Cookie Consent byPrivacyPolicies.comcouronne ado 13 ans - Eugenol

couronne ado 13 ans

dent44

03/12/2013 à 14h40

bonjour
est il raisonnable de couronner des 36 et 46 chez une ado de 13 ans(ces 2 dents ont etes devitalisees il y a 1 an).
merci pour vos conseils et bonne journee a tous


Rape p0as4f - Eugenol
rapelapente

03/12/2013 à 15h08

La question à se poser est: est-il raisonnable de laisser des 6 en attente de fracture chez un gamin de 13 ans?


1309531 ours brun n5iukf - Eugenol
seespan

03/12/2013 à 15h09


Non la maturation gingival n'est pas finie a cette age. Avec le temps la gencive va continuer a migrer apicalement est les limites vont etre supra gingivale.
--
หมอจัดฟัน


1309531 ours brun n5iukf - Eugenol
seespan

03/12/2013 à 15h18

rapelapente écrivait:
---------------------
> La question à se poser est: est-il raisonnable de laisser des 6 en attente de
> fracture chez un gamin de 13 ans?

Il y a des moyen pour reconstituer une dent sans couronner pour temporiser.


--
หมอจัดฟัน


racoon

03/12/2013 à 15h21

Un onlay peut être la solution


01 ukhwbq - Eugenol
ʎqqoq

03/12/2013 à 15h46

Ouais, enfin des limites supra sur des 6 du bas, ça n'a jamais tué personne. Une 6 en moins non plus du reste...
Si tu juges que les dents ne peuvent être reconstituées de manière fiable qu'avec des CR, tu lui fais deux CR, et si dans 10 ans les limites le gênent, tu refais.
Enfin, c'est ce que je ferais.


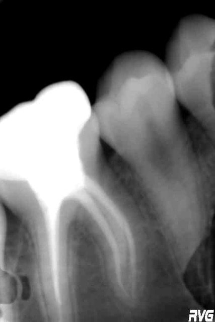
Bagheera tudzjy - Eugenol
bagheerra

03/12/2013 à 16h06

J'ai fait cette couronne sur une fillette de 9 ans. La radio est prise 3 ans après, il y a eu un accident de descellement (faible hauteur coronaire).
Il faudra bien sûr la refaire, mais si possible pas avant la fin de la croissance et du ttt orthodontique.
A noter que les CPP (coiffes pédo préformées pour dents permanentes) peuvent-être indiquées, mais il faut acheter le coffret.
Bien sûr il faut évaluer le pronostic (délabrement, endo, odf), et c'est sans doute ça le plus difficile. Dans le cas de cette patiente, le risque carieux global était faible (aucune carie sur les dents lactéales), mais fragilité ++ de cette 46 pour cause de MIH, atteinte bcp plus modérée des trois autres dents de 6 ans.

R5 i7bjfk - Eugenol

Avatar hjdsnm - Eugenol
TiGabi

03/12/2013 à 19h03

Le moment à partir duquel une couronne est réalisable est celui où le contour gingival a migré assez bas pour que la hauteur prothétique disponible soit suffisante pour une couronne. C'est très variable selon les enfants : entre 9 et 13 ans en moyenne.

Si une couronne n'est pas réalisable mais que le risque de fracture est majeur, une coiffe préformée permet de temporiser.

Dans bien des cas, un onlay est souvent la meilleure solution d'un point de vue médical.


MAUVE

03/12/2013 à 22h31

Bonsoir,
La coiffe pédo permet de reconstituer la dent de façon pérenne.
Les coiffes posées sur des 6, entre 6 et 11/12 ans avec limites sous gingivales, deviennent à partir de l'éruption de la 12 avec des limites supra gingivales.
On voit alors la qualité de son ajustement.
Et si celui ci est correct et que la coiffe reste toujours en place je ne vois pas pourquoi elle serait à refaire.
Au contraire, cette limite supragingivale est accessible au brossage, et chez certains ados c'est plutôt pas mal.
A 13 ans, on peut faire une couronne classique.
A cet âge, il y a plus de coopération qu'avant, bien que celle ci soit très variable d'un individu à un autre.
L'intérêt d'une coiffe pédo n'est pas uniquement son faible coût, c'est aussi sa rapidité de mise en oeuvre, et sa durabilité.
Mais la coiffe coulée est plus durable que la coiffe pédo.
En disant faible coût, je ne parle pas du reste à charge pour le patient, mais je parle du coût réel par rapport à une coiffe coulée.
Il faut aussi voir le besoin d'ortho et le bénéfice à long terme de conserver des dents déjà bien détruites.


MAUVE

03/12/2013 à 22h40

Et je suis tout à fait d'accord avec toi TiGabi, l'indication d'un inlay-inlay se pose plus souvent que celle d'une coiffe/couronne. Tout dépend du délabrement coronaire et des possibilités de collage.


Blocperso talon jer3sl - Eugenol
mrquentin

04/12/2013 à 00h10

chez une petite de 13 ans qui a pas encore ses 7, j'ai fait: un onlay cerma et une couronne emax sur dent vivante la semaine dernière (problème de MIH). résultat: super esthétique, et plus de douleurs au brossage de dents! j'ai redez vous demain avec elle pour faire un amalgamme sur la dernière dent cariée...


Blocperso talon jer3sl - Eugenol
mrquentin

04/12/2013 à 00h10

chez une petite de 13 ans qui a pas encore ses 7, j'ai fait: un onlay cerma et une couronne emax sur dent vivante la semaine dernière (problème de MIH). résultat: super esthétique, et plus de douleurs au brossage de dents! j'ai redez vous demain avec elle pour faire un amalgamme sur la dernière dent cariée...