Cookie Consent byPrivacyPolicies.comchoix technique endo - Eugenol

choix technique endo

Capture d  cran 2015 03 12 12.28 - Eugenol
chicot29

31/12/2013 à 02h05

youn écrivait:
--------------..

> Là faut sérieusement arrêter et ouvrir un journal scientifique, il n'y a pas
> débat.

Ouais, faut arrêter surtout de nous prendre pour des cons. A 80 euros l'endo molaire je met la digue sur celles ci pour mon confort et pour plus de rapidité d' exécution. pas pour me faire mousser. Pour les autres un quart d'heure 20 mn de traitement avec un accès facile rien à battre. Qu'ils commencent à réévaluer ces actes, on verra après.


youn

31/12/2013 à 02h25

Marc Apap écrivait:
-------------------
> Je trouve au contraire que c'est intéressant.
> La digue n'est pas une réponse aux problèmes de l'endodontie, juste un moyen,
> quand elle est bien posée et étanche, de donner plus de chances de guérison.


Un moyen indispensable. Ca ne fait pas tout mais ça fait parti de TOUS les protocoles jugés efficaces. Ces bienfaits ne sont plus à démontrer.

Et je suis curieux des autres moyens proposés ci-dessus.


youn

31/12/2013 à 02h27

chicot29 écrivait:
------------------
> youn écrivait:
> --------------..
>
> > Là faut sérieusement arrêter et ouvrir un journal scientifique, il n'y a pas
> > débat.
>
> Ouais, faut arrêter surtout de nous prendre pour des cons. A 80 euros l'endo
> molaire je met la digue sur celles ci pour mon confort et pour plus de rapidité
> d' exécution. pas pour me faire mousser. Pour les autres un quart d'heure 20 mn
> de traitement avec un accès facile rien à battre. Qu'ils commencent à réévaluer
> ces actes, on verra après.

Ca ça se défend et c'est honnête, mais renier que c'est mieux avec que sans ce n'est pas la même chose. Ca nous fait passer pour des tocards.

Dire que étant donné qu'on le fait déjà à perte sans digue et en faisant une endo rapido, et que du coup on cherche à limiter les pertes n'est pas la même chose.


Capture d  cran 2015 03 12 12.28 - Eugenol
chicot29

31/12/2013 à 02h38

Une dentisterie sous digue c'est plus confort et évidemment plus de qualité. Mais vois tu le confort avec notre système communiste de santé au tarifs obscènes c'est pas tout à fait compatible avec le maintient à flot du cabinet. Je pourrais faire beaucoup mieux mais je ne me contente que du correct sans plus et ca ca me mine. Ce qui est abject, c'est qu'ils imposent en plus leurs tarifs de M...... un vernis de développement professionnel continu, histoire de dire que les dentistes se forment et donc que les soins sont au top.


Little shop of horrors brzqjx - Eugenol
chatondecarte

31/12/2013 à 11h24

chicot29 écrivait:
------------------
> Une dentisterie sous digue c'est plus confort et évidemment plus de qualité.
> Mais vois tu le confort avec notre système communiste de santé au tarifs
> obscènes c'est pas tout à fait compatible avec le maintient à flot du cabinet.
> Je pourrais faire beaucoup mieux mais je ne me contente que du correct sans plus
> et ca ca me mine. Ce qui est abject, c'est qu'ils imposent en plus leurs tarifs
> de M...... un vernis de développement professionnel continu, histoire de dire
> que les dentistes se forment et donc que les soins sont au top.


Si le système actuel perdure c'est que la majorité des praticiens jouent le jeu et s' adaptent au lieu de résister.

Au lieu de montrer qu'il est impossible de travailler dans ce système, on montre que c'est possible de dégager un bon revenu en s' adaptant à leurs règles.
Bien sûr on ne dira jamais qu'on génère notre revenu au détriment du patient car ça ne serait pas professionnel.

grâce à ça, le gouvernement et les médias voient des patients qui pensent être correctement soignés et des revenus corrects pour les dentistes. Pourquoi changer un système qui marche pour le remplacer par un système qui coûte plus cher?


Capture d  cran 2015 03 12 12.28 - Eugenol
chicot29

31/12/2013 à 11h46

Parce qu'on ne donne pas de la confiture à des cochons et qu'on a les hommes politiques qu'on mérite.
Un pays ou les pneumologues parcequ'ils gagnent mieux leur vie, sont plus mal vu que les pauvres buralistes frontaliers soumis à une concurrence déloyale , je dirais qu'il est foutu !
Maintenant si tu veux te sacrifier pour faire baisser la moyenne de nos revenus,ne te gènes pas.))))


youn

31/12/2013 à 13h17

Suffit d'attendre les départs massifs à la retraite, quand la profession rajeunira les bénéfices iront décroissants. La hausse de nos revenus est une illusion provoquée par le vieillissement moyen de la profession, les jeunes gagnent moins que leurs prédécesseurs au même âge en € constants, et ne parlons pas de pouvoir d'achat, ça a dû être divisé par deux au moins en 10 ans.


carident

31/12/2013 à 13h31

chatondecarte écrivait:
-----------------------

> Bien sûr on ne dira jamais qu'on génère notre revenu au détriment du patient car
> ça ne serait pas professionnel.
>
> grâce à ça, le gouvernement et les médias voient des patients qui pensent être
> correctement soignés et des revenus corrects pour les dentistes. Pourquoi
> changer un système qui marche pour le remplacer par un système qui coûte plus
> cher?

Le système pourrait coûter moins cher si les soins étaient d'emblée mieux fait, ou s'il y avait un peu plus de prévention. On pourrait se dire que cela coûte cher de prime abord, mais le fait est que sur le long terme ça n'est pas le cas...
Parce que j'imagine que les retraitements canalaires, les couronnes à déposer et à refaire au bout de 2 ou 3 ans seulement représentent aussi un coût non négligeable, non?


zazamouk

31/12/2013 à 13h54

carident écrivait:

> Le système pourrait coûter moins cher si les soins étaient d'emblée mieux fait,
> ou s'il y avait un peu plus de prévention. On pourrait se dire que cela coûte
> cher de prime abord, mais le fait est que sur le long terme ça n'est pas le
> cas...


Oui mais la sécu, les gouvernements et les mutuels ne voient que le bénéfice à court terme (élection, renouvellement Conseil administration dividende, bourse...)
Tout comme le patient qui trouve que plus de 500€ pour une dent blanche c'est bien trop...

Il n'y a que nous que pensons long terme et qualité des soins!


Capture d  cran 2015 03 12 12.28 - Eugenol
chicot29

06/01/2014 à 13h17

carident écrivait:
------------------
> chatondecarte écrivait:
> -----------------------
> > Comme il est dit dans un message précédant, on peut poser les implants en
> > milieux non stérile, tout comme on peut faire ses endo sans digue, dans 90%
> des
> > cas il n'y aura aucune conséquence.
> >
> > Mais ça viendrait à l'idée de quelqu’un de le faire pour les implants, et
> > surtout de s'en vanter?
> >
> > J'ai pas mis la digue en endo pendant mes 5 ans de collaboration. J'ai
> > dévitalisé une 36 à mon frère jumeau que j'ai couronné ensuite (j'aurais du
> > faire un inlay ou un compo mais à cette époque je couronnais toutes dents
> > dévitalisées. J'ai quand même évité l'inlay core...)
> >
> > Bref, un an plus tard 2 belles pêches tellement grosses que les maxillo du
> > service où il bosse affûtaient déjà les daviers...
> > J'ai repris l'endo avec digue ce coup ci et comme par hasard, guérison de la
> > lésion.
> >
> > Alors peut être que ça n'arrive que dans 3% des cas, mais pour celui à qui ça
> > arrive c'est 100% chiant surtout quand on connait les chance de succès d'une
> > reprise de traitement radiculaire quand y a des liaisons périapicales...
>
> Est-ce que ces deux belles pêches sont dues à l'absence de digue, ou à un
> traitement insuffisant?
> Est-ce que la guérison est due à l'utilisation de la digue, ou à un alésage plus
> important, une irrigation/désinfection plus efficace, et une obturation plus
> dense?

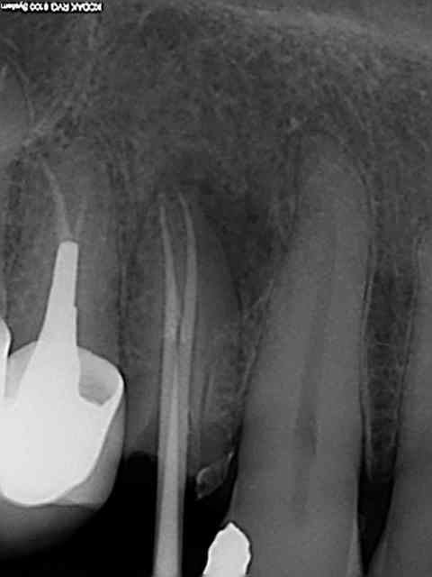
Bon je n'avais pas mis la digue sur cette 14 en 2009. A votre avis la peche en 2014 est elle due à ca ? Moralité toujours mettre de l'angulation dans les radios.

R1 xvv1dd - Eugenol
R2 fthwey - Eugenol
R3 px1og9 - Eugenol
R4 hrsn3n - Eugenol

Bebe 038 nf8eum - Eugenol
danteyeah

06/01/2014 à 18h57

Marc Apap écrivait:
-------------------
> J'aime bien l'expression "cramponner", plus jolie( mais plus longue) que
> l'anglicisme "clamper".
> Mais aussi "gingivectomie exsangue" qui est un vrai défi, pour ne pas dire un
> challenge.

Un outil très utile pour relever le "Chalenge" Marc, c'est le laser diode....ça marche, pas une goutte de sang et même pas mal (petite anesthésie muqueuse tout de même).

Img 2051 1  aoe9tb - Eugenol
Img 2050 1  buvj3c - Eugenol

choupette29

02/02/2014 à 15h11

vive l'endo à perte mais sous CCAM ! écrivait:
----------------------------------------------
> pourquoi thermo compacter :
>
> -déjà pour essayer d'obturé les partie pas prépare de ton canal
> - essayer de lutte contre les problèmes de calibration des cône calibré ( passe
> les dans un gabarit et tu rigolera)
> - minimisé la quantité de ciment
> - et pouvoir effecteur un acte dans la séance après l 'endo (essaie de desobturé
> un canal juste avec un monocone suite après ca mise en place ou essayer de
> réalisé une reconstitution ou une empreinte pour IC)
> -ca prend 20 seconde par canal.
>
>
> --
> Pourrais tu me donner ta technique avec le thermo condenseur,carj'ai tenté les n°25( jaune)
Et ce fut un échec, j'ai changé sens rotation du moteur, et fait un mouvement dscendant puis à la remonte, tt le cône est sorti, enroule autour de l'instrument.
--
Choupette


choupette29

02/02/2014 à 15h19

chicot29 écrivait:
------------------
> fistule69 écrivait:
> -------------------
> > Regardez les endo de chicot29, mono cone et postez vos endo thermo et on
> compare
> > !
> > Un canal en U en 8, à l'apex, ton canal est toujours un tube.
> > Canaux accessoires obturés par la pâte s'ils sont nettoyés par l'hypo.
> > Après chacun fait comme il veut.
> > Le mono cone à mauvaise réputation à l'époque d'un cone non homothétique noyé
> > dans la pate.
> > Je fais du mono cone et je n'ai pas honte de mes endo.
> > Je ne mets pas la digue et j'assume.
> >
>
> Tu devrais mettre la digue au moins pour les molaires, tu gagnerais en confort
> et en rapidité.
> Et effectivement un cone en 6 % n'a rien à voir avec un cone en 2%. L'efficacité
> tu la vois avec le temps, et un bon mono-cone scellé à l'apex donne des
> résultats plus que corrects. Je thermo-compacte au machtou quand je fais
> l'empreinte dans la séance de l'endo)))))

Tu fais comment ta thermo compaction?
--
Choupette


Loop trrma6 - Eugenol
justineH

02/02/2014 à 16h23

Tu insères ton thermocompacteur à l'arrêt a côté de ton cône jusqu'à ce qu'il bute, là tu le mets en route, tu restes quelques secondes sur place le temps que le cône se prenne dans le thermocompacteur (tu va sentir que ton thermo se fait repousser en direction coronaire dc tu résistes à cet effet), et là tu fais des mouvements de va et vient tout en remontant et surtout tu sors ton thermo toujours en marche. Tout ceci doit être relativement rapide pour ne pas trop échauffer les tissus !


choupette29

02/02/2014 à 16h41

justineH écrivait:
------------------
> Tu insères ton thermocompacteur à l'arrêt a côté de ton cône jusqu'à ce qu'il
> bute, là tu le mets en route, tu restes quelques secondes sur place le temps que
> le cône se prenne dans le thermocompacteur (tu va sentir que ton thermo se fait
> repousser en direction coronaire dc tu résistes à cet effet), et là tu fais des
> mouvements de va et vient tout en remontant et surtout tu sors ton thermo
> toujours en marche. Tout ceci doit être relativement rapide pour ne pas trop
> échauffer les tissus !

Merci pour ta réponse , mais peux tu me donner qq précisions , change tu le sens de rotation du contre angle, combien de cônes de gutta mets tu ds chaque canal et quel référence de gutta condensor utilises tu?
--
Choupette


Index vakr2r - Eugenol
pgc

02/02/2014 à 17h06

Tu ne dois pas changer le sens de rotation du CA: sur les thermocompacteurs le pas de vis est inversé, ainsi en rotation horaire l'instrument repousse le matériau en direction apicale.
Met autant de gutta qu'il est possible dans le canal.
N'utilise pas de McSpadden de trop petit diamètre: 40/100° est correct.
Les instrument de petit diamètre cassent facilement.


choupette29

02/02/2014 à 17h10

pgc écrivait:
-------------
> Tu ne dois pas changer le sens de rotation du CA: sur les thermocompacteurs le
> pas de vis est inversé, ainsi en rotation horaire l'instrument repousse le
> matériau en direction apicale.
> Met autant de gutta qu'il est possible dans le canal.
> N'utilise pas de McSpadden de trop petit diamètre: 40/100° est correct.
> Les instrument de petit diamètre cassent facilement.
>

Merçi bcp, je vais des demain commander des gutta condensors diamètre 40 et je vais retenter l'expérience
--
Choupette


Loop trrma6 - Eugenol
justineH

02/02/2014 à 17h11

pgc écrivait:
-------------
> Tu ne dois pas changer le sens de rotation du CA: sur les thermocompacteurs le
> pas de vis est inversé, ainsi en rotation horaire l'instrument repousse le
> matériau en direction apicale.
> Met autant de gutta qu'il est possible dans le canal.
> N'utilise pas de McSpadden de trop petit diamètre: 40/100° est correct.
> Les instrument de petit diamètre cassent facilement.
>

Idem sauf que moi je ne mets qu'un seul cône de gutta bien calibré, je ne coupe pas la tête donc il suffit à remplir le canal!


Marque a3 orange fyvhyq - Eugenol
Marc Apap

02/02/2014 à 17h59

numéro 30 en 21 mm, je n'ai jamais pu obtenir de bons résultats avec autre chose


choupette29

02/02/2014 à 18h38

Marc Apap écrivait:
-------------------
> numéro 30 en 21 mm, je n'ai jamais pu obtenir de bons résultats avec autre chose

Merci pour ces conseils
Sinon, qu'est ce qu'il faudrait que je prenne comme marque de feuilles de digue et références de clamps, avec ou sans ailettes? Je ne met pas la digue et souhaiterais m'y mettre sans que ça me complique l'endo. ;-)

--
Choupette


pontdemail

02/02/2014 à 23h31

Où veut tu en commander? Ca m'interesse d'en acheter egalement.


John gp55mb - Eugenol
Faivre-rampant

03/02/2014 à 00h16

digue bleu ultradent medium "dermadam" elle est génial elle pete jamais, super elastique.
coffret crampon avec ailette de chez hygenic surtout ceux avec des A. ils sont hyper retentifs.

question quand vous obturez aux thermo compacteur vous faite vous placez tous les cones de tous les canaux ou vous faite canal par canal?


Index vakr2r - Eugenol
pgc

03/02/2014 à 00h22

Canal par canal.


pontdemail

03/02/2014 à 00h32

Quelle vitesse de rotation et avec quel contre angle?


Marque a3 orange fyvhyq - Eugenol
Marc Apap

03/02/2014 à 01h00

canal par canal ce n'est pas judicieux parce que pour des canaux dont les entrées sont rapprochées, on peut avoir des pb pour retrouver l'entrée voisine. Et aussi parce que sur les racines de molaires du bas, si les canaux communiquent, on peut en boucher un jusqu'au bout et pas l'autre.
Il est plus sûr de placer les cones ensemble dans les canaux voisins et de compacter ensuite.
Contre angle bague bleue, vitesse quasi maxi. Mais comme j'ajuste la vitesse à la pédale et que ce n'est pas une vitesse fixée, j'ai du mal à définir la vitesse exacte. Un peu comme en voiture : si ça force j'accélère ou je ralentis en fonction de ce que je ressens.


1...4567