Cookie Consent byPrivacyPolicies.comchoix technique endo - Eugenol

choix technique endo

John steed zstrsa - Eugenol
miaou1818

16/11/2013 à 17h08

bonjour

je souhaiterai connaitre les techniques les plus simples mais efficaces à mettre en oeuvre pour réaliser les traitements endodontiques

existe t-il des videos explicatives assez détaillées

merci de me conseiller


jeff13

16/11/2013 à 17h44

Bonjour,
reciproc r25
de rien
au revoir


Reciproc 25 (ou waveone)
cone reciproc 25
Mac spaden


--
Dentiste, tout seul dans son cabinet, qui ne peut juger qu’à partir de son vécu quotidien


4a338550 6a5b 47ea b2a7 d3cb675c5076 oni5gh - Eugenol
fistule69

17/11/2013 à 13h34

Reciproc R25 !
deblocage S1 protaper quand blocage
pastinjet micro mega bleu
cone R25

ET OUI J'AI TOUT VOLE A CHICOT29 !

Et ça marche très bien !

Actuellement 2000 roros chez DPI :-))))))))))))))))!


pontdemail

17/11/2013 à 19h17

fistule69 écrivait:
-------------------
> Reciproc R25 !
> deblocage S1 protaper quand blocage
> pastinjet micro mega bleu
> cone R25
>
> ET OUI J'AI TOUT VOLE A CHICOT29 !
>
> Et ça marche très bien !
>
> Actuellement 2000 roros chez DPI :-))))))))))))))))!

Le reciproc gold a 2000 euros? Ou le silver?


4a338550 6a5b 47ea b2a7 d3cb675c5076 oni5gh - Eugenol
fistule69

17/11/2013 à 19h28

1650€ le silver et 2090€ le gold sur le flyer DPI de l'ADF !
Bonne soirée


Images jm2g2g - Eugenol
dr_0le

17/11/2013 à 19h35

et le xsmart?? moins cher que le gold de vdw ..


pourri

17/11/2013 à 19h38

peut on utiliser des reciproc avec un tri auto zx?


youn

17/11/2013 à 19h52

fistule69 écrivait:
-------------------
> Reciproc R25 !
> deblocage S1 protaper quand blocage
> pastinjet micro mega bleu
> cone R25
>
> ET OUI J'AI TOUT VOLE A CHICOT29 !
>
> Et ça marche très bien !
>
> Actuellement 2000 roros chez DPI :-))))))))))))))))!

Pas de Thermo-consensation?


4a338550 6a5b 47ea b2a7 d3cb675c5076 oni5gh - Eugenol
fistule69

17/11/2013 à 20h21

Pourquoi condenser un cône parfaitement ajusté au canal ?
Mono cône, mais pas noyé dans la pâte, scellé sur toute sa longueur.


RépondreCiter
4a338550 6a5b 47ea b2a7 d3cb675c5076 oni5gh - Eugenol
fistule69

17/11/2013 à 20h23

Le reciproc dispose d'un mouvement de rotation spécifique, donc pas d'utilisation sur un tri auto zx, le dessin de la lime n'est pas l'unique avantage.


pourquoi thermo compacter :

-déjà pour essayer d'obturé les partie pas prépare de ton canal
- essayer de lutte contre les problèmes de calibration des cône calibré ( passe les dans un gabarit et tu rigolera)
- minimisé la quantité de ciment
- et pouvoir effecteur un acte dans la séance après l 'endo (essaie de desobturé un canal juste avec un monocone suite après ca mise en place ou essayer de réalisé une reconstitution ou une empreinte pour IC)
-ca prend 20 seconde par canal.


--
Dentiste, tout seul dans son cabinet, qui ne peut juger qu’à partir de son vécu quotidien


pontdemail

18/11/2013 à 13h26

fistule69 écrivait:
-------------------
> 1650€ le silver et 2090€ le gold sur le flyer DPI de l'ADF !
> Bonne soirée
Je ne retrouve pas cela sur leur site, la promo vaut juste pour l'adf peut-être?


Dentiste oa9i0v - Eugenol
DavierCrocket

18/11/2013 à 15h23

ok réciproc très bien;

mais (pour l'avoir eu en essai) vous gérez comment l'encombrement de l'instrument + des fils (moi c'est sur la tablette d'aspi et ça fait des noeuds);

quel gain de temps avez vous eu?


DavierCrocket écrivait:
-----------------------
> ok réciproc très bien;
>
> mais (pour l'avoir eu en essai) vous gérez comment l'encombrement de
> l'instrument + des fils (moi c'est sur la tablette d'aspi et ça fait des
> noeuds);
>
> quel gain de temps avez vous eu?


10 a 15 minutes je dirai comparré a s1 s2 f1 f2

--
Dentiste, tout seul dans son cabinet, qui ne peut juger qu’à partir de son vécu quotidien


Icon poker h4nm2d - Eugenol
jeff

18/11/2013 à 18h38

fistule69 écrivait:
-------------------
> Pourquoi condenser un cône parfaitement ajusté au canal ?


Cône rond dans un canal rond, ok, mais ovale, plat, en U, avec des canaux latéraux...


Pouetmaster

18/11/2013 à 18h43

pourri écrivait:
----------------
> peut on utiliser des reciproc avec un tri auto zx?

Malheureusement le mouvement de réciprocité n'existe pas sur ce système donc aucun intérêt !


4a338550 6a5b 47ea b2a7 d3cb675c5076 oni5gh - Eugenol
fistule69

18/11/2013 à 20h52

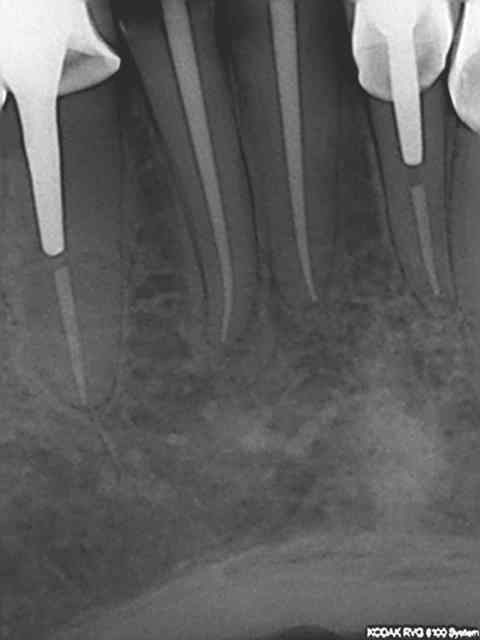
Regardez les endo de chicot29, mono cone et postez vos endo thermo et on compare !
Un canal en U en 8, à l'apex, ton canal est toujours un tube.
Canaux accessoires obturés par la pâte s'ils sont nettoyés par l'hypo.
Après chacun fait comme il veut.
Le mono cone à mauvaise réputation à l'époque d'un cone non homothétique noyé dans la pate.
Je fais du mono cone et je n'ai pas honte de mes endo.
Je ne mets pas la digue et j'assume.


pontdemail

18/11/2013 à 21h21

@fistule69: où a tu vu le prospectus de dpi pour le reciproc, sur leur site je ne retrouve pas ces tarifs ...


4a338550 6a5b 47ea b2a7 d3cb675c5076 oni5gh - Eugenol
fistule69

18/11/2013 à 22h03

Monet m'indique qu'il s'agirait d'une erreur typo 2990€ !
A vérifier !


Capture d  cran 2015 03 12 12.28 - Eugenol
chicot29

18/11/2013 à 22h14

fistule69 écrivait:
-------------------
> Regardez les endo de chicot29, mono cone et postez vos endo thermo et on compare
> !
> Un canal en U en 8, à l'apex, ton canal est toujours un tube.
> Canaux accessoires obturés par la pâte s'ils sont nettoyés par l'hypo.
> Après chacun fait comme il veut.
> Le mono cone à mauvaise réputation à l'époque d'un cone non homothétique noyé
> dans la pate.
> Je fais du mono cone et je n'ai pas honte de mes endo.
> Je ne mets pas la digue et j'assume.
>

Tu devrais mettre la digue au moins pour les molaires, tu gagnerais en confort et en rapidité.
Et effectivement un cone en 6 % n'a rien à voir avec un cone en 2%. L'efficacité tu la vois avec le temps, et un bon mono-cone scellé à l'apex donne des résultats plus que corrects. Je thermo-compacte au machtou quand je fais l'empreinte dans la séance de l'endo)))))

R1 c2o32p - Eugenol
R2 b6cnxj - Eugenol
R3 qrzatb - Eugenol
R4 dqlzan - Eugenol

Blue eye thumb medium dx1i0w - Eugenol
bill

18/11/2013 à 23h54

fistule69 écrivait:
-------------------
> 1650€ le silver et 2090€ le gold sur le flyer DPI de l'ADF !
> Bonne soirée


Oui probablement erreur typo sur le gold

Le silver était à 1549 et le gold à 2928 le mois dernier !!!

Pareil pour le x-smart plus (+ 100€), se foutent vraiment de notre gueule.

On augmente un petit coup pour l'adf, c'est le truc qui marche actuellement... ;-)

Sinon il y a ça qui a beaucoup baissé mais je pencherais encore pour l'erreur typo... :-)

http://www.comparadent.com/product.php?id_pdt=3517


pourri

21/11/2013 à 13h41

le x smart plus est il aussi adapté que le reciproc ?
promo à 1450!


santon

21/11/2013 à 16h52

Peut-on se servir des reciproc sur un
moteur Xsmart (pas plus) ?


387658 285645131467567 178493338849414 912435 1067789649 n e7hcpr - Eugenol
Djuls

21/11/2013 à 17h12

pourri écrivait:
----------------
> le x smart plus est il aussi adapté que le reciproc ?
> promo à 1450!

ça veut dire quoi adapté ?


12...