Cookie Consent byPrivacyPolicies.comDétection des fractures radiculaires avec le cone beam - Eugenol

Détection des fractures radiculaires avec le cone beam Morita

3f3boxni50k58rq7e9ce9ddqrxgk - Eugenol
dentiste57

30/11/2013 à 21h26

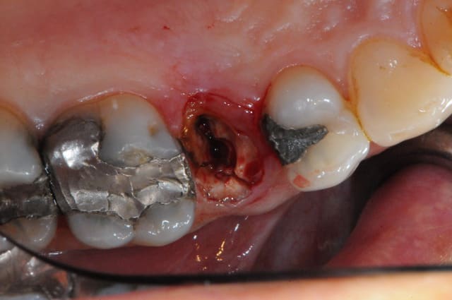
j'ai eu 3 cas ce mois ci qui m'ont été adressés pour des suspicions de fractures sur des incisives et prémolaires.

le plus délicat est de visualiser le trait de fracture est de définir si celui ci existe réellement.

en général, je commence par réaliser 4 à 6 radios rétro-alvéolaires avec différentes angulations, parfois j'ai un peu de chance, parfois non.

souvent le trait de fracture est situé au niveau d'un tenon si ce qui complique les choses à cause des artéfacts.

sur ma 3D Morita, j'ai très peu d'artéfacts métalliques mais suffisamment trop pour différentier une vraie fracture d'une fausse image.

par contre, si la couronne a été re-scellée récemment, on peut espérer voir le ciment qui a fusé dans la fracture.
c'est ce type de cas que je me propose de vous montrer...

merci de partager en envoyant vos propres cas.

Dsc 7932 mbxdee - Eugenol
Dsc 7934 d0hduh - Eugenol
Dsc 7935 zl0zld - Eugenol
Dsc 7936 xh3ng3 - Eugenol
Dsc 7938 ta7zqr - Eugenol
Dsc 7939 chbgsb - Eugenol
Dsc 7945 rt7lkw - Eugenol

3f3boxni50k58rq7e9ce9ddqrxgk - Eugenol
dentiste57

30/11/2013 à 21h31

images à partir du cone beam et dent extraite:
je mets un film dés que possible, comme c'est long il faudra attendre au moins une demi heure avant que cela ne soit visible sur youtube.

on voit nettement le ciment grâce à l'exceptionnelle précision de la 3d .

les correspondants sont ravis et moi avec car on est sure de prendre la bonne décision.

Dsc 7940 hppn1f - Eugenol
Dsc 7941 dtaq0h - Eugenol
Dsc 7943 ahh2wc - Eugenol
Capture11 yuikfp - Eugenol
Volumerenderer g45kdj - Eugenol

3f3boxni50k58rq7e9ce9ddqrxgk - Eugenol
dentiste57

30/11/2013 à 21h50

voilà pour la vidéo..

.be


uɹöɾq

30/11/2013 à 23h45

dentiste57 écrivait:
>j'ai eu 3 cas ce mois ci qui m'ont été adressés pour des >suspicions de fractures sur des incisives et prémolaires.


Quels sont les critères qui déterminent l'indication d'un CB dans le cas que nous montres?


3f3boxni50k58rq7e9ce9ddqrxgk - Eugenol
dentiste57

01/12/2013 à 00h15

uɹöɾq écrivait:
---------------
> dentiste57 écrivait:
> >j'ai eu 3 cas ce mois ci qui m'ont été adressés pour des >suspicions de
> fractures sur des incisives et prémolaires.
>
>
> Quels sont les critères qui déterminent l'indication d'un CB dans le cas que
> nous montres?

avant tout, les patients étaient adressés parce que le praticien ne savait pas lui même si la dent était fracturée ou non.
des rescellements à répétition, des petites boulles blanches apparaissant de façon périodiques, légères douleurs ou douleurs fulgurantes à la pression, le sentiment d'avoir une mobilité (souvent à la fin)...on peut parler d'un faisceaux de présomption.

les rétro-alvéolaires ne donnant rien, se tourner vers l'imagerie 3d est le plus sure moyen de s'octroyer d'avantages de chances de poser le bon diagnostique.

parfois on a la chance de voir une petite opacité le long de la racine qui serait par exemple impossible à voir avec une rétro car située sur la face palatine d'une racine.


3f3boxni50k58rq7e9ce9ddqrxgk - Eugenol
dentiste57

01/12/2013 à 11h57

pas d'autres cas clinique ?


uɹöɾq

01/12/2013 à 15h32

dentiste57 écrivait:
--------------------

> avant tout, les patients étaient adressés parce que le praticien ne savait pas
> lui même si la dent était fracturée ou non.
> des rescellements à répétition, des petites boulles blanches apparaissant de
> façon périodiques, légères douleurs ou douleurs fulgurantes à la pression, le
> sentiment d'avoir une mobilité (souvent à la fin)...on peut parler d'un
> faisceaux de présomption.

Je ne comprends pas l'intérêt du CB dans ce cas.
C'est un peu comme si on faisant une IRM cérébrale à un cadavre en début de pourrissement, non?

Si un patient a une dent douloureuse avec des "petites boulles blanches" et une mobilité, il faut démonter la couronne, refaire l'endo si aucune fracture n'est visible, puis refaire une couronne; ou extraire la dent si une fracture est visible une fois la couronne giclée.
Dans tous les cas, si on n'arrive pas à rendre la dent asymptomatique, il faudra l'avulser si les symptômes sont invalidants pour le patient, quelle que soit l'étiologie du problème.

La conduite à tenir n'est ici pas modifiée par l'examen complémentaire, c'est pourtant l'objectif principal de sa réalisation.
Mais il est vrai que c'est bien pratique d'adresser à un autre pour annoncer les mauvaises nouvelles, au prix d'un examen inutile...

Fais un arbre décisionnel et essaie d'y intégrer le CB pré-avulsionnel dans ta CAT, tu verras qu'il ne sert à rien ici.


Titof2000

01/12/2013 à 16h56

uɹöɾq écrivait:
---------------
> dentiste57 écrivait:
> --------------------
>
> > avant tout, les patients étaient adressés parce que le praticien ne savait pas
> > lui même si la dent était fracturée ou non.
> > des rescellements à répétition, des petites boulles blanches apparaissant de
> > façon périodiques, légères douleurs ou douleurs fulgurantes à la pression, le
> > sentiment d'avoir une mobilité (souvent à la fin)...on peut parler d'un
> > faisceaux de présomption.
>
> Je ne comprends pas l'intérêt du CB dans ce cas.
> C'est un peu comme si on faisant une IRM cérébrale à un cadavre en début de
> pourrissement, non?
>
> Si un patient a une dent douloureuse avec des "petites boulles blanches" et une
> mobilité, il faut démonter la couronne, refaire l'endo si aucune fracture n'est
> visible, puis refaire une couronne; ou extraire la dent si une fracture est
> visible une fois la couronne giclée.
> Dans tous les cas, si on n'arrive pas à rendre la dent asymptomatique, il faudra
> l'avulser si les symptômes sont invalidants pour le patient, quelle que soit
> l'étiologie du problème.
>
> La conduite à tenir n'est ici pas modifiée par l'examen complémentaire, c'est
> pourtant l'objectif principal de sa réalisation.
> Mais il est vrai que c'est bien pratique d'adresser à un autre pour annoncer les
> mauvaises nouvelles, au prix d'un examen inutile...
>
> Fais un arbre décisionnel et essaie d'y intégrer le CB pré-avulsionnel dans ta
> CAT, tu verras qu'il ne sert à rien ici.

Pas d'accord avec toi. Démonter une couronne est un acte bien plus invasif et plus onéreux qu'un CB pour faire un diagnostic.


3f3boxni50k58rq7e9ce9ddqrxgk - Eugenol
dentiste57

01/12/2013 à 17h25

uɹöɾq écrivait:
---------------
> dentiste57 écrivait:
> --------------------
>
> > avant tout, les patients étaient adressés parce que le praticien ne savait pas
> > lui même si la dent était fracturée ou non.
> > des rescellements à répétition, des petites boulles blanches apparaissant de
> > façon périodiques, légères douleurs ou douleurs fulgurantes à la pression, le
> > sentiment d'avoir une mobilité (souvent à la fin)...on peut parler d'un
> > faisceaux de présomption.
>
> Je ne comprends pas l'intérêt du CB dans ce cas.
> C'est un peu comme si on faisant une IRM cérébrale à un cadavre en début de
> pourrissement, non?

tu as un bien curieux mode de raisonnement. tu veux dire que j'ai fait le CB après avoir démonté la couronne ? non, bien évidemment!
tu veux peut être dire que j'ai fait le CB pour le pognon ? pas de chance c'était pour rendre service, l'examen était gratuit.
non, j'ai du mal à comprendre ton propre arbre décisionnel.
tu fais le démontage de la couronne sans avoir de certitudes ? je trouve ça bien plus risqué que d'envoyer un rayonnement de quelques mSv de plus qu'une pano.


>
> Si un patient a une dent douloureuse avec des "petites boulles blanches" et une
> mobilité, il faut démonter la couronne, refaire l'endo si aucune fracture n'est
> visible,


oui, mais pas visible avec quoi ? juste une rétro ? pour moi c'est pas suffisant. non visible au CB, ou à l'IRM puisque tu en parles, là je te suis.


refaire une couronne; ou extraire la dent si une fracture est
> visible une fois la couronne giclée.

tout à fait d'accord avec toi, mais comme c'est un patient dont je n'ai pas vu la dent lors du dernier rescellement il y a deux mois, c'est difficile de prendre la décision dans ce cas non ?


> Dans tous les cas, si on n'arrive pas à rendre la dent asymptomatique, il faudra
> l'avulser si les symptômes sont invalidants pour le patient, quelle que soit
> l'étiologie du problème.
>
> La conduite à tenir n'est ici pas modifiée par l'examen complémentaire, c'est
> pourtant l'objectif principal de sa réalisation.
> Mais il est vrai que c'est bien pratique d'adresser à un autre pour annoncer les
> mauvaises nouvelles, au prix d'un examen inutile...
>


encore une fois, c'est un mode de raisonnement qui t'es propre ou tu penses que c'est le mien ou celui du confrère?
à mon avis aucun des trois cas


bf

01/12/2013 à 18h07

attention , recevoir des patients adressés pour un simple cone beam , n'est pas légal , nous ne sommes pas des radiologues !!


Titof2000

01/12/2013 à 18h12

bf écrivait:
------------
> attention , recevoir des patients adressés pour un simple cone beam , n'est pas
> légal , nous ne sommes pas des radiologues !!

Où as tu vu ça? Il y a des dentistes sur Paris qui ne font que de la radio dentaire. Faire des radios de la sphère oro-faciale et les interpréter est dans nos compétences. Nous pouvons donc être des radiologues de la bouche!


3f3boxni50k58rq7e9ce9ddqrxgk - Eugenol
dentiste57

01/12/2013 à 18h32

Titof2000 écrivait:
-------------------
> bf écrivait:
> ------------
> > attention , recevoir des patients adressés pour un simple cone beam , n'est
> pas
> > légal , nous ne sommes pas des radiologues !!
>
> Où as tu vu ça? Il y a des dentistes sur Paris qui ne font que de la radio
> dentaire. Faire des radios de la sphère oro-faciale et les interpréter est dans
> nos compétences. Nous pouvons donc être des radiologues de la bouche!

pas faux ! mais bon, à utiliser avec parcimonie.


flicflac

01/12/2013 à 20h14

le bon vieux sondage parodontale peut nous permettre de diagnostiqué une fracture radiculaire,,,
désolé je suis hors sujet


3f3boxni50k58rq7e9ce9ddqrxgk - Eugenol
dentiste57

01/12/2013 à 20h30

tu le penses vraiment ?


uɹöɾq

01/12/2013 à 21h51

Tableau clinique, anamnèse:
"rescellements à répétition"
+ "des petites boulles blanches apparaissant de façon périodiques"
+ "légères douleurs ou douleurs fulgurantes à la pression"
+ "le sentiment d'avoir une mobilité"
---------------------------------------------------------------
3 questions:

1.CAT sans cone beam à visée diagnostique étiologique?

2.CAT avec cone beam à visée diagnostique étiologique objectivant:
2a.Une fracture radiculaire?
2b.Pas de fracture radiculaire?








bf

01/12/2013 à 22h02

mise en garde de la part de mon CDO lors d'une réunion locale de secteur
tu ne peux pas avoir de correspondant pour de la radiologie pure !!


Titof2000

01/12/2013 à 22h42

bf écrivait:
------------
> mise en garde de la part de mon CDO lors d'une réunion locale de secteur
> tu ne peux pas avoir de correspondant pour de la radiologie pure !!

Demande à Améli, il y a des confrères qui font de la radiologie dentaire en exclusif. J'en connais à Paris et à Nice. Ton CDO c'est planté, c'est dans nos compétences et du moment que tu ne fais pas d'autres partie du corps, je ne vois pas comment et pourquoi on pourrait te l'interdire.


Capture ddc6bm - Eugenol
sumble

01/12/2013 à 23h19

Je ne pense pas non plus que la 3D était nécessaire dans ce cas pour diagnostiquer la fracture. La clinique parlait d'elle même: prémo avec tenon métal (+CCM) indiquant peu/pas d'effet férule, les conditions de la fracture sont déjà là. Amha avec les signes cliniques (descellement, fistule, douleurs...) le sondage suffisait à lever le doute.
L'examen était il inutile? Non.
Je suppose que le correspondant de D57 n'étant pas sûr de la fracture, devait quand même sentir que ça finirai par l'extraction. Je pense le patient a surtout été adresser pour l'implant, et non pour "jouer" au radiologue. Peut être que le patient avait besoin de fait, de "preuves", pas parce qu'il n'a pas confiance mais c'est sa nature de douter, de cogiter, il ne se satisfait pas de suspicion. Rien que pour apporter des certitudes au patient, ça vaut le coup.
Je pense que la 3D dans ce cas prend tout son sens du point de vue de l'implanto: visualisation du volume
osseux pour l'EII...


uɹöɾq

01/12/2013 à 23h36

sumble écrivait:
----------------

> Je suppose que le correspondant de D57 n'étant pas sûr de la fracture, devait
> quand même sentir que ça finirai par l'extraction. Je pense le patient a surtout
> été adresser pour l'implant, et non pour "jouer" au radiologue.

D'après dentiste57, le patient a été adressé pour diagnostiquer la fracture:

dentiste57 écrivait:
-------------------
>avant tout, les patients étaient adressés parce que le >praticien ne savait pas lui même si la dent était fracturée > ou non.

Et dentiste57 confirme qu'il pense que le CB a ici un intérêt diagnostique:

>les rétro-alvéolaires ne donnant rien, se tourner vers >l'imagerie 3d est le plus sure moyen de s'octroyer >d'avantages de chances de poser le bon diagnostique.

Je repose mes questions:

1.CAT sans cone beam à visée diagnostique étiologique?

2.CAT avec cone beam à visée diagnostique étiologique objectivant:
2a.Une fracture radiculaire?
2b.Pas de fracture radiculaire?




3f3boxni50k58rq7e9ce9ddqrxgk - Eugenol
dentiste57

02/12/2013 à 01h08

uɹöɾq écrivait:
---------------
> sumble écrivait:
> ----------------
>
> > Je suppose que le correspondant de D57 n'étant pas sûr de la fracture, devait
> > quand même sentir que ça finirai par l'extraction. Je pense le patient a
> surtout
> > été adresser pour l'implant, et non pour "jouer" au radiologue.
>
> D'après dentiste57, le patient a été adressé pour diagnostiquer la fracture:

deuxième avis


>
> dentiste57 écrivait:
> -------------------
> >avant tout, les patients étaient adressés parce que le >praticien ne savait pas
> lui même si la dent était fracturée > ou non.
>
> Et dentiste57 confirme qu'il pense que le CB a ici un intérêt diagnostique:

une infection avec une image en palatin, tu connais ?
pas visible à la rétro, le sondage ne donne rien, et tu peux rencontrer les mêmes signes cliniques. t'es comme un con si tu extrais alors qu'une obturation A-retro aurait pu sauver la dent quelques années de plus.

si c'était ta dent, tu te jetterai sur ton davier ou tu pousserai l'examen pour savoir si tu peux t'en tirer autrement?
avoir des certitudes avant d'extraire une dent située dans un secteur esthétique ça compte.
visiblement, pour toi, cet examen était inutile. c'est parce que tu te sens omniscient ou ou parce que tu as mal lu le tableau clinique de départ ?
-dent rescellée il y quelques mois . c'est tout!
le reste des points dont j'ai parlé étaient des exemples. je n'ai pas dit que le patient les avait tous accumulé.

j'ai posté un cas où la visualisation du ciment à permit d'avoir une certitude en radiologie et ce, malgré les artéfacts et le fait que rien d'autre n'était visible radiologiquement (kyste, desmodontites, etc,...)

chacun d'entre nous qui avons un CB sait que ces mêmes artéfacts ne permettent pas toujours de poser le diagnostique de la fracture. en cela, c'est interessant et cela peut aider d'autres confrères.

merci de nous donner ton arbre décisionnelle et de la partager avec les nonoliens.
mieux encore, postes nous un cas.

on attends tous.


uɹöɾq

02/12/2013 à 01h24

Pourquoi tu t'énerves?
Pourquoi tu ne réponds pas aux questions?
-----------------------------------------
Troisième édition:
1.CAT sans cone beam à visée diagnostique étiologique?

2.CAT avec cone beam à visée diagnostique étiologique objectivant:
2a.Une fracture radiculaire?
2b.Pas de fracture radiculaire?
------------------------------------------
Le coup du "montre-nous un cas", je l'attendais plus tôt.
Je pourrais te montrer une photo de ma bite, ça n'aurait pas plus d'intérêt ici dans la réflexion qui nous occupe: le cone beam a-t-il induit un changement sur la CAT (un examen complémentaire qui ne modifie pas la CAT est par définition inutile, ce n'est pas moi qui l'ai inventé).

Si tu ne veux pas discuter de tes cas, n'en poste pas. ;-)



uɹöɾq

02/12/2013 à 01h31

dentiste57 écrivait:
--------------------

>
> une infection avec une image en palatin, tu connais ?
> pas visible à la rétro, le sondage ne donne rien, et tu peux rencontrer les
> mêmes signes cliniques. t'es comme un con si tu extrais alors qu'une obturation
> A-retro aurait pu sauver la dent quelques années de plus.
>

Pourquoi obturation a retro, et pas une obturation orthograde?

Au vu de la fréquence élevée de descellement de l'inlay core, le retraitement est facile et peu risqué, non?


Titof2000

02/12/2013 à 01h36

dentiste57 écrivait:
--------------------
> uɹöɾq écrivait:
> ---------------
> > sumble écrivait:
> > ----------------
> >
> > > Je suppose que le correspondant de D57 n'étant pas sûr de la fracture,
> devait
> > > quand même sentir que ça finirai par l'extraction. Je pense le patient a
> > surtout
> > > été adresser pour l'implant, et non pour "jouer" au radiologue.
> >
> > D'après dentiste57, le patient a été adressé pour diagnostiquer la fracture:
>
> deuxième avis
>
>
> >
> > dentiste57 écrivait:
> > -------------------
> > >avant tout, les patients étaient adressés parce que le >praticien ne savait
> pas
> > lui même si la dent était fracturée > ou non.
> >
> > Et dentiste57 confirme qu'il pense que le CB a ici un intérêt diagnostique:
>
> une infection avec une image en palatin, tu connais ?
> pas visible à la rétro, le sondage ne donne rien, et tu peux rencontrer les
> mêmes signes cliniques. t'es comme un con si tu extrais alors qu'une obturation
> A-retro aurait pu sauver la dent quelques années de plus.
>
> si c'était ta dent, tu te jetterai sur ton davier ou tu pousserai l'examen pour
> savoir si tu peux t'en tirer autrement?
> avoir des certitudes avant d'extraire une dent située dans un secteur esthétique
> ça compte.
> visiblement, pour toi, cet examen était inutile. c'est parce que tu te sens
> omniscient ou ou parce que tu as mal lu le tableau clinique de départ ?
> -dent rescellée il y quelques mois . c'est tout!
> le reste des points dont j'ai parlé étaient des exemples. je n'ai pas dit que le
> patient les avait tous accumulé.
>
> j'ai posté un cas où la visualisation du ciment à permit d'avoir une certitude
> en radiologie et ce, malgré les artéfacts et le fait que rien d'autre n'était
> visible radiologiquement (kyste, desmodontites, etc,...)
>
> chacun d'entre nous qui avons un CB sait que ces mêmes artéfacts ne permettent
> pas toujours de poser le diagnostique de la fracture. en cela, c'est interessant
> et cela peut aider d'autres confrères.
>
> merci de nous donner ton arbre décisionnelle et de la partager avec les
> nonoliens.
> mieux encore, postes nous un cas.
>
> on attends tous.
>

Tu te fatigues pour rien. Il doit sortir de la fac...Rien vu encore!


uɹöɾq

02/12/2013 à 01h41

dentiste57 écrivait:
-------------------
> le reste des points dont j'ai parlé étaient des exemples. je n'ai pas dit que le
> patient les avait tous accumulé.


Je te prie alors de m'excuser, mais il faudra corriger ta réponse donnée plus haut à ma question, parce lorsque je t'ai demandé:
björn écrivait:
-----------------------------------
> Quels sont les critères qui déterminent l'indication d'un CB dans le cas que
> nous montres?

Tu m'as répondu:
dentiste57 écrivait:
------------------------------------
>avant tout, les patients étaient adressés parce que le >praticien ne savait pas lui même si la dent était fracturée >ou non.
>des rescellements à répétition, des petites boulles blanches >apparaissant de façon périodiques, légères douleurs ou >douleurs fulgurantes à la pression, le sentiment d'avoir une >mobilité (souvent à la fin)...on peut parler d'un faisceaux >de présomption.

Un "faisceaux de présomption" dans le cas précis que tu nous montres ici, cela signifie:
"-dent rescellée il y quelques mois . c'est tout!" ?
C'est le seul élément de l'anamnèse?
C'est pour toi un "faisceaux de présomption"?



uɹöɾq

02/12/2013 à 02h07

En regardant d'un peu plus près, considérant la largeur de la fusée de ciment dans la fracture et le niveau de cette dernière, on se demande vraiment comment ton correspondant a pu resceller l'IC sans la voir.
Pour écarter autant les deux fragments, il fallait qu'elle soit bien visible une fois l'IC descellé, non?

S'il n'y a pas de signes fonctionnels, et que le seul élément, pour lui, en faveur d'une fracture est "rescellement il y a quelques mois et c'est tout", on se demande aussi pourquoi il te l'a adressé (Pas de douleurs? Pas de fistule? Pas de sondage ponctuel? Pas de mobilité? Un faisceau de présomption?...)


12