Cookie Consent byPrivacyPolicies.comIdentification implant trés looong. - Eugenol

Identification implant trés looong.

Img 5097 lxchd7 - Eugenol
Queixal

03/12/2013 à 19h08

Posés en 2004 au Mexique pour cause d´agenesies.
On critique pas la patiente est de la-bas.

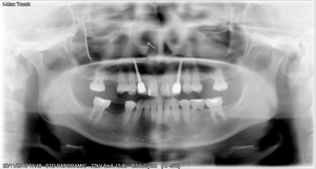
Motif de consultation fistule sur celui de la 22.
Celui de la 12 hors créte on le voit parfaitement par transparence de la gencive (la patiente doit revenir dans 10 jours je ferais des photos, Et elle doit me ramener un scanner de l´année derniere.).
Ma recomandation enlever les 2. Ça va etre sportif de ne pas les casser vu le diametre et la longueur.Faire des gréfes est mettre quelque chose de plus "Classique".

Unknown x 2013 11 28 17 48 16 4 ajzvqn - Eugenol

Photo pluton1b h9n4ea - Eugenol
pluton

03/12/2013 à 19h19

comment veux-tu que j'identifie ces implants avec une pano aussi pourrie sur laquelle je ne devine comme informations :

que les implants sont longs, et (en zoomant au maximum) qu'il y a des spires...

une rétro stp!!!! voir même 2, une pour la connexion et une pour la zone apicale


pourri

03/12/2013 à 19h34

Moi j'arrive a identifier un implant dans la narine droite de marque krotdepif
Modèle gluant de 8mm


dcs

03/12/2013 à 19h35

y en a un aussi qui a migrer vers le nez , mais il est plus petit ........lol


dcs

03/12/2013 à 19h35

pourri écrivait:
----------------
> Moi j'arrive a identifier un implant dans la narine gauche de marque krotdepif
> Modèle gluant de 8mm

salop tu m as devancé d une minute


pourri

03/12/2013 à 19h37

Un peu de respect stp


dcs

03/12/2013 à 19h39

je suis plus vieux pas de ça


3f3boxni50k58rq7e9ce9ddqrxgk - Eugenol
dentiste57

03/12/2013 à 19h52

ça me fait beaucoup penser à un implant de type coréen, mais tu dis qu'elle vient du mexique non ?


King lcqqit - Eugenol
King of PAP

03/12/2013 à 20h45

dentiste57 écrivait:
--------------------
> ça me fait beaucoup penser à un implant de type coréen, mais tu dis qu'elle
> vient du mexique non ?
Des baguettes?


S2y2o1v7q53ws4r5wy6ou8czrpom - Eugenol
pxav

03/12/2013 à 21h21

Ta pano, n'est pas géniale, donc de loin, je dirais que ça peut ressembler à du Tatum D1, mais il faut une radio meilleure, car ils me semble un peu fin pour du D1

--
xbk
"Si tous ceux qui croient avoir raison n'avaient pas tort, la vérité ne serait pas loin" Dac Pierre


Photo pluton1b h9n4ea - Eugenol
pluton

03/12/2013 à 22h06

un Tatum j'y crois pas...

je pencherais plus volontiers sur un implant "one piece" (monobloc) type Nobel direct ou similaire...

impossible à préciser avec une si mauvaise qualité d'image...


Img 5097 lxchd7 - Eugenol
Queixal

04/12/2013 à 12h58

Voila la retro.
Cela doit etre le forum qui a reduit la resolution de ma pano qui a l´origine est bien meilleure.
Sauft pour l´apex des implants qui sont tellement longs et mal places quíls son en dehors du plan de coupe de la pano.

Unknown x 2013 11 28 17 59 58 4 pi6kz2 - Eugenol

Photo pluton1b h9n4ea - Eugenol
pluton

04/12/2013 à 13h23

bon, et bien je pense que c'est çà...

http://osseosource.com/dental-implants/product_info.php?products_id=556


S2y2o1v7q53ws4r5wy6ou8czrpom - Eugenol
pxav

04/12/2013 à 14h01

effectivement rien à voir avec le D1..

--
xbk
"Si tous ceux qui croient avoir raison n'avaient pas tort, la vérité ne serait pas loin" Dac Pierre


billabong

04/12/2013 à 23h08

si c'est ostéointegré ça risque d'être sport à deposer. si ça casse je ferais un volet osseux en vest à replacer avec vis ostéosynthèse une fois l'implant délogé par voie vestibulaire. la greffe peut être faite simultanément si préalablement tu as dépose la couronne et lais la gencive recouvrir la plateforme de l'implant.
Good luck


Capture ddc6bm - Eugenol
sumble

05/12/2013 à 00h02

Cas intéressant.

Avec le peu d'éléments, difficile de bien juger le cas.
Agénésie, donc crête fine.
Biotype gingival?
Esthétique, sourire. Gestion des papilles?
Rôle de l'occlusion, elle semble être en supracclusion.

Déposer les implants en tout début, on risque de perdre pas mal d'os.

Une approche plus paro ne permettrait elle pas de gérer la situation?
Changer le biotype, épaissir la gencive et ROG pour 22. Sans oublier de vérifier l'occlusion. Eventuellement travail sur les prothèses (provisoires ++).

Qu'en pensez vous?


billabong

05/12/2013 à 10h19

sumble écrivait:
----------------
> Cas intéressant.
>
> Avec le peu d'éléments, difficile de bien juger le cas.
> Agénésie, donc crête fine.
> Biotype gingival?
> Esthétique, sourire. Gestion des papilles?
> Rôle de l'occlusion, elle semble être en supracclusion.
>
> Déposer les implants en tout début, on risque de perdre pas mal d'os.
>
> Une approche plus paro ne permettrait elle pas de gérer la situation?
> Changer le biotype, épaissir la gencive et ROG pour 22. Sans oublier de vérifier
> l'occlusion. Eventuellement travail sur les prothèses (provisoires ++).
>
> Qu'en pensez vous?

Donc laisser les implants en place et réaménager l'environnement, of course si les implants sont ostéointegrés et pas de foyer infectieux. bonne solution et pour le patient et pour le "cas". j'adhère


Img 5097 lxchd7 - Eugenol
Queixal

05/12/2013 à 12h41

pluton écrivait:
----------------
> bon, et bien je pense que c'est çà...
>
> http://osseosource.com/dental-implants/product_info.php?products_id=556

Non ils font bien plus que 18mm, et sur ceux que tu proposes on dirait qu´il n´y a pas de spires a l´apex, alors que sur les miens elles arrivent jusqu´au bout.

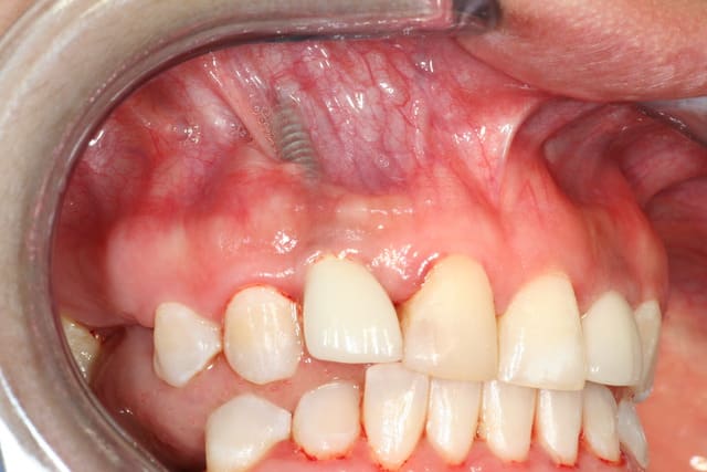
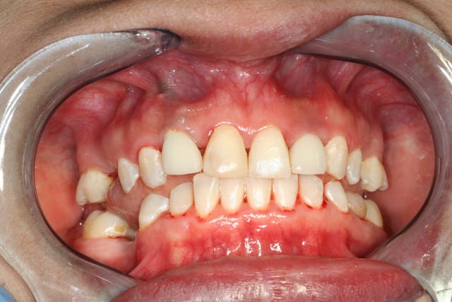
Allez je vous poste une petite photo du cas qui peut aider vu qu´on voit les implants,et qui risque de refroidir ceux qui proposent une aproche conservatrice.

Img 5395 j4zwdi - Eugenol
Img 5390 khz7ag - Eugenol

dent2669

05/12/2013 à 13h07

Queixal écrivait:
-----------------
> pluton écrivait:
> ----------------
> > bon, et bien je pense que c'est çà...
> >
> > http://osseosource.com/dental-implants/product_info.php?products_id=556
>
> Non ils font bien plus que 18mm, et sur ceux que tu proposes on dirait qu´il n´y
> a pas de spires a l´apex, alors que sur les miens elles arrivent jusqu´au bout.
>
> Allez je vous poste une petite photo du cas qui peut aider vu qu´on voit les
> implants,et qui risque de refroidir ceux qui proposent une aproche
> conservatrice.

Les aléas de la chirurgie flapless par les débutants... ou par des cadors qui posent en 12 secondes tellement qu'ils sont fort !!!


Img 5097 lxchd7 - Eugenol
Queixal

05/12/2013 à 14h21

> Les aléas de la chirurgie flapless par les débutants... ou par des cadors qui
> posent en 12 secondes tellement qu'ils sont fort !!!

Selon les dires de la patiente il sagirait de la seconde option implanto exclusif trés gros poseur.
L´implant est visible depuis le premier jour. La patiente a demandé,le gars lui a dit que c´etait normal.


Photo pluton1b h9n4ea - Eugenol
pluton

05/12/2013 à 14h23

Queixal écrivait:
-----------------

> Non ils font bien plus que 18mm, et sur ceux que tu proposes on dirait qu´il n´y
> a pas de spires a l´apex, alors que sur les miens elles arrivent jusqu´au bout.

si, les spires vont jusqu'au bout

désolé, c'est peut être pas çà...mais sur osseosource, c'est le seul implant de petit diamètre qui reprend les caractéristiques "anatomiques" de ceux que tu montres...à savoir une partie cylindrique puis une autre conique vers l'apex avec un filetage allant haut vers le col
de même la forme des spires se ressemblent beaucoup...mais je ne peux pas avoir de certitude car tout n'est pas référencé...

perso, au vues de tes photos, je pense que tu surestimes la longueur de ces implants...je suis à peu près certain qu'ils ne dépassent pas les 18mm...


Img 5097 lxchd7 - Eugenol
Queixal

06/12/2013 à 01h34

Merci a tous, de toute façon je compte tout deposer.
Apres je ne sais pas trop coment ça va finir. Soit gréfe d'os, et nouveaux implants.
Soit un bridge conventionel vu que de toutes façon mes canines et centrales sont bien délabrées par palatin a cause d'un maryland qui se decolait a repetitition que la patiente a changé pour les fameux implants.
Soit rien du tout et attendre que ça se casse la guele.
Je vous tiens au jus.