Cookie Consent byPrivacyPolicies.comLe 31 décembre! - Eugenol

Le 31 décembre!

Sarté

31/12/2013 à 20h36

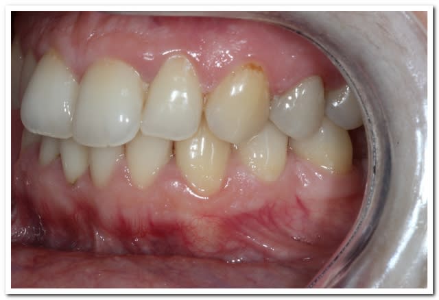
Petite journée au cabinet, c'est sympa de dépanner les gens!

Donc une jolie pulpite avec une restauration intra-pulpaire foulée au pouce.

Endo - RMIPP - Cerec

Elle passera un bon réveillon!

Sur ce Bonne Année 2014

Img 0111 oqjpc1 - Eugenol

Avatar transparent iqadnc - Eugenol
adhoc

01/01/2014 à 00h23

  

Happynewyear1914 2 esbhdh - Eugenol