Cookie Consent byPrivacyPolicies.comImplant antérieur . - Eugenol

Implant antérieur .

doctyoni

05/12/2013 à 22h26

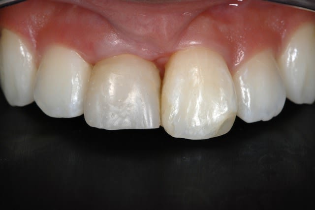
Patient vient au cabinet car son dentiste lui a enlevé sa sa couronne /Ic et la racine par la meme occasion .
-Bridge collé de temporisation .
Le patient est ok pour l'implantologie.

-Classe II div 1 .
-De l'os à souhait ,je poste les scans bientot.
-Un biotype épais .
-Un peu de perte en vestibulaire .

-Mise en esthétique immédiate ou Implant en 2 temps chirurgical avec technique du rouleau pour gagner en conjonctif ultérieurement .

-Quels piliers pour avoir un résultat optimum?
Merci à tous pour vos avis .

Ps: Je pars sur du Mis ou Nobel.

Img 5848 abvbet - Eugenol
Img 5847 znftyz - Eugenol
Img 5849 icmphk - Eugenol

Smile beach jgh0a1 - Eugenol
Céramik

06/12/2013 à 03h23

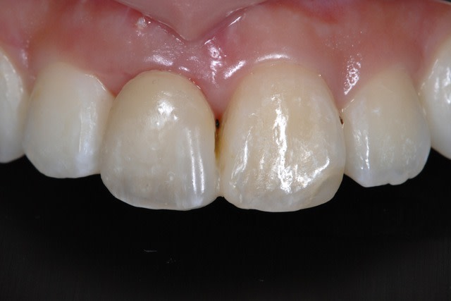
Manque d'os en vestibulaire, non ?
Scan...


--
Céramik


doctyoni

06/12/2013 à 09h26

J'ai rarement eu des crêtes aussi belles en antérieur.
Je gonflerai en vestibulaire avec la technique du rouleau

Img 6668 gxu5bj - Eugenol

dent2669

06/12/2013 à 10h17

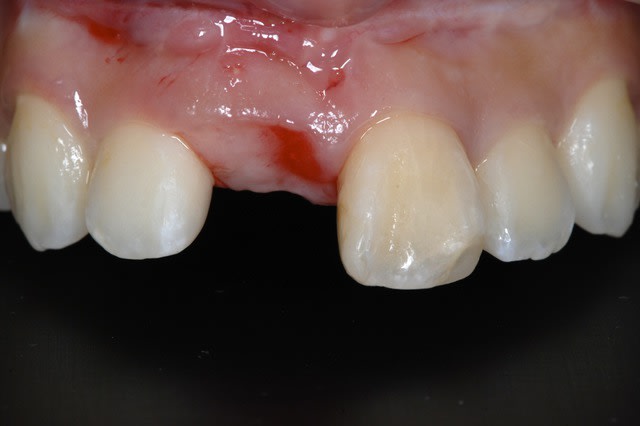
Même si ce n'est pas le top de l'esthétique, ta phase provisoire est déjà gérée ! Pourquoi alors prendre des risques en faisant une mise en esthétique immédiate ??

D'accord pour le rouleau lors de la pose. Et si ce n'est pas suffisant, tu peux en remettre une couche lors de la mise en fonction. Faire une belle provisoire avec un beau profil d’émergence pour guider le cicat et le tour est joué !!

Facile l'implanto non ?? ;-)


Android jyzura - Eugenol
Tavéca

06/12/2013 à 10h54

Mise en esthétique immédiate + conjonctif enfoui si tu veux gagner en vest. provisoire avec super profil d'emergence pour choisir facilement son pilier apres.
Si bonne stabilité I, pas plus de risque que sans prov. et bien plus predictible pour l'esthétique, moins chère, moins de rdv, moins d'anesthesie, patient plus content.

B zmfiny - Eugenol
A plscsv - Eugenol
C uvfid1 - Eugenol
D npiyso - Eugenol
E mjbi0i - Eugenol