Cookie Consent byPrivacyPolicies.comabces dent temporaire - Eugenol

abces dent temporaire

Forest iegkoi - Eugenol
jx

25/11/2013 à 09h44

salut
une dent tempporaire en stade 2 (racines non resorbées) avec un abcès.. vous extrayez+ mainteneur? (en gêneral il y a atteinte de la furcation)
Ceratains laissent ils ouvert?


Bbpanda vyfmu4 - Eugenol
kung fu panda

25/11/2013 à 12h27

jx écrivait:
------------
> salut
> une dent tempporaire en stade 2 (racines non resorbées) avec un abcès.. vous
> extrayez+ mainteneur? (en gêneral il y a atteinte de la furcation)
> Ceratains laissent ils ouvert?

Il vaut mieux extraire dans ce cas, à moins que ce soit une 5.

Une radio à nous montrer?


Forest iegkoi - Eugenol
jx

25/11/2013 à 16h34

pourquoi sauf si c'est une 5? quelle est votre cat en cas d'abces sur dent tempo? certains peuvent ils nous donner leur feed back si ils font des endo dans ce cas ?


colza2

25/11/2013 à 16h43

le meilleur mainteneur d'espace c'est la 5 , donc personnellement je la pousse au maximum de ce qu'elle peut faire.


Bbpanda vyfmu4 - Eugenol
kung fu panda

25/11/2013 à 17h10

colza2 écrivait:
----------------
> le meilleur mainteneur d'espace c'est la 5 , donc personnellement je la pousse
> au maximum de ce qu'elle peut faire.

Exact, dans la mesure du possible, car il ne faut pas s'acharner


santon

25/11/2013 à 19h34

sympa de parler des cas avant qu'ils n'arrivent au cabinet


Forest iegkoi - Eugenol
jx

03/12/2013 à 00h01

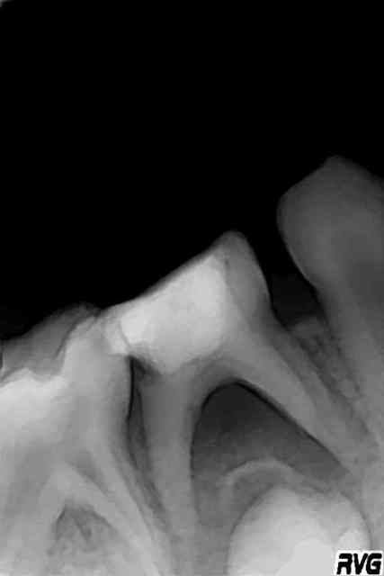
les voila les radios...
84 abces gosse de 6 ans... la question était est-ce qu'on peut garder la dent et comment... souvent qd on a un abces on a une atteinte de furcation.. qui extrait et qui garde?
finalement j'ai laissé ouvert puis obturé à l'hydroxyde de calcium qq jours plus tard...

R1 s3sfq4 - Eugenol
R2 ybcoaf - Eugenol

Aiguille cyboyt - Eugenol
fatboy

03/12/2013 à 10h25

Moi, j'extrairais


Images oecc9d ijdijh - Eugenol
Akrobat

03/12/2013 à 10h41

fatboy écrivait:
----------------
> Moi, j'extrairais

Idem. Je ne sais pas conserver ça surtout pour 16€. et une nouvelle consult en urgence dans 3 semaines.


Utilisateur banni

03/12/2013 à 11h17

Dans la mesure où un mainteneur d'espace semble jouable pour la santé du gosse et du germe avulsion.


Forest iegkoi - Eugenol
jx

03/12/2013 à 12h21

dpnc en fait abces = avulsion pour vous en denture temporaire? même en stade 2 radiculaire?


King lcqqit - Eugenol
King of PAP

03/12/2013 à 12h49

Pour un ami pédo exclusif, abcès sur dent temporaire=ext


Bagheera tudzjy - Eugenol
bagheerra

03/12/2013 à 13h11

e ne sais pas conserver ça surtout pour 16€. et une nouvelle consult en
> urgence dans 3 semaines.


Si ça se passe bien avec le CaOH², ça devrait bien se passer avec une obturation plus consistante (eugénate).

SC34 + Z6 + SC17 et avec un peu de chance Z6 + coiffe pédo HN quelques mois après


Forest iegkoi - Eugenol
jx

03/12/2013 à 13h26

oui c'est ce que je comptais faire (obturer à l'eugenate ensuite).. et c'est aussi ce que j'ai codé pour la SS..


MAUVE

03/12/2013 à 23h22

Ça part d'un bon sentiment de vouloir lui garder sa dent mais les chances d'un succès suite au traitement de cette dent sont tout de même excessivement faibles.

Comment restaurer avec une bonne étanchéité en mésial?
La carie est sérieusement sous gingivale.

Vu que c'est l'option choisie, il est impératif de prévenir les parents et l'enfant du grand risque de récidive d'abcès ou d'autres complications.

De plus, il est fort rare de n'avoir qu'une dent atteinte, quand une est dans cet état là dans la bouche d'un enfant de 6 ans.
Aura t-il assez de coopération pour gérer tous ses soins? Et re-soins?


MAUVE

03/12/2013 à 23h24

Vous l'avez compris, pour ma part c'est extraction, mainteneur d'espace si indiqué, réhabilitation complète et surtout PRÉVENTION, une fois que tout est soigné.