Cookie Consent byPrivacyPolicies.comEvolution d'atteinte endo-paro - Eugenol

Evolution d'atteinte endo-paro

Utilisateur banni

23/12/2013 à 14h26

Bonjour à toutes et à tous,
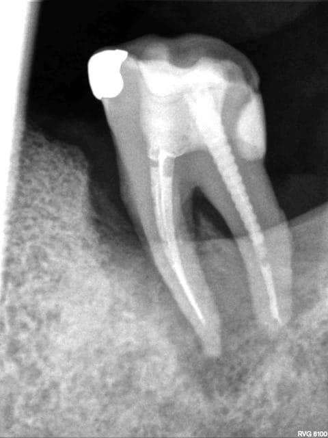
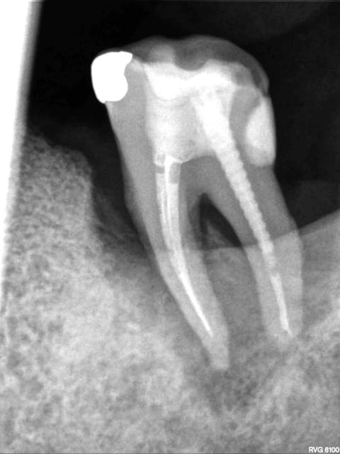
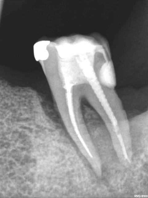
Petite présentation rx pour savoir ce que vous pensez de ce cas. R26 = 14/10/2010
R 52 = 07/02/2011
R 69 = 11/05/2013
une autre rx est à venir mais avant je veux vos avis sur cette situation quelque peu désespérée.

R26 szlxny - Eugenol
R52 kzrddz - Eugenol
R69 aqhkjh - Eugenol

aimpi

23/12/2013 à 14h50

solution:

Davier 222 3eme molaire inferieure sr4tbb - Eugenol

Utilisateur banni

23/12/2013 à 14h58

d'autres avis? même si celui-ci me paraît tout indiqué.


1309531 ours brun n5iukf - Eugenol
seespan

23/12/2013 à 15h09

1 Séparation des racines
2 Rabotage des racines 2 mm au dessus de l'os
3 Mise en place d'une ou deux minivisse si nécessaire et traction voir distalisation ortho. Les minivisse on peut éventuellement s'en passer ça dépend des dent voisines.

La séparation et le rabotage te permettent de faire le ménage au niveau paro ( bien entendu si l'infection est due a une lésion endo c'est foutue ), ça facilite aussi les mouvement orthodontique car il n'y a pas de longueur de racine pour faire bras de levier.

Une fois que tu a recréer un volume vertical tu extrait et met un implant.

j'ai vue un cas traité de cette manière en conférence ( mais l'atteinte osseuse était plus importante ), a la fin le dentiste a finie en faisant deux petite couronne type PM sur chacune des racines.



--
หมอจัดฟัน


Utilisateur banni

23/12/2013 à 16h04

Intéressant comme technique, ici cette dent possède un bras de calage lingual de prothèse amovible partielle à infrastructure métallique, mais pas de bras rétentif.


toothex

23/12/2013 à 16h08

même ça, ça suffit non ?

Precelle meriam vyqrwc - Eugenol

1309531 ours brun n5iukf - Eugenol
seespan

23/12/2013 à 16h26

Shadow écrivait:
----------------
> Intéressant comme technique, ici cette dent possède un bras de calage lingual de
> prothèse amovible partielle à infrastructure métallique, mais pas de bras
> rétentif.

Ce cas nous avait était présenté par le Prof hee moon kyung qui est des très grand nom dans le domaine de l'orthodontie lingual et des minivisse.
Je l'avais contacté par émail pour avoir les photo mais impossible c'était tiré d'une revue japonaise.
C'est un dentiste qui avait fait le traitemnet.

Si les dent en mésiale sont en bonne état il suffit de coller une petit attelle avec du composite qui sert d'ancrage pour la traction.

L'autre avantage de cette technique c'est que sur une dent avec une telle atteinte la mobilité est une des causes accélérant la perte d'os.

La séparation plus le rabotage des racines permet d'améliorer la situation paro. C'est la technique de la terre brulé on supprime la zone d'ancrage des bactérie. C'est la raison pour laquelle il faut raboter les racines a 1 ou 2 mm de l'os. La seule zone que les bactéries peuvent coloniser c'est la surface racinaire, avec cette méthode elle est réduite a trois fois rien, et faciles a nettoyer.

Si l'on fait une égression l'on peut se retrouver a la fin du mouvement avec un rapport couronne racines favorable pour faire une couronne sur chaque racine.

Du point de vue de la traction ortho, qu'il y est 1 mm ou 8 mm de racines dans l'os ça ne change pas grand chose pour recréer de l'os.

Par contre si l'on tente ça expliquer a la patiente que c'est pas gagner. Pour l'explication ce serait .

1 l'on veut commencer par raboter les dents et séparer les racines pour améliorer la situation parodontal et réévaluer.
Prévenir que l'extraction est probable et que pour une solution fixe un implant est la seul solution sure a l'heure actuelle
A ce stade le cout pour la patient c'est zéro et techniquement l'acte est simple a réaliser.

2 Après réévaluation si la situation paro est contrôlée on peut tenté une traction
--
หมอจัดฟัน


chipoundine

23/12/2013 à 16h41

C'était déjà trop tard en 2010, atteinte paro terminale en disal / atteinte furcation , à mon avis trauma occlusal par dessus...tu n'a plus aucun potentiel de réparation osseuse,perte à zéro parois il n'y a plus aucun suuport sur la racine discale cela reviens à tenter de faire de l'augmentation verticale. Peut-être même une fêlure ....

Achète une 3D ça tévitera des pertes de temps ...

Perso chez moi c'est cone beam (remboursé 80) et EII / sinon extraction : 80 + 33,44 en 10 minutes.


Utilisateur banni

23/12/2013 à 17h10

Pour le cas présent je ne pense pas que le patient souhaitera un implant et il cherchera au plus simple, car il était bien résolu à l'avulsion il y a déjà 3 ans quand j'ai refusé et fait l'endo, puis il y a 6 mois quand une forte poussée infectieuse l'avait amené en urgence.


Utilisateur banni

23/12/2013 à 17h12

Le but est de vous faire réagir, je vous garde la surprise pour la fin, et de nouveau commentaires s'en suivront.


Avatar transparent iqadnc - Eugenol
adhoc

23/12/2013 à 17h52

  

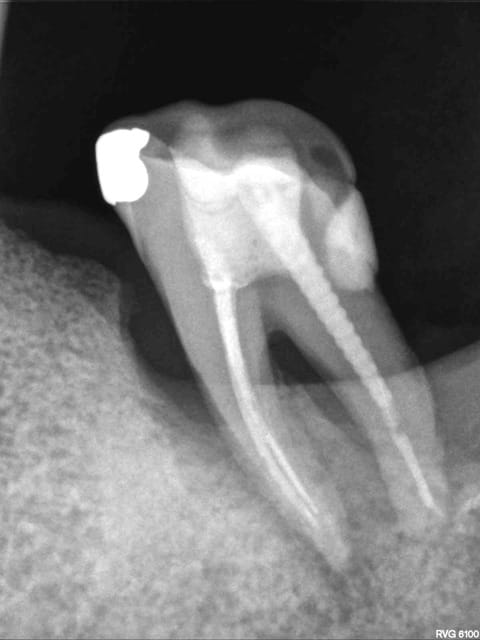
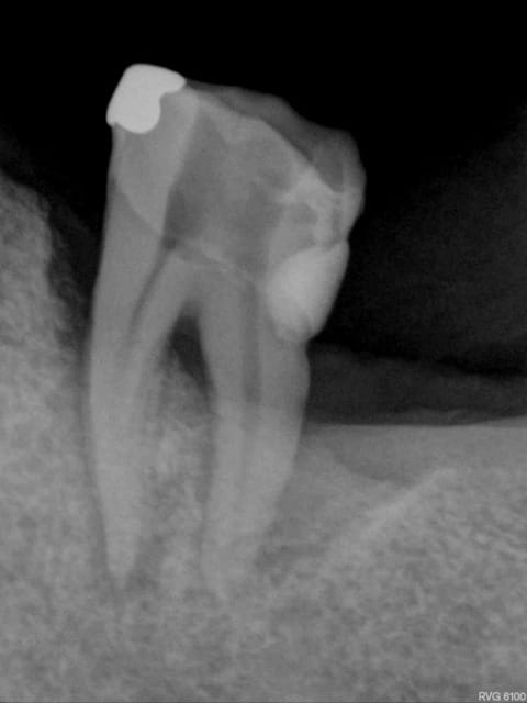
R70 d4vrxi - Eugenol
R69 fwgibc - Eugenol

Darmon - Eugenol
Latin

23/12/2013 à 18h53

Il est allé chez dtxa qui l'a convaincu de faire une couronne avec plan de financement sur 3 ans?


Utilisateur banni

23/12/2013 à 20h40

R71 est de cette semaine, allez y comprendre quelque chose, dame nature a été très gentille sur ce coup là, de l'os s'est reformé.
Une explication à me proposer?

R69 qeompc - Eugenol
R71 yby2cf - Eugenol

Index vakr2r - Eugenol
pgc

23/12/2013 à 21h35

Oh comme c'est facile. Tu as le 06 de Pelé.


Dentiste oa9i0v - Eugenol
DavierCrocket

23/12/2013 à 22h29

angulation différente de la radio...what else


Utilisateur banni

23/12/2013 à 22h37

Là Crocket t'abuses, quand même je sais comment j'ai pris mes rx, et je peux confirmer que l'angulation n'y est pour rien.


Index vakr2r - Eugenol
pgc

23/12/2013 à 23h26

Il est allé à Lourdes?


Capture d  cran 2013 02 02   21.02 - Eugenol
gouj-euros

24/12/2013 à 00h17

gay part?


1309531 ours brun n5iukf - Eugenol
seespan

24/12/2013 à 01h59

Lésion en cratère pour une raison X ou Y une des causes de l'infection a disparut permettant la régénération osseuse.

--
หมอจัดฟัน


Utilisateur banni

24/12/2013 à 09h50

Non pas à lourdes et il m'a assuré d'ailleurs qu'en matière de dévotion il était plutôt à la traîne.
Seespan, ça c'est évident qu'une cause a disparu mais ça ne m'explique pas pourquoi à ce jour c'est le seul cas dans tous les cas similaires ou ceci s'est passé. Ce serait quand même bien de maîtriser le processus pour le reproduire.
Pour info j'ai eu à un moment lésion endo paro le sondage en mésial indiquait une communication jusqu'à l'apex. et le tout début c'était pulpite allant vers nécrose compliquée d'atteinte paro sur vieux stellite pas mis, depuis endo après Ca(OH)2 et ABT, surfaçage et det régulier, nouveau stellite adapté. Puis flambée avec envie du patient d'extrac, commande de dent résine pour adjonction, le jour J plus de douleur, demande du patient de garder la dent encore un peu, et là, la dernière rx la semaine dernière gain d'os après une situation qui prônait bien l'avulsion!
Je n'y comprends rien, même si je me réjouis pour ce patient.
D'autres idées plus précises et scientifiques?


1309531 ours brun n5iukf - Eugenol
seespan

24/12/2013 à 10h45

Shadow écrivait:
----------------

> Seespan, ça c'est évident qu'une cause a disparu mais ça ne m'explique pas
> pourquoi à ce jour c'est le seul cas dans tous les cas similaires ou ceci s'est
> passé. Ce serait quand même bien de maîtriser le processus pour le reproduire.

Je pense qu'il s'agit d'un processus non reproductible malheureusement. Déjà rien que du au fait qu'un traitement classique a était réalisée.

> Pour info j'ai eu à un moment lésion endo paro le sondage en mésial indiquait
> une communication jusqu'à l'apex.

Donc on confirme, il s'agit bien d'une lésion en cratère, délimité par 4 parois. i.e du moment que la cause de l'inflamation/infection est supprimé l'os va se reformer tout seul.
Si il s'agissait d'une reformation d'os dans le sens vertical ça serait déjà plus du ressort de Lourde.

et le tout début c'était pulpite allant vers
> nécrose compliquée d'atteinte paro sur vieux stellite pas mis, depuis endo après
> Ca(OH)2 et ABT, surfaçage et det régulier, nouveau stellite adapté.

Donc la a priori traitement du problème infectieux en supprimant l'habitat des bactéries (surfaçage et traitement endo), plus suppression d'une éventuel surchage occlusal avec la réalisation du stellite.

Puis flambée
> avec envie du patient d'extrac, commande de dent résine pour adjonction,

Oui mais la flambé pouvait être due a une cause local type bourrage alimentaire, ou a une explosion bactérienne transitoire due a l'expression d'un facteur de virulence.
Dans les deux cas le phénomène a était transitoire car pas d'habitat pour héberger les bactéries sur le long terme.

le jour
> J plus de douleur, demande du patient de garder la dent encore un peu, et là, la
> dernière rx la semaine dernière gain d'os après une situation qui prônait bien
> l'avulsion!

Ce qui correspond a une infection du a une cause local transitoire, une fois l'évenenment passé vue que la situation clinique était saine, l'os c'est reformé. IL y a 6 mois entre les deux dernière radio non ?

> Je n'y comprends rien, même si je me réjouis pour ce patient.
> D'autres idées plus précises et scientifiques?


--
หมอจัดฟัน


Utilisateur banni

24/12/2013 à 12h24

Oui il y a 6 mois entre le 2 derniers clichés, mais il est bien à noter que depuis le début et jusqu'en mai cela n'avait fait qu'empirer, or l'endo est beaucoup plus ancienne ; d'où ma surprise de voir un regain alors que tous les signes étaient à la dégradation depuis des mois, ce qui me fait dire que la flambée n'était pas un phénomène épisodique mais bien un soucis latent ce que la clinique indiquait pendant des mois (infla+ mobi+ de temps à autre douleurs). donc je reste sans explication.
Quant à l'histoire des 4 murs je veux bien mais d'autres cas sur lesquels j'ai porté de grands efforts d'assainissement n'ont pas donné de reconstruction avec réattache, je n'y crois donc pas dans de pareil proportion de perte osseuse.


Blocperso talon jer3sl - Eugenol
mrquentin

25/12/2013 à 01h46

franchement, en toute gentillesse, je trouve ton acharnement à garder cette dent extrêmement au désavantage pour ton patient, et en aucun cas je n'aurais agis comme toi.
tu attends la guerison d'une lésion endo paro avec un traitement endo incomplet, une occlusion hyper défavorable à cette dent; le patieint est déja venu te voir plusieurs fois pour des épisodes douloureux concernant une dent qui est bonne à extraire, tu attends quoi pour l'extraire? que le patient consulte avec la dent dans la main? ca fait 3 ans que ca dure!
tu te réjouis d'un regaint d'os, mais regarde depuis le tout début tout l'os qu'il a perdu!
extrait, et tout le temps que tu perds à gratouiller la dentdent, tu le mets à t'appliquer à faire une belle PAP, t'inquiete, le patient il t'en sera d'autant plus reconnaissant!


Utilisateur banni

25/12/2013 à 10h25

Mrquentin, c'est bien beau tout ça, mais tu crois pas que c'est justement que le patient souhaite la conserver le plus longtemps possible. Et puis si nous sommes dans un pays qui n'est pas conservateur est-ce une raison suffisante pour ne pas l'être. En général je cherche à ne pas reproduire ce que je déteste, donc la société de con sommation très peu pour moi.
Et puis, là n'était pas la question, seul m'intéressait de connaître votre expérience, ici ton avis ne sert à rien au sujet.


carident

25/12/2013 à 11h15

Shadow écrivait:
----------------
> Là Crocket t'abuses, quand même je sais comment j'ai pris mes rx, et je peux
> confirmer que l'angulation n'y est pour rien.

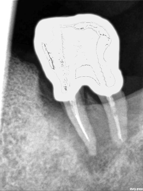
L'angulation est différente, et pour preuve sur la R71 on voit bien les deux canaux mésiaux de manière distincte, alors qu'ils étaient toujours confondus sur les autres radio...

Il n'y a jamais de "miracle" en paro! Pour une lésion endo oui, mais pas pour une lésion paro...


12