Cookie Consent byPrivacyPolicies.comkyste symphysaire - Eugenol

kyste symphysaire

E - Eugenol
e.maxx

01/11/2013 à 09h54

Bonjour tout le monde,
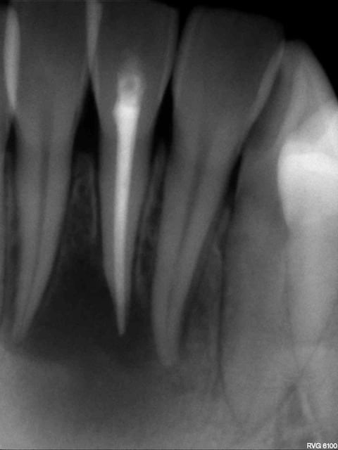
voici le cas d'une jeune patiente(la vingtaine) qui lors d'une pano on découvre un kyste symphysaire.
J'ai fait des rétro du bloc ant mand (la pano est sur papier donc pas terrible), les limites du kyste sont pas très nettes.
En bouche, ras, gencive normale et tout le bloc ant est positif au test au froid sauf 31. Je pense faire l'endo de la 31 et voir ensuite comment sa évolue avant de passer a la chir, ou bien vaut il mieux faire direct endo+ curetage "kyste"( qui peut être est une cavité sans épithélium)+ resection apicale. Qu'en pensez vous? Merci.

42 41 31 32 y8gtbj - Eugenol
43 42 uiuw81 - Eugenol
33 32 rd68sn - Eugenol

elfiss

01/11/2013 à 11h41

Faire les endos en premier, car il faudra une résection apicale lors de l'énucléation du kyste.
En terme de timing, prévoir la chirurgie rapidement après les endos, car le risque que kyste se réveille est important.


levm

01/11/2013 à 14h28

J ai eu quasiment le meme cas il n y a pas longtemps .
J'ai fait les endos et le kyste a bien régressé

Img 5350 v8x3t9 - Eugenol

E - Eugenol
e.maxx

01/11/2013 à 14h35

seule la 31 ne répond pas au test au froid, du coup je me demande si il faut que je dévitalise quand même 32/42/41?


Sanda

01/11/2013 à 15h42

La différence radio entre kyste et granulome n'est pas la présence pour le kyste d'un liseré d'Osteocondensation ?
Dans ce cas les limites sont floues, je pencherait pour un granulome (étape précédent le kyste inflammatoire odontogène) entrainé par la 31, donc TE de 31 avant toute chose, puis chir en cas de non cicatrisation a plusieurs mois (6++)
My2cents


levm

01/11/2013 à 16h19

La différence entre kyste et granulome est uniquement anatomopathologie avec présence d’épithélium pour l'un et absence pour l'autre. pas de difference radio

Endo en premiere intention .
Chirurgie si symptomatologie ou pas de régression dans un second temps .


Michel4 ve7g1x - Eugenol
chabit

19/11/2013 à 14h44

Salut,
J'ai eu le même cas il y a qq mois. Ne pouvant rien joindre sur Nonol, j'ai exposé le cas sur la plateforme de GROWLER (dentosseo). SI çà t'intéresse.


 mg 0207 xwjxcl - Eugenol
Tillc

19/11/2013 à 15h07

Faut juste faire les endo, il est pas énorme ce kyste/granulome.
Tu vois dans 1 an si tu opères.


Voila un des rares cas de grosse lésion que j'ai operé cette année.
Aucune evolution en quasiment 1 an de cicatrisation
Quand j'ai ouvert il s'agissait bien d'un kyste avec un revêtement qui couvrait la totalité de la cavité (couleur nacré au fond de la cavité).
Le truc marrant dans l'histoire c'est que je n'ai pas fait de résection apicale car l'os s’était reformé autour des apex grâce a mon endo.
Le kyste evoluait pour son propre compte (principe du kyste).
Voila pourquoi il faut toujours attendre avant d'operer.

Pour ceux qui ont remarqué a juste titre la parodontite severe avec le tartre je precise qu'il s'agit d'un patient à la comprehension limite et que le traitement global s'approche plus du palliatif que du curatif.

Dadi omar 13102011 171111 zxlcfo - Eugenol
Dadi omar 29082012 192021 jz1iqy - Eugenol
Img 1814 fogmp2 - Eugenol
Img 1815 anj2wf - Eugenol

E - Eugenol
e.maxx

27/11/2013 à 16h38

j'ai fait l'endo de la 31 qui était nécrosée,on va voir ce que sa donne d'ici 3-4 mois(amélioration radio?), sinon on passera a la chirurgie.
Les autres incisives étant vivantes, je ferais leur endo que si il y a chirurgie.

R17 gr8d8s - Eugenol

Utilisateur banni

27/11/2013 à 22h24

S'il s'agit d'une lacune essentielle l'endo était inutile. La perte de sensibilité pouvait venir d'une compression par la lésion. Il eu mieux valu adresser en milieu hospit spécialisé. Certaines lacunes demandent uniquement à être ouverte pour guérir spontanément d'autres sont plus délicate comme les lacunes à collection sanguine. Sur le coup je pense pas à un pb endo mais vraiment ce que j'ai cité.


Tumblr nbpd8ntwip1rsb3deo1 1280 hyinig - Eugenol
Enki

27/11/2013 à 23h38

Je ne crois pas au kyste essentiel pour diverses raisons.
J'ai déjà eu exactement le même cas il y a quelques années.
J'ai fais 3 ou 4 endos sur les incisives et un curetage chirurgical avec un comblement Bio Oss (la lésion était importante).

Je revois régulièrement la patiente. Il reste une sorte de sensibilité de la zone très comparable à celles que l'on rencontre après une gonionplastie. L'examen radio est bon. J'essayerai de poster les clichés vendredi si le post est encore en haut de la liste :)


 mg 0207 xwjxcl - Eugenol
Tillc

28/11/2013 à 00h02

Shadow écrivait:
----------------
> S'il s'agit d'une lacune essentielle l'endo était inutile. La perte de
> sensibilité pouvait venir d'une compression par la lésion.

Je m etonne encore de l imagination de mes confreres.

Absence de réponse au test au froid, résorption radiculaire. kyste directement appendu a une racine est tu penses d abord a un kyste essentiel (rarissime !). Ca m impressionne !


E - Eugenol
e.maxx

28/11/2013 à 00h58

j'ai tester tout le bloc antérieur au test froid, bilan la seul la 31 ne répondait pas.
J'ai fait l'endo de la 31 sans anesthésie, odeur de nécrose lors de l'ouverture.
Au vu de la radio préop, je ne pense pas être a coté de la plaque en ayant fait cette endo. De manière générale, on fait l'endo avant la chir et pas l'inverse? Je ne suis pas un grand spécialiste des kystes, mais la franchement le tableau était clair. Mais je peux me tromper Shadow!
Je vais temporiser 3 mois et voir l'évolution radio/clinique.
Mon hésitation concerne 32+41+42: est on obligé de faire les endo si chirurgie il y a, car les contours de la lacune semble assez flou et donc pas forcément d’épithélium; une résection apicale de 31 suffira t'elle? (patienta la vingtaine).


Inanna

28/11/2013 à 09h12

La dévitalisation des autres incisives est inutile ici. Si dans qqs mois tu dois intervenir et cureter le kyste, tu contrôleras la vitalité de ces dents en post-opératoire. Si les tests au froid restent positifs, c'est tout bon; si ils se révèlent négatifs alors tu pourras envisager de les traiter.
Pas de sur traitement, surtout!


levm

06/12/2013 à 21h07

a 3 mois post endo

Img 8740 omcvco - Eugenol

Utilisateur banni

06/12/2013 à 22h46

J'ai peut être de l'imagination mais je n'ai pas l'habitude de prendre une décision avec des radiographies moyennes, hors sans penser à offense, j'obtiens de meilleures images ce qui me facilite la prise de décision. Ici il m'est difficile de distinguer le ligament et la radiodensité de l'os spongieux. Je ne vois pas ici de résorption radiculaire indiquée par Tillc je crois. Je crois deviner un manque de densité en mésiale de 31 sans certitude. Le volume pulpaire de 31 ne paraissait pas prêcher pour une nécrose. Manque une photo, une anamnèse : choc violent? instrument à vent? ... Je ne crois pas à un choc ancien qui aurait conduit à une calcification progressive, soit périphérique soit diffuse ; rien de tel ici.
De plus on annonce la vingtaine mais à cet âge à part choc violent récent, kyste familial et lacune essentielle comme causes probables principales je ne vois pas.J'attends vos cheminements intellectuels et la suite du cas. A priori si dent nécrosée choc violent la personne ne peut l'avoir oublié.


Michel4 ve7g1x - Eugenol
chabit

07/12/2013 à 18h56

Salut,
En comparaison avec les radios initiales, je ne vois pas de changement, ni plus ni moins. Surveillance à 6 mois ? De toute façon, l'endo était inévitable, reste à voir si elle se suffit !
Enfin pour les pinailleurs, peu importe l'étiologie, si la patho ne régresse pas, il faut ouvrir et nettoyer, basta!


E - Eugenol
e.maxx

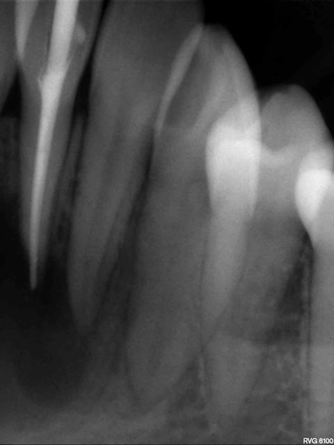
27/01/2014 à 22h21

voici le contrôle radio a 2 mois: y'a de l'espoir!!!

R41 pfebw2 - Eugenol