Cookie Consent byPrivacyPolicies.comClinic All chez les Chti, et journée dent vivante - Eugenol

Clinic All chez les Chti, et journée dent vivante

003 penrd2 - Eugenol
Cingulum

07/11/2013 à 11h04

J'en profite en passant par ici, pour vous parler de deux formations qui me tiennent à coeur : tout savoir sur le devis Avenant 6 !

Sérieusement, dans le cadre de Clinic All, nous organisons deux jours condensés à Lille, sur le thème:
- prothèses sur dent vivante
- Tout céramique, couronne et restaurations partielles
- Photographie...
C'est le 17 et 18 janvier, le programme et le bulletin sont en pièce jointe.


Et sur Lyon le 23 janvier, une journée sur le thème de la gestion de la dent vivante. Pour apprendre à faire moins d'endo ;)
Journée 100% théorie.
Théorie:
• Pourquoi travailler sur dent pulpée:
- Intérêt biologique / tissulaire.
- intérêt en terme d’étanchéité.
- Intérêt esthétique.
• Comparaison Traitement pulpée / dépulpée:
- d’un point de vue temps de réalisation.
- d’un point de vue financier.
- Résumons le coût bénéfice risque.
• Comment travailler sur dent pulpée:
- le diagnostic pulpaire.
- précaution lors des étapes de préparation.
- collage .
• Que peut on faire sur dent pulpée ?
- restaurations partielles (facette / Onlay).
- couronne tout céramique.
programme et inscription sur www.clinic-all.fr

--
Dr Cingulum
-----Ancien interné----
----Attaché à l'apex----
http://www.clinic-all.fr/ formation par passion


003 penrd2 - Eugenol
Cingulum

07/11/2013 à 11h16

Dépulper qu'en cas de pathologie pulpaire ...

--
Dr Cingulum
-----Ancien interné----
----Attaché à l'apex----
http://www.clinic-all.fr/ formation par passion

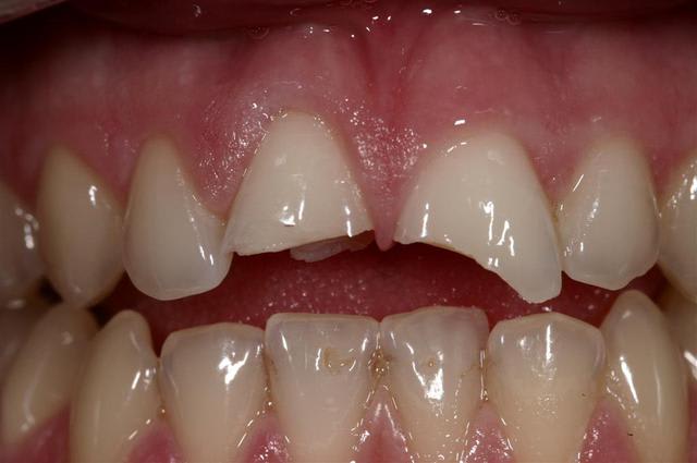
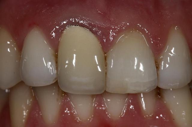
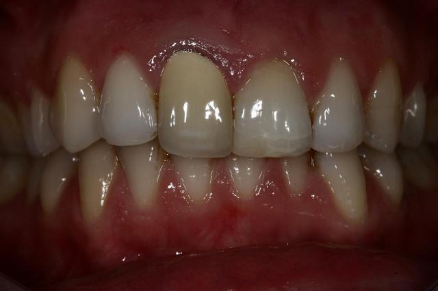
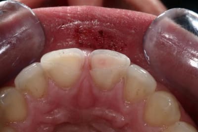
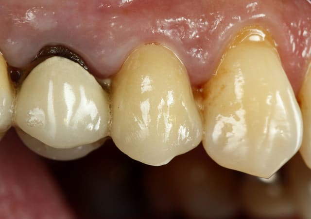
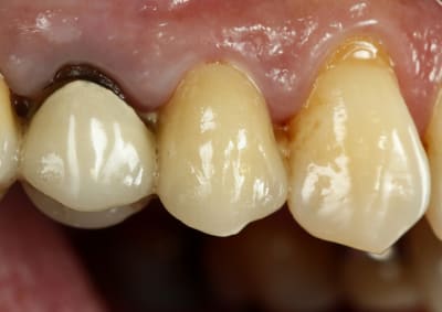
Img 6029  large  ne49c4 - Eugenol
Img 1380 ufjmw1 - Eugenol
Img 6026  large  ukaa2d - Eugenol
Img 1376 001 f4neul - Eugenol

003 penrd2 - Eugenol
Cingulum

07/11/2013 à 11h48

petit jeu ? où est la prothèse sur dent vivante et celle sur dent dépulpée ;)

--
Dr Cingulum
-----Ancien interné----
----Attaché à l'apex----
http://www.clinic-all.fr/ formation par passion

 mg 4981 betxzf - Eugenol

uɹöɾq

07/11/2013 à 13h05

Cingulum écrivait:
------------------

> • Comparaison Traitement pulpée / dépulpée:
> - d’un point de vue temps de réalisation.
> - d’un point de vue financier.

Pourquoi comparer deux traitements qui n'ont pas les mêmes indications? ;-)


003 penrd2 - Eugenol
Cingulum

07/11/2013 à 13h10


Car la discussion sur la rentabilité du SPR57 revient souvent. Comment peux on vivre sans SPR57 ?
Mais c'est pas à toi que je vais expliquer cela ;)


--
Dr Cingulum
-----Ancien interné----
----Attaché à l'apex----
http://www.clinic-all.fr/ formation par passion


uɹöɾq

07/11/2013 à 13h10

Cingulum écrivait:
------------------
> petit jeu ? où est la prothèse sur dent vivante et celle sur dent dépulpée ;)
>

Petit jeu:
1/ Ont-elles la même date de réalisation?
2/ Ont-elles été faites par le même prothésiste?
3/ Ont-elles été faites par le même praticien?
4/ L'indication initiale de traitement était-elle la même?

C'est juste un "petit jeu", hein?

--


uɹöɾq

07/11/2013 à 13h27

Cingulum écrivait:
------------------
>
> Car la discussion sur la rentabilité du SPR57 revient souvent. Comment peux on
> vivre sans SPR57 ?
> Mais c'est pas à toi que je vais expliquer cela ;)
>

Pourquoi pas un SC33? ;-)

Pour ce qui est de la rentabilité du SPR57, considérant que les indications ne sont pas le facteur décisionnel pour les praticiens qui viendront à la formation (ton postulat de départ ici), il va être difficile de démontrer qu'on peut se passer d'un SPR57 lorsqu'on veut faire passer un devis, et surtout ne pas couler son cabinet à moyen terme en le vidant de ses patients par un reste à charge moyen beaucoup plus élevé.

Pour ceux qui n'ont pas d'aptitudes commerciales particulières, le "no post no crown", c'est le naufrage assuré pour un cabinet.


003 penrd2 - Eugenol
Cingulum

07/11/2013 à 13h49

tu mélanges un peu tout ... le but de la journée c'est apprendre a travailler sur dent vivante. Car par expérience je me rends compte que de nombreux praticiens n'osent pas conserver les dents vivantes sous les prothéses:
- par peur des complications
- par peur des douleurs
- par peur de plus gagner assez d'argent
- par habitudes

bref.... tu sais très bien de quoi il s'agit, mais tu aimes bien sauter sur toutes les occasions du forum qui parle rentabilité et faux moignon ...
tu veux venir a la formation ? ;)




--
Dr Cingulum
-----Ancien interné----
----Attaché à l'apex----
http://www.clinic-all.fr/ formation par passion


RépondreCiter
uɹöɾq

07/11/2013 à 14h31

Cingulum écrivait:
------------------
> tu mélanges un peu tout ...

Je ne mélange rien.
Au contraire je sélectionne un item de la formation qui est le suivant:

Cingulum écrivait:
------------------
> • Comparaison Traitement pulpée / dépulpée:
...
> - d’un point de vue financier.

Ce n'est pas moi qui l'écris. ;-)
Tu pointes une crainte des praticiens français: la diminution de la rentabilité du cabinet induite par la diminution du nombre d'endo/ic/ccm et tu entends démontrer que cette crainte est infondée?

Soyons précis, pour l'aspect financier des choses, c'est bien cela qui sera censé être démontré à la formation?
Restons sur ce point en particulier (ne mélange pas tout ;-) ).



1309531 ours brun n5iukf - Eugenol
seespan

07/11/2013 à 14h40

Mais vous oublier que l'option couronne sur dent vivante vont surtout interessé les praticiens soucieux de bien faire donc a priori des praticiens qui sur une endo/FM/couronne

- auront perdue de l'argent sur l'endo
- auront perdue du temps sur l'endo
- auront perdue une ou deux séance suplémentaire si ils n'ont pas fait la préparation pour le fx moignont et l'empreinte dans le même séance que l'endo et tout posé en une seul fois

Donc tout calculé je suis pas sur que le calcule soit si déficitaire.

--
หมอจัดฟัน


G-P

07/11/2013 à 15h42

C'est ridicule de penser que tu perds de l'argent en faisant de la prothèse sur dent vivante..
Rien que le temps de l'endo + le matériel ça compense l'inlay-core... Bon après si tu fais tes endos en 20 minutes (soit comme un cador du 4 mains, soit comme un gougnafier), ça peut se discuter.


Android jyzura - Eugenol
Tavéca

07/11/2013 à 15h44

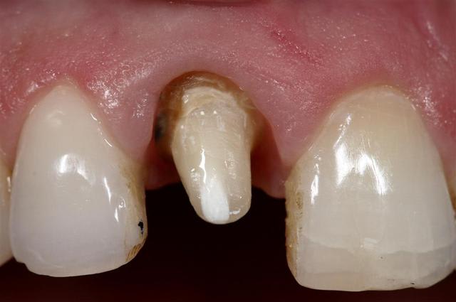
J'ai repris une des photos de ton flyer pour objectiver les limites AMHA des reconstitutions full ceram. Je fais pourtant 90 % d'emax, mais lors de colorations importantes de la racine, associée a une finesse ou une transparence relative du parodonte la ccm reste une meilleure alternative.
On avait déjà eu cette discussion, mais ici malgré la qualité de ton travail et celui de ton prothésiste, la transition genvice-collet apparaît grisâtre.
Cela ce voit d'autant plus que ta photo est de qualité.

Formation lille 2014   2 jours   copie ab1k9q - Eugenol

King lcqqit - Eugenol
King of PAP

07/11/2013 à 15h50

@ Tavéca:
Il existe l'EMAX Ho (pour haute opacité) qui permet de masquer ce genre de choses.


Android jyzura - Eugenol
Tavéca

07/11/2013 à 16h01

King of PAP écrivait:
---------------------
> @ Tavéca:
> Il existe l'EMAX Ho (pour haute opacité) qui permet de masquer ce genre de
> choses.

Je sais,mais du fait de la finesse d'une chape métallique, on peut finir sur le congé en sous-gingivale et masquer correctement les colorations tout en ayant une céramique cosmétique suffisamment épaisse .
C'est plus difficile en full ceram, j'en ai fait la malheureuse expérience plus d'une fois.


003 penrd2 - Eugenol
Cingulum

07/11/2013 à 16h03

tout a fait...
et j'avais demandé conseil Pascal Magne qui m'avait répondu qu'il valait mieux privilégier le passage de lumière vers la gencive...

Si on met opaque, on a la partie cervicale de la dent qui masque mais la gencive aura quand même un aspect gris par manque de passage de lumière.
Si on presse du MO, on a un aspect grisatre du collet a la limite mais la gencive parait plus naturelle

Le mieux étant encore de ne pas dévitaliser la dent au départ ! :) comme sur la 11

--
Dr Cingulum
-----Ancien interné----
----Attaché à l'apex----
http://www.clinic-all.fr/ formation par passion


uɹöɾq

07/11/2013 à 16h05

G-P écrivait:
-------------
> C'est ridicule de penser que tu perds de l'argent en faisant de la prothèse sur
> dent vivante..
> Rien que le temps de l'endo + le matériel ça compense l'inlay-core...

Tu peux nous le démontrer avec un exemple chiffré?


003 penrd2 - Eugenol
Cingulum

07/11/2013 à 16h10

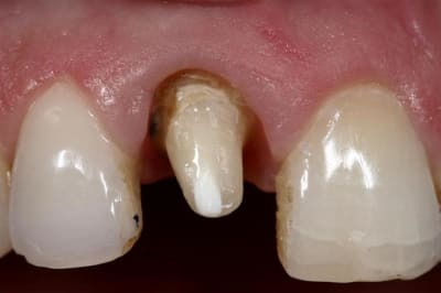
le problème c'est la gestion esthétique des dents dépulpées dans le temps ....
Un autre cas, où il a fallu batailler pour compenser la perte de vitalité... toujours en céramique pure
Le problème du collet n'est qu'une question de choix d'opacité... en emax, on a 4 Opacités principales, de l'émail transparent à l'opaque...

sur ce genre de situation, je ne peux m’empêcher a chaque fois que j'ai ce genre de problème, de me demander si la pulpe à été retirée pour un problème de symptôme/pathologie ....

--
Dr Cingulum
-----Ancien interné----
----Attaché à l'apex----
http://www.clinic-all.fr/ formation par passion

Depart  2  lkw9do - Eugenol
Depart  3  wmnlun - Eugenol
Figure 7 ncd6za - Eugenol
Img 6038  large  c54pvh - Eugenol
Img 5793  large  lxez3e - Eugenol

G-P

07/11/2013 à 16h29

uɹöɾq écrivait:
---------------

> Tu peux nous le démontrer avec un exemple chiffré?

Prép couronne + empreinte Emax 30 min, pose 30 min mettons 650€ pour 1H.

Endo 1H (les bons jours), prép couronne + inlay-core + empreinte 45 min, pose 30 min, soit allez 1100€ pour 2h15 (endo 90€, Couronne 650€, IC 360€).

T'es déjà moins rentable au taux horaire, et tu as en plus des frais de prothésistes supérieurs, et des consommables pour l'endo.


003 penrd2 - Eugenol
Cingulum

07/11/2013 à 16h38

je te la fais façon avenant François ;)
tu as plus qu'a rapporter au temps passé
après bien sur tout dépend des frais fixe ;)




--
Dr Cingulum
-----Ancien interné----
----Attaché à l'apex----
http://www.clinic-all.fr/ formation par passion

Capture plein  cran 07112013 153218 - Eugenol
Capture plein  cran 07112013 153103 - Eugenol

uɹöɾq

07/11/2013 à 23h02

Petit cas clinique réel:
patient de 28 ans , smicard, deux enfants, avec mutuelle de son employeur à 300% (mutuelle moyenne), 46, 16 et 36 avec de volumineuses caries juxta-pulpaires.

1. TR/IC/CCM
Honoraires 90+380+360=830€ (×3=2490€)
Coût labo 155€ (×3=465€)
CA labo déduit 2025€
Reste à charge pour le patient: 50€×3= 150€
Temps de réalisation total: 4 heures
CA horaire labo déduit: 505€


2. CCC sur dent vivante
Honoraires 41+ 530= 581€ (×3=1743€)
Coût labo 130€ (×3=390€)
CA labo déduit 1353€
Reste à charge pour le patient 207,5×3=622,5€
Temps de réalisation total: 0 minutes car le patient ne fait pas son traitement
CA horaire 0€

C'est moins rentable en ZRR la prothèse sur dent vivante les gars.
Essayez... ;-)

Vous allez me demander pourquoi la céramique sur dent vivante est à 530 et la ccm sur IC est à 360.
Parce que si ma ccc sur dent vivante était aussi à 360, j'aurais fermé mon cabinet depuis longtemps par absence de rentabilité et parce que si ma Ccm sur IC était à 530, il aurait fermé faute de patients; c'est d'ailleurs pour cela que la vôtre est à 580 (Olivier) et 650. ;-)


G-P

07/11/2013 à 23h36

C'est pas toi qui disait que c'était deux indications différentes ?

Ah si
uɹöɾq écrivait:
---------------

> Pourquoi comparer deux traitements qui n'ont pas les mêmes indications? ;-)

Comment peux-tu proposer deux traitements qui ont des indications différentes au même patient ?


Logo qw3xdt - Eugenol
ĐĐS

07/11/2013 à 23h37

uɹöɾq écrivait:
---------------
> Petit cas clinique réel:
> patient de 28 ans , smicard, deux enfants, avec mutuelle de son employeur à 300%
> (mutuelle moyenne), 46, 16 et 36 avec de volumineuses caries juxta-pulpaires.
>
> 1. TR/IC/CCM
> Honoraires 90+380+360=830€ (×3=2490€)
> Coût labo 155€ (×3=465€)
> CA labo déduit 2025€
> Reste à charge pour le patient: 50€×3= 150€
> Temps de réalisation total: 4 heures
> CA horaire labo déduit: 505€
>
>
> 2. CCC sur dent vivante
> Honoraires 41+ 530= 581€ (×3=1743€)
> Coût labo 130€ (×3=390€)
> CA labo déduit 1353€
> Reste à charge pour le patient 207,5×3=622,5€
> Temps de réalisation total: 0 minutes car le patient ne fait pas son traitement
> CA horaire 0€
>
> C'est moins rentable en ZRR la prothèse sur dent vivante les gars.
> Essayez... ;-)
>
> Vous allez me demander pourquoi la céramique sur dent vivante est à 530 et la
> ccm sur IC est à 360.
> Parce que si ma ccc sur dent vivante était aussi à 360, j'aurais fermé mon
> cabinet depuis longtemps par absence de rentabilité et parce que si ma Ccm sur
> IC était à 530, il aurait fermé faute de patients; c'est d'ailleurs pour cela
> que la vôtre est à 580 (Olivier) et 650. ;-)


En réalité, peut-être que les 2 peuvent fonctionner.
Perso je suis passé du premier cas au second, et mes acceptations de devis n'ont pas pour autant baissées.
Il y a évidemment des patients qui se font soigner ailleurs, je l'avoue (comme partout).
Mais ça ne m'empêche pas pour autant de fonctionner.

NB: le cas que tu décris, smicard avec 2 enfants à normalement droit à la CMU, de mémoire.

--
Normal is not something to aspire to, it's something to get away from...


uɹöɾq

08/11/2013 à 00h32

G-P écrivait:
-------------
> C'est pas toi qui disait que c'était deux indications différentes ?
>
> Ah si
> uɹöɾq écrivait:
> ---------------
>
> > Pourquoi comparer deux traitements qui n'ont pas les mêmes indications? ;-)
>
> Comment peux-tu proposer deux traitements qui ont des indications différentes au
> même patient ?

Non, je répète simplement ce que dit Olivier lorsqu'on avance que se passer d'un SPR 57 est suicidaire: ce ne sont pas les mêmes indications.
Paradoxalement, il écrit dans la présentation de sa formation:
------------------
> • Comparaison Traitement pulpée / dépulpée:
> -...
> - d’un point de vue financier.

C'est lui qui compare ici la rentabilité de deux traitements d'indications différentes.


King lcqqit - Eugenol
King of PAP

08/11/2013 à 07h03

@björn:
C'est quand les mutuelles vont plafonner les remboursements d'IC que tu fermera ton cabinet. D'ailleurs elles ont déjà commencé.


003 penrd2 - Eugenol
Cingulum

08/11/2013 à 09h46

Je l'expose dans la formation car comme tu viens le démontrer la question se pose dans la tête des praticiens, pas dans la mienne.

C'est drôle que tu mettes le taux de remboursement de la mutuelle ... tu le demandes à tes patients avant de proposer un plan de traitement ?

Personnellement mes couronnes sont toutes les mêmes (Emax stratifiée) et qu'elles soient sur dent vivante, ou faux moignon, ou sc33 elles ont le même prix...

Je ne fait pas de plan de traitement ni d'honoraire en fonction des remboursement des patients ... mais ça doit être ça que tu appelles "vendre" ... ^^



--
Dr Cingulum
-----Ancien interné----
----Attaché à l'apex----
http://www.clinic-all.fr/ formation par passion


12