Cookie Consent byPrivacyPolicies.comA propos d'un cas de basale ........ - Eugenol

A propos d'un cas de basale ........

bf

07/12/2013 à 18h46

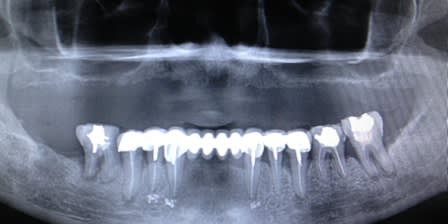
quand il y a peu d'os!!

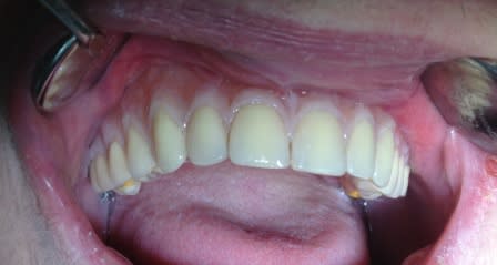
lundi :pose des implants empreinte et occlusion
mercredi :essayage de l'armature et montage esthétique
vendredi : pose de l'ensemble

le bridge agit comme un fixateur externe , 3 mois d'alimentation molle

Copie  2  de 398 ljdlz5 - Eugenol
Copie de 009 z1hof7 - Eugenol
002  3  pduien - Eugenol

John gp55mb - Eugenol
Faivre-rampant

07/12/2013 à 19h37

Quel typer et marque d'implant ?
Pourquoi avoir voulu poser des implants zygomatique ?
C'est quoi le truc qui est au niveau des 6 ?


Avatar 46 aoi1yc - Eugenol
HononLulu

07/12/2013 à 19h51

Ça ressemble bien à du Victory, avec des plaques en secteur 6.
On voit pas d'os autour des ptérygoidiens, c'est la radio ??


Index vakr2r - Eugenol
pgc

07/12/2013 à 20h21

Faivre-rampant écrivait:
------------------------
> ..
> Pourquoi avoir voulu poser des implants zygomatiques ?
> ...

Il n'y a plus rien de chez Rien en haut, où voulais-tu qu'il les pose? ;)
Moi non plus je vois que dalle autour des ptérygoidiens, je suppose qu'il doit bien y avoir un peu d'os autour!


Images jm2g2g - Eugenol
dr_0le

07/12/2013 à 21h36

pgc écrivait:
-------------
> Faivre-rampant écrivait:
> ------------------------
> > ..
> > Pourquoi avoir voulu poser des implants zygomatiques ?
> > ...
>
> Il n'y a plus rien de chez Rien en haut, où voulais-tu qu'il les pose? ;)
> Moi non plus je vois que dalle autour des ptérygoidiens, je suppose qu'il doit
> bien y avoir un peu d'os autour!
>

+1
j'aimerai bien un scan des zygomatiques..
j'imagine qu on ne pose pas 6 implants comme ça à partir d'une pano =)


Humator t9r5wy - Eugenol
humator

08/12/2013 à 09h55

les zygomatiques, c'est autre chose.
ici, bien des pterygo.
bf, bien mené, mais c'est peut être un poil sous équipé, non?
(plaques petit modele, 3 anterieurs)

--
N.Hum


bf

08/12/2013 à 10h20

à humator

7 c'était le max possible , il n' y a rien
ci joint photo du modèle stéréo , balcon osseux ant . empechant la pose de disques

056   copie qipdhx - Eugenol

Humator t9r5wy - Eugenol
humator

08/12/2013 à 10h58

merci! ;-)
bravo!

--
N.Hum