Cookie Consent byPrivacyPolicies.comSOS, recherche un bon labo pour facettes et ceramo - Eugenol

SOS, recherche un bon labo pour facettes et ceramo céramiques...

87 ujotte - Eugenol
Spatouille

12/01/2014 à 18h38

je ne suis, moi non plus, pas d'accord sur tout ce que tu dit mais tant que la discussion reste polie c'est un plaisir :)

je pense que l'on se comprend mal

je suis d'accord avec toi pour dire qu'une facette réfractaire ou feuille de platine c'est cher (parce que très long à faire)

mais pas sur l'esthétique, reprends mes posts plus haut, j'y disais que les deux techniques donnent de bons résultats mais pas dans les mêmes conditions

en faible épaisseur le feldspathique est supérieur, très nettement, car l'armature emax rend homogène la facette, les préconisations des pointures ivoclar, G.Ubassy ou H et D. Creszenzo sont d'utiliser des lingotins MO pour mieux masquer les préparations et surtout mieux bloquer la lumière, les lingotins plus translucide sont réservés aux cut back dont tu parles et monobloc , en stratification complète, les résultat paraissent gris avec ceux ci ...

maintenant si tu regardes avec un oeil critique certains de leurs travaux emax sur facebook notamment, tu reconnaîtras comme moi que certains sont un peu monochrome et manquent un peu de profondeur et pourtant se sont des maîtres ! c'est le défaut de l'emax, les fines épaisseurs.

mais dès que tu as plus d'un mm d'épaisseur l'emax est très bien en rapidité, coût et résultats

tu parles des Magne, avant d'être des professionnels élitistes ce sont des professionnels tout court, et si ils utilisent cette technique il y a des raisons. et d'autres le font avec brio.

edit: je suis prothésisite


Egy194 ietbqd - Eugenol
tristanavi

12/01/2014 à 20h59

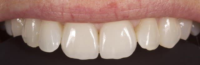
100 % avec Spatouille. Mais ça dépend aussi de l 'exigence esthétique du patient du type d 'occlusion, de l 'âge. Mais si dents non colorées, et exigence très élevée, le feldspathique c'est idéal.Et comme une photo vaut mieux qu'un long discours ...

Img 6897 rybane - Eugenol
Img 0311 ggfmyi - Eugenol
Img 0322 jmoznd - Eugenol

le dabe

13/01/2014 à 00h47

Ok, je m'en remets à votre expertise donc.... et à celle de Gérald et Hélène....
Bonne soirée

Avant1 - Eugenol
Avant1 - Eugenol

87 ujotte - Eugenol
Spatouille

13/01/2014 à 01h53

si l'emax te convient c'est très bien ! je ne cherche pas à te convaincre, d'autres ici ont montré de superbe résultat en emax.

les deux cas présentés sont très jolis avec à la clé la satisfaction du patient

là on arrive à des différences infimes que sans doute seuls des professionnels (et confirmés) du dentaire distingueront ...

maintenant l'harmonie d'un sourire est propre à chaque patients et les moyens de le rétablir sont nombreux

j'utilise les deux techniques avec satisfaction , j'alterne en fonction du résultat recherché et de la demande de mon client.


S2y2o1v7q53ws4r5wy6ou8czrpom - Eugenol
pxav

13/01/2014 à 08h59

beau raisonnement spatouille, le "mieux" doit être choisi fonction du jugement du patient, et des capacités du couple dentiste/prothésiste.

--
xbk
"Si tous ceux qui croient avoir raison n'avaient pas tort, la vérité ne serait pas loin" Dac Pierre


12