Cookie Consent byPrivacyPolicies.combiphosphonates - Eugenol
TEE

23/12/2013 à 23h16

Bonsoir,
Chez les patients sous biphosphonates peut-on réaliser des surfaçages radiculaires?


Driller

24/12/2013 à 17h57

Ca depend pourquoi il les prende.

http://ansm.sante.fr/S-informer/Informations-de-securite-Lettres-aux-professionnels-de-sante/Recommandations-sur-la-prise-en-charge-bucco-dentaire-des-patients-traites-par-bisphosphonates


PopHip

26/12/2013 à 01h04

C'est une décision de toute façon terrible à prendre si ATCD de BP en IV, parce que si le surfaçage n'est pas fait et que le terrain paro condamne alors les dents à être extraites, cela risque d'être bien pire pour le patient. Pour le moment, il n'y a semble-t-il aucune solution pour un cas d'osteonecrose, c'est juste un cauchemar...

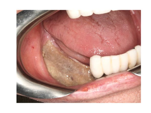
(image tirée de http://www.nature.com/bonekey/knowledgeenvironment/2011/1103/bonekey20110500/full/bonekey20110500.html )

Bonekey20110500 f1 o9zotb - Eugenol