Cookie Consent byPrivacyPolicies.comtenon corono-radiculaires - Eugenol

tenon corono-radiculaires

angelus007

28/12/2013 à 21h49

Bonjour les prothésistes
Avant je vous souhaite un bon temps des fetes
Avec tout les tenons qui se trouve sur le marché, je suis un peu perdu. Chaque fournisseur sort le meilleur de son produit.
Mais la moi je suis perdu. Je fais des restaurations ceramiques avec le cerec mais parfois manque de retention j'envoi mes patients à des collegues.
Je veux que ca cesse alors je vous demande quel le meilleur produit sur le marché( Dents antérieurs le plus souvent et dents posterieurs)
Merci et a bientôt


Capture d  cran 2015 03 12 12.28 - Eugenol
chicot29

29/12/2013 à 01h57

La devise francaise c'est : no post no crown, no refund. Et vue la trésorerie actuelle de nos compatriotes, tu as intérêt à trouver un système de tenon rapidement.)))))


charles976

29/12/2013 à 13h19


salut à toi,

personnellement, j'enlève la gutta avec un gates jusqu'à longueur nécessaire, petit alésage si nécessaire à l'insert US diamanté et au moment de l'empreinte je lentule du light dans mon forage et je demande un inlay coulé à mon prothésiste !
la devise c'est celle la: tu ne te forces pas a acheter une twingo si tu n'aimes pas? alors ne force pas ton canal à supporter une forme de tenon qu'il ne supporte pas (meme si les forets pivomatic sont très bien) rien de tel que l'anatomie canalaire.
NON je n'ai pas besoin de mettre un mini tenon pour soutenir mon light
NON je n'ai pas de souci à la coulée du platre
OUI il te faut un prothésiste compétent pour ça et pas un qui te dise "j'ai jamais fait mais je vais bourrer de cire 'ed dans"
OUI les résultats sont nickels et je n'ai pas de descellement, tu as souvent meme moins besoin d'aller loin avec tes tenons
OUI tu as bcp moins de fracture du au gros pivot (surtout pm du haut)

--
charles976


carident

29/12/2013 à 18h36

charles976 écrivait:
--------------------

> personnellement, j'enlève la gutta avec un gates jusqu'à longueur nécessaire,
> petit alésage si nécessaire à l'insert US diamanté et au moment de l'empreinte

Attention à l'utilisation des instruments à US : ceux-ci peuvent provoquer le descellement du ou des cônes de Gutta, et par voie de conséquence une perte d'étanchéité de la partie apicale de l'obturation canalaire, et au finale la survenue de lésion péri-apicales... Et cela, même si le traitement endodontique a été réalisé dans les meilleurs conditions!

La perte d'étanchéité apicale, lors de la désobturation partielle pour la réalisation du logement de tenon est une des causes d'apparition de lésion endo sur des dents couronnées peu de temps avant, alors même que le traitement endo très ancien n'avait jamais posé de problème.


Marque a3 orange fyvhyq - Eugenol
Marc Apap

29/12/2013 à 20h28

Tu as une preuve scientifique de ce que tu avances ?
Si tu regardes avec un microscope les merdes qu'il reste dans le canal après passage d'un foret seul, ou après passage d'un insert (lisse) US avec de l'eau puis séchage, tu constates que le canal est autrement plus propre dans le deuxième cas.
Avec une longueur de prep adéquate( on dit qu'il faut laisser un bouchon de gutta de 3 ou 4 mm minimum), et une obturation à la gutta chaude, on est quand même en sécurité.
Je dirais surtout que les pb de contamination arrivent si on laisse baigner le canal dans la salive après l'empreinte ou durant les phases intermédiaires. C'est à ces moments particuliers que les dangers sont là, selon moi bien supérieurs à ceux liés au retrait de la gutta si l'obturation était correctement réalisée avec une méthode de condensation verticale.


angelus007

29/12/2013 à 21h16

oui mais regardez les produits U.S
Maintenant t'as même plus besoin d'un prothésiste avec toi, on t’équipe d'outil de forage spécifique à la dent et au canal (prendre avec précaution, 70% des canaux se ressemble mais pas tous je sais).
Plusieurs tenons sont proposé cylindriques, à vis, ect. Ils disent que c'est passif et pas de risque de fracture des parois radiculaires avec une rétention 200 % supérieur pour les restaurations CAD/CAM.
Mon problème c'est qu'il y en 150000000000 tenons de marques différentes.
Je suis d'accord avec le commentaire précedent. On doit toujours laisser 3-4 millimètres de gutta percha au niveau apical. ca assure l'étanchéité
Demain j'appel le fournisseur au états unis et je vous direz son commentaire.


carident

29/12/2013 à 21h48

Marc Apap écrivait:
-----------------
> Tu as une preuve scientifique de ce que tu avances ?

Aucune! Ce sont juste des déductions de bon sens, ou suite à une ou deux mauvaises expériences en début de carrière...

> Si tu regardes avec un microscope les merdes qu'il reste dans le canal après
> passage d'un foret seul, ou après passage d'un insert (lisse) US avec de l'eau
> puis séchage, tu constates que le canal est autrement plus propre dans le
> deuxième cas.

je n'ai pas dit qu'il ne fallait pas nettoyer le canal après...


> Avec une longueur de prep adéquate( on dit qu'il faut laisser un bouchon de
> gutta de 3 ou 4 mm minimum), et une obturation à la gutta chaude, on est quand
> même en sécurité.
> Je dirais surtout que les pb de contamination arrivent si on laisse baigner le
> canal dans la salive après l'empreinte ou durant les phases intermédiaires.
> C'est à ces moments particuliers que les dangers sont là, selon moi bien
> supérieurs à ceux liés au retrait de la gutta si l'obturation était correctement
> réalisée avec une méthode de condensation verticale.

Personnellement, je re-rince à l'hypochlorite, puis au spray, et séchage, à chaque étape (après désobturation, après empreinte et avant re-scellement des ou de la provisoire(s), etc : ça vaut ce que ça vaut...


Olieve

29/12/2013 à 23h25

Rien de tel qu'une reconstruction directe du faux-moignon, c'est étanche dans la séance.


charles976

30/12/2013 à 14h35

cariedent:

tout d'abord , -je n'ai jamais dit que mon insert us entre en contact avec la gutta , je parle de la finition de la mise en forme canalaire.(nettoyage , retrait de contre dépouille....)
- ensuite l'intérêt de cette technique est justement de forer moins loin , en général il n'est pas question de ne laisser que 4 mm mais plus.
- enfin , comme le dit marc , après condensation vertical à chaud je vois mal comment ma gutta peut remonter meme si mes us peuvent le toucher....

Je peux t'assurer que sous Microscope opératoire à moyen grossissement , les résultats sont univoques!
si ton cone de gutta (non condensé je suppose) est susceptible de remonter avec un insert US il le pourra également avec un foret....
charles976


carident

30/12/2013 à 16h29

charles976 écrivait:
--------------------

> si ton cone de gutta (non condensé je suppose) est susceptible de remonter avec
> un insert US il le pourra également avec un foret....
> charles976


Je condense latéralement à froid, et je met des cônes accessoires dans la mesure du possible, puis je condense à chaud.
Cela dit, je me méfie quand même beaucoup des US... Tout ce qui vibre est en générale pas bon pour les ciments.
Il est vrai qu'un foret (j'utilise un foret pilote, suivi d'un largo 3) peut aussi entrainer le descellement de l'obturation apicale. C'est pourquoi il est impératif de désobturer à une vitesse assez élevé pour que l'échauffement induit coupe net la gutta. Or, j'imagine que tu utilises ton insert US avec de l'eau? D'où un risque accru de desceller la gutta... AMHA


Marque a3 orange fyvhyq - Eugenol
Marc Apap

30/12/2013 à 16h42

La condensation latérale n'est pas la meilleure méthode pour obturer si l'on projette de désobturer pour mettre un tenon dans la séance.
Il est tellement plus pratique de faire une condensation thermomécanique que vraiment, toutes ces considérations devraient être largement dépassées.


simfed

30/12/2013 à 17h09

j'utilise les tenons de chez nicrominox jaune et rouge avec leur foret calibré ,scellé avec un CVIonomère je commence toujours ma préparation avec un foret de gates sous irrigation
pour le problème de la perte d'étanchéité lors du forage je pense que c'est possible c'est pour cela qu'il faut forer sous irrigation pour éviter de chauffer la gutta et ainsi la mobiliser
quand je fais une préparation pour inlay core je mets entre les deux séances du calcium
pour éviter la contamination de la gutta et je revois le patient très rapidement au max une semaine


charles976

30/12/2013 à 23h45

carie dent
/"C'est pourquoi il est impératif de désobturer à une vitesse assez élevé pour que /l'échauffement induit coupe net la gutta. Or, j'imagine que tu utilises ton insert US avec de /l'eau? D'où un risque accru de desceller la gutta... AMHA"

???

quand tu coupes tes cônes tu utilises de l'eau toi? non tu imagines mal, je ne met pas d'eau pour ça en tout cas...
tu devrais trouver un moyen d'échauffer ta gutta PENDANT l'obturation, ( heat'n touch ou mac spadden, system B)
ça t'éviterai de voir tes cônes remonter.





--
charles976


carident

31/12/2013 à 00h52

charles976 écrivait:
--------------------
> carie dent
> /"C'est pourquoi il est impératif de désobturer à une vitesse assez élevé pour
> que /l'échauffement induit coupe net la gutta. Or, j'imagine que tu utilises ton
> insert US avec de /l'eau? D'où un risque accru de desceller la gutta... AMHA"
>
> ???
>
> quand tu coupes tes cônes tu utilises de l'eau toi? non tu imagines mal, je ne
> met pas d'eau pour ça en tout cas...
> tu devrais trouver un moyen d'échauffer ta gutta PENDANT l'obturation, ( heat'n
> touch ou mac spadden, system B)
> ça t'éviterai de voir tes cônes remonter.

Je ne suis pas fan du Mc spadden (mon collaborateur l'utilise et était endo exclusif pendant une période), et le système B est un peu hors de prix compte tenu des tarifs conventionnés...

En outre, ma technique me convient parfaitement, et je n'ai personnellement aucun problème de cône qui remonte, ou qui se descelle.

Je fais environ 450 traitements ou retraitements canalaires par an, plus de 400 reconstitutions ou inlay core par an, et pas moins de 500 couronnes par an, et je n'ai aucun échec dû à des lésions endodontiques. Pourquoi changerais-je de méthode d'obturation?


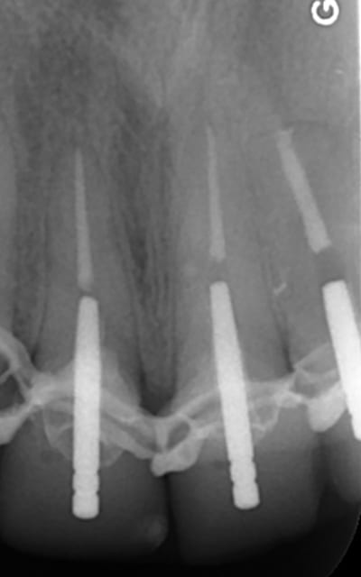
Capture d  cran 2015 03 12 12.28 - Eugenol
chicot29

31/12/2013 à 12h10

+ 1 il ne faut pas chercher midi à 14 h. Mais, si je peux me permettre, tu te fais quand meme chier à mettre plusieurs cones alors qu'un seul suffit.))))))

Première séance (pour une dent hein lol !)
1 endo 10 mn
2 taille 10 mn
3 empreinte 5 mn
4 provisoire 5 mn

2eme séance pose ic ceram 5 mn.



R1 jf6pzt - Eugenol
R2 k7cybs - Eugenol
R3 i3jjn6 - Eugenol
R4 dveqiy - Eugenol

charles976

31/12/2013 à 12h48

carie dent

c'est toi qui parle de remonté de cône...
tu peux faire 100000 endos par ans et 15.000 retraitement ça ne changerait rien.
l'endo n'était pas le sujet au départ ici mais les tenons je te le rappel.
maintenant pour infos, la condensation de la gutta fait partie des données acquises de la science ( formation continue, SFE , ADF etc....)
que ça soit le system B ou le mc spadden ....

--
charles976


carident

31/12/2013 à 13h59

@charles976

Tu fais comme tu le désires, et je suis sûre que quand tu dis que tu réalises un "petit alésage si nécessaire à l'insert US diamanté", tu maitrises parfaitement ce que tu fais...

Néanmoins, quelqu'un d'autre qui te lit et qui ne fait pas attention aux tenants (et non pas tenons!) et aux aboutissants, peut finir par desceller son obturation apicale sans même en être conscient. J'ai juste dit "Attention aux US", et cela ne s'adresse pas forcément à toi...


Tout comme, quand tu dis "NON je n'ai pas besoin de mettre un mini tenon pour soutenir mon light", j'aurais pu écrire que l'ajout d'un petit tenon ne sert pas à soutenir le light (qui est assez élastique et résistant pour se soutenir lui même), et que souvent même l'ajout d'un tenon amoindri la quantité de light par endroit et favorise justement son déchirement lors de la désinsertion de l'empreinte...

Mais si l'on met un tenon, c'est surtout pour le prothésiste, car quand celui-ci coule l'empreinte il arrive que le light se déchire dans le logement en plate, et là c'est la galère (s'il n'y a pas de tenon en métal) pour retirer tout le light sans abimer le plâtre...


carident

31/12/2013 à 14h27

chicot29 écrivait:
------------------
> + 1 il ne faut pas chercher midi à 14 h. Mais, si je peux me permettre, tu te
> fais quand meme chier à mettre plusieurs cones alors qu'un seul suffit.))))))
>
> Première séance (pour une dent hein lol !)
> 1 endo 10 mn
> 2 taille 10 mn
> 3 empreinte 5 mn
> 4 provisoire 5 mn
>
> 2eme séance pose ic ceram 5 mn.

Pareil, la plupart du temps un seul cône bien calibré suffit.

J'ai la chance d'avoir moins de CMU depuis 2 ans, et donc de pouvoir prendre un peu plus mon temps... :-)

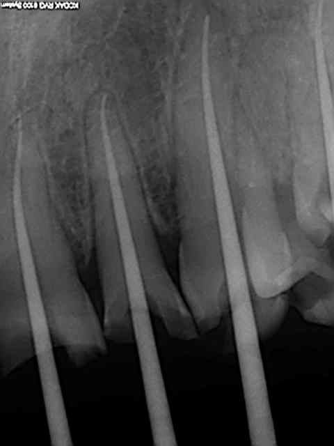
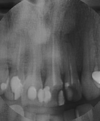
Zoom incisives eb4rim - Eugenol
Retraitement et cour prov ej8sen - Eugenol
Canaux calcifi s e685ou - Eugenol
Avec provisoires o4ho8c - Eugenol

Capture d  cran 2015 03 12 12.28 - Eugenol
chicot29

31/12/2013 à 15h25

Lol ! je vois qu'on a la meme technique. c'est pas du no post no crown, mais je sais faire ca aussi. ))))))


Marque a3 orange fyvhyq - Eugenol
Marc Apap

31/12/2013 à 16h57

Sur les monoradiculées, les tenons sont un peu trop courts. Avec les années, si l'os alvéolaire diminue, les risques de fractures de racines augmentent lorsque le bout du tenon se retrouve au niveau du rebord alvéolaire.


RépondreCiter
levm

31/12/2013 à 20h40

chicot29 écrivait:
------------------
> Lol ! je vois qu'on a la meme technique. c'est pas du no post no crown, mais je
> sais faire ca aussi. ))))))


Tu seras punis par Saint Desmotome , violeur de pulpe et d'émail.


Capture d  cran 2015 03 12 12.28 - Eugenol
chicot29

31/12/2013 à 21h21

Marc Apap écrivait:
-------------------
> Sur les monoradiculées, les tenons sont un peu trop courts. Avec les années, si
> l'os alvéolaire diminue, les risques de fractures de racines augmentent lorsque
> le bout du tenon se retrouve au niveau du rebord alvéolaire.

Stop à 11 mm pivomatic bleu dans mon cas au delà le pivot calcinable bleu est trop court( après faut passer au vert). Mais ca suffit amplement.


Android jyzura - Eugenol
Tavéca

31/12/2013 à 22h51

Marc Apap écrivait:
-------------------
> Sur les monoradiculées, les tenons sont un peu trop courts. Avec les années, si
> l'os alvéolaire diminue, les risques de fractures de racines augmentent lorsque
> le bout du tenon se retrouve au niveau du rebord alvéolaire.

Une petite étude pour corroborer!


Android jyzura - Eugenol
Tavéca

31/12/2013 à 22h52

carident écrivait:
------------------

>
> Pareil, la plupart du temps un seul cône bien calibré suffit.
>
> J'ai la chance d'avoir moins de CMU depuis 2 ans, et donc de pouvoir prendre un
> peu plus mon temps... :-)
>

je fait extrêmement peu de tenon, mais tu nous présentes un travail soigné au moins d'un point de vue radiologique, sur la technique endo intrinsèque je laisse le soin a chacun de se faire une opinion


mat2t

01/01/2014 à 19h25

chicot29 écrivait:
------------------
> + 1 il ne faut pas chercher midi à 14 h. Mais, si je peux me permettre, tu te
> fais quand meme chier à mettre plusieurs cones alors qu'un seul suffit.))))))
>
> Première séance (pour une dent hein lol !)
> 1 endo 10 mn
> 2 taille 10 mn
> 3 empreinte 5 mn
> 4 provisoire 5 mn
>
> 2eme séance pose ic ceram 5 mn.
>
>
>
Combien de temps après la thermocompaction peut on arroser ses canaux pour le logement de tenon et la taille sans contamination du ciment par l'eau ?


RépondreCiter
12