
--
Francis N.

C lat mkablw - Eugenol