Cookie Consent byPrivacyPolicies.comcasse de ceramo-céramique emax - Eugenol

casse de ceramo-céramique emax

Egy194 ietbqd - Eugenol
tristanavi

17/12/2013 à 15h25

Bonjour à tous,
j 'observe depuis quelques temps des éléments céramo-céramiques Emax (couronnes ou overlays)présentant des félures voire de fractures.Pas des dizaines mais c'est inquiétant.

Img 3858 zprd2i - Eugenol

G-P

17/12/2013 à 16h58

E.max stratifiée / pressée ?
Faut voir au bout de combien de temps, quel matériau tu utilises pour coller, etc..


vmdeugénol

17/12/2013 à 17h54

fracture verticale 2 options :
-reconstruction quel type de moignon... ou vital
-préparation inadéquate forme ...


Capture d  cran 2013 02 02   21.02 - Eugenol
gouj-euros

17/12/2013 à 19h12

vmdeugénol écrivait:
--------------------
> fracture verticale 2 options :
> -reconstruction quel type de moignon... ou vital
> -préparation inadéquate forme ...

occlusion ? épaisseur de préparation? collage ou scellement?


Egy194 ietbqd - Eugenol
tristanavi

17/12/2013 à 20h32

sur le site d 4ivoclar on trouve ça:"Le ciment de scellement verre-ionomère classique autopolymérisant convient parfaitement pour la solidarisation des matériaux céramiques hautement résistants, tels que IPS e.max. La translucidité de Vivaglass CEM PL (Poudre/Liquide), garantit un scellement esthétique des restaurations tout céramique."
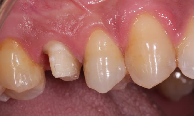
j' ai pour le cas présenté utilisé un CVIMAR en double enduction et conditionnement préalable avec le liquide du coffret GC.C'était de Emax press réalisé par un tout bon.Ps la 14 ne participe pas a la diduction !et donc c'est cette 14 qui a cassée au bout de 2 ans.

Img 0806 xclj2o - Eugenol
Img 0810 ilfvam - Eugenol
Img 0812 hknf5z - Eugenol

Bebe 038 nf8eum - Eugenol
danteyeah

17/12/2013 à 21h06

tristanavi écrivait:
--------------------
> sur le site d 4ivoclar on trouve ça:"Le ciment de scellement verre-ionomère
> classique autopolymérisant convient parfaitement pour la solidarisation des
> matériaux céramiques hautement résistants, tels que IPS e.max. La translucidité
> de Vivaglass CEM PL (Poudre/Liquide), garantit un scellement esthétique des
> restaurations tout céramique."
> j' ai pour le cas présenté utilisé un CVIMAR en double enduction et
> conditionnement préalable avec le liquide du coffret GC.C'était de Emax press
> réalisé par un tout bon.Ps la 14 ne participe pas a la diduction !et donc c'est
> cette 14 qui a cassée au bout de 2 ans.

Effectivement le travail est très propre (comme tous ce que tu nous montre d'ailleurs).

Par contre la 14, au contraire semble participer à la fonction canine en diduction. La présence d'abfraction plus ou moins importante, le nombre important de fissure d'émail et les abrasions que l'on devine sur le secteur antérieur, ne fait aucun doute sur la bruxomanie de ton patient, et à coup sur il sera capable de flinguer n'importe quel type de céramique.
Je reste par contre persuadé qu'un collage est plus approprié qu'un scellement pour l'Emax.
Ici pour moi je ne met pas l'Emax en cause.


Olieve

17/12/2013 à 21h28

danteyeah écrivait:
-------------------

> Je reste par contre persuadé qu'un collage est plus approprié qu'un scellement
> pour l'Emax.

Oui mais pour obtenir un bon collage il faut de l'email ! Ce n'etait plus le cas sur ces deux prémolaires. Zircone ou ccm scellées étaient alors plus indiquées je pense.


Bebe 038 nf8eum - Eugenol
danteyeah

17/12/2013 à 21h44

Olieve écrivait:
----------------
> danteyeah écrivait:
> -------------------
>
> > Je reste par contre persuadé qu'un collage est plus approprié qu'un scellement
> > pour l'Emax.
>
> Oui mais pour obtenir un bon collage il faut de l'email ! Ce n'etait plus le cas
> sur ces deux prémolaires. Zircone ou ccm scellées étaient alors plus indiquées
> je pense.

Pas d'accord, il n'y a pas que l'interface colle/dentine ici: il y a surtout l'interface colle/Emax, et la les valeurs entre CVIMAR et Bis GMA sont très très différentes, il y a aussi l'interface composite de reconstitution/colle et la aussi y a pas photo entre Bis GMA et CVIMAR.

Petite lecture trouvée en 2 sec. sur le net, suffisamment explicite et déjà plus toute neuve (et en plus ils sont sur Nonol ;-))
http://www.belbachadental.com/upload/pdf/oc/Collages-en-odontologie.pdf


G-P

17/12/2013 à 22h24

Oui, l'avantage de coller pour de l'emax c'est principalement le support de la céramique qui est bien meilleur qu'avec un CVIMAR.


Egy194 ietbqd - Eugenol
tristanavi

18/12/2013 à 10h04

merci pour ces remarques qui font avancer les choses .Je voulais préciser dans mon post précédent que j 'avais bien supprimé le contact en latéralité et même avec une petite marge.J 'aurais du prendre en considération les félures. Et pour tout dire j 'étais plutôt pour des Ceramo Métal mais mon prothésiste m 'a un peu forcé la main .La conclusion c 'est que le tout céramique n 'est pas pour tout le monde.


003 penrd2 - Eugenol
Cingulum

18/12/2013 à 10h36

tu as jamais de casse dans la céramique sur des CCM ? ;)

L'article est un peu vieux, mais ça à pas trop changé.
Je pense qu'il faut regarder, les épaisseurs, tes prep un peu anguleuse, les contacts qui ont changé dans le temps...
Bref pas vraiment le matériau (que j'utilise depuis presque 10 ans maintenant...) qui est en cause. Mais un cas particulier.


--
Dr Cingulum
-----Ancien interné----
----Attaché à l'apex----
http://www.clinic-all.fr/ formation par passion


Grumpy cat ifik8s - Eugenol
radich_a_tord

18/12/2013 à 11h32

Souvent ce qui casse c'est la céramique cosmétique feldspathique et non l'armature emax.

A voir si le labo n'a pas mis une trop grande épaisseur de cosmétique par rapport à la chape.

Je colle aussi toutes mes coiffes emax, pas rassuré par les CVIMAR.


6szjws718sv1jksw54v4mpj3a6cu - Eugenol
vulpi

18/12/2013 à 16h46

Certains CVIMAR présentent une expansion volumétrique post prise assez importante qui s'étale sur plusieurs mois. Si tu as un film de ciment c'est peanuts, mais si tu comble une perte de substance cela peut engendrer une contrainte qui va ce libérer.


Egy194 ietbqd - Eugenol
tristanavi

18/12/2013 à 17h10

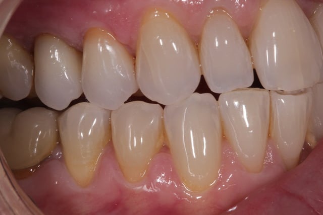
de mémoire jamais de casse sur des CCM qui plus est sur des prémolaires.L 'expansion des CVIMAR j'y ai pensé mais comme tu le dis l 'espacement ménagé par mes prothésistes est dans la norme .Et puis on peu faire de jolies ccm (voir photos)

Cal 1 omblce - Eugenol
Cal 2 qfru1m - Eugenol

6szjws718sv1jksw54v4mpj3a6cu - Eugenol
vulpi

18/12/2013 à 17h48

comme toi j'aime bien les ccm, peu de casse et quoi qu'on en dise résultats esthétiques corrects. Je n'aime pas la zircone+céram pas plus jolie que CCM , je réserve les ccc feldspat aux situations où je peu coller sereinement ce qui est rare.


doctyoni

18/12/2013 à 22h11

Ton prothésiste est bon , tristanavi.
T es quasi en juxtaginval et on ne voit pas ta limite je suppose qu'il t a fait un joint ceram dent.
Je suis de moins en mois fan des CCM a cause du liseré métallique qui apparait rapidement .


marcus

18/12/2013 à 22h36

casse empress = problème avec le matériau

casse e-max = problème de collage = protocole


Egy194 ietbqd - Eugenol
tristanavi

19/12/2013 à 10h09

pour doctyoni, ce n 'est pas un joint céramique, le métal arrive jusqu'au bout mais est totalement recouvert (finition en "cheveux" a la Peter Weiss).Faut se méfier des joint ceram qui parfois ne sont pas d'une précision extraordinaire et peuvent aussi laisser passer une coloration du support.


vmdeugénol

14/01/2014 à 10h46

La conclusion c'est surtout que le tout céramique c'est pour ceux qui l'ont appris!!
(Va faire un tour à Imagina dental 2014)
La casse du tout céramique est en premier due à une préparation non conforme, ensuite à une reconstruction de moignon inadéquate et enfin, mais là... à un mauvais collage.
L'occlusion en vrai cause de casse n'intervient que loin derrière.
Et effectivement, il vaut mieux rester sur de la CCM quand on ne maitrise pas les process modernes.



tristanavi écrivait:
--------------------
> merci pour ces remarques qui font avancer les choses .Je voulais préciser dans
> mon post précédent que j 'avais bien supprimé le contact en latéralité et même
> avec une petite marge.J 'aurais du prendre en considération les félures. Et pour
> tout dire j 'étais plutôt pour des Ceramo Métal mais mon prothésiste m 'a un peu
> forcé la main .La conclusion c 'est que le tout céramique n 'est pas pour tout
> le monde.


Egy194 ietbqd - Eugenol
tristanavi

15/01/2014 à 14h40

alors pourquoi Ivoclar propose le scellement autant que le collage ? Ce ne sont pas des idiots chez eux.Tu penses à qui en particulier pour Imagina dental ?


burnax

15/01/2014 à 16h13

C'est quoi une finition Peter Weiss ?
merci


Egy194 ietbqd - Eugenol
tristanavi

15/01/2014 à 19h28

c'est une finition dite en cheveux où la céramique recouvre totalement le métal (en opposition avec un bandeau métallique). C'est pas mal de boulot de grattage de la chape que l 'on descend a 0.3 mm voire un peu moins.


tobot

30/01/2014 à 21h24

pour tristanavi

tu peux respecter tous les paramètres et te retrouver au pied du mur c'est le cas
si ton prothésiste a fait une ccc emax stratifié avec une chape emax (600 mpa) et un cosmétique emax (150 mpa) c'est le cas je pense vu la luminosité et le résultat joli
il se peut qu'il n'ai pas respecté cette fois ci l'épaisseur minimal de la chape et là c'est la casse

ivoclar n'est pas parole d'évangile
il préconise des cuissons sur mode d'emploi qui sont des aberrations quand on connait la céramique

le scellement de l'emax est autorisé sur un très faible délabrement/taille scellement sur émail


tobot

30/01/2014 à 21h24

pour tristanavi

tu peux respecter tous les paramètres et te retrouver au pied du mur c'est le cas
si ton prothésiste a fait une ccc emax stratifié avec une chape emax (600 mpa) et un cosmétique emax (150 mpa) c'est le cas je pense vu la luminosité et le résultat joli
il se peut qu'il n'ai pas respecté cette fois ci l'épaisseur minimal de la chape et là c'est la casse

ivoclar n'est pas parole d'évangile
il préconise des cuissons sur mode d'emploi qui sont des aberrations quand on connait la céramique

le scellement de l'emax est autorisé sur un très faible délabrement/taille scellement sur émail


ADDAidf

30/01/2014 à 21h53

Bonsoir, avez-vous réalisé un traitement de surface de l'intrados de votre E-Max (acide fluorhydrique 30 sec, rinçage abondant puis silane) : même en cas de scellement c'est indispensable.
Le CVI mar n'est de plus peut-être pas le + indiqué pour assembler une Emax sur une prémolaire maxillaire (peu de renforcement des propriétés mécaniques de la restauration ) : une colle auto-adhésive (dans les cas où le collage pur est impossible) semble une meilleure alternative pour réaliser un scellement adhésif.


12