Cookie Consent byPrivacyPolicies.comPremier cas de greffe "epthelio-conjonctive" au mucograft - Eugenol

Premier cas de greffe "epthelio-conjonctive" au mucograft

Android jyzura - Eugenol
Tavéca

07/11/2013 à 14h58

Et d'ailleurs comment on la nomme dans ce cas cette greffe?
Sinon c'est plus rapide, moins douloureux, j'attends maintenant la cicatrisation complète.
Mais c'est aussi plus chère!

1 ihzwia - Eugenol
3 wzuodp - Eugenol
4 bz3gwx - Eugenol
2 cgwstv - Eugenol

G-P

07/11/2013 à 15h37

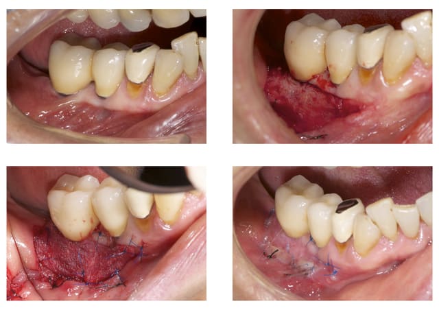
Joli boulot. La dernière photo est combien de temps après la chirurgie ?


Android jyzura - Eugenol
Tavéca

07/11/2013 à 15h47

G-P écrivait:
-------------
> Joli boulot. La dernière photo est combien de temps après la chirurgie ?

Merci.
15 jours après, lors du retrait des sutures.


Mario ycg44a - Eugenol
Mario180

08/11/2013 à 00h37

Intéressant, merci pour la partage.

Tu nous diras si tu es satisfait sur le long terme.


Icon poker h4nm2d - Eugenol
jeff

08/11/2013 à 14h19

c'est pas flagrant sur la photo 2. Tu es en épaisseur totale ou partielle ?

j'ai en stock une boite de mucoderme de TLBM. On peut l'utiliser dans la meme indication, ou juste enfoui comme un conjonctif ?


Android jyzura - Eugenol
Tavéca

08/11/2013 à 15h05

jeff écrivait:
--------------
> c'est pas flagrant sur la photo 2. Tu es en épaisseur totale ou partielle ?

Partielle.

> j'ai en stock une boite de mucoderme de TLBM. On peut l'utiliser dans la meme
> indication, ou juste enfoui comme un conjonctif ?

Désolé, mais je ne sais pas ne connaissant pas le mucoderm.
Mais vu que c'est une matrice collagenique, j'aurais tendance a dire oui.


Android jyzura - Eugenol
Tavéca

07/07/2014 à 14h52

Bon ben j'ai essayé, mais je ne le referai plus.
Résultat décevant.
Est-ce du fait de mon intervention ou du matériaux. J'ai tendance a croire que c'est plutôt à cause du mucograft.

01 wo4vze - Eugenol

Ulysse 31 nono le petit robot tjdbmb - Eugenol
ptitrobot

07/07/2014 à 17h35

Tavéca écrivait:
----------------
> Bon ben j'ai essayé, mais je ne le referai plus.
> Résultat décevant.
> Est-ce du fait de mon intervention ou du matériaux. J'ai tendance a croire que
> c'est plutôt à cause du mucograft.

J'ai aussi testé ainsi que le Mucoderm; dans les deux cas les résultats sont magnifiques à court terme et décevants sur le long terme...

Lors de la conférence d'Olivier à Paris, ce dernier avec DrMarcus avaient confirmé la chose ..

L'une des causes selon eux serait qu'il ne faudrait pas comprimer le "greffon" lors de la pose, ce qui est assez difficile à éviter lors des sutures ...


Android jyzura - Eugenol
Tavéca

07/07/2014 à 17h41

ptitrobot écrivait:
-------------------

> J'ai aussi testé ainsi que le Mucoderm; dans les deux cas les résultats sont
> magnifiques à court terme et décevants sur le long terme...
>
> Lors de la conférence d'Olivier à Paris, ce dernier avec DrMarcus avaient
> confirmé la chose ..
>
> L'une des causes selon eux serait qu'il ne faudrait pas comprimer le "greffon"
> lors de la pose, ce qui est assez difficile à éviter lors des sutures ...

Merci pour le feedback.


2013 03 05 16.04 - Eugenol
styves

21/07/2014 à 16h56

le résultat n'est pas si nul,surtout vu les contraintes opératoires en mandibulaire postérieur


baroud69

21/07/2014 à 17h09

D'où l'interet de mieux préparer la gencive attachée avant l'implantation on s'évite des ennuis :p