Cookie Consent byPrivacyPolicies.comIncisive mal barrée ! - Eugenol

Incisive mal barrée !

1309531 ours brun n5iukf - Eugenol
seespan

14/12/2013 à 02h47

Différent article

Le quatrième fichier est ce que j'ai trouvé de plus proche mais il n'y a pas de perte vertical de gencive équivalente a votre cas.
Le dernier est assez proche aussi

Par contre ce ne sont que des case report, tout les études plus solides ont étaient réalisé sur animales.

--
หมอจัดฟัน


Mario ycg44a - Eugenol
Mario180

14/12/2013 à 15h24

A part ça, le patient, il donne quel cahier des charges ?

J'ai quelques carences pour obtenir l'acceptation de tel plans de traitement. Le patient devait être très bien depuis des années avec cette dent, et est habitué à sa "tronche". Acceptera-t-il des années de traitement et un changement de faciès à son âge ?

Au minimum, ça n'empêche pas de réfléchir sur son cas ;)


Icon poker h4nm2d - Eugenol
jeff

14/12/2013 à 17h26

Il m'est adressé pour le problème de la 21. Quand il est revenu pour le devis, j'ai botté en touche en demandant d'autre examen (télé ) + re photo. Il est devenu beaucoup inquiet pour sa dent depuis qu'il a vu sur le cône beam le degré d'atteinte osseuse . Là, il attend que je le recontacte.

Alors, pourquoi pas un traitement type OSB, avec augmentation de DV et reconstruction postérieur .

Un très gros chantier, pour un problème local : pas facile à faire passer.

Au fait, seepań tu ne m'a pas dit ce que tu pensais de mon schéma de bio mécanique . C'est si nul que ça ?


1 eugenol dmj5np - Eugenol
Dancha

16/12/2013 à 20h47

Amibien écrivait:
-----------------
> lever la supracclusion, la bonne blague... il faut faire avec...

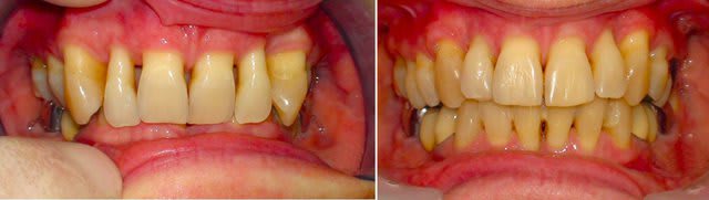
Pas du tout, on peut tout à fait la corriger.
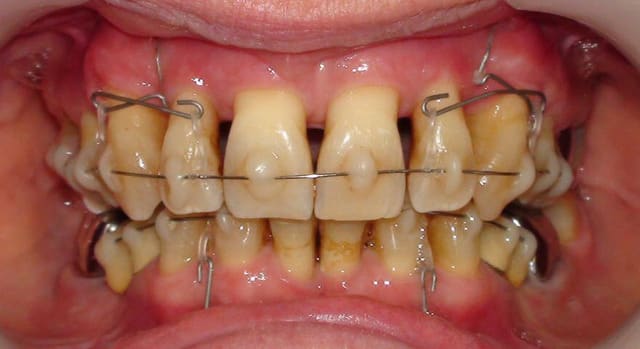
En voici un exemple, c'est un traitement que j'ai réalisé il y a quelques années chez un adulte de 53 ans..
On discutera un peu plus tard des solutions proposées par notre ami Seespan, ce soir je n'ai pas le temps.

Daniel

10b wobpar - Eugenol
08a bis hy5bh4 - Eugenol

1309531 ours brun n5iukf - Eugenol
seespan

17/12/2013 à 01h59

Et c'était exactement le cas auquel je pensais :-)

--
หมอจัดฟัน


1 eugenol dmj5np - Eugenol
Dancha

17/12/2013 à 13h39

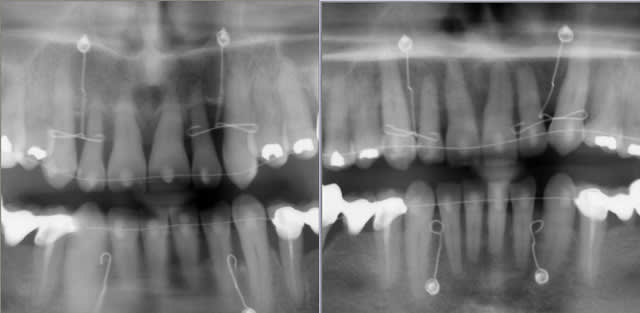
Ce qui est intéressant dans ce cas, c'est que l'ingression s'est accompagnée d'un recul radiculaire des incisives non explicable par la mécanique utilisée (très simple par ailleurs).
Le fil que j'avais utilisé était rond, ce n'est pas lui qui a pu reculer les racines.
Ce n'est pas non plus l'effet de la direction de la force d'ingression, comme je le montre sur le schéma. On aurait dû avoir une vestibuloversion coronaire pas un recul des apex. Le centre de résistance de la dent était très haut parce qu'il y avait un support osseux très réduit.
Il faut donc chercher ailleurs l'explication, et c'est là qu'on pourrait faire un parallèle avec le cas de Jeff…

Daniel

10c bmtgpv - Eugenol
11 bis h1e3wa - Eugenol

1309531 ours brun n5iukf - Eugenol
seespan

17/12/2013 à 14h19


Juste une question sur le dernier cas,
pourquoi ne pas avoir utiliser votre système au niveau des processus zygomatique pour ancrer un fil élastique enfin de bloquer la position des couronnes dans le sens antéro postérieur ?

Vous aviez publier un cas avec ce type de mécanique.

--
หมอจัดฟัน


Icon poker h4nm2d - Eugenol
jeff

18/12/2013 à 11h26

Daniel, tres bonne illustration que la levé de supra est possible. Comment gerer l'edentation 21 ?

plaque amovible ? Bk avec arc rigide et prov sur l'arc, pendant la levé de supra ?

Faut il faire la greffe osseuse ( boxtechnique, augmentation horizontale et verticale ), avant la levé de supra ?


Ylfwcw979cz1jnx9gfqeaxndiuzk - Eugenol
Algi

18/12/2013 à 11h33

Selon moi il y a un manque de hauteur en posterieur mais faut faire gaffe à pas avoir "en plus" une descente du bloc incisivo canin sup.

Dans tous les cas, vu l'oclusion, poser un implant va pas être simple (hors souci de support osseux) car il va mordre sur la vis de cicatrisation (et encore si on peut en caser une) faut donc remonter en postérieur, je dirais en bas à la louche.

Quid des masseters? Il serrerait pas un peu, des fois?

Donc jeff (et je sais c'est dans tes cordes) cales posterieures en bas, collées ou amovibles, donne lui de la place.

Si il est partant je proposerais des pistes de planas ou un activateur couplé aux cales afin de redonner une dv plus correcte.
Interessant aussi pour l'amener à changer de fonctionnement (et là aussi jeff tu sais de quoi je parle)

Faudra evidemment virer la dent et songer à la remplacer mais si y'a pas de place y'a pas de place ni pour implant ni pour bridge....

Si anterieures sup trop "descendues" ben faudra les remonter, avec orthoclonic (ortho mobile dérivée de planas, prometteur pour ce qu'en j'en ai vu mais j'en suis à l'étude eventuelle de ce genre de solutions) ou "à la dancha".

--
On a toujours le choix mais entre quoi et quoi?
Vas-y boulégue et l'avenir te le dira!


1 eugenol dmj5np - Eugenol
Dancha

19/12/2013 à 18h25

Ce que j’ai voulu monter avec le cas d’ingression c’est l’action méconnue de l’orbiculaire des lèvres. Je ne vois pas d’autre explication à ce recul des apex qu’une pression de sa part sur la corticale vestibulaire et un « glissement » de la racine le long de cette corticale.
À rapprocher de l’importante fenestration qu’on peut observer sur son cas à toi.
Ce résultat ne pouvait d’autre part avoir lieu qu’en laissant les dents s’orienter toutes seules et donc en proscrivant tout système traditionnel qui cherche à contrôler les racines. C’est tout l’intérêt des danchamons qui donnent de la liberté aux dents tout en leur indiquant une direction avec des forces très légères, applicables même dans des cas paro très dégradés...

Pour répondre à la question de Seespan, une traction en direction des apophyses zygomatiques n’était pas l’idéal pour ingresser les canines supérieures. J’ai préféré prendre appui de chaque coté de l’orifice piriforme avec un système « libellule » à double tractions verticales, une en distal des canines, une entre centrales et latérales.
Pour répondre à ta question, Jeff, collage de sa couronne directement sur 11 et 22. Greffe osseuse avant ou après levée de la supra ? Après, on pourrait effectivement amener de l’os d’une manière orthodontique en déplaçant soit l’incisive centrale soit l’incisive latérale. J'ai des cas, mais chez des adolescents. On en reparlera.
À suivre..

Daniel


Icon poker h4nm2d - Eugenol
jeff

19/12/2013 à 20h02

Très bonne idée , le collage de la couronne du patient en provisoire. Si tu le proposes, c'est que je suppose le fait d'avoir un bloc rigide 11 21 22 n'empêchera pas l'ingression.

Je ne vois pas bien comment ta libellule exerce la traction en deux point. Je vais essayer de retrouver dans mon ordi ton article de 2011 que j'avais acheté à edp science il y'a quelques temps déjà.

Mon schéma de bio mécanique en page 1 de ce post n'est pas bon pour expliquer le recul de l'apex ?

Bon, je commence à avoir la vision de ce que je vais faire ...

Combien de temps de traitement pour l'ingression ?


1 eugenol dmj5np - Eugenol
Dancha

20/12/2013 à 13h35

jeff écrivait:
--------------
>
> Je ne vois pas bien comment ta libellule exerce la traction en deux point. Je
> vais essayer de retrouver dans mon ordi ton article de 2011 que j'avais acheté
> à edp science il y'a quelques temps déjà.

Voici une images plus explicite. Je crois que les libellules ne sont pas décrites dans l'article que tu cites mais elles le sont d’une manière succincte dans celui que j'ai publié en septembre dernier dans "L'Orthodontie Française". Donne-moi en MP tes coordonnées et je t‘enverrai par mail une planche explicative de leur fabrication, celle qu’on donne quand on fait des TP.

> Mon schéma de bio mécanique en page 1 de ce post n'est pas bon pour expliquer
> le recul de l'apex ?

Si, sauf que ton centre de résistance me semble un peu bas, mais surtout que cela impose un fil excessivement rigide bloqué au niveau molaires pour empêcher la vestibuloversion coronaire. Dans le cas que j’ai montré, le fil était très fin, en NiTi .012 (0,3mm).

> Combien de temps de traitement pour l'ingression ?

Il te faut ici également ingresser le bas. Je pense qu’on pourrait tabler sur une durée approximative d’un an. Je donnerais au patient une fourchette de 9 à 18 mois.

Daniel

06b bis kitavy - Eugenol

Icon poker h4nm2d - Eugenol
jeff

20/12/2013 à 14h04

merci daniel, c'est tres clair. je voyais la libélule comme un ressort TMA d'ingression, alors que c'est plus un support pour les chainettes, qui sont donc la force intrusive.


1 eugenol dmj5np - Eugenol
Dancha

20/12/2013 à 15h10

Pas tout à fait..
À l’arcade supérieure, la force d’ingression était donnée uniquement par le ressort TMA en forme de libellule, les chaînettes servant uniquement de liaison. Celles-ci ont été utilisées par facilité, nous aurions tout autant pu employer des ligatures métalliques que nous aurions changées ou raccourcies au fur et à mesure de l’ingression. Le ressort lui-même n’a pas eu besoin d’être réactivé.
À l’arcade inférieure, ce sont les chaînettes elles-mêmes qui ont fourni les forces d’ingression.

Daniel


S2y2o1v7q53ws4r5wy6ou8czrpom - Eugenol
pxav

20/12/2013 à 15h13

finalement, l'ortho, ça a du bon:-))
Pour ma part, avec me plans de traitements "buldozer", je ne propose pas d'implant, dans un premier temps, ni de bridge antérieur, avant d'avoir stabilisé le plans postérieurs.


--
xbk
"Si tous ceux qui croient avoir raison n'avaient pas tort, la vérité ne serait pas loin" Dac Pierre


S2y2o1v7q53ws4r5wy6ou8czrpom - Eugenol
pxav

20/12/2013 à 15h18

je ne suis même pas sur qu'il faille la virer cette 21, si ça se trouve elle est bien ancrée, même sans support vestibulaire.
--
xbk
"Si tous ceux qui croient avoir raison n'avaient pas tort, la vérité ne serait pas loin" Dac Pierre


Index vakr2r - Eugenol
pgc

20/12/2013 à 15h46

Daniel tes traitements sont complètement bluffants.
Chapeau!


Icon poker h4nm2d - Eugenol
jeff

20/12/2013 à 17h51

pxav écrivait:
--------------
> je ne suis même pas sur qu'il faille la virer cette 21, si ça se trouve elle est
> bien ancrée, même sans support vestibulaire.


pxav, je t'invite a revoir le scan en premier post :)


S2y2o1v7q53ws4r5wy6ou8czrpom - Eugenol
pxav

20/12/2013 à 20h38

jeff écrivait:
--------------

> pxav, je t'invite a revoir le scan en premier post :)

Oupps, j'aurais du dire "je ne suis même pas sur qu'il faille la virer IMMÉDIATEMENT, cette 21, si ça se trouve elle est bien ancrée, même sans support vestibulaire.

Bien sur le scan dit le contraire, mais il ne montre pas non plus, la voie pour l'implanto...

--
xbk
"Si tous ceux qui croient avoir raison n'avaient pas tort, la vérité ne serait pas loin" Dac Pierre


Icon poker h4nm2d - Eugenol
jeff

20/12/2013 à 23h52

D'accord, je vois ce que tu veux dire. Mais peut on la laisser et faire l'ingression ?

C'est vrai, la première partie du traitement se décante . Pour la partie implanto, cela reste flou, même si je vois plutôt une box pdlla vestibulaire et palatine.


Blason dql7mj - Eugenol
growler

21/12/2013 à 07h50

salut jeff, après la levée de supra c'est l'architecture des tissus mous au niveau du déficit osseux qui va déterminer la possibilité de reconstruire la crête localement. Tu seras peut-être obligé de recourir à 2 ROG successives.

@+


S2y2o1v7q53ws4r5wy6ou8czrpom - Eugenol
pxav

21/12/2013 à 10h10

là c'est moi qui ne comprends pas, 2 rog successive, tu ne crois pas que la box (ou greffe, mais moins secur peut être), serait mieux?

--
xbk
"Si tous ceux qui croient avoir raison n'avaient pas tort, la vérité ne serait pas loin" Dac Pierre


Icon poker h4nm2d - Eugenol
jeff

21/12/2013 à 11h04

growler, c'est un peu ce que je crains. un effondrement complet de la gencive et l'impossiblité de reconstruire le volume osseux en une seule fois.


1 eugenol dmj5np - Eugenol
Dancha

21/12/2013 à 13h34

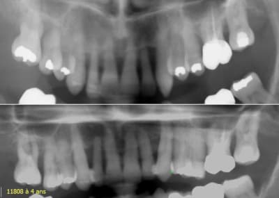
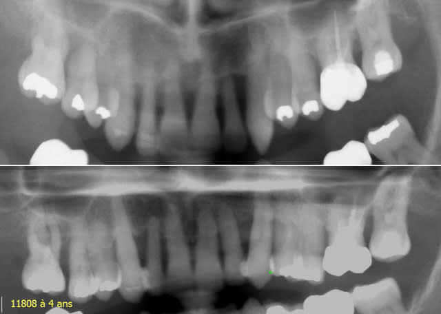
Toujours le même cas, observez la récupération osseuse obtenue, d'abord pendant le traitement puis à 4 ans.
Une ingression, ça change la donne !

Daniel

11808 4 ans zzy4cf - Eugenol
11808 10 11 26 pter i2iml2 - Eugenol

S2y2o1v7q53ws4r5wy6ou8czrpom - Eugenol
pxav

21/12/2013 à 13h49

C'est beaucoup plus intelligent et sympa pour le patient qu'extractions/implantions immédiate...
Merci de nous montrer ça.

--
xbk
"Si tous ceux qui croient avoir raison n'avaient pas tort, la vérité ne serait pas loin" Dac Pierre