Cookie Consent byPrivacyPolicies.comCas clinique. - Eugenol
120 81 mdkvjo - Eugenol
Monaco

10/11/2013 à 19h23

Patiente de 12 ans et 10 mois, hispanique, son motif de consultation : "I have bucked teeth" c'est à dire qu'elle trouve (et ses parents avec) que ses incisives supérieures sont "en avant".

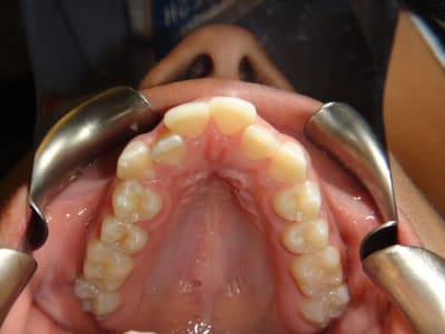
Openbite antérieur de 5mm.
Overjet 3mm
Crossbite latéral gauche.
Encombrement maxillaire de 6mm
Encombrement mandibulaire de 2/3 mm.
Déviation des milieux à gauche de 2mm.

Bolton donne un excès mandibulaire pour les rapports 3-3 (0.15mm) et le 6-6 (0.4mm).

Voilà, des avis ? plan de traitement ?

Je vous laisse jouer.
Pour info, j'ai pas de progression du cas donc j'espère juste avoir des avis différents et ou comparer avec ce qu'on a choisi en clinique !

Qalla 22 kknqcg - Eugenol
Dsc01042 lv8u88 - Eugenol
Bjb jpi9ck - Eugenol
Dsc01031 txfum7 - Eugenol
Dsc01033 kixrbv - Eugenol
Dsc01036 m9zcwd - Eugenol
Dsc01038 pkwv2a - Eugenol
Dsc01039 fycrtg - Eugenol
Dsc01040 uvajzf - Eugenol
11 wsqlmh - Eugenol
Pllll l7ftm9 - Eugenol
Cvm noo7dp - Eugenol
Dsc01037 hp58ic - Eugenol

Erasmus2 n92rjx - Eugenol
Lancel

10/11/2013 à 19h39

la déglutition c'est comment?


120 81 mdkvjo - Eugenol
Monaco

10/11/2013 à 19h45

Pas de déglutition atypique ou d'interposition du pouce ou autre.


Img 5097 lxchd7 - Eugenol
Queixal

10/11/2013 à 20h45

Je ne suis pas odf, mais la beance, le manque d'expansion du maxilaire sup, et la langue qui fait coucou sur plusieurs de tes fotos me fait aussi penser a un probléme fonctionel par de degution atipique.


doagui

10/11/2013 à 21h07

Je vote pour également.

De plus, vue la forme du palais et le sinus frontal peu développé, il y a aussi une ventilation orale au moins partielle, associée à une langue basse.

Si on regarde que les arcades dentaires, il semble y avoir la place pour ranger tout le monde si on fait de l'expansion transversale, du stripping et qu'on choisit une forme d'arcade bien plus arrondie en antérieur. Il faudra surement pas mal de stripping, mais puisque les dents sont hyper larges au maxillaire ça ne pose pas de souci. Le véritable souci c'est l'esthétique labiale : vue le profil on voudrait reculer les incisives, pas sur que ça soit possible à moins d'extraire les 4 (mais dans ce cas on rétrécit le palais, ça fait des sourires vilains avec des zones noires sur les cotés et surtout ça complique la rééducation linguale et respiratoire, donc je suis pas trop pour).

Bref, à mon avis tu peux tout gérer sans extractions, mais elle va garder ses lèvres gigantesques... Ceci dit peut etre qu'en ajoutant une petit génioplastie là dessus on pourrait pas mal améliorer le profil ?


120 81 mdkvjo - Eugenol
Monaco

10/11/2013 à 22h01

N'ayant pas vu la patiente moi même pour la première consult je me fie au dossier.
Néanmoins, je suis d'accord avec vous, la langue semble faire coucou, et elle présente un faciès adénoïdien type respirateur buccal : dolichocéphale, yeux cernés, palais étroit, hyperdivergence..

Ce sera pris en compte dans le plan de traitement.


120 81 mdkvjo - Eugenol
Monaco

12/11/2013 à 17h56

Ok donc je lance le plan de traitement :

Consult avec ortophoniste
Separateurs
Bagues molaires sur les 6 et 4 en haut + Rapid Palatal Expander avec posterior bite plate et grille antilangue
Bagues sur 6 en bas
On place des brackets sur l'ensemble sauf les 4.
Exo des 4 haut et bas.
Alignement, nivellement en 016Niti, 16*22Niti 17*22SS
En SS mettre une courbe de spee inversée en haut.
Fermeture d'espaces en 19*22SS avec elastiques class 2 et classe 1 mécannique ensuite.
Finition, box elastiques antérieurs.
Contention


Capture ddc6bm - Eugenol
sumble

12/11/2013 à 23h55

Question très simple d'un non spécialiste ODF.

Pour quelle raison cette bouche a cette forme?


120 81 mdkvjo - Eugenol
Monaco

13/11/2013 à 04h00

Facteurs génétiques hérités.
C'est très connu pour les classes III, il y a des études de publiées sur les béances (openbites) également.
Mais dans le cas des béances, les parafonctions telles que la déglutition atypique ou la succion du pouce ou d'un objet sont souvent incriminés et tendent à exercer une pression sur les dents antérieures supérieures et de ce fait créent la béance.


Capture ddc6bm - Eugenol
sumble

13/11/2013 à 08h50

Le développement de la bouche n'est pas sous la dépendance des fonctions oro-faciales?

Par exemple le sinus et les fosses nasales. Du très peu que j'ai retenu des cours ODF, l'air est considérée comme une matrice permettant leur développement; la pneumatisation du sinus maxillaire (quasi inexistant à la naissance) étant possible grâce à la ventilation nasale.


120 81 mdkvjo - Eugenol
Monaco

13/11/2013 à 15h32

Si tout à fait !
C est la theorie fonctionnelle matricielle.


Capture ddc6bm - Eugenol
sumble

13/11/2013 à 21h12

Ce que je vois chez ta patiente c'est:
-dysfonctionnement de la déglutition
-dysfonctionnement de la ventilation nasale
-dysfonctionnement de la mastication: semblerait ici un fonctionnement à gauche (condyle G plus développé + déviation milieu à gauche). Si tu fais les latéralités je ne serais pas surpris que l'AFMP gauche soit plus petit.

Je me demande:
1. comment éviter les récidives si cela n'est pas corrigé?
2. quelle utilité d'extraire les prémolaires?


120 81 mdkvjo - Eugenol
Monaco

14/11/2013 à 02h28

La pérennité du traitement passe par une rééducation chez l'orthophoniste, speech therapist comme ils disent ici.
+ on Prévoit une contention par un Hawley avec un postérior bite plate pour le maxillaire.

Pourquoi extraire les 4 prémos ?
Si tu regardes les photos et l'analyse, elle est classe II squelettique ( ANB de 7) avec une grosse protrusion et proclinaison des incicives inférieures (ItoNB= 10.2 et ItoNB en degrés= 34.1).
Ca donne un profil très "BiMax". De plus elle est classe 1 molaires et canines en haut et en bas.
Du coup l'extraction des 4 premieres prémos est envisagée.
D'autant qu'extraire aide à fermer l'openbite.

MAIS, on va faire l'expansion avec le RPE d'abord, on analysera ensuite l'espace gagné.

(Désolé , j'emploie des termes anglais, j'essaie pas de me la péter.. c'est juste que j'ai aucune idée des traductions françaises ;-) )


Dental community

11/01/2014 à 21h16

Bravo photos de bonne qualité,
-A première vu
-Rééducation fonctionnelle de la langue, positionnement, Examen ORL, respiration, végétations amygdales, allergies etc, rétablir une respiration buccale
-Correction du sens transversale, Quad hélix , ou disjoncteur
-Openbite , Biproalveolié , DDM, hyper divergent , je suis pour l’extraction des 4 premières prémolaires
-Techniques multibagues bi maxillaires .
-Contention fixe
Enveloppe nocturne linguale


Ylfwcw979cz1jnx9gfqeaxndiuzk - Eugenol
Algi

12/01/2014 à 17h51

Ce qui me tue c'est les certitudes énoncées. Ce sera donc extraction de 4 prémolaires. Et pourtant Sumble vous en a donné des pistes.....

Et si on tentait rééducation fonctionnelle, qu'on attende un peu et qu'on réévalue?

Ah oui, faut pouvoir tout planifier et faire vite, j'oubliais.
--
On a toujours le choix mais entre quoi et quoi?
Vas-y boulégue et l'avenir te le dira!


120 81 mdkvjo - Eugenol
Monaco

12/01/2014 à 18h44

Algi écrivait:
--------------
> Ce qui me tue c'est les certitudes énoncées. Ce sera donc extraction de 4
> prémolaires. Et pourtant Sumble vous en a donné des pistes.....
>
> Et si on tentait rééducation fonctionnelle, qu'on attende un peu et qu'on
> réévalue?
>
> Ah oui, faut pouvoir tout planifier et faire vite, j'oubliais.
> --
> On a toujours le choix mais entre quoi et quoi?
> Vas-y boulégue et l'avenir te le dira!


Aucune certitude. Relis moi, je parle d'envisager des exos.
On va faire de l'expansion avec un RPE ensuite on avisera.
Cependant la patiente a un profil convexe et protrusion incisive, openbite et hyperdivergence donc oui les avulsions sont définitivement une option sérieuse.


Dental community

12/01/2014 à 19h27

Le choix des extractions n'est pas une décision à prendre à la légère ;

On ne le répète pas assez , régler les problèmes fonctionnelle est une évidence , on connait le problème mais la solution n'est pas toujours à la hauteur , exemple , un respirateur buccale( causes allergies) rien à faire à part les médicaments , (déviation de la cloison) faut opérer , il faut que le patient l'accepte , macroglossie il faut faire une glossectomie etc

Pour les extractions :
La balance des points pour et contre se penche vers les extractions :
-Hyperdivergent
-profil biprotusion
- Vestibuloversion des incisives
-Dysharmonie dento-maxillaire etc ...
Cordialement


Dental community

12/01/2014 à 19h31

Regardez ces cas interessants: classe biproalveolie


http://orthofree.com/fr/default.asp?menuID=322&contentID=2518

http://orthofree.com/fr/default.asp?menuID=322&contentID=2515

@+


120 81 mdkvjo - Eugenol
Monaco

12/01/2014 à 19h56

Nous avons donc le même point de vue.


house

21/02/2014 à 01h57

Jolies photos !

Plutôt contre des extractions chez cette patiente:

-extraire pour reculer les lèvres : son profil lui va bien, c'est une bipro ethnique , elle n'a que 12 ans, pensez à l'effet du vieillissement sur son visage
- extraire pour diminuer la divergence faciale est un vieux concept ( ce serait plutôt 35/45 d'ailleurs) qui n'a aucun fondement scientifique
- extraire pour repositionner l'incisive : son IMPA doit être aux environ de 95....

J'opterai plutôt pour :
-en 1ère intention : disjonction suivie d'une rééducation (en contention de la disjonction, un ELN pourrait faire l'affaire )
- en 2nde intention : lors de la phase MB, mette en place un transpalatin et un arc lingual avec des minivis en vestibulaire entre 5 et 6 : les vis maxillaires vont ingresser l'arcade maxillaire ( il a assez de gencive attachée) , les vis mandibulaires vont maintenir l'ancrage vertical , ce qui en période de croissance mandibulaire va permettre de contrôler le schéma facial de ta patiente ( cf l'ouvrage d'ellouze et darque ) et de fermer très vite ta béance


Cilou

23/03/2014 à 01h21

Bonjour,

bravo pour la qualité des documents.
Pour cette patiente, tout dépend de sa demande, mais je pense pas qu'elle soit gênée par sa biprocheilie (qui me parait tout à faire ok...)

Ce que je ferais :
- avis ORL pour la ventilation (cloison)
- rééducation ventilation (qui me parait au moins mixte, mais sans examen, c'est flou)
- Expansion maxillaire
- Réeducation déglutition
- Une fois les fonctions stabilisées, réévaluation
- Alignement et fermeture béance (selon la rééval, mais si c'est fonctionnel, ça me parait pas insurmontable de corriger sa béance) avec collage des boitiers.
- Reeducation mastication, contention avec surveillance des fonctions ++

Cas sympa, à mon avis, sans extraction.

Merci pour le cas clinique

--
Orthodontiste sympa