Cookie Consent byPrivacyPolicies.comTACHE NOIRES INEXPLIQUEES CHEZ ENFANTS - Eugenol

TACHE NOIRES INEXPLIQUEES CHEZ ENFANTS

jojoboss

06/11/2013 à 16h12

Bonjour à tous,
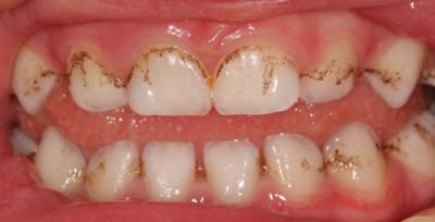
j'ai souvent des enfants avec ce genre de tâche sur les dents de lait
avez vous une idee de ce que c'est ? CAD ?
Merc a tous


jojoboss

06/11/2013 à 16h13

je n'arrive pas a envoyer la photo; la previsualisation dure 3 hr


Gonzo k0qhwz - Eugenol
matten

06/11/2013 à 16h32

C'est extremement frequent, il s'agit de bacteries qui donnent en metabolite des derives contenant du fer. Ce sont les taches que tu vois.
Il n'y a rien a faire a part des polissages.
Ca s'arrete vers la puberte en general.


doagui

06/11/2013 à 16h40

Pas de majuscules dans les titres ou dans les messages SVP, c'est hyper agressif à lire, et ça ne donne pas de réponses plus rapidement...


flipflap

06/11/2013 à 17h04

black stains!


Avatar kvapls - Eugenol
God Save the Fluide

06/11/2013 à 18h24

La bactérie en question est la melaninogenicus


 mg 0207 xwjxcl - Eugenol
Tillc

06/11/2013 à 19h22

Melanina genica chez les petits magrebins les petits thailandais surtout. De temps en temps chez les petits blancs refilé par la nounous


Avatar hjdsnm - Eugenol
TiGabi

06/11/2013 à 21h36

"Melaninogenicus" est une théorie ancienne : les études récentes montrent qu'il s'agit principalement d'actinomyces formant un biofilm semi-calcifié. La coloration noire est issue d'une réaction entre du SH2 (métabolite bactérien) et du Fer (salive, sang).
La prévalence de carie est réduite.
Les dépots disparaissent toujours à l'adolescence et reviennent toujours avant.
Ils peuvent être retirés facilement avec une meulette de polissage sur contre-angle.

Img 5377 xmb5ts - Eugenol

Bbpanda vyfmu4 - Eugenol
kung fu panda

07/11/2013 à 14h39

Un p'tit article à ce sujet en pièce jointe.